CCL3 Recombinant Monoclonal Antibody
-
中文名稱:CCL3 Recombinant Monoclonal Antibody
-
貨號:CSB-RA004793MA1HU
-
規格:¥1320
-
圖片:
-
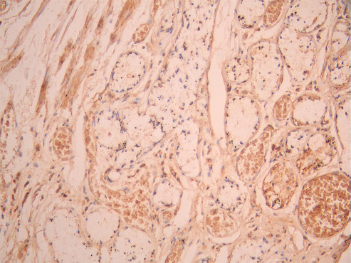
IHC image of CSB-RA004793MA1HU diluted at 1:50 and staining in paraffin-embedded human lymph node tissue performed on a Leica BondTM system. After dewaxing and hydration, antigen retrieval was mediated by high pressure in a citrate buffer (pH 6.0). Section was blocked with 10% normal goat serum 30min at RT. Then primary antibody (1% BSA) was incubated at 4°C overnight. The primary is detected by a Anti-Human lgG, Fcy Fragment Specific labeled by HRP and visualized using 0.05% DAB.
-
IHC image of CSB-RA004793MA1HU diluted at 1:50 and staining in paraffin-embedded human lung tissue performed on a Leica BondTM system. After dewaxing and hydration, antigen retrieval was mediated by high pressure in a citrate buffer (pH 6.0). Section was blocked with 10% normal goat serum 30min at RT. Then primary antibody (1% BSA) was incubated at 4°C overnight. The primary is detected by a Anti-Human lgG, Fcy Fragment Specific labeled by HRP and visualized using 0.05% DAB.
-
Overlay Peak curve showing K562 cells stained with CSB-RA004793MA1HU (red line) at 1:100. The cells were fixed in 4% formaldehyde and permeated by 0.2% TritonX-100 for 10min. Then 10% normal goat serum to block non-specific protein-protein interactions followed by the antibody (1ug/1*106cells) for 45min at 4℃. The secondary antibody used was Fluorescein (FITC) AffiniPure Goat Anti-Human IgG, Fcγ fragment specific at 1:200 dilution for 35min at 4℃.Control antibody (green line) was human IgG1 (1ug/1*106cells) used under the same conditions. Acquisition of >10,000 events was performed.
-
-
其他:
產品詳情
-
Uniprot No.:
-
基因名:
-
別名:C C motif chemokine 3 antibody; CCL 3 antibody; CCL3 antibody; CCL3_HUMAN antibody; Chemokine (C C motif) ligand 3 antibody; Chemokine C C motif ligand 3 antibody; Chemokine ligand 3 antibody; G0/G1 switch regulatory protein 19 1 antibody; G0/G1 switch regulatory protein 19-1 antibody; G0S19 1 antibody; G0S19 1 protein antibody; Heparin binding chemotaxis protein antibody; L2G25B antibody; LD78 alpha antibody; LD78-alpha(4-69) antibody; LD78alpha antibody; Macrophage inflammatory protein 1 alpha antibody; Macrophage inflammatory protein 1-alpha antibody; macrophage inflammatory protein 1a antibody; MIP 1 alpha antibody; MIP 1A antibody; MIP-1-alpha antibody; MIP-1-alpha(4-69) antibody; MIP1 alpha antibody; MIP1A antibody; PAT 464.1 antibody; SCYA 3 antibody; SCYA3 antibody; SIS alpha antibody; SIS beta antibody; SIS-beta antibody; Small inducible cytokine A3 antibody; small inducible cytokine A3 (homologous to mouse Mip-1a) antibody; Small-inducible cytokine A3 antibody; Tonsillar lymphocyte LD78 alpha protein antibody
-
反應種屬:Human
-
免疫原:Recombinant Human CCL3 protein
-
免疫原種屬:Homo sapiens (Human)
-
標記方式:Non-conjugated
-
克隆類型:Monoclonal
-
抗體亞型:hIgG1
-
純化方式:Affinity-chromatography
-
克隆號:18A11
-
濃度:It differs from different batches. Please contact us to confirm it.
-
保存緩沖液:Preservative: 0.03% Proclin 300
Constituents: 50% Glycerol, 0.01M PBS, PH 7.4 -
產品提供形式:Liquid
-
應用范圍:ELISA, IHC, FC
-
推薦稀釋比:
Application Recommended Dilution IHC 1:50-1:200 FC 1:50-1:200 -
Protocols:
-
儲存條件:Upon receipt, store at -20°C or -80°C. Avoid repeated freeze.
-
貨期:Basically, we can dispatch the products out in 1-3 working days after receiving your orders. Delivery time maybe differs from different purchasing way or location, please kindly consult your local distributors for specific delivery time.
-
用途:For Research Use Only. Not for use in diagnostic or therapeutic procedures.
相關產品
靶點詳情
-
功能:Monokine with inflammatory and chemokinetic properties. Binds to CCR1, CCR4 and CCR5. One of the major HIV-suppressive factors produced by CD8+ T-cells. Recombinant MIP-1-alpha induces a dose-dependent inhibition of different strains of HIV-1, HIV-2, and simian immunodeficiency virus (SIV).
