TUBGCP4 Antibody
-
中文名稱:TUBGCP4兔多克隆抗體
-
貨號:CSB-PA871402LA01HU
-
規格:¥440
-
圖片:
-
Western Blot
Positive WB detected in: MCF-7 whole cell lysate
All lanes: TUBGCP4 antibody at 3μg/ml
Secondary
Goat polyclonal to rabbit IgG at 1/50000 dilution
Predicted band size: 77 kDa
Observed band size: 77 kDa -
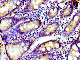
Immunohistochemistry of paraffin-embedded human small intestine tissue using CSB-PA871402LA01HU at dilution of 1:100
-
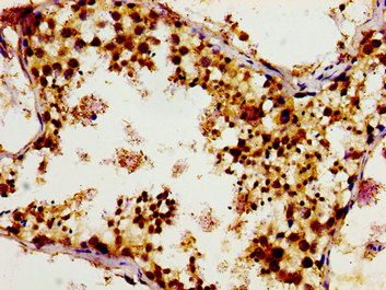
Immunohistochemistry of paraffin-embedded human testis tissue using CSB-PA871402LA01HU at dilution of 1:100
-
Immunofluorescence staining of HepG2 cells with CSB-PA871402LA01HU at 1:200, counter-stained with DAPI. The cells were fixed in 4% formaldehyde, permeabilized using 0.2% Triton X-100 and blocked in 10% normal Goat Serum. The cells were then incubated with the antibody overnight at 4°C. The secondary antibody was Alexa Fluor 488-congugated AffiniPure Goat Anti-Rabbit IgG(H+L).
-
Immunoprecipitating TUBGCP4 in MCF-7 whole cell lysate
Lane 1: Rabbit control IgG instead of CSB-PA871402LA01HU in MCF-7 whole cell lysate. For western blotting, a HRP-conjugated Protein G antibody was used as the secondary antibody (1/2000)
Lane 2: CSB-PA871402LA01HU (8μg) + MCF-7 whole cell lysate (500μg)
Lane 3: MCF-7 whole cell lysate (10μg)
-
-
其他:
產品詳情
-
產品名稱:Rabbit anti-Homo sapiens (Human) TUBGCP4 Polyclonal antibody
-
Uniprot No.:
-
基因名:TUBGCP4
-
別名:TUBGCP4 antibody; 76P antibody; GCP4 antibody; Gamma-tubulin complex component 4 antibody; GCP-4 antibody; hGCP4 antibody; Gamma-ring complex protein 76 kDa antibody; h76p antibody; hGrip76 antibody
-
宿主:Rabbit
-
反應種屬:Human
-
免疫原:Recombinant Human Gamma-tubulin complex component 4 protein (203-309AA)
-
免疫原種屬:Homo sapiens (Human)
-
標記方式:Non-conjugated
本頁面中的產品,TUBGCP4 Antibody (CSB-PA871402LA01HU),的標記方式是Non-conjugated。對于TUBGCP4 Antibody,我們還提供其他標記。見下表:
-
克隆類型:Polyclonal
-
抗體亞型:IgG
-
純化方式:>95%, Protein G purified
-
濃度:It differs from different batches. Please contact us to confirm it.
-
保存緩沖液:Preservative: 0.03% Proclin 300
Constituents: 50% Glycerol, 0.01M PBS, pH 7.4 -
產品提供形式:Liquid
-
應用范圍:ELISA, WB, IHC, IF, IP
-
推薦稀釋比:
Application Recommended Dilution WB 1:500-1:5000 IHC 1:20-1:200 IF 1:200-1:500 IP 1:200-1:2000 -
Protocols:
-
儲存條件:Upon receipt, store at -20°C or -80°C. Avoid repeated freeze.
-
貨期:Basically, we can dispatch the products out in 1-3 working days after receiving your orders. Delivery time maybe differs from different purchasing way or location, please kindly consult your local distributors for specific delivery time.
-
用途:For Research Use Only. Not for use in diagnostic or therapeutic procedures.
相關產品
靶點詳情
-
功能:Gamma-tubulin complex is necessary for microtubule nucleation at the centrosome.
-
基因功能參考文獻:
- Mutations in TUBGCP4 alter microtubule organization via the gamma-tubulin ring complex in autosomal-recessive microcephaly with chorioretinopathy. PMID: 25817018
-
相關疾病:Microcephaly and chorioretinopathy, autosomal recessive, 3 (MCCRP3)
-
亞細胞定位:Cytoplasm, cytoskeleton, microtubule organizing center, centrosome.
-
蛋白家族:TUBGCP family
-
組織特異性:Ubiquitously expressed.
-
數據庫鏈接:
Most popular with customers
-
-
YWHAB Recombinant Monoclonal Antibody
Applications: ELISA, WB, IHC, IF, FC
Species Reactivity: Human, Mouse, Rat
-
Phospho-YAP1 (S127) Recombinant Monoclonal Antibody
Applications: ELISA, WB, IHC
Species Reactivity: Human
-
-
-
-
-















