VTCN1 Antibody
-
中文名稱:VTCN1兔多克隆抗體
-
貨號:CSB-PA017573
-
規格:¥1100
-
圖片:
-
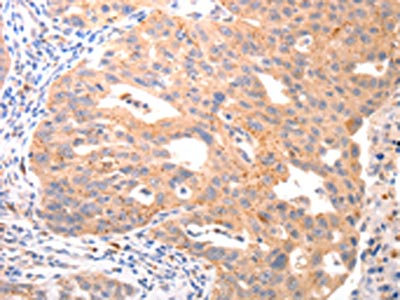
The image on the left is immunohistochemistry of paraffin-embedded Human ovarian cancer tissue using CSB-PA017573(VTCN1 Antibody) at dilution 1/20, on the right is treated with synthetic peptide. (Original magnification: ×200)
-
The image on the left is immunohistochemistry of paraffin-embedded Human thyroid cancer tissue using CSB-PA017573(VTCN1 Antibody) at dilution 1/20, on the right is treated with synthetic peptide. (Original magnification: ×200)
-
-
其他:
產品詳情
-
Uniprot No.:
-
基因名:
-
別名:B7 family member, H4 antibody; B7 H4 antibody; B7 homolog 4 antibody; B7 superfamily member 1 antibody; B7 superfamily, member 1 antibody; B7-H4 antibody; B7h.5 antibody; B7h4 antibody; B7S1 antibody; B7x antibody; BC032925 antibody; Immune costimulatory protein B7-H4 antibody; Immune costimulatory protein B7H4 antibody; MGC41287 antibody; PRO1291 antibody; Protein B7S1 antibody; RP11 229A19.4 antibody; T cell costimulatory molecule B7x antibody; T-cell costimulatory molecule B7x antibody; V set domain-containing T cell activation inhibitor 1 antibody; V-set domain-containing T-cell activation inhibitor 1 antibody; VCTN1 antibody; Vtcn1 antibody; VTCN1_HUMAN antibody
-
宿主:Rabbit
-
反應種屬:Human,Mouse,Rat
-
免疫原:Synthetic peptide of Human VTCN1
-
免疫原種屬:Homo sapiens (Human)
-
標記方式:Non-conjugated
-
抗體亞型:IgG
-
純化方式:Antigen affinity purification
-
濃度:It differs from different batches. Please contact us to confirm it.
-
保存緩沖液:-20°C, pH7.4 PBS, 0.05% NaN3, 40% Glycerol
-
產品提供形式:Liquid
-
應用范圍:ELISA,IHC
-
推薦稀釋比:
Application Recommended Dilution ELISA 1:2000-1:5000 IHC 1:25-1:100 -
Protocols:
-
儲存條件:Upon receipt, store at -20°C or -80°C. Avoid repeated freeze.
-
貨期:Basically, we can dispatch the products out in 1-3 working days after receiving your orders. Delivery time maybe differs from different purchasing way or location, please kindly consult your local distributors for specific delivery time.
-
用途:For Research Use Only. Not for use in diagnostic or therapeutic procedures.
相關產品
靶點詳情
-
功能:Negatively regulates T-cell-mediated immune response by inhibiting T-cell activation, proliferation, cytokine production and development of cytotoxicity. When expressed on the cell surface of tumor macrophages, plays an important role, together with regulatory T-cells (Treg), in the suppression of tumor-associated antigen-specific T-cell immunity. Involved in promoting epithelial cell transformation.
