TWNK Antibody
-
中文名稱:TWNK兔多克隆抗體
-
貨號:CSB-PA842754LA01HU
-
規格:¥440
-
圖片:
-
Western Blot
Positive WB detected in: Mouse heart tissue
All lanes: TWNK antibody at 4.4μg/ml
Secondary
Goat polyclonal to rabbit IgG at 1/50000 dilution
Predicted band size: 78, 67, 61 kDa
Observed band size: 78 kDa -
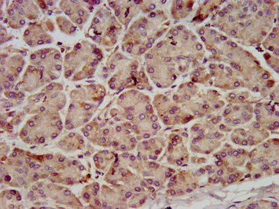
IHC image of CSB-PA842754LA01HU diluted at 1:800 and staining in paraffin-embedded human pancreatic tissue performed on a Leica BondTM system. After dewaxing and hydration, antigen retrieval was mediated by high pressure in a citrate buffer (pH 6.0). Section was blocked with 10% normal goat serum 30min at RT. Then primary antibody (1% BSA) was incubated at 4°C overnight. The primary is detected by a biotinylated secondary antibody and visualized using an HRP conjugated SP system.
-
IHC image of CSB-PA842754LA01HU diluted at 1:800 and staining in paraffin-embedded human testis tissue performed on a Leica BondTM system. After dewaxing and hydration, antigen retrieval was mediated by high pressure in a citrate buffer (pH 6.0). Section was blocked with 10% normal goat serum 30min at RT. Then primary antibody (1% BSA) was incubated at 4°C overnight. The primary is detected by a biotinylated secondary antibody and visualized using an HRP conjugated SP system.
-
-
其他:
產品詳情
-
產品名稱:Rabbit anti-Homo sapiens (Human) TWNK Polyclonal antibody
-
Uniprot No.:
-
基因名:TWNK
-
別名:Ataxin 8 antibody; Ataxin8 antibody; ATXN 8 antibody; ATXN8 antibody; C10 orf2 antibody; C10orf 2 antibody; C10orf2 antibody; Chromosome 10 open reading frame 2 antibody; IOSCA antibody; mitochondrial antibody; MTDPS7 antibody; PEO 1 antibody; PEO antibody; PEO1 antibody; PEO1_HUMAN antibody; PEOA3 antibody; Progressive external ophthalmoplegia 1 protein antibody; SANDO antibody; SCA 8 antibody; SCA8 antibody; T7 gp4 like protein with intramitochondrial nucleoid localization antibody; T7 gp4-like protein with intramitochondrial nucleoid localization antibody; T7 helicase-related protein with intramitochondrial nucleoid localization antibody; T7 like mitochondrial DNA helicase antibody; T7-like mitochondrial DNA helicase antibody; Twinkle protein antibody; Twinkle protein, mitochondrial antibody; TWINL antibody
-
宿主:Rabbit
-
反應種屬:Human, Mouse
-
免疫原:Recombinant Human Twinkle protein, mitochondrial protein (559-684AA)
-
免疫原種屬:Homo sapiens (Human)
-
標記方式:Non-conjugated
本頁面中的產品,TWNK Antibody (CSB-PA842754LA01HU),的標記方式是Non-conjugated。對于TWNK Antibody,我們還提供其他標記。見下表:
-
克隆類型:Polyclonal
-
抗體亞型:IgG
-
純化方式:>95%, Protein G purified
-
濃度:It differs from different batches. Please contact us to confirm it.
-
保存緩沖液:Preservative: 0.03% Proclin 300
Constituents: 50% Glycerol, 0.01M PBS, pH 7.4 -
產品提供形式:Liquid
-
應用范圍:ELISA, WB, IHC
-
推薦稀釋比:
Application Recommended Dilution WB 1:500-1:5000 IHC 1:500-1:1000 -
Protocols:
-
儲存條件:Upon receipt, store at -20°C or -80°C. Avoid repeated freeze.
-
貨期:Basically, we can dispatch the products out in 1-3 working days after receiving your orders. Delivery time maybe differs from different purchasing way or location, please kindly consult your local distributors for specific delivery time.
-
用途:For Research Use Only. Not for use in diagnostic or therapeutic procedures.
相關產品
靶點詳情
-
功能:Mitochondrial helicase involved in mtDNA replication and repair. Might have a role in mtDNA repair. Has DNA strand separation activity needed to form a processive replication fork for leading strand synthesis which is catalyzed by the formation of a replisome complex with POLG and mtSDB. Preferentially unwinds DNA substrates with pre-existing 5'-and 3'- single-stranded tails but is also active on a 5'- flap substrate. Can dissociate the invading strand of immobile or mobile D-loop DNA structures irrespective of the single strand polarity of the third strand. In addition to its DNA strand separation activity, also has DNA strand annealing, DNA strand-exchange and DNA branch migration activities.; Lack DNA unwinding and ATP hydrolysis activities. Does not bind single-stranded or double-stranded DNA.
