FLT1 Recombinant Monoclonal Antibody
-
中文名稱:FLT1重組抗體
-
貨號:CSB-RA940669A0HU
-
規格:¥1320
-
圖片:
-
Western Blot
Positive WB detected in: JK whole cell lysate, Mouse Brain tissue lysate
All lanes: VEGF Receptor 1 antibody at 1:500
Secondary
Goat polyclonal to rabbit IgG at 1/50000 dilution
Predicted band size: 150 kDa
Observed band size: 150 kDa -
IHC image of CSB-RA940669A0HU diluted at 1:100 and staining in paraffin-embedded human placenta tissue performed on a Leica BondTM system. After dewaxing and hydration, antigen retrieval was mediated by high pressure in a citrate buffer (pH 6.0). Section was blocked with 10% normal goat serum 30min at RT. Then primary antibody (1% BSA) was incubated at 4°C overnight. The primary is detected by a Goat anti-rabbit polymer IgG labeled by HRP and visualized using 0.21% DAB.
-
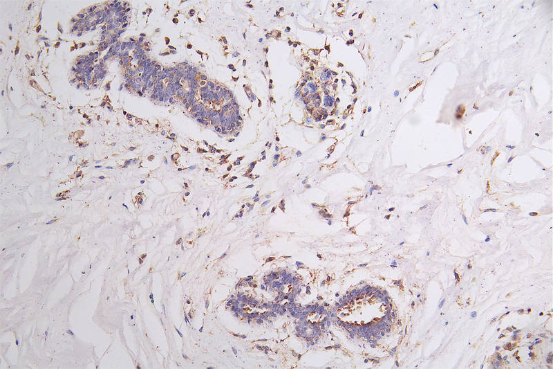
IHC image of CSB-RA940669A0HU diluted at 1:100 and staining in paraffin-embedded human breast cancer performed on a Leica BondTM system. After dewaxing and hydration, antigen retrieval was mediated by high pressure in a citrate buffer (pH 6.0). Section was blocked with 10% normal goat serum 30min at RT. Then primary antibody (1% BSA) was incubated at 4°C overnight. The primary is detected by a Goat anti-rabbit polymer IgG labeled by HRP and visualized using 0.21% DAB.
-
Overlay Peak curve showing MCF-7 cells stained with CSB-RA940669A0HU (red line) at 1:50. The cells were fixed in 4% formaldehyde and permeated by 0.2% TritonX-100. Then 10% normal goat serum to block non-specific protein-protein interactions followed by the antibody (1μg/1*106cells) for 45min at 4℃. The secondary antibody used was FITC-conjugated Goat Anti-rabbit IgG(H+L) at 1:200 dilution for 35min at 4℃.Control antibody (green line) was rabbit IgG (1μg/1*106cells) used under the same conditions. Acquisition of >10,000 events was performed.
-
-
其他:
產品詳情
-
產品描述:CSB-RA940669A0HU FLT1重組單克隆抗體是經多種實驗嚴格驗證的高特異性科研工具,靶向血管內皮生長因子受體1(FLT1/VEGFR1),該受體作為血管生成關鍵調控因子,在細胞增殖、遷移及血管形成中發揮重要作用。本抗體經ELISA、蛋白印跡、免疫組化和流式細胞術多平臺驗證,在WB實驗中可識別天然FLT1蛋白并呈現特異性檢測信號,推薦使用1:500-1:2000稀釋比例;免疫組化分析顯示其在石蠟包埋組織中能清晰定位靶蛋白表達,建議1:50-1:200工作濃度;流式檢測中通過1:50-1:200稀釋可有效標記細胞表面FLT1抗原。適用于腫瘤微環境、血管生成機制及心血管疾病相關研究,特別是在內皮細胞功能分析、受體信號通路探索及病理模型構建等實驗場景中表現優異。該重組抗體采用哺乳動物表達系統生產,具有高批間一致性和低交叉反應性,為血管生物學研究提供可靠試劑保障。
-
Uniprot No.:
-
基因名:
-
別名:Vascular endothelial growth factor receptor 1 (VEGFR-1) (EC 2.7.10.1) (Fms-like tyrosine kinase 1) (FLT-1) (Tyrosine-protein kinase FRT) (Tyrosine-protein kinase receptor FLT) (FLT) (Vascular permeability factor receptor), FLT1, FLT FRT VEGFR1
-
反應種屬:Human, Mouse
-
免疫原:A synthesized peptide derived from Human FLT1
-
免疫原種屬:Homo sapiens (Human)
-
標記方式:Non-conjugated
-
克隆類型:Monoclonal
-
抗體亞型:Rabbit IgG
-
純化方式:Affinity-chromatography
-
克隆號:40H4
-
濃度:It differs from different batches. Please contact us to confirm it.
