UPF3B Antibody
-
中文名稱:UPF3B兔多克隆抗體
-
貨號:CSB-PA883646LA01HU
-
規格:¥440
-
圖片:
-
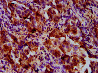
IHC image of CSB-PA883646LA01HU diluted at 1:500 and staining in paraffin-embedded human lung cancer performed on a Leica BondTM system. After dewaxing and hydration, antigen retrieval was mediated by high pressure in a citrate buffer (pH 6.0). Section was blocked with 10% normal goat serum 30min at RT. Then primary antibody (1% BSA) was incubated at 4°C overnight. The primary is detected by a biotinylated secondary antibody and visualized using an HRP conjugated SP system.
-
IHC image of CSB-PA883646LA01HU diluted at 1:500 and staining in paraffin-embedded human colon cancer performed on a Leica BondTM system. After dewaxing and hydration, antigen retrieval was mediated by high pressure in a citrate buffer (pH 6.0). Section was blocked with 10% normal goat serum 30min at RT. Then primary antibody (1% BSA) was incubated at 4°C overnight. The primary is detected by a biotinylated secondary antibody and visualized using an HRP conjugated SP system.
-
Immunofluorescence staining of Hela cells with CSB-PA883646LA01HU at 1:166, counter-stained with DAPI. The cells were fixed in 4% formaldehyde, permeabilized using 0.2% Triton X-100 and blocked in 10% normal Goat Serum. The cells were then incubated with the antibody overnight at 4°C. The secondary antibody was Alexa Fluor 488-congugated AffiniPure Goat Anti-Rabbit IgG(H+L).
-
-
其他:
產品詳情
-
產品名稱:Rabbit anti-Homo sapiens (Human) UPF3B Polyclonal antibody
-
Uniprot No.:
-
基因名:UPF3B
-
別名:UPF3B antibody; RENT3B antibody; UPF3X antibody; Regulator of nonsense transcripts 3B antibody; Nonsense mRNA reducing factor 3B antibody; Up-frameshift suppressor 3 homolog B antibody; hUpf3B antibody; Up-frameshift suppressor 3 homolog on chromosome X antibody; hUpf3p-X antibody
-
宿主:Rabbit
-
反應種屬:Human
-
免疫原:Recombinant Human Regulator of nonsense transcripts 3B protein (319-423AA)
-
免疫原種屬:Homo sapiens (Human)
-
標記方式:Non-conjugated
本頁面中的產品,UPF3B Antibody (CSB-PA883646LA01HU),的標記方式是Non-conjugated。對于UPF3B Antibody,我們還提供其他標記。見下表:
-
克隆類型:Polyclonal
-
抗體亞型:IgG
-
純化方式:>95%, Protein G purified
-
濃度:It differs from different batches. Please contact us to confirm it.
-
保存緩沖液:Preservative: 0.03% Proclin 300
Constituents: 50% Glycerol, 0.01M PBS, pH 7.4 -
產品提供形式:Liquid
-
應用范圍:ELISA, IHC, IF
-
推薦稀釋比:
Application Recommended Dilution IHC 1:500-1:1000 IF 1:50-1:200 -
Protocols:
-
儲存條件:Upon receipt, store at -20°C or -80°C. Avoid repeated freeze.
-
貨期:Basically, we can dispatch the products out in 1-3 working days after receiving your orders. Delivery time maybe differs from different purchasing way or location, please kindly consult your local distributors for specific delivery time.
-
用途:For Research Use Only. Not for use in diagnostic or therapeutic procedures.
相關產品
靶點詳情
-
功能:Involved in nonsense-mediated decay (NMD) of mRNAs containing premature stop codons by associating with the nuclear exon junction complex (EJC) and serving as link between the EJC core and NMD machinery. Recruits UPF2 at the cytoplasmic side of the nuclear envelope and the subsequent formation of an UPF1-UPF2-UPF3 surveillance complex (including UPF1 bound to release factors at the stalled ribosome) is believed to activate NMD. In cooperation with UPF2 stimulates both ATPase and RNA helicase activities of UPF1. Binds spliced mRNA upstream of exon-exon junctions. In vitro, stimulates translation; the function is independent of association with UPF2 and components of the EJC core.
-
基因功能參考文獻:
- The authors discovered that UPF3B (i) interacts with the release factors, (ii) delays translation termination and (iii) dissociates post-termination ribosomal complexes that are devoid of the nascent peptide. PMID: 28899899
- UPF3B gene mutation is associated with Lujan-Fryns syndrome. PMID: 26358559
- the neurodevelopmental phenotype of UPF3B missense mutation is caused by impairment of nonsense-mediated mRNA decay pathway function altering neuronal differentiation. PMID: 26012578
- These findings indicate that SATB2 activates UPF3B expression through binding to its promoter. PMID: 23925499
- Data indicate the mutation p.R430X of UPF3B gene as the genetic etiology in the mental retardation pedigree. PMID: 22957832
- results demonstrate that the UPF3B-dependent NMD pathway is a major regulator of the transcriptome and that its targets have important roles in neuronal cells. PMID: 22182939
- The two cases with renal dysplasia and developmental delay showed remarkable clinical variability despite having the same mutation in UPF3B. PMID: 22609145
- Our results demonstrate that in addition to Lujan-Fryns and FG syndromes, UPF3B protein truncation mutations can cause also nonspecific XLMR. PMID: 19238151
- 3.4 A resolution crystal structure of a minimal UPF3b-EJC assembly, consisting of the interacting domains of five proteins (UPF3b, MAGO, Y14, eIF4AIII, and Barentsz) together with RNA and adenylyl-imidodiphosphate PMID: 20479275
- A conserved domain of hUpf3b mediates an interaction with the EJC protein Y14. Y14 is required for nonsense-mediated decay induced by tethered hUpf3b. PMID: 12718880
- The protein region that mediates this interaction and discriminates between hUpf3a and hUpf3b in NMD function is located in the C-terminal domain and fully contained within a small sequence that is highly conserved in Upf3b but not Upf3a proteins PMID: 16601204
- UPF3B induces nonsense mediated decay in the cytoplasm PMID: 17194930
- Three mutations lead to the introduction of a premature termination codon and subsequent nonsense-mediated mRNA decay of mutant UPF3B mRNA. PMID: 17704778
- UPF2 and UPF3b cooperatively stimulate both ATPase and RNA helicase activities of UPF1. PMID: 18066079
- Results suggest that UPF3A levels are tightly regulated by a post-transcriptional switch to maintain appropriate levels of NMD substrates in cells containing different levels of UPF3B. PMID: 19503078
- binds to spliced mRNAs upstream of exon-exon junctions; is part of mRNP complexes that are ready for nuclear export and that participate in nonsense-mediated mRNA decay PMID: 11546873
- binds RNPS1 protein, part of the postsplicing complex deposited 5' to exon-exon junctions PMID: 11546874
顯示更多
收起更多
-
相關疾病:Mental retardation, X-linked, syndromic, 14 (MRXS14)
-
亞細胞定位:Nucleus. Cytoplasm. Note=Shuttling between the nucleus and the cytoplasm.
-
蛋白家族:RENT3 family
-
組織特異性:Expressed in testis, uterus, prostate, heart, muscle, brain, spinal cord and placenta.
-
數據庫鏈接:
Most popular with customers
-
-
YWHAB Recombinant Monoclonal Antibody
Applications: ELISA, WB, IHC, IF, FC
Species Reactivity: Human, Mouse, Rat
-
Phospho-YAP1 (S127) Recombinant Monoclonal Antibody
Applications: ELISA, WB, IHC
Species Reactivity: Human
-
-
-
-
-