-
基因功能參考文獻:
- Tumor levels of CCL2 (mean +/- standard deviation = 530.1 +/- 613.9 pg/mg), CCL3 (102.7 +/- 106.0 pg/mg), and CCL4 (64.98 +/- 48.09 pg/mg) were higher than those found in healthy tissue PMID: 30419802
- During early remission from methamphetamine (MA), model mice exhibited increased anxiety-like behavior and reduced expression of chemokine (C-C motif) ligand 3 (ccl3) in the hippocampus relative to saline-treated mice. Human adults actively dependent on MA and those in early remission had elevated symptoms of anxiety as well as reductions in plasma levels of CCL3, relative to adults with no history of MA abuse. PMID: 29402784
- As depression became more severe the serum levels of MIP-1alpha increased. PMID: 29339257
- results suggested that genetic variants at the CCL3 and CCL4 loci may be marker SNPs for risk of HCV treatment outcome. PMID: 29705123
- Telomere length and mRNA expressions of IL6 and MIP1alpha were significantly longer or higher in bone marrow mesenchymal stem cells of multiple myeloma than those of controls. PMID: 28677723
- The CCL3 and CCL4 chemokines might not be involved in differential susceptibility to the digestive and cardiac clinical forms of chronic Chagas disease, and it seems they do not influence the development of LVSD. PMID: 28002786
- The serum levels of IL-8, MIP-1 alpha, MIP-1 beta, MMP-8, Resistin, FLRG, and BCAM were significantly higher in breast cancer patients, but LAP and TSH-beta levels were lower. PMID: 26898119
- the DR3/TL1A pathway directly enhances human OC formation and resorptive activity, controlling expression and activation of CCL3 and MMP-9. PMID: 28062298
- serum levels of MIP-1alpha could predict survival outcomes in patients with ENKTL. PMID: 26928433
- elevated CCL3 in the leukemic environment suppresses erythropoiesis via CCR1-p38 activation PMID: 27109512
- analysis of sudden infant death syndrome brains shows downregulation of MyD88 in tissue from SIDS brains, as well as the downregulation of the genes encoding CCL3 and UNC13 in the liver PMID: 26959483
- we demonstrate an association of CCL3 expression by CLL cells with increased numbers of CD3+ T cells and CD57+ cells in the lymph node microenvironment, which may promote CLL cell survival and proliferation. PMID: 26458057
- The N termini of CC chemokines are shown to be involved in receptor binding and oligomerization. We also report an alternative CCL3 oligomer structure that reveals how conformational changes in CCL3 N termini profoundly alter its surface properties and dimer-dimer interactions to affect GAG binding and oligomerization. Such complexity in oligomerization and GAG binding enables intricate, physiologically relevant regulatio PMID: 27091995
- CCL3 promotes VEGF-A expression and angiogenesis in human osteosarcoma cells by down-regulating miR-374b expression via JNK, ERK, and p38 signaling pathways. PMID: 26713602
- The residues on the N-loop and beta-sheets of MIP-1a are close to both CCR1 and CCR5, and those in the C-terminal helix region are close to CCR5. PMID: 26472202
- An increased MIP-1alpha level in nasopharyngeal aspirates from patients with acute respiratory symptoms during the first wheezing episode caused by viral infections might predict recurrent wheezing. PMID: 26494023
- Tregs from subjects with established type 1 diabetes were impaired in their ability to produce CCL3 and CCL4. PMID: 26854929
- Pleural and serum MIP1a were lower in patients with lung cancer compared to lung metastasis, pneumonia, tuberculosis, and transudate pleural effusion. PMID: 26620310
- AEG-1 mediates CCL3/CCR5-induced EMT development via both Erk1/2 and Akt signaling pathway in CM patients, which indicates CCL3/CCR5-AEG-1-EMT pathway could be suggested as a useful target to affect the progression of CM. PMID: 26134542
- The EP in TKA differed from EP in aseptically failed THA by lower CCL3 and DC-STAMP mRNA and protein expression. EP of all studied inflammatory and osteoclastogenic molecules were similar in knee and hip OA. PMID: 25151085
- A significantly higher percentage of healthy asymptomatic persons possibly exposed to asbestos had detectable levels of serum CCL3 compared to healthy unexposed control subjects. PMID: 25940505
- APOE varepsilon4 genotype specifically modulates astrocyte secretion of potent microglial chemotactic agents, including CCL3 PMID: 25092803
- Macrophage inflammatory protein-1alpha shows predictive value as a risk marker for subjects and sites vulnerable to bone loss in a longitudinal model of aggressive periodontitis. PMID: 24901458
- In COPD patients, CCL3 is upregulated in sputum and may facilitate recruitment of macrophages into airways. PMID: 25183374
