UGT2B10 Antibody
-
中文名稱:UGT2B10兔多克隆抗體
-
貨號:CSB-PA025587ESR1HU
-
規格:¥440
-
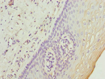
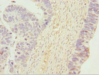
圖片:
-
其他:
產品詳情
-
產品名稱:Rabbit anti-Homo sapiens (Human) UGT2B10 Polyclonal antibody
-
Uniprot No.:
-
基因名:UGT2B10
-
別名:UGT2B10; UDP-glucuronosyltransferase 2B10; UDPGT 2B10
-
宿主:Rabbit
-
反應種屬:Human
-
免疫原:Recombinant Human UDP-glucuronosyltransferase 2B10 protein (20-280AA)
-
免疫原種屬:Homo sapiens (Human)
-
標記方式:Non-conjugated
-
克隆類型:Polyclonal
-
抗體亞型:IgG
-
純化方式:Antigen Affinity Purified
-
濃度:It differs from different batches. Please contact us to confirm it.
-
保存緩沖液:PBS with 0.02% sodium azide, 50% glycerol, pH7.3.
-
產品提供形式:Liquid
-
應用范圍:ELISA, IHC
-
推薦稀釋比:
Application Recommended Dilution IHC 1:20-1:200 -
Protocols:
-
儲存條件:Upon receipt, store at -20°C or -80°C. Avoid repeated freeze.
-
貨期:Basically, we can dispatch the products out in 1-3 working days after receiving your orders. Delivery time maybe differs from different purchasing way or location, please kindly consult your local distributors for specific delivery time.
-
用途:For Research Use Only. Not for use in diagnostic or therapeutic procedures.
相關產品
靶點詳情
-
功能:UDPGT is of major importance in the conjugation and subsequent elimination of potentially toxic xenobiotics and endogenous compounds.
-
基因功能參考文獻:
- UGT2B10 was for the first time identified as an N-glucosidation enzyme. Generated N-glucosides were excreted primarily by the BCRP transporter. PMID: 29691239
- A significant contribution of AS in the regulation of UGT2B10 expression in the liver. PMID: 29438977
- UGT2B10 activity or genotype should be considered when using cotinine as a tobacco exposure biomarker, particularly in populations such as African American with high frequencies of UGT2B10 nonfunctional variants. PMID: 28264876
- Spatial features influence the potency of UGT2B10 inhibition. PMID: 26669329
- UGT2B10 variant allele carriers had increased levels of C-oxidation (P = 0.0099)and all pathways should be considered when characterizing the role of nicotine metabolism on smoking behavior and cancer risk. PMID: 25233931
- CYP2A6 and UGT2B10 genotype explain 53% of the variance in oral nicotine glucuronidation. They are also significantly associated with undeuterated (D0) nicotine glucuronidation in individuals smoking ad libitum. PMID: 24192532
- the substrate specificity of UGT2B10, highlighting its preference for tertiary amines with higher affinities and clearance values than those of UGT1A4 and UGT1A3. PMID: 23611809
- UGT2B17 and UGT2B10 play key roles in the glucuronidation of 3HC in the human liver and that functional polymorphisms in UGT2B17 and UGT2B10 are associated with significantly reduced glucuronidation activities against 3HC. PMID: 22228205
- Data show that UGT2B10 predicts MD independently of age, hormone therapy and parity. PMID: 20799965
- Data suggest that UGTs 2B10 and 2B17 play important roles in the glucuronidation of nicotine and suggest that the UGT2B10 codon 67 SNP and the UGT2B17 gene deletion reduce overall glucuronidation rates of nicotine and its major metabolites in smokers. PMID: 20876810
- UGT2B10 genotype influences nicotine metabolism and should be taken into account when characterizing the role of nicotine metabolism on smoking. PMID: 20501767
- Nicotine glucuronidation and UGT2B10 is reported. PMID: 17576790
- Data suggest that UGT2B10 is the major hepatic enzyme involved in nicotine/cotinine glucuronidation and that the UGT2B10*2 variant reduces nicotine- and cotinine-N-glucuronidation formation and plays a role in nicotine metabolism and elimination. PMID: 17909004
- The UGT2B10(67Tyr) variant corresponding to haplotype C is a functional single nucleotide polymorphism that may be responsible for inter individual variation in NNAL-N-glucuronidation activity and may increase susceptibility to smoking-related cancers. PMID: 18300939
顯示更多
收起更多
-
亞細胞定位:Microsome membrane; Single-pass membrane protein. Endoplasmic reticulum membrane; Single-pass membrane protein.
-
蛋白家族:UDP-glycosyltransferase family
-
數據庫鏈接:
Most popular with customers
-
YWHAB Recombinant Monoclonal Antibody
Applications: ELISA, WB, IHC, IF, FC
Species Reactivity: Human, Mouse, Rat
-
Phospho-YAP1 (S127) Recombinant Monoclonal Antibody
Applications: ELISA, WB, IHC
Species Reactivity: Human
-
-
-
-
-
-