-
基因功能參考文獻:
- None of the genotype distributions showed a significant difference from the control group for the rs10801935 polymorphism. We conclude that B7-H4 has the potential to be a useful prognostic marker in urothelial carcinoma. PMID: 28425229
- B7-H4/NF-kappaB signaling is involved in the EMT and invasion of bladder cancer cells. PMID: 29391086
- The aim of the present work was to evaluate the effectiveness of anti-B7-H4-scFv-CH3 against tumors in vitro and in vivo. ScFv can inhibit signaling pathways to improve immunity by binding with the T lymphocyte negative co-stimulatory factor B7-H4. PMID: 30207312
- High B7-H4 expression is associated with phyllodes tumors. PMID: 30486739
- Studies suggest that V-set domain containing T cell activation inhibitor 1 protein (B7S1) may represent a very promising candidate to be targeted to treat various tumors. PMID: 30069671
- Human Immunodeficiency virus type-1 myeloid derived suppressor cells inhibit cytomegalovirus inflammation through IL-27 and B7-H4. PMID: 28338007
- High B7-H4 expression is associated with glioblastoma. PMID: 30159779
- Serum B7-H4 detection, either alone or in combination with carbohydrate antigen 125, has an acceptable value in the diagnosis of OC. PMID: 29970702
- the findings of this study suggested that B7-H4 may have the potential to be a valuable prognostic marker and a target for individualized therapies for gastric cancer PMID: 29436630
- Upregulation of B7-H4 promotes tumor progression of intrahepatic cholangiocarcinoma. PMID: 29235470
- B7-H3 protein is expressed in the majority of NSCLCs and is associated with smoking history. High levels of B7-H3 protein have a negative prognostic impact in lung carcinomas. Coexpression of B7-H3 with PD-L1 and B7-H4 is relatively low, suggesting a nonredundant biological role of these targets. PMID: 28539467
- When compared to early-stage lung adenocarcinoma, metastatic pleural adenocarcinoma possessed higher level of nuclei membranous B7-H4 and lower cytoplasmic B7-H4 expression. PMID: 28923053
- The decrease of B7-H4 expression in salivary glands of Sjogren's syndrome patients contributes to the defect of negatively regulating the inflammation caused by CD4(+) T cells. PMID: 28217953
- Preclinical investigation into B7-H4-specific chimeric antigen receptor (CAR) T cells, antibody-mediated blockade of B7-H4, and anti-B7-H4 drug conjugates has shown antitumor efficacy in mouse models. PMID: 28325750
- This meta-analysis demonstrated that high B7-H4 expression is an unfavorable prognostic factor in NSCLC. PMID: 28404927
- This meta-analysis clarified that high B7-H4 expression in tissue was significantly associated with poor survival in patients with solid tumors. PMID: 27058425
- in pulmonary adenocarcinoma presenting with SPN, nuclear membrane localization of B7-H4 within the tumor cells is associated with increased malignancy PMID: 27438152
- Study reportes that B7-H3 and B7-H4 are highly expressed in human esophageal cancer tissues and significantly associated with tumor invasion. PMID: 27764786
- Results revealed B7-H4 to be associated with poor prognosis in patients with pancreatic cancer liver metastasis. B7-H4 may promote pancreatic cancer metastasis. PMID: 27750217
- PD-L1, IDO-1, and B7-H4 are differentially expressed in human lung carcinomas and show limited co-expression. While PD-L1 and IDO-1 are associated with increased tumor-infiltrating lymphoycte and IFN-gamma stimulation, B7-H4 is not. PMID: 27440266
- B7-H4 activation on Mphis/microglia in the microenvironment of gliomas is an important immunosuppressive event blocking effective T-cell immune responses. PMID: 27001312
- Knockdown of B7-H4 significantly up-regulated 57 miRNAs and down-regulated 14 miRNAs. PMID: 29145206
- Increased serum levels of sB7-H4 in early pregnancy in premature rupture of the amniotic membranes cases may indicate the dynamics of the immune response at the feto-maternal interface and, thus, may serve as a predictive marker for this pregnancy complication. PMID: 27302185
- our study demonstrates a strong promoting role of B7-H4 in lung tumor growth, progression and metastasis PMID: 28061481
- results demonstrated for the first time that miR-125b-5p could regulate the inflammatory state of macrophages via directly targeting B7-H4 PMID: 28754594
- B7-H4 is highly expressed in pancreatic cancer, and is an independent predictor of poor prognosis. PMID: 28600225
- Evidence of associations between genotypes and Juvenile Idiopathic Arthritis were found for VTCN1, while VTCN1_rs2358820 GA was associated with Uveitis . PMID: 28145159
- B7-H4 is highly expressed in human OSCC tissue, and the B7-H4 expression level was associated with the clinicopathological parameters containing pathological grade and lymph node status. PMID: 27383830
