WASF3 Antibody
-
中文名稱:WASF3兔多克隆抗體
-
貨號:CSB-PA891467LA01HU
-
規格:¥440
-
圖片:
-
Western Blot
Positive WB detected in: MCF-7 whole cell lysate
All lanes: WASF3 antibody at 7µg/ml
Secondary
Goat polyclonal to rabbit IgG at 1/50000 dilution
Predicted band size: 56 kDa
Observed band size: 56 kDa -
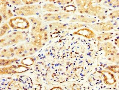
IHC image of CSB-PA891467LA01HU diluted at 1:100 and staining in paraffin-embedded human kidney tissue performed on a Leica BondTM system. After dewaxing and hydration, antigen retrieval was mediated by high pressure in a citrate buffer (pH 6.0). Section was blocked with 10% normal goat serum 30min at RT. Then primary antibody (1% BSA) was incubated at 4°C overnight. The primary is detected by a biotinylated secondary antibody and visualized using an HRP conjugated SP system.
-
IHC image of CSB-PA891467LA01HU diluted at 1:100 and staining in paraffin-embedded human brain tissue performed on a Leica BondTM system. After dewaxing and hydration, antigen retrieval was mediated by high pressure in a citrate buffer (pH 6.0). Section was blocked with 10% normal goat serum 30min at RT. Then primary antibody (1% BSA) was incubated at 4°C overnight. The primary is detected by a biotinylated secondary antibody and visualized using an HRP conjugated SP system.
-
Immunofluorescence staining of A549 cells with CSB-PA891467LA01HU at 1:33, counter-stained with DAPI. The cells were fixed in 4% formaldehyde, permeabilized using 0.2% Triton X-100 and blocked in 10% normal Goat Serum. The cells were then incubated with the antibody overnight at 4°C. The secondary antibody was Alexa Fluor 488-congugated AffiniPure Goat Anti-Rabbit IgG(H+L).
-
-
其他:
產品詳情
-
產品名稱:Rabbit anti-Homo sapiens (Human) WASF3 Polyclonal antibody
-
Uniprot No.:
-
基因名:
-
別名:KIAA0900 antibody; Protein WAVE-3 antibody; Protein WAVE3 antibody; SCAR3 antibody; Verprolin homology domain containing protein 3 antibody; Verprolin homology domain-containing protein 3 antibody; WASF3 antibody; WASF3_HUMAN antibody; WASP family protein member 3 antibody; WAVE3 antibody; Wiskott Aldrich syndrome protein family member 3 antibody; Wiskott-Aldrich syndrome protein family member 3 antibody
-
宿主:Rabbit
-
反應種屬:Human
-
免疫原:Recombinant Human Wiskott-Aldrich syndrome protein family member 3 protein (368-502AA)
-
免疫原種屬:Homo sapiens (Human)
-
標記方式:Non-conjugated
本頁面中的產品,WASF3 Antibody (CSB-PA891467LA01HU),的標記方式是Non-conjugated。對于WASF3 Antibody,我們還提供其他標記。見下表:
-
克隆類型:Polyclonal
-
抗體亞型:IgG
-
純化方式:>95%, Protein G purified
-
濃度:It differs from different batches. Please contact us to confirm it.
-
保存緩沖液:Preservative: 0.03% Proclin 300
Constituents: 50% Glycerol, 0.01M PBS, pH 7.4 -
產品提供形式:Liquid
-
應用范圍:ELISA, WB, IHC, IF
-
推薦稀釋比:
Application Recommended Dilution WB 1:500-1:5000 IHC 1:20-1:200 IF 1:20-1:200 -
Protocols:
-
儲存條件:Upon receipt, store at -20°C or -80°C. Avoid repeated freeze.
-
貨期:Basically, we can dispatch the products out in 1-3 working days after receiving your orders. Delivery time maybe differs from different purchasing way or location, please kindly consult your local distributors for specific delivery time.
-
用途:For Research Use Only. Not for use in diagnostic or therapeutic procedures.
相關產品
靶點詳情
-
功能:Downstream effector molecules involved in the transmission of signals from tyrosine kinase receptors and small GTPases to the actin cytoskeleton. Plays a role in the regulation of cell morphology and cytoskeletal organization. Required in the control of cell shape.
