ECM1 Recombinant Monoclonal Antibody
-
中文名稱:ECM1 Recombinant Monoclonal Antibody
-
貨號:CSB-RA215300A0HU
-
規格:¥1320
-
圖片:
-
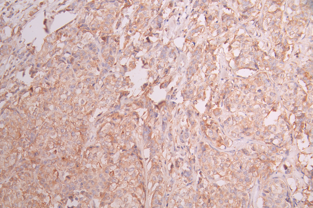
IHC image of CSB-RA215300A0HU diluted at 1:100 and staining in paraffin-embedded human breast cancer performed on a Leica BondTM system. After dewaxing and hydration, antigen retrieval was mediated by high pressure in a citrate buffer (pH 6.0). Section was blocked with 10% normal goat serum 30min at RT. Then primary antibody (1% BSA) was incubated at 4°C overnight. The primary is detected by a Goat anti-rabbit polymer IgG labeled by HRP and visualized using 0.05% DAB.
-
Immunofluorescence staining of Hela cell with CSB-RA215300A0HU at 1:50, counter-stained with DAPI. The cells were fixed in 4% formaldehyde, permeabilized using 0.2% Triton X-100 and blocked in 10% normal Goat Serum. The cells were then incubated with the antibody overnight at 4°C. The secondary antibody was Alexa Fluor 488-congugated AffiniPure Goat Anti-Rabbit IgG(H+L).
-
Overlay Peak curve showing A375 cells stained with CSB-RA215300A0HU (red line) at 1:100. The cells were fixed in 4% formaldehyde and permeated by 0.2% TritonX-100 for 10min. Then 10% normal goat serum to block non-specific protein-protein interactions followed by the antibody (1ug/1*106cells) for 45min at 4℃. The secondary antibody used was FITC-conjugated goat anti-rabbit IgG (H+L) at 1/200 dilution for 35min at 4℃.Control antibody (green line) was Rabbit IgG (1ug/1*106cells) used under the same conditions. Acquisition of >10,000 events was performed.
-
-
其他:
產品詳情
-
Uniprot No.:
-
基因名:ECM1
-
別名:ECM 1 antibody; Ecm1 antibody; ECM1_HUMAN antibody; Extracellular matrix protein 1 antibody; Secretory component p85 antibody; URBWD antibody
-
反應種屬:Human
-
免疫原:A synthesized peptide derived from human ECM1
-
免疫原種屬:Homo sapiens (Human)
-
標記方式:Non-conjugated
-
克隆類型:Monoclonal
-
抗體亞型:Rabbit IgG
-
純化方式:Affinity-chromatography
-
克隆號:5E12
-
濃度:It differs from different batches. Please contact us to confirm it.
-
保存緩沖液:Rabbit IgG in 10mM phosphate buffered saline , pH 7.4, 150mM sodium chloride, 0.05% BSA, 0.02% sodium azide and 50% glycerol.
-
產品提供形式:Liquid
-
應用范圍:ELISA, IHC, IF, FC
-
推薦稀釋比:
Application Recommended Dilution IHC 1:50-1:200 IF 1:50-1:200 FC 1:50-1:200 -
Protocols:
-
儲存條件:Upon receipt, store at -20°C or -80°C. Avoid repeated freeze.
-
貨期:Basically, we can dispatch the products out in 1-3 working days after receiving your orders. Delivery time maybe differs from different purchasing way or location, please kindly consult your local distributors for specific delivery time.
-
用途:For Research Use Only. Not for use in diagnostic or therapeutic procedures.
相關產品
靶點詳情
-
功能:Involved in endochondral bone formation as negative regulator of bone mineralization. Stimulates the proliferation of endothelial cells and promotes angiogenesis. Inhibits MMP9 proteolytic activity.
