WASF1 Antibody
-
中文名稱:WASF1兔多克隆抗體
-
貨號:CSB-PA852883LA01HU
-
規格:¥440
-
圖片:
-
Western Blot
Positive WB detected in: Rat brain tissue, Mouse brain tissue, K562, NTERA-2
All lanes: WASF1 antibody at 1.5μg/ml
Secondary
Goat polyclonal to rabbit IgG at 1/50000 dilution
Predicted band size: 80 kDa
Observed band size: 62 kDa -
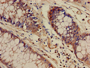
Immunohistochemistry of paraffin-embedded human colon cancer using CSB-PA852883LA01HU at dilution of 1:100
-
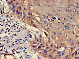
Immunohistochemistry of paraffin-embedded human cervical cancer using CSB-PA852883LA01HU at dilution of 1:100
-
Western Blot
Positive WB detected in: 293T whole cell lysate, Hela whole cell lysate, SH-SY5Y whole cell lysate, Rat Brain tissue, Mouse Brain tissue
All lanes: WASF1 antibody at 1:2000
Secondary
Goat polyclonal to rabbit IgG at 1/50000 dilution
Predicted band size: 62 kDa
Observed band size: 62 kDa
-
-
其他:
產品詳情
-
產品名稱:Rabbit anti-Homo sapiens (Human) WASF1 Polyclonal antibody
-
Uniprot No.:
-
基因名:
-
別名:WASP family; verprolin homology domain-containing protein 1 antibody; WASP family member 1 antibody; FLJ31482 antibody; homology of dictyostelium scar 1 antibody; KIAA0269 antibody; Protein WAVE-1 antibody; Protein WAVE1 antibody; scar; Dictyostelium; homology of; 1 antibody; SCAR1 antibody; Similar to a plant extensin like protein antibody; Verprolin homology domain containing protein 1 antibody; Verprolin homology domain-containing protein 1 antibody; WAS protein family; member 1 antibody; Wasf1 antibody; WASF1_HUMAN antibody; WASL antibody; WASP family 1 antibody; WASP family protein member 1 antibody; WASP family; verprolin homology domain-containing protein antibody; WAVE antibody; WAVE1 antibody; Wiskott Aldrich syndrome protein family member 1 antibody; Wiskott-Aldrich syndrome protein family member 1 antibody
-
宿主:Rabbit
-
反應種屬:Human, Mouse, Rat
-
免疫原:Recombinant Human Wiskott-Aldrich syndrome protein family member 1 protein (381-553AA)
-
免疫原種屬:Homo sapiens (Human)
-
標記方式:Non-conjugated
本頁面中的產品,WASF1 Antibody (CSB-PA852883LA01HU),的標記方式是Non-conjugated。對于WASF1 Antibody,我們還提供其他標記。見下表:
-
克隆類型:Polyclonal
-
抗體亞型:IgG
-
純化方式:>95%, Protein G purified
-
濃度:It differs from different batches. Please contact us to confirm it.
-
保存緩沖液:Preservative: 0.03% Proclin 300
Constituents: 50% Glycerol, 0.01M PBS, pH 7.4 -
產品提供形式:Liquid
-
應用范圍:ELISA, WB, IHC
-
推薦稀釋比:
Application Recommended Dilution WB 1:500-1:5000 IHC 1:20-1:200 -
Protocols:
-
儲存條件:Upon receipt, store at -20°C or -80°C. Avoid repeated freeze.
-
貨期:Basically, we can dispatch the products out in 1-3 working days after receiving your orders. Delivery time maybe differs from different purchasing way or location, please kindly consult your local distributors for specific delivery time.
-
用途:For Research Use Only. Not for use in diagnostic or therapeutic procedures.
相關產品
靶點詳情
-
功能:Downstream effector molecule involved in the transmission of signals from tyrosine kinase receptors and small GTPases to the actin cytoskeleton. Promotes formation of actin filaments. Part of the WAVE complex that regulates lamellipodia formation. The WAVE complex regulates actin filament reorganization via its interaction with the Arp2/3 complex. As component of the WAVE1 complex, required for BDNF-NTRK2 endocytic trafficking and signaling from early endosomes. Also involved in the regulation of mitochondrial dynamics.
