FAM175A Recombinant Monoclonal Antibody
-
中文名稱:FAM175A Recombinant Monoclonal Antibody
-
貨號:CSB-RA032745A0HU
-
規格:¥1320
-
圖片:
-
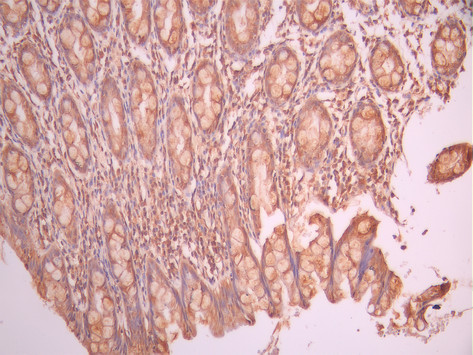
IHC image of CSB-RA032745A0HU diluted at 1:100 and staining in paraffin-embedded human small intestine tissue performed on a Leica BondTM system. After dewaxing and hydration, antigen retrieval was mediated by high pressure in a citrate buffer (pH 6.0). Section was blocked with 10% normal goat serum 30min at RT. Then primary antibody (1% BSA) was incubated at 4°C overnight. The primary is detected by a Goat anti-rabbit polymer IgG labeled by HRP and visualized using 0.05% DAB.
-
Overlay Peak curve showing jurkat cells stained with CSB-RA032745A0HU (red line) at 1:100. The cells were fixed in 4% formaldehyde and permeated by 0.2% TritonX-100 for 10min. Then 10% normal goat serum to block non-specific protein-protein interactions followed by the antibody (1ug/1*106cells) for 45min at 4℃. The secondary antibody used was FITC-conjugated goat anti-rabbit IgG (H+L) at 1/200 dilution for 35min at 4℃.Control antibody (green line) was Rabbit IgG (1ug/1*106cells) used under the same conditions. Acquisition of >10, 000 events was performed.
-
-
其他:
產品詳情
-
Uniprot No.:
-
基因名:FAM175A
-
別名:3830405G04Rik antibody; 5630400M01Rik antibody; ABRA1 antibody; ABRAXAS antibody; Abraxas protein antibody; AI506069 antibody; AL024423 antibody; AV118690 antibody; BRCA1-A complex subunit Abraxas antibody; coiled coil domain containing 98 antibody; Coiled-coil domain-containing protein 98 antibody; F175A_HUMAN antibody; FAM175A antibody; Family with sequence similarity 175 member A antibody; FLJ11520 antibody; FLJ12642 antibody; FLJ13614 antibody; Protein FAM175A antibody
-
反應種屬:Human
-
免疫原:A synthesized peptide from human FAM175A protein
-
免疫原種屬:Homo sapiens (Human)
-
標記方式:Non-conjugated
-
克隆類型:Monoclonal
-
抗體亞型:Rabbit IgG
-
純化方式:Affinity-chromatography
-
克隆號:17E2
-
濃度:It differs from different batches. Please contact us to confirm it.
-
保存緩沖液:Rabbit IgG in 10mM phosphate buffered saline , pH 7.4, 150mM sodium chloride, 0.05% BSA, 0.02% sodium azide and 50% glycerol.
-
產品提供形式:Liquid
-
應用范圍:ELISA, IHC, FC
-
推薦稀釋比:
Application Recommended Dilution IHC 1:50-1:200 FC 1:50-1:200 -
Protocols:
-
儲存條件:Upon receipt, store at -20°C or -80°C. Avoid repeated freeze.
-
貨期:Basically, we can dispatch the products out in 1-3 working days after receiving your orders. Delivery time maybe differs from different purchasing way or location, please kindly consult your local distributors for specific delivery time.
-
用途:For Research Use Only. Not for use in diagnostic or therapeutic procedures.
相關產品
靶點詳情
-
功能:Involved in DNA damage response and double-strand break (DSB) repair. Component of the BRCA1-A complex, acting as a central scaffold protein that assembles the various components of the complex and mediates the recruitment of BRCA1. The BRCA1-A complex specifically recognizes 'Lys-63'-linked ubiquitinated histones H2A and H2AX at DNA lesion sites, leading to target the BRCA1-BARD1 heterodimer to sites of DNA damage at DSBs. This complex also possesses deubiquitinase activity that specifically removes 'Lys-63'-linked ubiquitin on histones H2A and H2AX.
-
基因功能參考文獻:
- Our data also suggest how ataxia telangiectasia mutated (ATM)-dependent BRCA1 dimerization may stabilize self-association of the entire BRCA1-A complex. PMID: 28009280
- Results identified 16 novel rare variants in FAM175A but no significant difference in allele frequencies between cases and controls was observed which suggest no evidence that rare variants in ABRAXAS are associated with increased breast cancer risk in the population studied. PMID: 27270457
- Demonstrate a mechanism involving IR-induced phosphorylation and dimerization of the BRCT/Abraxas complex for regulating Abraxas-mediated recruitment of BRCA1 in response to IR. PMID: 26778126
- The recurrent Abraxas c.1082G>A mutation connects to breast cancer predisposition. PMID: 22357538
- low expression correlates with better response to chemotherapy and longer survival in patients with advanced non small-cell lung cancer PMID: 21529986
- CCDC98 is a BRCA1 binding partner that mediates BRCA1 function in response to DNA damage. PMID: 17643121
- CCDC98 is a mediator of BRCA1 function involved in the mammalian DNA damage response. PMID: 17643122
- Mutational analysis in 168 multiple-case breast/ovarian cancer families, negative for mutations in BRCA1 or BRCA2, suggests that CCDC98 does not play an important role as a high penetrance breast cancer susceptibility gene. PMID: 18270812
- examined RAP80 and Abraxas expression and their effect on treatment outcome in non-small-cell lung cancer PMID: 19415121
顯示更多
收起更多
-
相關疾病:Breast cancer (BC)
-
亞細胞定位:Nucleus.
-
蛋白家族:FAM175 family, Abraxas subfamily
-
數據庫鏈接:
Most popular with customers
-
YWHAB Recombinant Monoclonal Antibody
Applications: ELISA, WB, IHC, IF, FC
Species Reactivity: Human, Mouse, Rat
-
Phospho-YAP1 (S127) Recombinant Monoclonal Antibody
Applications: ELISA, WB, IHC
Species Reactivity: Human
-
-
-
-
-
-















