WNT10A Antibody
-
中文名稱:WNT10A兔多克隆抗體
-
貨號:CSB-PA554204
-
規格:¥1100
-
圖片:
-
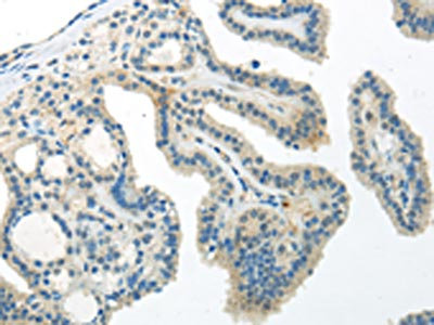
The image on the left is immunohistochemistry of paraffin-embedded Human thyroid cancer tissue using CSB-PA554204(WNT10A Antibody) at dilution 1/30, on the right is treated with synthetic peptide. (Original magnification: ×200)
-
Gel: 8%SDS-PAGE, Lysate: 40 μg, Lane: Mouse brain tissue, Primary antibody: CSB-PA554204(WNT10A Antibody) at dilution 1/200 dilution, Secondary antibody: Goat anti rabbit IgG at 1/8000 dilution, Exposure time: 10 seconds
-
-
其他:
產品詳情
-
Uniprot No.:
-
基因名:
-
別名:FLJ14301 antibody; OODD antibody; Protein Wnt-10a antibody; SSPS antibody; STHAG4 antibody; Wingless type MMTV integration site family member 10A antibody; WN10A_HUMAN antibody; wnt10a antibody
-
宿主:Rabbit
-
反應種屬:Human,Mouse
-
免疫原:Synthetic peptide of Human WNT10A
-
免疫原種屬:Homo sapiens (Human)
-
標記方式:Non-conjugated
-
抗體亞型:IgG
-
純化方式:Antigen affinity purification
-
濃度:It differs from different batches. Please contact us to confirm it.
-
保存緩沖液:-20°C, pH7.4 PBS, 0.05% NaN3, 40% Glycerol
-
產品提供形式:Liquid
-
應用范圍:ELISA,WB,IHC
-
推薦稀釋比:
Application Recommended Dilution ELISA 1:1000-1:2000 WB 1:200-1:1000 IHC 1:10-1:50 -
Protocols:
-
儲存條件:Upon receipt, store at -20°C or -80°C. Avoid repeated freeze.
-
貨期:Basically, we can dispatch the products out in 1-3 working days after receiving your orders. Delivery time maybe differs from different purchasing way or location, please kindly consult your local distributors for specific delivery time.
-
用途:For Research Use Only. Not for use in diagnostic or therapeutic procedures.
相關產品
靶點詳情
-
功能:Ligand for members of the frizzled family of seven transmembrane receptors. Functions in the canonical Wnt/beta-catenin signaling pathway. Plays a role in normal ectoderm development. Required for normal tooth development. Required for normal postnatal development and maintenance of tongue papillae and sweat ducts. Required for normal proliferation of basal cells in tongue filiform papillae, plantar epithelium and sweat ducts. Required for normal expression of keratins in tongue papillae. Required for normal expression of KRT9 in foot plant epithelium. Required for normal hair follicle function.
-
基因功能參考文獻:
- No up-regulation of Wnt10A and IGF-1 mRNA was observed with 1,550-nm Er:Glass fractional laser treatment of androgenetic alopecia. PMID: 30096107
- Human and mouse WNT10A mutant palmoplantar and tongue epithelia also display specific differentiation defects that are mimicked by loss of the transcription factor KLF4. PMID: 28589954
- WNT10a rs201002930 significantly decreased the risk of cleft lip with cleft palate and cleft palate only. PMID: 29356097
- WNT10A mutation is associated with tooth agenesis. PMID: 30046887
- High WNT10A expression is associated with papillary thyroid carcinoma. PMID: 28677753
- Mild to severe oligodontia was observed in all patients bearing biallelic WNT10A mutations. PMID: 28105635
- The development of maxillary canine, maxillary second molar and mandibular second molar was statistically significantly delayed in patients with WNT10A variants compared with patients without variants. The impact of WNT10A variants on dental development increases with presence of the nonsense c.(321C>A p.(C107*)) variant and the number of missing teeth PMID: 27650966
- Results from genetic analysis revealed that all seven individuals were homozygous or compound heterozygous for WNT10A mutations suggesting that tooth agenesis and/or peg-shaped crowns of primary mandibular incisors, severe oligodontia of permanent dentition as well as ectodermal symptoms of varying severity may be predictors of bi-allelic WNT10A mutations of importance for diagnosis, counselling and follow-up. PMID: 27881089
- miR-378a-3p suppresses hepatic stellate cell activation, at least in part, via targeting of Wnt10a, supporting its potential utility as a novel therapeutic target for liver fibrosis. PMID: 27832641
- Wnt10a/beta-catenin signaling pathway is able to exacerbate keloid cell proliferation and inhibit the apoptosis of keloid cells through its interaction with TERT. PMID: 27771714
- risk of hypodontia may be related to the WNT10A polymorphism. Our results also confirm the importance of the Wnt pathway in tooth development. PMID: 27050986
- WNT10A promotes the proliferation of DPCs and negatively regulates their odontoblastic differentiation. PMID: 25134734
- WNT10A exonic variant increases the risk of keratoconus by decreasing corneal thickness PMID: 26049155
- p.Arg113Cys, p.Phe228Ile, newly identified p.Arg171Leu may represent aetiological mutations underlying MLIA w/associated dental anomalies, implicating coding variants in WNT10A gene PMID: 25545742
