WWOX Antibody
-
中文名稱:WWOX兔多克隆抗體
-
貨號:CSB-PA873704LA01HU
-
規格:¥440
-
圖片:
-
Western Blot
Positive WB detected in: MCF-7 whole cell lysate, U87 whole cell lysate, HEK293 whole cell lysate, Rat kidney tissue
All lanes: WWOX antibody at 3µg/ml
Secondary
Goat polyclonal to rabbit IgG at 1/50000 dilution
Predicted band size: 47, 42, 22, 5, 27, 36, 24 kDa
Observed band size: 47 kDa -
IHC image of CSB-PA873704LA01HU diluted at 1:300 and staining in paraffin-embedded human testis tissue performed on a Leica BondTM system. After dewaxing and hydration, antigen retrieval was mediated by high pressure in a citrate buffer (pH 6.0). Section was blocked with 10% normal goat serum 30min at RT. Then primary antibody (1% BSA) was incubated at 4°C overnight. The primary is detected by a biotinylated secondary antibody and visualized using an HRP conjugated SP system.
-
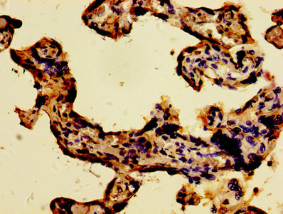
IHC image of CSB-PA873704LA01HU diluted at 1:300 and staining in paraffin-embedded human placenta tissue performed on a Leica BondTM system. After dewaxing and hydration, antigen retrieval was mediated by high pressure in a citrate buffer (pH 6.0). Section was blocked with 10% normal goat serum 30min at RT. Then primary antibody (1% BSA) was incubated at 4°C overnight. The primary is detected by a biotinylated secondary antibody and visualized using an HRP conjugated SP system.
-
Immunofluorescence staining of A549 cells with CSB-PA873704LA01HU at 1:100, counter-stained with DAPI. The cells were fixed in 4% formaldehyde, permeabilized using 0.2% Triton X-100 and blocked in 10% normal Goat Serum. The cells were then incubated with the antibody overnight at 4°C. The secondary antibody was Alexa Fluor 488-congugated AffiniPure Goat Anti-Rabbit IgG(H+L).
-
Immunofluorescence staining of MCF-7 cells with CSB-PA873704LA01HU at 1:100, counter-stained with DAPI. The cells were fixed in 4% formaldehyde, permeabilized using 0.2% Triton X-100 and blocked in 10% normal Goat Serum. The cells were then incubated with the antibody overnight at 4°C. The secondary antibody was Alexa Fluor 488-congugated AffiniPure Goat Anti-Rabbit IgG(H+L).
-
Immunoprecipitating WWOX in Rat kidney tissue
Lane 1: Rabbit control IgG instead of CSB-PA873704LA01HU in Rat kidney tissue. For western blotting, a HRP-conjugated light chain specific antibody was used as the secondary antibody (1/50000)
Lane 2: CSB-PA873704LA01HU (8µg) + Rat kidney tissue (500µg)
Lane 3: Rat kidney tissue (10µg)
-
-
其他:
產品詳情
-
產品名稱:Rabbit anti-Homo sapiens (Human) WWOX Polyclonal antibody
-
Uniprot No.:
-
基因名:WWOX
-
別名:5330426P09Rik antibody; 9030416C10Rik antibody; Aberrant WW domain-containing oxidoreductase antibody; D16S432E antibody; EC 1.1.1.- antibody; EIEE28 antibody; FOR antibody; FRA16D antibody; Fragile site FRA16D oxidoreductase antibody; Fragile site FRA16D Oxireductase antibody; HHCMA56 antibody; MGC55975 antibody; PRO0128 antibody; Putative oxidoreductase antibody; SCAR12 antibody; SDR41C1 antibody; Short chain dehydrogenase/reductase family 41C, member 1 antibody; WOX1 antibody; WW domain containing oxidoreductase antibody; WW domain-containing oxidoreductase antibody; WW domain-containing protein WWOX antibody; wwox antibody; WWOX_HUMAN antibody; zgc:55975 antibody
-
宿主:Rabbit
-
反應種屬:Human, Rat
-
免疫原:Recombinant Human WW domain-containing oxidoreductase protein (1-180AA)
-
免疫原種屬:Homo sapiens (Human)
-
標記方式:Non-conjugated
本頁面中的產品,WWOX Antibody (CSB-PA873704LA01HU),的標記方式是Non-conjugated。對于WWOX Antibody,我們還提供其他標記。見下表:
-
克隆類型:Polyclonal
-
抗體亞型:IgG
-
純化方式:>95%, Protein G purified
-
濃度:It differs from different batches. Please contact us to confirm it.
-
保存緩沖液:Preservative: 0.03% Proclin 300
Constituents: 50% Glycerol, 0.01M PBS, pH 7.4 -
產品提供形式:Liquid
-
應用范圍:ELISA, WB, IHC, IF, IP
-
推薦稀釋比:
Application Recommended Dilution WB 1:500-1:5000 IHC 1:200-1:500 IF 1:50-1:200 IP 1:200-1:2000 -
Protocols:
-
儲存條件:Upon receipt, store at -20°C or -80°C. Avoid repeated freeze.