-
保存緩沖液:Rabbit IgG in 10mM phosphate buffered saline , pH 7.4, 150mM sodium chloride, 0.05% BSA, 0.02% sodium azide and 50% glycerol.
-
產品提供形式:Liquid
-
應用范圍:ELISA, WB, IHC, FC
-
推薦稀釋比:
Application Recommended Dilution WB 1:500-1:2000 IHC 1:50-1:200 FC 1:50-1:200 -
Protocols:
-
儲存條件:Upon receipt, store at -20°C or -80°C. Avoid repeated freeze.
-
貨期:Basically, we can dispatch the products out in 1-3 working days after receiving your orders. Delivery time maybe differs from different purchasing way or location, please kindly consult your local distributors for specific delivery time.
-
用途:For Research Use Only. Not for use in diagnostic or therapeutic procedures.
相關產品
靶點詳情
-
功能:Tyrosine-protein kinase that acts as a cell-surface receptor for VEGFA, VEGFB and PGF, and plays an essential role in the development of embryonic vasculature, the regulation of angiogenesis, cell survival, cell migration, macrophage function, chemotaxis, and cancer cell invasion. Acts as a positive regulator of postnatal retinal hyaloid vessel regression (Ref.11). May play an essential role as a negative regulator of embryonic angiogenesis by inhibiting excessive proliferation of endothelial cells. Can promote endothelial cell proliferation, survival and angiogenesis in adulthood. Its function in promoting cell proliferation seems to be cell-type specific. Promotes PGF-mediated proliferation of endothelial cells, proliferation of some types of cancer cells, but does not promote proliferation of normal fibroblasts (in vitro). Has very high affinity for VEGFA and relatively low protein kinase activity; may function as a negative regulator of VEGFA signaling by limiting the amount of free VEGFA and preventing its binding to KDR. Modulates KDR signaling by forming heterodimers with KDR. Ligand binding leads to the activation of several signaling cascades. Activation of PLCG leads to the production of the cellular signaling molecules diacylglycerol and inositol 1,4,5-trisphosphate and the activation of protein kinase C. Mediates phosphorylation of PIK3R1, the regulatory subunit of phosphatidylinositol 3-kinase, leading to activation of phosphatidylinositol kinase and the downstream signaling pathway. Mediates activation of MAPK1/ERK2, MAPK3/ERK1 and the MAP kinase signaling pathway, as well as of the AKT1 signaling pathway. Phosphorylates SRC and YES1, and may also phosphorylate CBL. Promotes phosphorylation of AKT1 at 'Ser-473'. Promotes phosphorylation of PTK2/FAK1.; Phosphorylates PLCG.; May function as decoy receptor for VEGFA.; May function as decoy receptor for VEGFA.; May function as decoy receptor for VEGFA.; Has a truncated kinase domain; it increases phosphorylation of SRC at 'Tyr-418' by unknown means and promotes tumor cell invasion.