- High B7-H4 expression is associated with non-Hodgkin lymphoma. PMID: 28246881
- B7-H4 is frequently expressed in ovarian serous carcinomas, especially high-grade serous carcinomas, and may represent a novel immunotherapeutic target in this cancer. PMID: 27349304
- While PD-L1 expression correlated with MSI and high grade endometrial tumors, B7-H4 expression was independent of grade, histology and immune cell infiltration. PMID: 28347512
- the present review highlights the therapeutic potential of targeting B7-H4 in cancer PMID: 28258701
- Survival rate of the patients with higher B7-H4 expression was significantly worse than that of the patients with lower B7-H4 expression. PMID: 28412458
- Study provides evidence that B7-H4 expression is present in cervical intraepithelial neoplasia and cervical cancer patients and suggests its involvement in cervical cancer progression. PMID: 28260085
- this review shows that targeting the B7-H4 molecule may provide a promising potential for anticancer immunotherapy PMID: 27258187
- Higher expression of HBx and B7-H4 was correlated with tumor progression of hepatitis B virus-hepatocellular carcinoma, suggesting that B7-H4 may be involved in facilitating HBV-related hepatocarcinogenesis. PMID: 27182163
- Aberrant expression of B7-H4 has been identified to correlate with the TNM stage, differentiation degree and lymph node metastasis in patients with HCC. PMID: 27840912
- B7-H4 may be overexpressed on the majority of cells in the IDC microenvironment, including macrophages. In vitro experiments revealed that M1 and M2 cells expressed B7-H4. Compared with M1 cells, M2 cells exhibited significantly higher expression levels of B7-H4. PMID: 27430170
- wortmannin and rapamycin inhibit B7-H4-mediated tumor immunoresistance through regulating B7-H4 subcellular distribution. Taken together, these results suggest that PI3K/Akt/mTOR inhibitors might be used for adjuvant therapy aimed at inhibition of immune evasion. PMID: 28064317
- Unstable cell surface antigens are not suitable as targets for ADCC, and we therefore performed an indirect ADCC-redirecting T-cell cytotoxicity assay to study B7-H4 using polyclonal anti-mouse IgG antibody-mediated linking. PMID: 27632942
- Knockdown of B7-H4 increased CD8+ T cell-mediated cytotoxicity in vitro. PMID: 27177355
- study provided the first evidence that B7-H4 facilitated esophageal squamous cell carcinoma cell proliferation through promoting IL-6/STAT3 positive loopback pathway activation PMID: 27088889
- B7H4 antigen is a negative prognostic marker for pancreatic cancer patients and also seems to express resistance of pancreatic cancer patients to chemotherapy with gemcitabine. PMID: 25924930
- B7-H3 and B7-H4 are involved in esophageal squamous cell carcinoma (ESCC) progression and development and their coexpression could be valuable prognostic indicators. PMID: 26411671
- study suggest that serum B7-H4 is an independent prognostic indicator for HCC and may be a promising biomarker for early diagnosis as well as disease prognosis of HCC. PMID: 26505457
- Data show that disrupted control of costimulation, evidenced by VTCN1 loss in both APCs and pancreatic islets, ultimately results in altered balance of control of immune responses. PMID: 26773144
- Studied VTCN1 gene polymorphisms in susceptibility to Breast Cancer. PMID: 25385143
- Data indicate that the diagnostic efficiency of V-set domain containing T cell activation inhibitor 1 (sB7-H4) combined carcinoembryonic antigen (CEA) was superior to either sB7-H4 or CEA. PMID: 26301886
- In human amniotic fluid stem cells, the negative co-stimulatory molecule B7H4 regulates low immunogenicity, which can provide a modest inflammatory reaction microenvironment for wound repair. PMID: 26101181
- In women who underwent elective cesarian section, a significant increase in sB7-H4 serum levels occurred postpartal, while in women who experienced spontaneous onset of labor, there were no differences between prepartal and postpartal levels. PMID: 25907449
顯示更多
收起更多
-
亞細胞定位:Cell membrane; Single-pass type I membrane protein.
-
蛋白家族:Immunoglobulin superfamily, BTN/MOG family
-
組織特異性:Overexpressed in breast, ovarian, endometrial, renal cell (RCC) and non-small-cell lung cancers (NSCLC). Expressed on activated T- and B-cells, monocytes and dendritic cells, but not expressed in most normal tissues (at protein level). Widely expressed, i
-
數據庫鏈接:
Most popular with customers
-
-
YWHAB Recombinant Monoclonal Antibody
Applications: ELISA, WB, IHC, IF, FC
Species Reactivity: Human, Mouse, Rat
-
Phospho-YAP1 (S127) Recombinant Monoclonal Antibody
Applications: ELISA, WB, IHC
Species Reactivity: Human
-
-
-
-
-















