ZDHHC3 Antibody
-
中文名稱:ZDHHC3兔多克隆抗體
-
貨號:CSB-PA882141LA01HU
-
規格:¥440
-
圖片:
-
Western Blot
Positive WB detected in: Hela whole cell lysate(20μg),K562 whole cell lysate(20μg), JK whole cell lysate(20μg), U251 whole cell lysate(20μg), HepG2 whole cell lysate(20μg), MCF7 whole cell lysate(20μg
All lanes: ZDHHC3 antibody at 1:1000
Secondary
Goat polyclonal to rabbit IgG at 1/20000 dilution
Predicted band size: 35,38 kDa
Observed band size: 35 kDa
Exposure time: 60s -
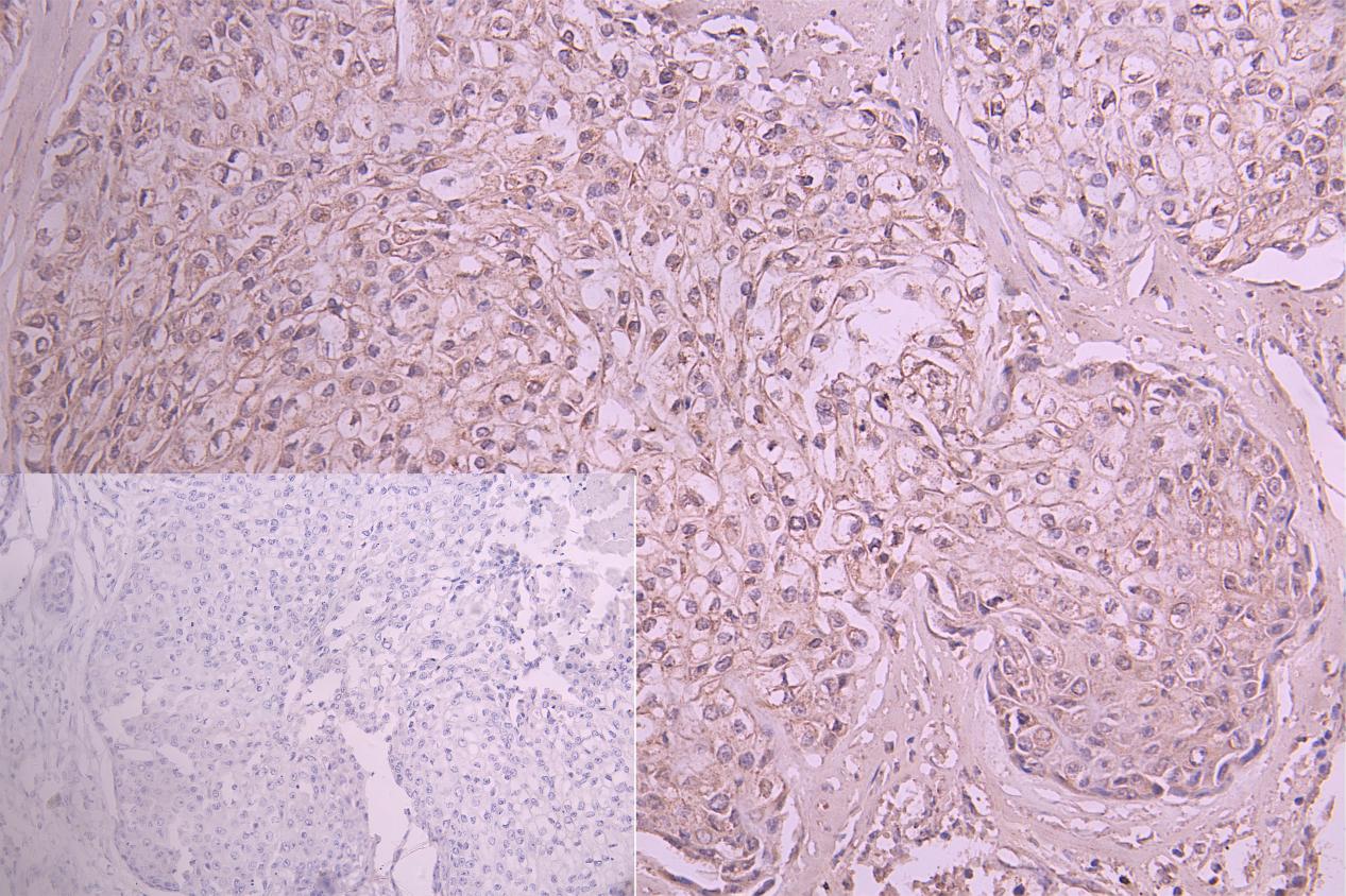
IHC image of CSB-PA882141LA01HU diluted at 1:50 and staining in paraffin-embedded human pancreatic cancer performed on a Leica BondTM system. After dewaxing and hydration, antigen retrieval was mediated by high pressure in a citrate buffer (pH 6.0). Section was blocked with 10% normal goat serum 30min at RT. Then primary antibody (1% BSA) was incubated at 4°C overnight. The primary is detected by a Goat anti-rabbit polymer IgG labeled by HRP and visualized using 0.05% DAB. Secondary antibody only control: uses 1% BSA instead of primary antibody
-
-
其他:
產品詳情
-
產品名稱:Rabbit anti-Homo sapiens (Human) ZDHHC3 Polyclonal antibody
-
Uniprot No.:
-
基因名:ZDHHC3
-
別名:ZDHHC3; HSD49; Palmitoyltransferase ZDHHC3; Acyltransferase ZDHHC3; Protein DHHC1; Zinc finger DHHC domain-containing protein 3; DHHC-3
-
宿主:Rabbit
-
反應種屬:Human
-
免疫原:Recombinant Human Palmitoyltransferase ZDHHC3 protein (94-171AA)
-
免疫原種屬:Homo sapiens (Human)
-
標記方式:Non-conjugated
本頁面中的產品,ZDHHC3 Antibody (CSB-PA882141LA01HU),的標記方式是Non-conjugated。對于ZDHHC3 Antibody,我們還提供其他標記。見下表:
-
克隆類型:Polyclonal
-
抗體亞型:IgG
-
純化方式:>95%, Protein G purified
-
濃度:It differs from different batches. Please contact us to confirm it.