-
基因功能參考文獻:
- these results indicate that sFlt-1 up-regulation by VEGF may be mediated by the VEGF/Flt-1 and/or VEGF/KDR signaling pathways. PMID: 29497919
- Serum sFlt-1 can be used as a prognostic marker to predict the occurrence of complications of preeclampsia. PMID: 30032672
- The ratio of sFlt-1/sEGFR could be used as a novel candidate biochemical marker in monitoring the severity of preterm preeclampsia. sEndoglin and sEGFR may be involved in the pathogenesis of small for gestational age in preterm preelampsia. PMID: 30177039
- A contingent strategy of measuring the sFlt-1/PlGF ratio at 24-28weeks in women previously selected by clinical factors and uterine artery Doppler enables an accurate prediction of preeclampsia/fetal growth restriction. PMID: 30177066
- dynamic regulation of mVEGFR1 stability and turnover in blood vessels impacts angiogenesis PMID: 28589930
- Study shows that soluble VEGF receptor 1 (sVEGFR-1/ soluble fms-like tyrosine kinase 1 [sFlt-1]) showed a cytotoxic effect on BeWo cells. Results suggest that sFLT-1 could be therapeutic for malignant tumors. PMID: 28322131
- A single measurement of sFlt-1/PlGF ratio at third trimester to predict pre-eclampsia and intrauterine growth retardation occurring after 34weeks of pregnancy. PMID: 29674192
- sFlt1 was produced in significant amounts by preeclamptic peripheral blood mononuclear leukocytes, and ex vivo studies show that the placenta induces this over-expression. In contrast, exposure to PBMCs appears to decrease sFlt1 production by preeclamptic placenta. PMID: 29674197
- The levels of sFlt-1, PlGF, and the sFlt-1/PlGF ratio in pre-eclamptic women with an onset at < 32 weeks were sig- ni fi cantly di ff erent from those in women with an onset at >/=32-33 weeks. PMID: 29674208
- These results showed that arginase controlled sFlt-1 elevation to some extent. PMID: 29548823
- These results suggest that VM formation is increased by EBVLMP1 via VEGF/VEGFR1 signaling and provide additional information to clarify the role of EBVLMP1 in nasopharyngeal carcinoma (NPC)pathophysiology PMID: 29749553
- An sFlt-1:PlGF ratio above 655 is not predictive of impaired perinatal outcomes, and insufficiently reliable for predicting outcomes in cases with clinical signs of preeclampsia. PMID: 29523274
- The maternal sFlt-1 to PlGF ratio in women with hypertensive disorders in pregnancy carries prognostic value for the development of preeclampsia. PMID: 29523275
- VEGFA activates VEGFR1 homodimers and AKT, leading to a cytoprotective response, whilst abluminal VEGFA induces vascular leakage via VEGFR2 homodimers and p38 PMID: 29734754
- metformin's dual effect in hyperglycemia-chemical hypoxia is mediated by direct effect on VEGFR1/R2 leading to activation of cell migration through MMP16 and ROCK1 upregulation, and inhibition of apoptosis by increase in phospho-ERK1/2 and FABP4, components of VEGF signaling cascades PMID: 29351188
- Additionally, LVsFlt1MSCs inhibited tumor growth and prolonged survival in an hepatocellular carcinoma (HCC)mouse model via systemic injection. Overall, the present study was designed to investigate the potential of LVsFlt1MSCs for antiangiogenesis gene therapy in HCC. PMID: 28849176
- Review of the role of dysregulation at the Fms-like tyrosine kinase 1 locus in the fetal genome (likely in the placenta) in conferring genetic predisposition to preeclampsia. PMID: 29138037
- VEGF and VEGFR1 levels in different regions of the normal and preeclampsia placentae. PMID: 28770473
- High PlGF and/or low sFlt-1/PlGF may be used to diagnose Peripartum Cardiomyopathy. PMID: 28552862
- Results demonstrate that short-activating RNA targeting the flt-1 promoter increased sFlt-1 mRNA and protein levels, while reducing VEGF expression. This was associated with suppression of human umbilical vascular endothelial cell (HUVEC) proliferation and cell cycle arrest at the G0/G1 phase. HUVEC migration and tube formation were also suppressed by Flt a-1. PMID: 29509796
- In this context, our results demonstrate that D16F7 markedly inhibits chemotaxis and invasiveness of GBM cells and patient-derived GBM stem cells (GSCs) in response to VEGF-A and PlGF, suggesting that VEGFR-1 might represent a suitable target that deserves further investigation for GBM treatment. PMID: 28797294
- Study showed that term deliveries, higher soluble fms-like tyrosine kinase 1 (sFlt1) concentrations were associated with a smaller uterine artery resistance indices (RI) at the subsequent visit. For preterm delivery, higher sFlt1 concentrations were associated with a larger uterine artery RI. PMID: 28335685
- elevated in preeclampsia and fetal growth restriction PMID: 27865093
- Studied serum levels of soluble fms-like tyrosine kinase-1 (sFlt-1) and placental growth factor (PlGF) as markers for early diagnosis of preeclampsia. PMID: 29267975
- This prospective observational study compare urine nephrin:creatinine ratio (NCR, ng/mg) with serum soluble fms-like tyrosine kinase-1:placental growth factor ratio (FPR, pg/pg) for preeclampsia (PE) prediction among unselected asymptomatic pregnant women in 2(nd) trimester. PMID: 27874074