- this study demonstrated that common variations in WNT10A have pleiotropic effects on the morphology of ectodermal appendages. PMID: 25612571
- WNT10A may induce kidney fibrosis and associate with kidney dysfunction in acute interstitial nephritis. PMID: 25054240
- transmission disequilibrium test showed transmitted disequilibrium in C392T. we found an association between the C392T variant and nonsyndromic oral clefts. PMID: 24957471
- High WNT10A expression promotes an invasive and self-renewing phenotype in esophageal squamous cell carcinoma PMID: 25795715
- Patients with bi-allelic WNT10A mutations have severe tooth agenesis. PMID: 24700731
- The novel c.-14_7delinsC mutation might be the etiological variant of the WNT10A gene responsible for the permanent tooth agenesis in the Egyptian family. PMID: 24798981
- Barrel-shaped mandibular incisors and severe hypodontia appear to be associated with homozygous or compound heterozygous mutations of WNT10A. PMID: 24458874
- Our study has demonstrated for the first time that agenesis of the maxillary permanent canines is a distinct entity, associated with mutations in WNT10A. PMID: 24311251
- WNT10A mutations account for (1/4) of population-based isolated oligodontia and show phenotypic correlations. PMID: 24449199
- WNT10A and EDA digenic mutations could result in oligodontia and syndromic tooth agenesis in the Chinese population. Moreover, our results will greatly expand the genotypic spectrum of tooth agenesis. PMID: 24312213
- involvement of PAX9, EDA, SPRY2, SPRY4, and WNT10A as risk factors for MLIA. uncovered 3 strong synergistic interactions between MLIA liability and MSX1-TGFA, AXIN2-TGFA, and SPRY2-SPRY4 gene pairs. 1st evidence of sprouty genes in MLIA susceptibility. PMID: 24554542
- Nine pathogenic mutations within the coding region of the WNT10A gene were identified in 26 out of 42 (62%) Polish patients with non-syndromic tooth agenesis. PMID: 23167694
- WNT10A variants were associated with non-syndromic tooth agenesis from mild to severe tooth agenesis, and the more severe tooth agenesis, the stronger association. PMID: 24043634
- Mutations in WNT10A are frequently involved in oligodontia associated with minor signs of ectodermal dysplasia. PMID: 23401279
- Expression studies in human hair follicle tissue suggests that WNT10A has a functional role in androgenetic alopecia etiology. PMID: 23358095
- the expression level of Wnt10a is higher in endometrioid carcinoma than in non-endometrioid subtypes; however, the underlying mechanism remains unclear. PMID: 23135473
- WNT10A acts as an autocrine oncogene both in renal cell carcinoma carcinogenesis and progression by activating WNT/beta-catenin signaling. PMID: 23094073
- In a panel of 34 patients with isolated hypodontia, the candidate gene WNT10A and the genes MSX1, PAX9, IRF6 and AXIN2 have been sequenced. WNT10A mutations were identified in 56% of the cases with non-syndromic hypodontia. PMID: 22581971
- patients harboring WNT10A mutations displayed distinctive clinical features (marked dental phenotype, no facial dysmorphism) PMID: 20979233
- We observed a marginally significant interaction between WNT10 rs10177996 (intron 1) and an individual's proportion of calories from saturated fat. PMID: 21547848
- Case Reports: Single pedigree study provides a detailed illustration of the phenotypic spectrum of ectodermal abnormalities associated with WNT10A gene pathology. PMID: 21279306
- WNT10A may be a novel angio/stromagenic growth factor PMID: 21203463
- Mutations in the WNT10A gene are associated with ectodermal dysplasia presenting as palmoplantar keratoderma in two families. PMID: 21143469
- The first inherited missense mutation in WNT10A with associated ectodermal features, is reported. PMID: 19471313
- c.697G-->T (p.Glu233X) homozygous nonsense mutation in exon 3 of the WNT10A gene in an autosomal recessive ectodermal dysplasia: odonto-onycho-dermal dysplasia PMID: 17847007
- mantle cell lymphoma highly and consistently expressed Wnt3 and Wnt10. PMID: 18787224
- Study reports on 12 patients, from 11 unrelated families, with ectodermal dysplasia caused by five previously undescribed WNT10A mutations PMID: 19559398
顯示更多
收起更多
-
相關疾病:Odonto-onycho-dermal dysplasia (OODD); Schopf-Schulz-Passarge syndrome (SSPS); Tooth agenesis, selective, 4 (STHAG4)
-
亞細胞定位:Secreted, extracellular space, extracellular matrix. Secreted.
-
蛋白家族:Wnt family
-
數據庫鏈接:
Most popular with customers
-
-
YWHAB Recombinant Monoclonal Antibody
Applications: ELISA, WB, IHC, IF, FC
Species Reactivity: Human, Mouse, Rat
-
-
-
-
-
-
VDAC1 Recombinant Monoclonal Antibody
Applications: ELISA, WB, IHC
Species Reactivity: Human, Mouse, Rat