-
基因功能參考文獻:
- A German cohort of 440 patients undergoing analysis for spinocerebellar ataxia (SCA) diagnosis was screened for DNA repeat expansions in SCA8, SCA10, SCA12, SCA36, FXTAS as well as for the pathogenic hexanucleotide repeat in the C9orf72 gene. Results found five patients showed 92 or more SCA8 CTA/CTG combined repeats. PMID: 29316893
- the newly identified for Perrault syndrome TWNK gene is involved in its pathogenesis. PMID: 28178980
- high mtDNA copy number is likely inheritable, which may act as a favorable factor to familial longevity through assuring adequate energy supply. PMID: 27600867
- Four DNA modifying activities of TWINKLE: strand-separation, strand-annealing, strand-exchange and branch migration suggest a dual role of TWINKLE in mitochondrial DNA maintenance. PMID: 26887820
- ere we present eight families affected by Perrault syndrome. In five families we identified novel or previously reported variants in HSD17B4, LARS2, CLPP and C10orf2 PMID: 26970254
- It has been demonstrated that MTERF1 arrests mitochondrial DNA (mtDNA) replication with distinct polarity whereby MTERF1 acts as a directional contra-helicase, blocking mtDNA unwinding by the mitochondrial helicase TWINKLE. PMID: 27112570
- studies shed new insight on the catalytic functions of Twinkle on the key DNA structures it would encounter during replication or possibly repair of the mitochondrial genome and how well it tolerates potential roadblocks to DNA unwinding PMID: 27226550
- sequencing coding regions of C10orf2 revealed three variants in three different patients, of which two were novel (c.1964G>A/p.G655D; c.204G>A/p.G68G) variants and one was reported (c.1052A>G/p. N351S). PMID: 26689116
- We identified a missense mutation in c10orf2 in an Iranian family with an association to progressive external ophthalmoplegia, myopathy, dysphagia, dysphonia, and behavior change. Early death was also a novel feature in affected family members. PMID: 26838077
- An electron microscopy model of Twinkle reveals a hexameric two-layered ring comprising the zinc-binding domain and RNA polymerase domain in one layer and the RecA-like hexamerization C-terminal domain in another. PMID: 25824949
- Identified compound heterozygous mutations of the C10orf2 gene as the cause of infantile-onset spinocerebellar ataxia with sensorimotor polyneuropathy and myopathy. PMID: 24816431
- The mitochondrial replicative helicase Twinkle inefficiently unwinds well characterized intermolecular and intramolecular G-quadruplex DNA substrates, as well as a unimolecular G4 substrate. PMID: 25193669
- Mutations in Twinkle were linked to Perrault syndrome with neurologic features. PMID: 25355836
- Mitochondrial DNA (mtDNA) content plays an important role in energy production and sustaining normal physiological function. PMID: 24524965
- 16-year follow-up of autosomal dominant progressive external ophthalmoplegia (adPEO) due to the p.R357P gene mutation in PEO1; adPEO due to this mutation is a late-onset ocular myopathy beginning with ptosis and progressing slowly; ophthalmoparesis, if present, is mild PMID: 24018892
- Overexpression of Twinkle-helicase protects cardiomyocytes from genotoxic stress caused by reactive oxygen species. PMID: 24218554
- A homozygous mutation in TWINKLE is the cause of multisystemic failure including renal tubulopathy in three consanguinity siblings. PMID: 23375728
- analysis did not reveal disease causing POLG or PEO1 mutations in patients with atypical parkinsonism PMID: 22580846
- Overexpression of d-mtDNA helicase containing either the K388A or A442P mutations causes a mitochondrial oxidative phosphorylation (OXPHOS) defect that significantly reduces cell proliferation. PMID: 22952820
- A novel homozygous missense mutation c.1366C>G (L456V) in C10orf2 (the Twinkle gene) was identified in a family with infantile onset spinocerebellar ataxia. PMID: 22353293
- the strand annealing activity of TWINKLE may play a role in recombination-mediated replication initiation found in the mitochondria of mammalian brain and heart or in replication fork regression during repair of damaged DNA replication forks. PMID: 22383523
- PEO1 sequencing discloses novel mutations in exons 1 and 4 of the gene in chronic external ophthalmoplegia; this is the first report of a mutation occurring in exon 4. PMID: 21689831
- Multimeric unicircular mtDNA molecules are seen in cells expressing Twinkle. PMID: 21540127
- We present a new French family of whom two members displayed autosomal dominant progressive external ophthalmoplegia associated with the R374Q mutation of the Twinkle gene PMID: 20880070
- Disease variants of the human mitochondrial DNA helicase encoded by C10orf2 differentially alter protein stability, nucleotide hydrolysis, and helicase activity. PMID: 20659899
