ZNF350 Antibody
-
中文名稱:ZNF350兔多克隆抗體
-
貨號:CSB-PA026694ESR1HU
-
規格:¥440
-
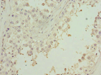
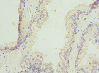
圖片:
-
其他:
產品詳情
-
產品名稱:Rabbit anti-Homo sapiens (Human) ZNF350 Polyclonal antibody
-
Uniprot No.:
-
基因名:ZNF350
-
別名:KRAB zinc finger protein ZFQR antibody; ZBRK1 antibody; ZFQR antibody; Zinc finger and BRCA1 interacting protein with a KRAB domain 1 antibody; Zinc finger and BRCA1-interacting protein with a KRAB domain 1 antibody; Zinc finger protein 350 antibody; Zinc finger protein ZBRK1 antibody; ZN350_HUMAN antibody; ZNF350 antibody
-
宿主:Rabbit
-
反應種屬:Human
-
免疫原:Recombinant Human Zinc finger protein 350 protein (233-532AA)
-
免疫原種屬:Homo sapiens (Human)
-
標記方式:Non-conjugated
-
克隆類型:Polyclonal
-
抗體亞型:IgG
-
純化方式:Antigen Affinity Purified
-
濃度:It differs from different batches. Please contact us to confirm it.
-
保存緩沖液:PBS with 0.02% sodium azide, 50% glycerol, pH7.3.
-
產品提供形式:Liquid
-
應用范圍:ELISA, IHC
-
推薦稀釋比:
Application Recommended Dilution IHC 1:20-1:200 -
Protocols:
-
儲存條件:Upon receipt, store at -20°C or -80°C. Avoid repeated freeze.
-
貨期:Basically, we can dispatch the products out in 1-3 working days after receiving your orders. Delivery time maybe differs from different purchasing way or location, please kindly consult your local distributors for specific delivery time.
-
用途:For Research Use Only. Not for use in diagnostic or therapeutic procedures.
相關產品
靶點詳情
-
功能:Transcriptional repressor. Binds to a specific sequence, 5'-GGGxxxCAGxxxTTT-3', within GADD45 intron 3.
-
基因功能參考文獻:
- Results indicate ZNF350 as an important gene mammary oncogenesis. PMID: 29653063
- Results indicated that SNP rs2278414 at ZNF350 may in fl uence an individual's susceptibility to age-related cataract (ARC) by affecting the binding af fi nity of miR-21-3p and miR-150-5p and regulating expression levels of the mRNAs, resulting in different levels of cellular DNA breaks, thus contributing to ARC. PMID: 27586871
- villin directly interacts with a transcriptional corepressor and ligand of the Slug promoter, ZBRK1. PMID: 26658611
- ZBRK1 suppresses renal cancer progression perhaps by regulating VHL expression through formation of a complex with VHL and p300 in renal cancer PMID: 25749518
- MAGE proteins bind to KAP1, a gene repressor and ubiquitin E3 ligase which also binds KRAB domain containing zinc finger transcription factors (KZNFs), and MAGE expression may affect KZNF mediated gene regulation. PMID: 25107531
- The secondary structure of the ZBRK1-DNA complex is found to be significantly altered from the standard B-DNA conformation. PMID: 24924633
- results indicate that a loss of ZBRK1 contributes to the increased expression of KAP1, potentiating its role to enhance metastasis and invasion PMID: 23991171
- promoter assays in two breast cancer cell lines identified two haplotypes (H11 and H12) stimulating significantly the expression of ZNF350 transcript compared with the common haplotype H8 PMID: 23151675
- ZBRK1 negatively regulates the HIV-1 LTR PMID: 22975076
- high levels of gene activity in the genomic environment and the pre-deposition of repressive histone marks within a gene increase its susceptibility to KRAB/KAP1-mediated repression PMID: 21791101
- KRAB-containing zinc-finger transcriptional regulator, ZBRK1, an interaction partner of the SCA2 gene product ataxin-2. PMID: 20926453
- RB.E2F1 complex plays a critical role in ZBRK1 transcriptional repression, and loss of this repression may contribute to cellular sensitivity of DNA damage, ultimately leading to carcinogenesis. PMID: 20713352
- Data found that HMGA2, along with a dozen of other genes, was co-repressed by ZBRK1, BRCA1, and CtIP. PMID: 20007691
- KRAB/KAP1 recruitment induces long-range repression through the spread of heterochromatin. PMID: 20221260
- Our findings suggest that ZBRK1 acts to inhibit metastasis of cervical carcinoma, perhaps by modulating MMP9 expression. PMID: 19996286
- ZBRK1 mutation found in BRCA1 and BRCA2 mutation negative probands with breast or ovarian cancer. PMID: 12872252
- ZBRK1 is a novel target for DNA damage-induced degradation PMID: 14517299
- ZBRK1 zinc fingers have dual roles in sequence-specific DNA-binding and BRCA1-dependent transcriptional repression PMID: 14660588
- the CTRD is a novel protein interaction surface responsible for directing homotypic and heterotypic interactions necessary for ZBRK1-directed transcriptional repression PMID: 15496401
- interacts with BBLF2/3 to provide a tethering point on oriLyt for the EBV replication complex PMID: 15596820
- KRAB-induced transcriptional repression is robust and active over a variety of genomic contexts that include at least the wide range of sites targeted by lentiviral integration PMID: 16997916
- Genetic variants and haplotypes of the ZBRK1 gene is associated with breast and ovarian cancer PMID: 17764113
- KRAB/KAP1 regulation is fully functional within the context of episomal DNA PMID: 19279087
- BRCA1 and ZNF350 may jointly contribute to individuals' susceptibility of breast cancer in Chinese women. PMID: 19484476
顯示更多
收起更多
-
亞細胞定位:Nucleus. Nucleus matrix. Note=Associated with the nuclear matrix.
-
蛋白家族:Krueppel C2H2-type zinc-finger protein family
-
組織特異性:Widely expressed.
-
數據庫鏈接:
Most popular with customers
-
-
YWHAB Recombinant Monoclonal Antibody
Applications: ELISA, WB, IHC, IF, FC
Species Reactivity: Human, Mouse, Rat
-
Phospho-YAP1 (S127) Recombinant Monoclonal Antibody
Applications: ELISA, WB, IHC
Species Reactivity: Human
-
-
-
-
-