-
保存緩沖液:Preservative: 0.03% Proclin 300
Constituents: 50% Glycerol, 0.01M PBS, PH 7.4 -
產品提供形式:Liquid
-
應用范圍:ELISA, WB, IHC
-
推薦稀釋比:
Application Recommended Dilution WB 1:500-1:2000 IHC 1:20-1:100 -
Protocols:
-
儲存條件:Upon receipt, store at -20°C or -80°C. Avoid repeated freeze.
-
貨期:Basically, we can dispatch the products out in 1-3 working days after receiving your orders. Delivery time maybe differs from different purchasing way or location, please kindly consult your local distributors for specific delivery time.
-
用途:For Research Use Only. Not for use in diagnostic or therapeutic procedures.
相關產品
靶點詳情
-
功能:Golgi-localized palmitoyltransferase that catalyzes the addition of palmitate onto various protein substrates. Has no stringent fatty acid selectivity and in addition to palmitate can also transfer onto target proteins myristate from tetradecanoyl-CoA and stearate from octadecanoyl-CoA. Plays an important role in G protein-coupled receptor signaling pathways involving GNAQ and potentially other heterotrimeric G proteins by regulating their dynamic association with the plasma membrane. Palmitoylates ITGA6 and ITGB4, thereby regulating the alpha-6/beta-4 integrin localization, expression and function in cell adhesion to laminin. Plays a role in the TRAIL-activated apoptotic signaling pathway most probably through the palmitoylation and localization to the plasma membrane of TNFRSF10A. In the brain, by palmitoylating the gamma subunit GABRG2 of GABA(A) receptors and regulating their postsynaptic accumulation, plays a role in synaptic GABAergic inhibitory function and GABAergic innervation. Palmitoylates the neuronal protein GAP43 which is also involved in the formation of GABAergic synapses. Palmitoylates NCDN thereby regulating its association with endosome membranes. Probably palmitoylates PRCD and is involved in its proper localization within the photoreceptor. Could mediate the palmitoylation of NCAM1 and regulate neurite outgrowth. Could palmitoylate DNAJC5 and regulate its localization to Golgi membranes. Also constitutively palmitoylates DLG4. May also palmitoylate SNAP25. Could palmitoylate the glutamate receptors GRIA1 and GRIA2 but this has not been confirmed in vivo. Could also palmitoylate the D(2) dopamine receptor DRD2.; May also function as a calcium transporter.
-
基因功能參考文獻:
- DHHC3-mediated protein palmitoylation supports breast tumor growth by modulating cellular oxidative stress and senescence. PMID: 29055014
- HSV-1 UL20 binds to GODZ (also known as DHHC3), a Golgi apparatus-specific Asp-His-His-Cys (DHHC) zinc finger protein. a GODZ dominant-negative mutant and an inhibitor of palmitoylation reduced HSV-1 titers and altered the localization of UL20 and glycoprotein K. UL20 is palmitoylated by GODZ, and this UL20 palmitoylation is required for HSV-1 infectivity. PMID: 28724772
- GODZ regulates plasma membrane targeting of DR4 and thus TRAIL/DR4-mediated apoptosis in cancer cells. PMID: 22240897
- Palmitoylation by DHHC3 is critical for the function, expression, and stability of integrin alpha6beta4. PMID: 22314500
- Data conclude that GODZ encodes a Ca(2+) transport protein in addition to its ability to palmitoylate protein substrates. PMID: 19955568
顯示更多
收起更多
-
亞細胞定位:Golgi apparatus membrane; Multi-pass membrane protein.
-
蛋白家族:DHHC palmitoyltransferase family
-
組織特異性:Widely expressed with significant expression in heart, lung, liver, skeletal muscle, kidney, testis, thymus, small intestine and leukocyte.
-
數據庫鏈接:
Most popular with customers
-
-
YWHAB Recombinant Monoclonal Antibody
Applications: ELISA, WB, IHC, IF, FC
Species Reactivity: Human, Mouse, Rat
-
Phospho-YAP1 (S127) Recombinant Monoclonal Antibody
Applications: ELISA, WB, IHC
Species Reactivity: Human
-
-
-
-
-