- Serum/urinary MIP-1a responds to infection but cannot be used as reliable biomarker in childhood urinary tract infections. PMID: 25618120
- Sequence variants in the CCL3 chemokine gene family in the HapMap West African reference population have been identified. PMID: 24952210
- MIP-1alpha levels in Jurkat cells appeared to be an important factor for its transendothelial migration PMID: 25245399
- se results indicate that CCL2 and CCL3 are associated with progression of oral squamous cell carcinoma PMID: 25060177
- Our results confirm the strong influence of previous immunity in subsequent dengue infections, and confer a possible pathogenic role to CCR1 and CCL3 in dengue disease and a possible protective role for CCL5, probably through CCR5 interaction. PMID: 24157267
- The detection of basal level of IgM rheumatoid factor, IgM and also certain cytokines can be useful in prognosis of effectiveness of rituximab therapy under rheumatoid arthritis. PMID: 25080789
- Gene expression profiling in bone marrow from multiple myeloma patients with and without osteolysis vs controls with other hematologic neoplasms showed only weak CCL3 expression. PMID: 24556596
- MIP-1alpha is a predominant factor responsible for the enhancement of bone resorption and increased angiogenesis PMID: 24277416
- Greater adiposity is associated with higher MIP-1alpha and lower soluble CD14 levels, possibly reflecting an important role for cells of the monocyte/macrophage lineage. PMID: 23748193
- Transcription of CCL3 and CCL4 by THP-1 monocytic cells up-regulated in the presence of 27-Hydroxycholesterol and 7alpha-hydroxycholesterol. PMID: 24370436
- the role of Tax2-mediated activation of the nuclear factor kappa B (NF-kappaB) signalling pathway on the production of the anti-viral CC-chemokines MIP-1alpha, MIP-1beta and RANTES. PMID: 24116893
- Data indicate that VIP and PACAP increased macrophage resistance to HIV-1 replication by inducing the synthesis of beta-chemokines CCL3 and CCL5 and IL-10 following preferential activation of the receptors VPAC2 and PAC1. PMID: 23818986
- JAK2 and STAT3 activation is not essential for CCL3, CCL5 or CCL8 induced chemotaxis. PMID: 22987449
- Epstein-Barr virus latent membrane protein 1 (LMP1)-mediated Jun N-terminal protein kinase activation was responsible for upregulation of CCL3 and CCL4 in B cells. PMID: 23760235
- either the CCL3 gene may play a significant role in CCL3 production and/or that as yet undefined mechanisms regulate production of CCL3 from variable CCL3L copy number. PMID: 23295355
- High serum CCL-3 is associated with disease severity of generalized pustular psoriasis. PMID: 23334651
- These findings suggest that MIP-1alpha and IL-17 may play important roles in acute exacerbation of asthma induced by RSV in an animal model. PMID: 23711864
- This study examined the role of three African CCL3 haplotypes in HIV-1 infant susceptibility, maternal HIV-1 transmissibility and HIV-1 disease progression in the mothers. PMID: 23151487
- These findings suggest that the increased expression of CCL3, CCR1, and CCR5 may influence the immune response in RAS by T(H)1 cytokine polarization. PMID: 22727097
- Our findings indicate that TNFalpha and IL-1beta modulate the expression of CCL3 in nucleus pulposis cells by controlling the activation of MAPK, NF-kappaB, and C/EBPbeta signaling. PMID: 23233369
- Our results suggest vital roles for CCL3-mTORC2-isoform PKB/Akt1 S473 phosphorylation axis in FOXP3+Treg cells and the development of psoriasis. PMID: 23223135
- Serum CCL3, CCL5 and CCL18 are independently associated with the risk of short-term mortality in acute coronary syndrome patients. PMID: 23029252
- Tumor-infiltrating monocytic myeloid-derived suppressor cells produce high levels of transgenic CCR5 ligands CCL3, CCL4, and CCL5 and directly attract regulatory T cells (Tregs) in a CCR5-dependent manner. PMID: 23152559
- MIP-1alpha was found to correlate with WHO grade among invasive gliomas, and MIP-1alpha promoted human glioblastoma cell proliferation and migration. PMID: 22307528
- The mRNA expression of MIP-1alpha was markedly higher in chronic nonbacterial prostatitis/chronic pelvic pain syndrome patients than in controls. PMID: 22295852
- Data indicate that IFN2b treatment upregulates the expression of CCR5, RANTES, MIP-1alpha and MIP-1beta on monocytes/macrophages. PMID: 22085486
顯示更多
收起更多
-
亞細胞定位:Secreted.
-
蛋白家族:Intercrine beta (chemokine CC) family
-
數據庫鏈接:
Most popular with customers
-
-
YWHAB Recombinant Monoclonal Antibody
Applications: ELISA, WB, IHC, IF, FC
Species Reactivity: Human, Mouse, Rat
-
Phospho-YAP1 (S127) Recombinant Monoclonal Antibody
Applications: ELISA, WB, IHC
Species Reactivity: Human
-
-
-
-
-