-
基因功能參考文獻:
- the present study demonstrated the association between ECM1 gene mutation and patients with LP. Patients with LP exhibited one homozygous point mutation (C220G) as previously reported, one novel homozygous mutation (c.508insCTG) and two heterozygous mutations (C220G/P.R481X and c.507delT/c.l473delT). PMID: 29693130
- The results showed a significant upregulation of ECM1 and ITGB3, and a significant downregulation for FBLN5 in pelvic organ prolapse patients. PMID: 29729708
- Three patients with homozygous mutations in sixth and seventh exons of the ECM1 gene had a drug-resistant course at the end of long-term follow-up PMID: 28434238
- This proteome analysis indicate that ECM1 is a potential novel plasma protein biomarker for the detection of primary ESCC and evaluation of neoplasms progression PMID: 28493612
- The TT genotype of ECM1 gene rs3737240 SNP significantly increased susceptibility for Ulcerative Colitis and azathioprine use in Ulcerative Colitis patients in a Turkish population. PMID: 28699600
- our work has identified a novel function of ECM1 in inhibiting Th17 cell differentiation in the experimental autoimmune encephalomyelitis model PMID: 27316685
- Our results indicate that although mutation in ECM1gene is responsible for lipoid proteinosis, it is likely that this is not the only gene causing this disease and probably other genes may be involved in the pathogenesis of the LP disease. PMID: 27241643
- ECM1, which displayed a high expression in hepatocellular carcinoma (HCC) specimens, was closely associated with clinicopathologic data and may promote migration and invasion of HCC cells by inducing epithelia-mesenchymal transition. PMID: 27460906
- Cell invasion (matrigel) was reduced only in the Hs578T cells (p < 0.01). Silencing decreased the expression of the prometastatic molecules S100A4 and TGFbetaR2 in both cell lines and CD44 in Hs578T cells. We conclude that ECM1 is a key player in the metastatic process and regulates the actin cytoskeletal architecture of aggressive breast cancer cells at least in part via alterations in S100A4 and Rho A. PMID: 27770373
- Overexpression of miR-486-3p inhibited cell growth and metastasis by targeting ECM1. PMID: 27133046
- For 1q21 loci, we confirmed gene ECM1 as the most plausible gene from this region to be involved in pathogenesis of inflammatory bowel disease PMID: 26738999
- In conclusion, the domain-specific anti-ECM1 MAbs produced in this study should provide a useful tool for investigating ECM1's biological functions, and cellular pathways in which it is involved. PMID: 26826312
- Lipoid proteinosis is a rare autosomal recessive disorder caused by mutations in ECM1, encoding extracellular matrix protein 1, a glycoprotein expressed in many organs and which has important protein-protein interactions in tissue homeostasis PMID: 26564090
- MMP-2 protein and ECM1 gene are useful preoperative markers for defining malignancy in suspicious thyroid nodules PMID: 25812648
- Genetic testing of theECM1 gene showed a homozygous nonsense mutation c.1441C > T (p.Arg481X) in exon 10, confirming the diagnosis of lipoid proteinosis. PMID: 24079542
- Lipoidproteinosis results from a large homozygous deletion of ECM1 gene in a Chinese family. PMID: 25518807
- High extracellular matrix protein-1 expression is associated with the growth, metastasis and angiogenesis of laryngeal carcinoma PMID: 25824756
- This large cohort revealed extensive phenotypic variability in individuals with the same mutation in ECM1. PMID: 25529926
- Lipoid proteinosis (LP) is a rare autosomal recessive genodermatosis caused by mutations in extracellular matrix protein 1 (ECM1) that involves deposition of basement membrane-like material in the skin and other organs. PMID: 23534907
- ECM1 induced the expression of genes that promote the Warburg effect, such as glucose transporter 1 (GLUT1), lactate dehydrogenase A (LDHA), and hypoxia-inducible factor 1 alpha (HIF-1alpha). PMID: 25446258
- Report a global loss of 5hmC identified three new genes (ECM1, ATF5, and EOMES) with potential anti-cancer functions that may promote the understanding of the molecular mechanisms of hepatocellular carcinoma development and progression. PMID: 25517360
- High extracellular matrix protein 1 expression is correlated to carcinogenesis and lymphatic metastasis of gastric cancer PMID: 24779890
- The data supports the conclusion that the c.742G>T mutation nonsense mutation in ECM1 is the pathological cause of lipoid proteinosis. PMID: 24413997
