TTLL7 Antibody
-
中文名稱:TTLL7兔多克隆抗體
-
貨號:CSB-PA765082ESR1HU
-
規格:¥440
-
圖片:
-
Western blot
All lanes: TTLL7 antibody at 2.6µg/ml + A549 whole cell lysate
Secondary
Goat polyclonal to rabbit IgG at 1/10000 dilution
Predicted band size: 103, 78, 93 kDa
Observed band size: 103 kDa -
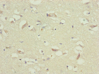
Immunohistochemistry of paraffin-embedded human brain tissue using CSB-PA765082ESR1HU at dilution of 1:100
-
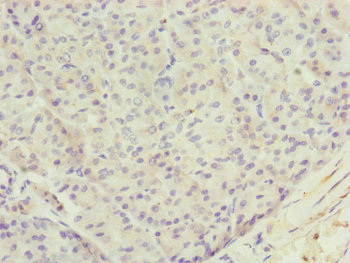
Immunohistochemistry of paraffin-embedded human pancreatic tissue using CSB-PA765082ESR1HU at dilution of 1:100
-
-
其他:
產品詳情
-
產品名稱:Rabbit anti-Homo sapiens (Human) TTLL7 Polyclonal antibody
-
Uniprot No.:
-
基因名:TTLL7
-
別名:RP5-836J3.2 antibody; Testis development protein NYD-SP30 antibody; Ttll7 antibody; TTLL7_HUMAN antibody; Tubulin polyglutamylase TTLL7 antibody; Tubulin tyrosine ligase like family member 7 antibody; Tubulin--tyrosine ligase-like protein 7 antibody
-
宿主:Rabbit
-
反應種屬:Human
-
免疫原:Recombinant Human Tubulin polyglutamylase TTLL7 protein (1-260AA)
-
免疫原種屬:Homo sapiens (Human)
-
標記方式:Non-conjugated
-
克隆類型:Polyclonal
-
抗體亞型:IgG
-
純化方式:Antigen Affinity Purified
-
濃度:It differs from different batches. Please contact us to confirm it.
-
保存緩沖液:PBS with 0.02% sodium azide, 50% glycerol, pH7.3.
-
產品提供形式:Liquid
-
應用范圍:ELISA, WB, IHC
-
推薦稀釋比:
Application Recommended Dilution WB 1:1000-1:5000 IHC 1:20-1:200 -
Protocols:
-
儲存條件:Upon receipt, store at -20°C or -80°C. Avoid repeated freeze.
-
貨期:Basically, we can dispatch the products out in 1-3 working days after receiving your orders. Delivery time maybe differs from different purchasing way or location, please kindly consult your local distributors for specific delivery time.
-
用途:For Research Use Only. Not for use in diagnostic or therapeutic procedures.
相關產品
靶點詳情
-
功能:Polyglutamylase which modifies tubulin, generating polyglutamate side chains of variable lengths on the gamma-carboxyl group of specific glutamate residues within the C-terminal tail of tubulin. Mediates both ATP-dependent initiation and elongation steps of the polyglutamylation reaction. Preferentially modifies the beta-tubulin tail over an alpha-tail. Competes with monoglycylase TTLL3 for modification site on beta-tubulin substrate, thereby creating an anticorrelation between glycylation and glutamylation reactions. Required for neurite growth; responsible for the strong increase in tubulin polyglutamylation during postnatal neuronal maturation.
-
亞細胞定位:Cell projection, cilium. Cytoplasm, cytoskeleton, cilium basal body. Cell projection, dendrite. Perikaryon.
-
蛋白家族:Tubulin--tyrosine ligase family
-
組織特異性:Highly expressed in the nervous system including spinal cord, thalamus, hippocampus, hypothalamus and cerebellum.
-
數據庫鏈接:
Most popular with customers
-
-
YWHAB Recombinant Monoclonal Antibody
Applications: ELISA, WB, IHC, IF, FC
Species Reactivity: Human, Mouse, Rat
-
Phospho-YAP1 (S127) Recombinant Monoclonal Antibody
Applications: ELISA, WB, IHC
Species Reactivity: Human
-
-
-
-
-