- Our data suggest a shared clinical phenotype with variable mild multiorgan involvement, and that the contribution of PEO1 mutations as a cause of autosomal dominant progressive external ophthalmoplegia may well be underestimated. PMID: 20479361
- Twinkle variations in the linker domain alter cerebral function and further implicate disrupted mitochondrial DNA integrity in the pathogenesis of dementia PMID: 19513767
- study of a Saudi Arabian family with autosomal dominant progressive external ophthalmoplegia & late onset multi-organ failure caused by a novel PEO1/Twinkle mutation (1078C > G + 1079T > G double nucleotide change predicting a Leu360Gly substitution) PMID: 19853444
- Twinkle appears to be the most common gene associated with adPEO in Australian families. PMID: 12163192
- both the mitochondrial transcription factor TFAM and mitochondrial single-stranded DNA-binding protein colocalize with Twinkle in intramitochondrial foci PMID: 12686611
- A novel PEO1 mutation in a sporadic PEO patient with multiple mtDNA deletions. PMID: 12872260
- mechanism whereby mutations in twinkle result in progressive accumulation of multiple mtDNA deletions in post- mitotic tissues PMID: 15181170
- A novel heterozygous A to G transition at nucleotide 955 of C10Orf2 (Twinkle)ws found in siblings with sensory ataxic neuropathy. PMID: 15668446
- the severe neurological phenotype observed in infantile onset spinocerebellar ataxia, suggests that the mutated Twinky and Twinkle play a crucial role in the maintenance and/or function of specific affected neuronal subpopulations [twinky] PMID: 16135556
- Mitochondrial DNA helicase belongs to the DnaB-like family of replicative DNA helicases. PMID: 17324440
- Direct sequencing showed a heteroplasmic mutation at nucleotide 7506 in the dihydrouridine stem of the tRNA(Ser(UCN)) gene. PMID: 17614276
- We report a Spanish family showing a mild phenotype characterized by autosomal dominant ocular myopathy and morphological signs of mitochondrial dysfunction, that harboured a novel(p.R357P) mutation in the hot-spot linker region of the twinkle protein. PMID: 17614277
- This finding broadens the clinical spectrum of Twinkle gene mutations and further implicates loss of mitochondrial DNA integrity in the pathogenesis of Parkinson disease. PMID: 17620490
- Identifying other Twinkle mutations in mitochondrial DNA depletion and/or autosomal dominant progressive external ophthalmoplegia and studying their impact on proteins should help in understanding why some mutations are recessive and others are dominant. PMID: 17722119
- study reports a new phenotype in two siblings with compound heterozygous Twinkle mutations (A318T and Y508C), characterized by severe early onset encephalopathy and signs of liver involvement PMID: 17921179
- The N-terminal part of TWINKLE is required for efficient binding to single-stranded DNA. PMID: 18039713
- We describe a new de novo mutation (1110C>A) in the PEO1 gene in patients with Ophthalmoplegia, Chronic Progressive External in a mother and her two sons. PMID: 18396044
- Data show that PEO1 has a major role in determining familial progressive external ophthalmoplegia. PMID: 18575922
- MtDNA replication pausing is the consequence of Twinkle mutations that predisposes to progressive external ophthalmoplegia. PMID: 18971204
- A heterozygous mutation predicting a R334Q substitution in Twinkle was associated with progressive external opthalmoplegia and/or Parkinsonism in several members of a family. PMID: 18973250
- This study widens the mutation spectrum of PEO1 and is the first to report the PEO1 mutation in the Chinese population. PMID: 18989381
- Association of the T(-365)C POLG1, G(-25)A ANT1 and G(-605)T PEO1 gene polymorphisms with diabetic polyneuropathy in patients with type 1 diabetes mellitus PMID: 19425506
- heterozygous c.907C>T (p.R303W) mutation found in the N-terminal domain of the human mitochondrial DNA helicase, Twinkle protein, associated with phenotypically mild autosomal dominant progressive external ophthalmoplegia PMID: 19428252
顯示更多
收起更多
-
相關疾病:Progressive external ophthalmoplegia with mitochondrial DNA deletions, autosomal dominant, 3 (PEOA3); Mitochondrial DNA depletion syndrome 7 (MTDPS7); Perrault syndrome 5 (PRLTS5)
-
亞細胞定位:Mitochondrion matrix, mitochondrion nucleoid.
-
組織特異性:High relative levels in skeletal muscle, testis and pancreas. Lower levels of expression in the heart, brain, placenta, lung, liver, kidney, spleen, thymus, prostate, ovary, small intestine, colon and leukocytes. Expression is coregulated with MRPL43.
-
數據庫鏈接:
Most popular with customers
-
-
YWHAB Recombinant Monoclonal Antibody
Applications: ELISA, WB, IHC, IF, FC
Species Reactivity: Human, Mouse, Rat
-
Phospho-YAP1 (S127) Recombinant Monoclonal Antibody
Applications: ELISA, WB, IHC
Species Reactivity: Human
-
-
-
-
-