-
基因功能參考文獻:
- Results from a study on gene expression variability markers in early-stage human embryos shows that WASF1 is a putative expression variability marker for the 3-day, 8-cell embryo stage. PMID: 26288249
- Results suggested that WAVE1 is a critical pro-autophagic protein capable of enhancing cell survival and regulating chemoresistance in leukemia cells potentially through the Beclin1/Bcl-2 and Beclin1/PI3K- complex-dependent pathways. PMID: 27035872
- Results implicate a contributory role of WAVE1 and -3 to the metastatic phenotype of PC-3 cells through their interaction with the ARP2/3 complex. PMID: 26977009
- we propose that WASF1 status defines a subtype of androgen deprivation therapy -resistant prostate cancer patients PMID: 25906751
- a role for ARF6 in linking EGF-receptor signaling to Rac1 recruitment and activation at the plasma membrane to promote breast cancer cell directed migration PMID: 25799492
- A decrease in amounts of WASF1 mRNA was also observed in human Alzheimer's disease brains, suggesting clinical relevance of the negative feedback circuit involved in homeostatic regulation of Abeta production PMID: 26280122
- D620N mutation in VPS35 restricts WASH complex recruitment to endosomes, and reveals a novel role for the WASH complex in autophagosome formation. PMID: 24819384
- WAVE1 has unique activities independent of Arp2/3 complex that can govern both the growth rates and architectures of actin filament networks. Elongation inhibitory effects of WAVE1 were mapped to its WH2 ("V") domain. PMID: 25473116
- The WAVE complex is the main activator of the Arp2/3 complex for actin filament nucleation and assembly in the lamellipodia of moving cells. PMID: 25355952
- WAVE1 might promote the proliferative and invasive malignant behaviors through the activation of the PI3K/AKT and p38MAPK signaling pathways in epithelial ovarian cancer. PMID: 23680521
- Scar/WAVE regulatory complex and N-WASP play opposing roles in 3D epithelial cell migration PMID: 23273897
- mRNAs encoding structural and regulatory components of the WAVE complex are localized to the leading edge of the cell, suggesting that localized protein synthesis plays a pivotal role in controlling cell spreading and migration. PMID: 23452202
- Study finds that WAVE1 overexpression is associated with an unfavorable prognosis. WAVE1 is an independent prognostic factor for EOC, which suggests that it is a novel and crucial predictor for EOC metastasis. PMID: 22721732
- mDia1 and WAVE2 are important Src homology 3 domain partners of IRSp53 in forming filopodia. PMID: 22179776
- Arf GTPases may be central components in WAVE signalling, acting directly, alongside Rac1. PMID: 21844371
- WAVE1 might be involved in the migration and invasion of K562 cells through regulation of the expression level of MMP-2. PMID: 19731823
- Higher levels of WAVE1 in the bone marrow indicate an unfavorable prognosis in children with AML. PMID: 20426950
- Dock3 induces axonal outgrowth by stimulating membrane recruitment of the WAVE complex PMID: 20368433
- WAVE1 regulates Bcl-2 localization and phosphorylation in leukemia cells. PMID: 19890377
- Mechanism of regulation of WAVE1-induced actin nucleation by Rac1 and Nck: we propose that Rac1 and Nck cause dissociation of the WAVE1 complex, which releases active WAVE1-HSPC300 and leads to actin nucleation. PMID: 12181570
- WAVE1 may act as a scaffold to recruit the NADPH oxidase to a complex involved with both cytoskeletal regulation and downstream JNK activation PMID: 12855698
- the 3 WAVE isoforms exhibit common and distinct features and may potentially be involved in the regulation of actin cytoskeleton in platelets PMID: 15280206
- Dictyostelium discoideum has been used to remove genetically SCAR complex members to ascertain their specific roles. PMID: 15506982
- WAVE-1 expression was associated with megakaryocytic differentiation; WAVE-1 and WAVE-2 moved from a detergent-soluble cytosolic fraction to insoluble cytoskeleton fraction after platelet aggregation PMID: 15670045
- NESH (Abi-3), like Abi-1 and Abi-2, is a component of the Abi/WAVE complex, but likely plays a different role in the regulation of c-Abl. PMID: 17101133
- the Hem-1/Nap1 component of the Scar/WAVE complex localizes to propagating waves that appear to organize the leading edge of a motile neutrophil PMID: 17696648
- WAVE1 is critical for formation of oligodendrocyte lamellae and myelin sheaths--REVIEW PMID: 17901257
- WAVE1 is involved in multi-drug resistance through regulation the level of mdrl and Bcl-2. PMID: 17939402
- WAVE1 dephosphorylation and activation are likely associated with mitochondrial redistribution and dendritic spine morphogenesis. PMID: 18287015
- Results suggest that WAVE and the Arp2/3 complex jointly orchestrate different types of actin-based plasma membrane protrusions by promoting ruffling and inhibiting mDia2-induced filopodia. PMID: 18516090
- The WAVE1 expression increased in children with ALL. WAVE1 may be related to the development of ALL and may be severed as a marker for the evaluation of the severity of ALL in children. PMID: 18947485
- WAVE1 and p22phox expression in PBMCs increased and was associated with the disease course in children with acute lymphocytic leukemia (ALL). PMID: 19222940
- WAVE accumulation may be involved in Abeta/amyloid precursor protein mediated-tangle modification PMID: 19497998
顯示更多
收起更多
-
亞細胞定位:Cytoplasm, cytoskeleton. Cell junction, synapse. Cell junction, focal adhesion.
-
蛋白家族:SCAR/WAVE family
-
組織特異性:Highly expressed in brain. Lowly expressed in testis, ovary, colon, kidney, pancreas, thymus, small intestine and peripheral blood.
-
數據庫鏈接:
Most popular with customers
-
-
YWHAB Recombinant Monoclonal Antibody
Applications: ELISA, WB, IHC, IF, FC
Species Reactivity: Human, Mouse, Rat
-
Phospho-YAP1 (S127) Recombinant Monoclonal Antibody
Applications: ELISA, WB, IHC
Species Reactivity: Human
-
-
-
-
-