-
貨期:Basically, we can dispatch the products out in 1-3 working days after receiving your orders. Delivery time maybe differs from different purchasing way or location, please kindly consult your local distributors for specific delivery time.
-
用途:For Research Use Only. Not for use in diagnostic or therapeutic procedures.
相關產品
靶點詳情
-
功能:Putative oxidoreductase. Acts as a tumor suppressor and plays a role in apoptosis. Required for normal bone development. May function synergistically with p53/TP53 to control genotoxic stress-induced cell death. Plays a role in TGFB1 signaling and TGFB1-mediated cell death. May also play a role in tumor necrosis factor (TNF)-mediated cell death. Inhibits Wnt signaling, probably by sequestering DVL2 in the cytoplasm.
-
基因功能參考文獻:
- We have identified a variant in WWOX and in lncRNA RP11-679B19.1 as a diseasemodifying genetic variant associated with recurrent fibrostenotic CD PMID: 29361163
- A model is supported in which FRA16D common fragile sites are sequences that may initiate replication in early-mid S phase but are slow to complete replication, and the chromosomal breaks and gaps observed in metaphase cells result from unreplicated DNA. PMID: 14603443
- Data conclude that WWOX sensitises EOC to paclitaxel via ER stress-induced apoptosis, and predicts clinical outcome in patients. Thus, ER stress response mechanisms could be targeted to overcome chemoresistance in cancer. PMID: 28749468
- Data show that patients with advanced-stage oral cancer were associated with a higher frequency of WWOX rs11545028 polymorphisms with the variant genotype TT than did patients with the wild-type gene. PMID: 27655721
- WWOX expression was strongly inhibited in human lung cancers and lung cancer cell lines. Reintroducing WWOX into lung cancer cells inhibited their invasive phenotype through downregulating RUNX2 and its target genes including MMP-9 expression. PMID: 27834355
- Our data suggests that the deletion genotypes of CNV-67048 in WWOX predispose their carriers to intracranial aneurysms PMID: 26910372
- It has been proposed that Fhit and Wwox loss work synergistically in cancer progression and that DNA damage caused by Fhit could be targeted early in cancer initiation for prevention, while DNA damage caused by Wwox loss could be targeted later in cancer progression, particularly in cancers that develop resistance to genotoxic therapies. (Review) PMID: 27773744
- genetic variations in WWOX may be a significant predictor of early HCC occurrence and a reliable biomarker for disease progression PMID: 28426730
- a WWOX-p53 network regulates normal bone formation and that disruption of this network in osteoprogenitors results in accelerated osteosarcoma. PMID: 27550453
- Low WWOX expression is associated with Head and Neck Squamous Cell Carcinoma. PMID: 27501229
- Knockdown of lung WWOX expression in mice was observed to cause neutrophil influx and was accompanied by a corresponding vascular leak and inflammatory cytokine production. In cultured human alveolar epithelial cells, loss of WWOX expression resulted in increased c-Jun- and IL-8-dependent neutrophil chemotaxis toward cell monolayers. PMID: 28283473
- a portion of ERK and WWOX relocates to the nucleus, suggesting their role in the induction of CD3 and CD8 expression in MOLT-4. PMID: 27339895
- Brca1-Wwox interaction supports non-homologous end-joining as the dominant DSB repair pathway in Wwox-sufficient cells PMID: 27869163
- Epigenetic mechanisms influence molecular patterns important for the bone-metastatic process, and this review highlights the role of WW-domain containing oxidoreductase (Wwox). [review] PMID: 28045433
- the deregulation of microRNA-214-3p expression is involved in a negative feedback loop with WWOX in osteosarcoma, indicating that miR-214-3p has potential basic and clinical implications. PMID: 27840941
- Functional analyses further showed a lower mRNA level of WWOX in tissues with the 0-copy or 1-copy than that in those with the 2-copy (P = 0.045). Our data suggested the CNV-67048 to be a risk factor of epithelia ovarian cancer in Chinese women. PMID: 27190995
- WW domain-containing oxidoreductase overexpression promoted apoptosis in 5637 cells and resulted in upregulation of Bax, downregulation of Bcl-2, and elevated levels of cleaved caspase-3 and cleaved PARP, indicating activation of the intrinsic apoptosis pathway. PMID: 27352332
- The SNP rs383362G >T of WWOX plays a role in chronic obstructive pulmonary disease inheritance. PMID: 26902998
- a novel SNP in the intron of the WW domain-containing oxidoreductase (WWOX) gene yielded significant replicated associations with skin tanning ability PMID: 26174610
- WWOX mutation is associated with early infantile epileptic encephalopathy. PMID: 26345274
- Our data suggest that the loss genotypes of CNV-67048 in WWOX predispose their carriers to chronic obstructive pulmonary disease. PMID: 25517572