-
基因功能參考文獻:
- Study demonstrated that the expression levels of WAVE3 in pancreatic cancer tissues were prominently higher than those in the non-cancerous tissues which seems to be associated with lymphatic metastasis, poorly differentiated tumors. Furthermore, findings suggest that WAVE3 influences cell proliferation, migration and invasion via the AKT pathway. PMID: 29845225
- Results suggest that Wiskott-Aldrich syndrome verprolin-homologous protein 3 (WAVE3) may be pivotal in ovarian cancer cell motility, invasion and oncogenesis. PMID: 28476025
- p63alpha protein up-regulates heat shock protein 70 expression via E2F1 transcription factor 1, promoting Wasf3/Wave3/MMP9 signaling and bladder cancer invasion PMID: 28794159
- we show that WASF3 is present in the HER2 immunocomplex and suppression of WASF3 function leads to suppression of invasion even in the presence of HER2 expression.The engagement of WASF3 with the HER2/HER3 complex facilitates its phospho-activation and transcriptional upregulation, which is facilitated by HER2/HER3 activation of JAK/STAT signaling. PMID: 26804171
- It was concluded that WAVE3 may represent a new adverse prognostic factor for patients with ICC. PMID: 26971088
- studies provide a deeper understanding of the critical role for WASF3 in facilitating increased invasion potential in cancer cells expressing mutant RAS and supports the idea that targeting WASF3 in metastatic cells overexpressing RAS may be used to suppress invasion and metastasis PMID: 28233357
- Results implicate a contributory role of WAVE1 and -3 to the metastatic phenotype of PC-3 cells through their interaction with the ARP2/3 complex. PMID: 26977009
- stabilization of WASF3 function occurs through its interaction with ATAD3A and GRP78, which may provide a bridge between the ER and mitochondria, allowing communication between the two organelles PMID: 25823022
- We show that WAVE3-mediated modulation of NFkappaB is required for invadopodia formation as well as MMP9 expression and activity that are needed for cancer cells to degrade the ECM PMID: 25329315
- WAVE3 is pivotal in controlling oncogenic phenotypes of human hepatocellular carcinoma cells. PMID: 25661390
- WAVE3 promotes epithelial-mesenchymal transition of gastric cancer through upregulation of Snail. PMID: 25378074
- miR-217 functions as a tumor-suppressive miRNA and inhibits the osteosarcoma tumorigenesis through targeting WASF3. PMID: 25289936
- Upregulated WAVE3 expression is essential for TGF-beta-mediated EMT and metastasis of triple-negative breast cancer cells. PMID: 24197660
- ZEB1/2 upregulation by WASF3 results from downregulation of KISS1, leading to the release of inhibition of nuclear factor (NF)kappaB by IkappaBalpha PMID: 23318438
- these results define a novel signaling network whereby JAK2/STAT3 signaling creates a feed-forward loop to raise activated WASF3 levels that promote cancer cell motility. PMID: 23677069
- MMP-9 and WAVE3 were over-expressed in colorectal cancer tissues compared with normal mucosa. PMID: 22806308
- demonstrate WASF3 is a HIF1A-regulated gene and suggests a mechanism to explain the observation of elevated expression of WASF3 in advanced stage tumors PMID: 22581642
- increased expression levels of WAVE3 are associated with the progression and metastasis of triple negative breast cancer PMID: 22952619
- WAVE3-depleted breast cancer cells move more slowly but more persistently on a 2-dimensional matrix. They typically only show one lamellipod. WAVE3 appears to have no role in driving invasiveness. Lamellipodial persistence is not crucial in 3-dimensions. PMID: 22909346
- HSP90 and HSP70 proteins are essential for stabilization and activation of WASF3 metastasis-promoting protein. PMID: 22315230
- coordinated expression patterns of the WASF3 metastasis promoter gene and the KISS1 metastasis suppressor gene appear to exert their influence through inhibition of NF-kappaB signaling, which in turn regulates MMP-9 production facilitating invasion. PMID: 21544801
- The study also identifies a critical role for WAVE3, downstream of miR-31, in the invasion-metastasis cascade. PMID: 21105030
- WAVE3 is pivotal in controlling the invasiveness of prostate cancer cells. PMID: 19395286
- Studies identified a novel mechanism for the regulation of WAVE3 expression in cancer cells, which controls the invasive properties and morphology of cancer cells associated with their metastatic potential. PMID: 19801681
- patient with ganglioneuroblastoma carries an apparently balanced t(1:13)(q21:q12) reciprocal translocation. Positional cloning of the translocation breakpoint on chromosome 13 resulted in the mapping of the breakpoint between coding exon 2 and 3 of WAVE3 PMID: 12185600
- during megakaryocytic differentiation, platelets expressed WAVE-1 and WAVE-2, whereas WAVE-3 expression was hardly to be detected. WAVE-3 expression was not changed by the differentiation PMID: 15670045
- all three Scar/WAVE isoforms behave similarly and are likely to participate in the same kinds of protein complexes that regulate actin assembly PMID: 15752430
- WAVE3-mediated migration in MDA-MB-231 cells via lamellipodia formation is activated downstream of PI3K and induced by PDGF PMID: 15826941
- The WAVE3 is a member of the WASP/WAVE family of proteins, which play a critical role in the regulation of actin polymerization, cytoskeleton organization, and cell motility. PMID: 15907837
- the activation of WAVE3 to promote actin remodeling is enhanced by the c-Abl-mediated tyrosine phosphorylation of WAVE3. PMID: 17623672
顯示更多
收起更多
-
亞細胞定位:Cytoplasm, cytoskeleton.
-
蛋白家族:SCAR/WAVE family
-
組織特異性:Expressed in ovary and brain.
-
數據庫鏈接:
Most popular with customers
-
-
YWHAB Recombinant Monoclonal Antibody
Applications: ELISA, WB, IHC, IF, FC
Species Reactivity: Human, Mouse, Rat
-
Phospho-YAP1 (S127) Recombinant Monoclonal Antibody
Applications: ELISA, WB, IHC
Species Reactivity: Human
-
-
-
-
-















