WDR92 Antibody
-
中文名稱:WDR92兔多克隆抗體
-
貨號:CSB-PA822265LA01HU
-
規格:¥440
-
圖片:
-
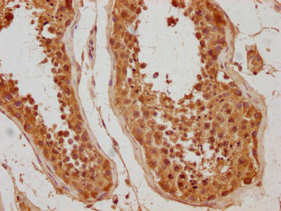
IHC image of CSB-PA822265LA01HU diluted at 1:500 and staining in paraffin-embedded human testis tissue performed on a Leica BondTM system. After dewaxing and hydration, antigen retrieval was mediated by high pressure in a citrate buffer (pH 6.0). Section was blocked with 10% normal goat serum 30min at RT. Then primary antibody (1% BSA) was incubated at 4°C overnight. The primary is detected by a biotinylated secondary antibody and visualized using an HRP conjugated SP system.
-
-
其他:
產品詳情
-
產品名稱:Rabbit anti-Homo sapiens (Human) WDR92 Polyclonal antibody
-
Uniprot No.:
-
基因名:WDR92
-
別名:FLJ31741 antibody; Monad antibody; OTTHUMP00000205522 antibody; WD repeat domain 92 antibody; WD repeat-containing protein 92 antibody; WD repeat-containing protein Monad antibody; Wdr92 antibody; WDR92_HUMAN antibody
-
宿主:Rabbit
-
反應種屬:Human
-
免疫原:Recombinant Human WD repeat-containing protein 92 protein (122-357AA)
-
免疫原種屬:Homo sapiens (Human)
-
標記方式:Non-conjugated
本頁面中的產品,WDR92 Antibody (CSB-PA822265LA01HU),的標記方式是Non-conjugated。對于WDR92 Antibody,我們還提供其他標記。見下表:
-
克隆類型:Polyclonal
-
抗體亞型:IgG
-
純化方式:>95%, Protein G purified
-
濃度:It differs from different batches. Please contact us to confirm it.
-
保存緩沖液:Preservative: 0.03% Proclin 300
Constituents: 50% Glycerol, 0.01M PBS, pH 7.4 -
產品提供形式:Liquid
-
應用范圍:ELISA, IHC
-
推薦稀釋比:
Application Recommended Dilution IHC 1:500-1:1000 -
Protocols:
-
儲存條件:Upon receipt, store at -20°C or -80°C. Avoid repeated freeze.
-
貨期:Basically, we can dispatch the products out in 1-3 working days after receiving your orders. Delivery time maybe differs from different purchasing way or location, please kindly consult your local distributors for specific delivery time.
-
用途:For Research Use Only. Not for use in diagnostic or therapeutic procedures.
相關產品
靶點詳情
-
功能:Key assembly factor specifically required for the stability of axonemal dynein heavy chains in cytoplasm.
-
基因功能參考文獻:
- Exosome-bound WD repeat protein Monad inhibits breast cancer cell invasion by degrading amphiregulin mRNA. PMID: 23844004
- Monad may function as a novel modulator of apoptosis pathway. PMID: 16487927
- Monad could be involved in apoptosis induced by TNF-alpha PMID: 16487927
-
亞細胞定位:Dynein axonemal particle.
-
組織特異性:Widely expressed with the highest expression in testis.
-
數據庫鏈接:
Most popular with customers
-
-
YWHAB Recombinant Monoclonal Antibody
Applications: ELISA, WB, IHC, IF, FC
Species Reactivity: Human, Mouse, Rat
-
Phospho-YAP1 (S127) Recombinant Monoclonal Antibody
Applications: ELISA, WB, IHC
Species Reactivity: Human
-
-
-
-
-