- WWOX played roles in metabolic regulation and controlling central nervous system development. [review] PMID: 26499798
- Data suggest that Pc2- (polycomb repressive complex 2-) mediated SUMOylation of WWOX is essential for suppressive activity of WWOX in prostate cancer tumorigenesis. PMID: 26592150
- Compared to the controls, upregulation of WWOX and its Tyr33 phosphorylation was observed in the head region of all pterygium specimens. In the head and body of the pterygium specimens, WWOX expression was significantly higher than in the controls. PMID: 26120275
- Down regulation of WWOX is involved in tumorigenesis in intrahepatic cholangiocarcinoma. PMID: 25168293
- Decreased WWOX expression may interfere with gemcitabine sensitivity, and allele-specific binding at rs11644332 might be a causative molecular mechanism behind the clinically observed associations. PMID: 26857392
- Hypermethylation of WWOX gene is associated with Epstein-Barr virus-associated gastric carcinomas. PMID: 25720522
- The WWOX gene can downregulate the expression levels of cell cycle proteins cyclin E-CDK2 and cyclin D1-CDK4, which affects the cell cycle of ovarian cancer stem cells. PMID: 25891642
- The inhibition of the transcriptional activity of BCL9-2 by WWOX and HDAC3 constitutes a new molecular mechanism and provides new insight for a broad range of cancers. PMID: 25678599
- Results suggest that WWOX gene plays a role in the regulation of epithelial to mesenchymal transition process in endometrial cancer by controlling the expression of proteins associated with cell motility and suppressing mesenchymal markers. PMID: 25892250
- HGF and TGFbeta1 of bone-metastasis microenvironment acted co-ordinately, influencing non redundant pathways regulated by Twist program or Snail-transcription factor, with reversible MET switch PMID: 26041563
- miR-153 inhibited protein level of WWOX, a tumor suppressor and inhibitor of beta-catenin signaling, through targeting its 3'-untranslated region. PMID: 25708809
- WWOX inhibits prostate cancer progression through negatively regulating cyclin D1 in cell cycle lead to G1 arrest. PMID: 25659037
- overexpression of WWOX attenuated miR-134 induced H69 small cell lung cancer cell growth, and promoted cell apoptosis PMID: 26166818
- Study underscores a key role of allosteric communication in the ability of the WW2 orphan domain to chaperone physiological action of the WW1 domain within the context of the WW1-WW2 tandem module of WWOX. PMID: 25703206
- Inactivation of WWOX gene contributes to the progression of head and neck squamous cell carcinoma. PMID: 25612104
- A strong genetic cosegregation between the WWOX gene and the low HDL-C trait observed genetic associations at the chr16q23-24 locus. PMID: 24871327
- The role of WWOX in EHCC progression. PMID: 25502636
- WWOX undoubtedly incriminated as a gene for recessive infantile epileptic encephalopathy. PMID: 25411445
- There are roles of WWOX in the pathogenesis and endocrine therapy of breast cancer. PMID: 25476151
- WWOX structure gives insights into the functional versatility of this key signaling protein with important implications on its biology. PMID: 25662954
- Two and more tandem repeats cooperate in binding to their targets, in the well-characterized family of WWOX domains and their corresponding polyproline ligands. PMID: 25710931
- WWOX plays a role in the development, signaling pathway, prognosis, and treatment response of malignant glioma. PMID: 25432984
- WWOX is a member of a very interesting family of very large common fragile site genes and functions as a tumor suppressor involved in the development of many cancers. PMID: 25595185
- Aberrant WWOX expression contributes to the altered metabolism in cancer. PMID: 25595186
- WWOX can be regarded as a prognostic marker and a candidate molecule for targeted cancer therapies. PMID: 25595191
- WWOX plays a critical role in normal central nervous system development and disease. PMID: 25416187
- WWOX is a tumor suppressor gene and is associated with FRA16D locus fragility. PMID: 25538133
- WWOX has many functions, and its deletion affects cellular metabolism and neoplastic progression. PMID: 25491415
- WWOX gene is located in FRA16D, the highly affected chromosomal fragile site. PMID: 25681467
顯示更多
收起更多
-
相關疾病:Esophageal cancer (ESCR); Spinocerebellar ataxia, autosomal recessive, 12 (SCAR12); Epileptic encephalopathy, early infantile, 28 (EIEE28)
-
亞細胞定位:Cytoplasm. Nucleus. Mitochondrion. Golgi apparatus.
-
蛋白家族:Short-chain dehydrogenases/reductases (SDR) family
-
組織特異性:Widely expressed. Strongly expressed in testis, prostate, and ovary. Overexpressed in cancer cell lines. Isoform 5 and isoform 6 may only be expressed in tumor cell lines.
-
數據庫鏈接:
Most popular with customers
-
-
Phospho-YAP1 (S127) Recombinant Monoclonal Antibody
Applications: ELISA, WB, IHC
Species Reactivity: Human
-
-
-
-
-
-















