ULK2 Antibody
-
中文名稱:ULK2兔多克隆抗體
-
貨號:CSB-PA811629LA01HU
-
規格:¥440
-
圖片:
-
Western Blot
Positive WB detected in: SH-SY5Y whole cell lysate, HepG2 whole cell lysate, K562 whole cell lysate
All lanes: ULK2 antibody at 2.9µg/ml
Secondary
Goat polyclonal to rabbit IgG at 1/50000 dilution
Predicted band size: 113 kDa
Observed band size: 113 kDa -
IHC image of CSB-PA811629LA01HU diluted at 1:400 and staining in paraffin-embedded human colon cancer performed on a Leica BondTM system. After dewaxing and hydration, antigen retrieval was mediated by high pressure in a citrate buffer (pH 6.0). Section was blocked with 10% normal goat serum 30min at RT. Then primary antibody (1% BSA) was incubated at 4°C overnight. The primary is detected by a biotinylated secondary antibody and visualized using an HRP conjugated SP system.
-
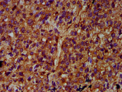
IHC image of CSB-PA811629LA01HU diluted at 1:400 and staining in paraffin-embedded human glioma performed on a Leica BondTM system. After dewaxing and hydration, antigen retrieval was mediated by high pressure in a citrate buffer (pH 6.0). Section was blocked with 10% normal goat serum 30min at RT. Then primary antibody (1% BSA) was incubated at 4°C overnight. The primary is detected by a biotinylated secondary antibody and visualized using an HRP conjugated SP system.
-
-
其他:
產品詳情
-
產品名稱:Rabbit anti-Homo sapiens (Human) ULK2 Polyclonal antibody
-
Uniprot No.:
-
基因名:
-
別名:ATG1B antibody; KIAA0623 antibody; Serine/threonine protein kinase ULK2 antibody; Serine/threonine-protein kinase ULK2 antibody; ULK2 antibody; ULK2_HUMAN antibody; Unc 51 (C. elegans) like kinase 2 antibody; Unc 51 like autophagy activating kinase 2 antibody; Unc 51 like kinase 2 antibody; Unc-51-like kinase 2 antibody; Unc51.2 antibody
-
宿主:Rabbit
-
反應種屬:Human
-
免疫原:Recombinant Human Serine/threonine-protein kinase ULK2 protein (211-276AA)
-
免疫原種屬:Homo sapiens (Human)
-
標記方式:Non-conjugated
本頁面中的產品,ULK2 Antibody (CSB-PA811629LA01HU),的標記方式是Non-conjugated。對于ULK2 Antibody,我們還提供其他標記。見下表:
-
克隆類型:Polyclonal
-
抗體亞型:IgG
-
純化方式:>95%, Protein G purified
-
濃度:It differs from different batches. Please contact us to confirm it.
-
保存緩沖液:Preservative: 0.03% Proclin 300
Constituents: 50% Glycerol, 0.01M PBS, pH 7.4 -
產品提供形式:Liquid
-
應用范圍:ELISA, WB, IHC
-
推薦稀釋比:
Application Recommended Dilution WB 1:500-1:5000 IHC 1:200-1:500 -
Protocols:
-
儲存條件:Upon receipt, store at -20°C or -80°C. Avoid repeated freeze.
-
貨期:Basically, we can dispatch the products out in 1-3 working days after receiving your orders. Delivery time maybe differs from different purchasing way or location, please kindly consult your local distributors for specific delivery time.
-
用途:For Research Use Only. Not for use in diagnostic or therapeutic procedures.
相關產品
靶點詳情
-
功能:Serine/threonine-protein kinase involved in autophagy in response to starvation. Acts upstream of phosphatidylinositol 3-kinase PIK3C3 to regulate the formation of autophagophores, the precursors of autophagosomes. Part of regulatory feedback loops in autophagy: acts both as a downstream effector and a negative regulator of mammalian target of rapamycin complex 1 (mTORC1) via interaction with RPTOR. Activated via phosphorylation by AMPK, also acts as a negative regulator of AMPK through phosphorylation of the AMPK subunits PRKAA1, PRKAB2 and PRKAG1. May phosphorylate ATG13/KIAA0652, FRS2, FRS3 and RPTOR; however such data need additional evidences. Not involved in ammonia-induced autophagy or in autophagic response of cerebellar granule neurons (CGN) to low potassium concentration. Plays a role early in neuronal differentiation and is required for granule cell axon formation: may govern axon formation via Ras-like GTPase signaling and through regulation of the Rab5-mediated endocytic pathways within developing axons.
-
基因功能參考文獻:
- MiRNA-26b may play a key role in cell growth and death of laryngeal carcinoma through ULK2 and the PTEN/AKT pathway. PMID: 28713931
- The serine/threonine kinase ULK2 binds to and phosphorylates CARMA2sh. PMID: 28230860
- Knockdown of ULK2 expression significantly induced autophagy, EMT, and cell migration in lung cancer cell line. PMID: 27062295
- miR-26b was down-regulated in LNCaP, DU145, C4-2 and PC-3 cells compared to the two normal prostate cells RWPE-1 and WPMY-1 except DU145 cells. This inversely correlates with ULK2 level in the same cell lines. PMID: 26920049
- Kapbeta2 interacts with ULK2 through ULK2's putative PY-NLS motif, and facilitates transport from the cytoplasm to the nucleus, depending on its Ser1027 residue phosphorylation by PKA, thereby reducing autophagic activity. PMID: 26052940
- Glioblastoma and glioma cell lines had low levels of ULK2 transcripts. ULK2 promoter methylation and transcript levels showed significant negative correlation. PMID: 24923441
- First identification and naming of ULK2 as an ortholog of mouse ULK2. PMID: 12471243
顯示更多
收起更多
-
亞細胞定位:Cytoplasmic vesicle membrane; Peripheral membrane protein. Note=Localizes to pre-autophagosomal membrane.
-
蛋白家族:Protein kinase superfamily, Ser/Thr protein kinase family, APG1/unc-51/ULK1 subfamily
-
數據庫鏈接:
Most popular with customers
-
-
YWHAB Recombinant Monoclonal Antibody
Applications: ELISA, WB, IHC, IF, FC
Species Reactivity: Human, Mouse, Rat
-
Phospho-YAP1 (S127) Recombinant Monoclonal Antibody
Applications: ELISA, WB, IHC
Species Reactivity: Human
-
-
-
-
-
VDAC1 Recombinant Monoclonal Antibody
Applications: ELISA, WB, IHC
Species Reactivity: Human, Mouse, Rat