- homozygous missense mutation p.C220G of ECM1 was identified by Sanger sequencing, which is a major allele in Chinese patients with LP PMID: 24708644
- splicing mutation in Chinese lipoid proteinosis family PMID: 23682690
- Clinical assays for ECM1 and TEX101 have the potential to replace most of the diagnostic testicular biopsies and facilitate the prediction of outcome of sperm retrieval procedures, increasing the reliability and success of assisted reproduction techniques PMID: 24259048
- role for TFAP2C in melanoma via its regulation of ECM1 PMID: 24023917
- Suggest that ECM1 plays promotive roles in the occurrence, development and metastasis of laryngeal carcinoma. PMID: 23696932
- The expression of ECM1 was found to be an independent factor for predicting overall and disease-free survival of hepatocellular carcinoma. PMID: 21128013
- Overexpression of ECM1 contributes to migration and invasion in cholangiocarcinoma. PMID: 22489696
- Case Report: a novel mutation in Pakistani family extends the body of evidence that supports the importance of ECM1 gene for the development of lipoid proteinosis. PMID: 21791056
- neurologic and neuroradiologic characteristics and ECM1 gene mutations of seven individuals with lipoid proteinosis (LP) from three unrelated consanguineous families PMID: 21349189
- ECM1 played an important role in the growth, metastasis and angiogenesis of laryngeal carcinoma. PMID: 16646403
- PLSCR1 interacts with the tandem repeat region of ECM1a in the dermal epidermal junction zone of human skin. PMID: 20870722
- The ECM/SULF1 and ECM/COLLAGEN metagenes showed inconsistent association with DMFS in the three prognostic data sets in both breast neoplasm subtypes, and the combined P values were not significant. PMID: 20805453
- A novel homozygous 62-bp insertion in exon 8 of ECM1 in this Pakistani family is a rare mutation affecting both alleles and it may help in further understanding the multifunctional role of ECM1 PMID: 19519837
- Extracellular matrix protein 1 gene (ECM1) mutations in lipoid proteinosis and genotype-phenotype correlation. Seven new homozygous nonsense or frameshift mutations. Exons 6 and 7 most common sites for ECM1 mutations. PMID: 12603844
- These results indicate that ECM1 tends to be preferentially expressed by metastatic epithelial tumors. PMID: 14550953
- Frther emphasizes the role of ECM-1 in lipoid proteinosis and highlights unresolved genotype-phenotype correlation in this disease. PMID: 16274456
- it is reported here that ECM1 interacts with MMP9 and that such interactions diminish the proteolytic activity of MMP9 PMID: 16512877
- We report here mutation analysis of the ECM1 gene in a Chinese family with lipoid proteinosis. PMID: 17721643
- This article provides an update on the molecular pathology of lipoid proteinosis, including the addition of 15 new mutations in ECM1 to the mutation database [review] PMID: 17927570
- ECM1 is a basement membrane protein of the skin PMID: 18200062
- Single Nucleotide Polymorphism in ECM1 gene is associated with ulcerative colitis PMID: 18438406
- A survey of ECM1 expression in different tumors indicated that ECM1, although not tumor specific, is significantly elevated in many malignant epithelial tumors that give rise to metastases, emphasizing its relevance in the cancer process. Review. PMID: 18443958
- ECM1 variation was not associated with Crohn's disease. PMID: 19068216
- ECM proteins such as EDBFN and collagen are upregulated in ERM and PDR, and are regulated by TGF-beta. PMID: 19219685
- Functional and structural characterisation of human colostrum free secretory component. PMID: 19230975
- ECM1 is a multifunctional binding core and/or a scaffolding protein interacting with a variety of extracellular and structural proteins, contributing to the maintenance of skin integrity and homeostasis. PMID: 19275936
- Overexpression of ECM1 is associated with invasive breast carcinomas. PMID: 19521735
顯示更多
收起更多
-
相關疾病:Lipoid proteinosis (LiP)
-
亞細胞定位:Secreted, extracellular space, extracellular matrix.
-
組織特異性:Expressed in breast cancer tissues. Little or no expression observed in normal breast tissues. Expressed in skin; wide expression is observed throughout the dermis with minimal expression in the epidermis.
-
數據庫鏈接:
Most popular with customers
-
-
YWHAB Recombinant Monoclonal Antibody
Applications: ELISA, WB, IHC, IF, FC
Species Reactivity: Human, Mouse, Rat
-
Phospho-YAP1 (S127) Recombinant Monoclonal Antibody
Applications: ELISA, WB, IHC
Species Reactivity: Human
-
-
-
-
-















