ZC3HC1 Antibody
-
中文名稱:ZC3HC1兔多克隆抗體
-
貨號:CSB-PA801246ESR2HU
-
規格:¥440
-
圖片:
-
Western blot
All lanes: ZC3HC1 antibody at 0.98µg/ml + Hela whole cell lysate
Secondary
Goat polyclonal to rabbit IgG at 1/10000 dilution
Predicted band size: 56, 54, 48 kDa
Observed band size: 54 kDa -
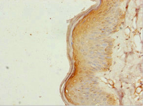
Immunohistochemistry of paraffin-embedded human skin tissue using CSB-PA801246ESR2HU at dilution of 1:100
-
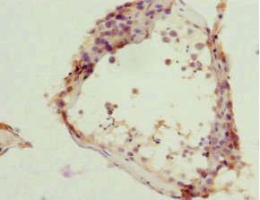
Immunohistochemistry of paraffin-embedded human testis tissue using CSB-PA801246ESR2HU at dilution of 1:100
-
-
其他:
產品詳情
-
產品名稱:Rabbit anti-Homo sapiens (Human) ZC3HC1 Polyclonal antibody
-
Uniprot No.:
-
基因名:ZC3HC1
-
別名:hNIPA antibody; NIPA_HUMAN antibody; Nuclear interacting partner of ALK antibody; Nuclear interacting partner of anaplastic lymphoma kinase antibody; Nuclear-interacting partner of ALK antibody; Nuclear-interacting partner of anaplastic lymphoma kinase antibody; zc3hc1 antibody; Zinc finger C3HC type containing 1 antibody; Zinc finger C3HC-type protein 1 antibody
-
宿主:Rabbit
-
反應種屬:Human
-
免疫原:Recombinant Human Nuclear-interacting partner of ALK protein (1-260AA)
-
免疫原種屬:Homo sapiens (Human)
-
標記方式:Non-conjugated
-
克隆類型:Polyclonal
-
抗體亞型:IgG
-
純化方式:Antigen Affinity Purified
-
濃度:It differs from different batches. Please contact us to confirm it.
-
保存緩沖液:PBS with 0.02% sodium azide, 50% glycerol, pH7.3.
-
產品提供形式:Liquid
-
應用范圍:ELISA, WB, IHC
-
推薦稀釋比:
Application Recommended Dilution WB 1:1000-1:5000 IHC 1:20-1:200 -
Protocols:
-
儲存條件:Upon receipt, store at -20°C or -80°C. Avoid repeated freeze.
-
貨期:Basically, we can dispatch the products out in 1-3 working days after receiving your orders. Delivery time maybe differs from different purchasing way or location, please kindly consult your local distributors for specific delivery time.
-
用途:For Research Use Only. Not for use in diagnostic or therapeutic procedures.
相關產品
靶點詳情
-
功能:Essential component of a SCF-type E3 ligase complex, SCF(NIPA), a complex that controls mitotic entry by mediating ubiquitination and subsequent degradation of cyclin B1 (CCNB1). Its cell-cycle-dependent phosphorylation regulates the assembly of the SCF(NIPA) complex, restricting CCNB1 ubiquitination activity to interphase. Its inactivation results in nuclear accumulation of CCNB1 in interphase and premature mitotic entry. May have an antiapoptotic role in NPM-ALK-mediated signaling events.
-
基因功能參考文獻:
- Common nonsynonymous coding variant in ZC3HC1 (rs11556924) is associated with protection from coronary artery disease. PMID: 28115489
- This study shows that the Coronary Artery Disease-associated coding polymorphism in ZC3HC1 alters the dynamics of cell-cycle regulation by NIPA. PMID: 27226629
- ZC3HC1 rs11556924 polymorphism is associated with hypertension in a Finnish cohort. PMID: 26266351
- Results indicate that ZC3HC1 rs11556924 polymorphism is associated with subclinical atherosclerosis in rheumatoid arthritis. PMID: 24286297
- The NIPA protein is a human F-box-containing protein that defines an SCF-type E3 ligase (SCF(NIPA)) controlling mitotic entry. PMID: 16009132
- Data show that cell cycle-dependent phosphorylation of nuclear interaction partner of anaplastic lymphoma kinase (NIPA)is mediated by extracellular signal-regulated kinase 2 (ERK2). PMID: 22955283
- phosphorylated NIPA is degraded in late mitosis in an APC/C(Cdh1)-dependent manner PMID: 22205987
- NIPA has an antiapoptotic role in NPM-ALK-mediated signaling events PMID: 12748172
顯示更多
收起更多
-
亞細胞定位:Nucleus.
-
組織特異性:Widely expressed. Highly expressed in heart, skeletal muscle and testis. Expressed in brain, placenta, lung, kidney, liver, pancreas, spleen, thymus, prostate, ovary small intestine and colon. Weakly or not expressed in leukocytes.
-
數據庫鏈接:
Most popular with customers
-
-
YWHAB Recombinant Monoclonal Antibody
Applications: ELISA, WB, IHC, IF, FC
Species Reactivity: Human, Mouse, Rat
-
Phospho-YAP1 (S127) Recombinant Monoclonal Antibody
Applications: ELISA, WB, IHC
Species Reactivity: Human
-
-
-
-
-















