VDAC3 Antibody
-
中文名稱:VDAC3兔多克隆抗體
-
貨號:CSB-PA896484LA01HU
-
規格:¥440
-
圖片:
-
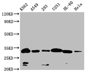
Western Blot
Positive WB detected in: K562 whole cell lysate,A549 whole cell lysate,293 whole cell lysate,U251 whole cell lysate,HL-60 whole cell lysate,Hela whole cell lysate
All lanes: VDAC3 antibody at 1:1000
Secondary
Goat polyclonal to rabbit IgG at 1/50000 dilution
Predicted band size: 31 kDa
Observed band size: 32 kDa -
Immunofluorescence staining of Hela cells with CSB-PA896484LA01HU at 1:50, counter-stained with DAPI. The cells were fixed in 4% formaldehyde and blocked in 10% normal Goat Serum. The cells were then incubated with the antibody overnight at 4°C. The secondary antibody was Alexa Fluor 488-congugated AffiniPure Goat Anti-Rabbit IgG(H+L).
-
-
其他:
產品詳情
-
產品名稱:Rabbit anti-Homo sapiens (Human) VDAC3 Polyclonal antibody
-
Uniprot No.:
-
基因名:
-
別名:Voltage-dependent anion-selective channel protein 3 (VDAC-3) (hVDAC3) (Outer mitochondrial membrane protein porin 3), VDAC3
-
宿主:Rabbit
-
反應種屬:Human
-
免疫原:Recombinant Human Voltage-dependent anion-selective channel protein 3 protein (40-160aa)
-
免疫原種屬:Homo sapiens (Human)
-
標記方式:Non-conjugated
本頁面中的產品,VDAC3 Antibody (CSB-PA896484LA01HU),的標記方式是Non-conjugated。對于VDAC3 Antibody,我們還提供其他標記。見下表:
-
克隆類型:Polyclonal
-
抗體亞型:IgG
-
純化方式:>95%, Protein G purified
-
濃度:It differs from different batches. Please contact us to confirm it.
-
保存緩沖液:Preservative: 0.03% Proclin 300
Constituents: 50% Glycerol, 0.01M PBS, pH 7.4 -
產品提供形式:Liquid
-
應用范圍:ELISA, WB, IF
-
推薦稀釋比:
Application Recommended Dilution WB 1:1000-1:5000 IF 1:50-1:500 -
Protocols:
-
儲存條件:Upon receipt, store at -20°C or -80°C. Avoid repeated freeze.
-
貨期:Basically, we can dispatch the products out in 1-3 working days after receiving your orders. Delivery time maybe differs from different purchasing way or location, please kindly consult your local distributors for specific delivery time.
-
用途:For Research Use Only. Not for use in diagnostic or therapeutic procedures.
相關產品
靶點詳情
-
功能:Forms a channel through the mitochondrial outer membrane that allows diffusion of small hydrophilic molecules.
-
基因功能參考文獻:
- The AG genotype of rs16891278 showed a significantly lower sperm concentration compared with the AA genotype (P = 0.044). Findings suggest that VDAC3 genetic variants may be associated with human sperm count. PMID: 28431403
- This cohort study showed that the VDAC3 gene was down regulation between patients with idiopathic Parkinson disease and controls PMID: 28916538
- VDAC3 is able to modulate its pore size and current by exploiting the mobility of the N-terminal and forming, upon external stimuli, disulfide bridges with cysteine residues located on the barrel and exposed to the inter-membrane space. PMID: 26806159
- channel gating of VDAC3 might be controlled by redox sensing under physiological conditions PMID: 26407725
- observed electrophysiological properties of hVDAC3 are surprisingly different from the other isoforms and are discussed in relation to the proposed physiological role of the protein in mammalian cells PMID: 25171321
- a VDAC3-Mps1 module at the centrosome promotes ciliary disassembly during cell cycle entry. PMID: 23388454
- VDAC3 is present at the mother centriole and modulates centriole assembly by recruiting Mps1 to centrosomes. PMID: 22935710
- VDAC3 has a limited ability to support mitochondrial respiration and has no influence in the control of ROS production. PMID: 20138821
- VDAC3 is a novel target for protein S-nigrosylation in spermatozoa. PMID: 17683036
顯示更多
收起更多
-
亞細胞定位:Mitochondrion outer membrane. Membrane.
-
蛋白家族:Eukaryotic mitochondrial porin family
-
組織特異性:Expressed in erythrocytes (at protein level). Widely expressed. Highest in testis.
-
數據庫鏈接:
Most popular with customers
-
-
Phospho-YAP1 (S127) Recombinant Monoclonal Antibody
Applications: ELISA, WB, IHC
Species Reactivity: Human
-
-
-
-
-
-















