CBX2 Recombinant Monoclonal Antibody
-
中文名稱:CBX2重組抗體
-
貨號:CSB-RA632623A0HU
-
規格:¥1320
-
圖片:
-
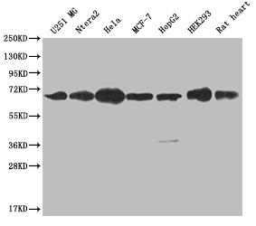
Western Blot
Positive WB detected in: U251 whole cell lysate, Ntera-2 whole cell lysate, Hela whole cell lysate, MCF-7 whole cell lysate, HepG2 whole cell lysate, HEK293 whole cell lysate, Rat heart tissue
All lanes: CBX2 antibody at 1:2000
Secondary
Goat polyclonal to rabbit IgG at 1/50000 dilution
Predicted band size: 57, 24 kDa
Observed band size: 60-72 kDa
-
-
其他:
產品詳情
-
產品描述:CSB-RA632623A0HU重組單克隆抗體是針對表觀遺傳調控核心因子CBX2開發的高特異性科研工具。該抗體靶向Polycomb抑制復合物(PRC1)的關鍵成員CBX2蛋白,該蛋白通過介導組蛋白H3K27me3修飾參與基因沉默、干細胞維持及細胞命運決定等重要生物學過程,其功能異常與胚胎發育異常及腫瘤發生密切相關。經嚴格驗證,本抗體在Western Blot實驗中可清晰識別內源性CBX2蛋白表達,推薦使用濃度為1:500至1:2000;同時具備ELISA檢測應用兼容性,為研究者提供多重實驗選擇。該產品適用于探索多能性維持、細胞重編程、腫瘤表觀遺傳失調等研究領域,尤其適用于染色質動態調控機制解析、基因沉默模型構建及靶向PRC1復合物的功能研究。通過高批間一致性和低交叉反應性的優勢,該抗體可為表觀遺傳學、發育生物學和腫瘤微環境研究提供可靠支持,所有應用均嚴格限定于基礎科研范疇。
-
Uniprot No.:
-
基因名:CBX2
-
別名:Chromobox protein homolog 2, CBX2
-
反應種屬:Human, Rat
-
免疫原:A synthesized peptide derived from human CBX2
-
免疫原種屬:Homo sapiens (Human)
-
標記方式:Non-conjugated
-
克隆類型:Monoclonal
-
抗體亞型:Rabbit IgG
-
純化方式:Affinity-chromatography
-
克隆號:24A2
-
濃度:It differs from different batches. Please contact us to confirm it.
-
保存緩沖液:Rabbit IgG in 10mM phosphate buffered saline , pH 7.4, 150mM sodium chloride, 0.05% BSA, 0.02% sodium azide and 50% glycerol.
-
產品提供形式:Liquid
-
應用范圍:ELISA, WB
-
推薦稀釋比:
Application Recommended Dilution WB 1:500-1:2000 -
Protocols:
-
儲存條件:Upon receipt, store at -20°C or -80°C. Avoid repeated freeze.
-
貨期:Basically, we can dispatch the products out in 1-3 working days after receiving your orders. Delivery time maybe differs from different purchasing way or location, please kindly consult your local distributors for specific delivery time.
-
用途:For Research Use Only. Not for use in diagnostic or therapeutic procedures.
相關產品
靶點詳情
-
功能:Component of a Polycomb group (PcG) multiprotein PRC1-like complex, a complex class required to maintain the transcriptionally repressive state of many genes, including Hox genes, throughout development. PcG PRC1 complex acts via chromatin remodeling and modification of histones; it mediates monoubiquitination of histone H2A 'Lys-119', rendering chromatin heritably changed in its expressibility. Binds to histone H3 trimethylated at 'Lys-9' (H3K9me3) or at 'Lys-27' (H3K27me3). Plays a role in the lineage differentiation of the germ layers in embryonic development. Involved in sexual development, acting as activator of NR5A1 expression.
-
基因功能參考文獻:
- study indicates a distinct function of the shorter form of CBX2 and by identifying several of its unique targets, can advance our understanding of DSD pathogenesis and ultimately DSD diagnosis and management. PMID: 29998616
- These results suggest that CBX2's phosphorylation is critical for its transcriptional repression of target genes. PMID: 28992316
- Data show that basal-like subgroup was enriched for aggressive tumors and somatic mutations in trithorax-group genes and it overexpressed polycomb genes EZH2 and CBX2. PMID: 26431491
- up-regulated in metastatic castration-resistant prostate cancer and elevated expression correlates with poor clinical outcome PMID: 26877821
- CBX2 role in the sex development cascade is to stimulate the male pathway and concurrently inhibit the female pathway. PMID: 25569159
- CBX2 upregulation and amplification significantly correlated with metastatic progression and lower overall survival in many cancer types, particularly those of the breast PMID: 25225902
- This study does not support CBX2 gene disruption as a common cause of gonadal gonadal disorders of sex development. PMID: 23219007
- Two distinct mechanisms are involved in CBX2-mediated gene silencing. The short CBX2-2 isoform would repress the transcription in a PRC1-independent fashion, whereas gene repression by the long CBX2-1 isoform is mediated by the PRC1 protein complex. PMID: 22419124
- CDYL functions as a molecular bridge between PRC2 and the repressive chromatin mark H3K27me3, forming a positive feedback loop to facilitate the establishment and propagation of H3K27me3 modifications along the chromatin PMID: 22009739
- hPc2 serves as a SUMO E3 ligase for cystathionine beta-synthase, increasing the efficiency of sumoylation. PMID: 19107218
顯示更多
收起更多
-
相關疾病:46,XY sex reversal 5 (SRXY5)
-
亞細胞定位:Nucleus. Chromosome.
-
數據庫鏈接:
Most popular with customers
-
-
YWHAB Recombinant Monoclonal Antibody
Applications: ELISA, WB, IHC, IF, FC
Species Reactivity: Human, Mouse, Rat
-
Phospho-YAP1 (S127) Recombinant Monoclonal Antibody
Applications: ELISA, WB, IHC
Species Reactivity: Human
-
-
-
-
-















