TSPAN4 Antibody
-
中文名稱:TSPAN4兔多克隆抗體
-
貨號:CSB-PA025162ESR1HU
-
規格:¥440
-
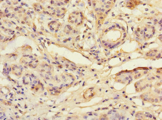
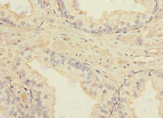
圖片:
-
其他:
產品詳情
-
產品名稱:Rabbit anti-Homo sapiens (Human) TSPAN4 Polyclonal antibody
-
Uniprot No.:
-
基因名:TSPAN4
-
別名:TSPAN4; NAG2; TM4SF7; Tetraspanin-4; Tspan-4; Novel antigen 2; NAG-2; Transmembrane 4 superfamily member 7
-
宿主:Rabbit
-
反應種屬:Human
-
免疫原:Recombinant Human Tetraspanin-4 protein (107-201AA)
-
免疫原種屬:Homo sapiens (Human)
-
標記方式:Non-conjugated
-
克隆類型:Polyclonal
-
抗體亞型:IgG
-
純化方式:Antigen Affinity Purified
-
濃度:It differs from different batches. Please contact us to confirm it.
-
保存緩沖液:PBS with 0.02% sodium azide, 50% glycerol, pH7.3.
-
產品提供形式:Liquid
-
應用范圍:ELISA, IHC
-
推薦稀釋比:
Application Recommended Dilution IHC 1:20-1:200 -
Protocols:
-
儲存條件:Upon receipt, store at -20°C or -80°C. Avoid repeated freeze.
-
貨期:Basically, we can dispatch the products out in 1-3 working days after receiving your orders. Delivery time maybe differs from different purchasing way or location, please kindly consult your local distributors for specific delivery time.
-
用途:For Research Use Only. Not for use in diagnostic or therapeutic procedures.
相關產品
靶點詳情
-
基因功能參考文獻:
- TM4SF4/il-TMP has the potential to be biomarker in a hepatocellular carcinoma and plays a crucial role in promotion of cancer cell proliferation PMID: 22236579
-
亞細胞定位:Membrane; Multi-pass membrane protein.
-
蛋白家族:Tetraspanin (TM4SF) family
-
組織特異性:Expressed in multiple tissues but is absent in brain, lymphoid cells, and platelets.
-
數據庫鏈接:
Most popular with customers
-
-
YWHAB Recombinant Monoclonal Antibody
Applications: ELISA, WB, IHC, IF, FC
Species Reactivity: Human, Mouse, Rat
-
Phospho-YAP1 (S127) Recombinant Monoclonal Antibody
Applications: ELISA, WB, IHC
Species Reactivity: Human
-
-
-
-
-