- A high sFlt-1/PlGF ratio was associated with adverse outcomes and a shorter duration to delivery in early-onset fetal growth restriction. PMID: 28737473
- Serum from type 2 diabetics reduced Akt/VEGFR-1 protein expression in endothelial progenitor cells. PMID: 28732797
- The VEGF/sVEGF-R1 ratio in follicular fluid on the day of oocyte retrieval in women undergoing IVF procedure, regardless of the type of stimulation protocol, might predict the risk of developing ovarian hyperstimulation syndrome (OHSS). To the best of our knowledge this is the first paper in the literature to show interplay among VEGF, EG-VEGF and sVEGF-R1 and the correlation between their concentration and OHSS risk. PMID: 28820403
- plasma level not associated with placenta size PMID: 28613009
- the difference between the pro- (VEGF165a) and antiangiogenic (VEGF165b) VEGF isoforms and its soluble receptors for severity of diabetic retinopathy, is reported. PMID: 28680264
- detectable amounts are produced by endometrial stromal cells (ESC)); expression is turned off during decidualization; ESC decidualization and resulting sFlt1 expression are a reversible phenomenon PMID: 28494174
- High sFlt-1 concentrations may account for diminished maternal serum PlGF levels. PMID: 28494189
- upregulated tenfold in preeclamptic tissue PMID: 28067578
- upregulation of sVEGFR-1 with concomitant decline of PECAM-1 and sVEGFR-2 levels in preeclampsia compared to normotensive pregnancies, Irrespective of the HIV status PMID: 28609170
- In patients with hypertensive disorders of pregnancy, those in the highest tertile of mean arterial pressure had the highest serum levels of sFlt1 and sEng. PMID: 28609171
- likely that in early onset pre-eclampsia, increased maternal sFlt-1 concentrations are the primary reason for diminished maternal serum-free PlGF levels PMID: 28609172
- Based on these data, we conclude that the rs9943922 SNP in the FLT1 gene does not result in a large difference in FLT1 protein levels, regardless of whether it is the soluble or the membrane bound form. PMID: 28949775
- Report sensitivity of sFlt-1/PlGF ratio for diagnosis of preeclampsia and fetal growth restriction. PMID: 28501276
- Our study suggests that "migration" of the placenta is derived from placental degeneration at the caudal part of the placenta, and sFlt-1 plays a role in this placental degeneration. PMID: 29409879
- the association of VEGFR1 rs9582036 and rs9554320 with the outcome of sunitinib in mRCC patients did not reach the threshold for statistical significance, and therefore, both genetic variants have limited use as biomarkers for prediction of sunitinib efficacy. PMID: 27901483
- Placental sFLT-1 expression is upregulated in approximately 28% of non-preeclamptic pregnancies complicated by small for gestational age infants. These pregnancies showed increased placental vascular pathology, more umbilical Doppler abnormalities, and earlier delivery with lower birthweight PMID: 28454690
- This study demonstrated that the baseline of sFlt-1 was significantly correlated with soft neurologic signs and right entorhinal volume but not other baseline clinical/brain structural measures in patient with psychosis. PMID: 27863935
- By comparing in vivo data with immunohistochemical analysis of excised tumors we found an inverse correlation between 99mTc-VEGF165 uptake and VEGF histologically detected, but a positive correlation with VEGF receptor expression (VEGFR1). PMID: 28498441
- sFLT-1 represents a link between angiogenesis, endothelial dysfunction, and subclinical atherosclerosis. Measurement of sFLT-1 as a marker of vascular dysfunction in beta-TI may provide utility for early identification of patients at increased risk of cardiopulmonary complications. PMID: 28301910
- Icrucumab and ramucirumab are recombinant human IgG1 monoclonal antibodies that bind vascular endothelial growth factor (VEGF) receptors 1 and 2 (VEGFR-1 and -2), respectively. VEGFR-1 activation on endothelial and tumor cell surfaces increases tumor vascularization and growth and supports tumor growth via multiple mechanisms, including contributions to angiogenesis and direct promotion of cancer cell proliferation. PMID: 28220020
- sFLT-1 e15a splice variant is seen only in humans and is principally expressed in the placenta, making it likely to be the variant chiefly responsible for the clinical features of early-onset pre-eclampsia. (Review) PMID: 27986932
- significant reduction in sVEGFR-1 levels after renal denervation procedure for hypertension PMID: 27604660
- Cases with high MDSC infiltration, which was inversely correlated with intratumoral CD8(+) T-cell infiltration, exhibited shorter overall survival. In a mouse model, intratumoral MDSCs expressed both VEGFR1 and VEGFR2. VEGF expression in ovarian cancer induced MDSCs, inhibited local immunity, and contributed to poor prognosis PMID: 27401249
- Circulating tissue transglutaminase is associated with sFlt-1, soluble endoglin and VEGF in the maternal circulation of preeclampsia patients, suggesting that tTG may have a role in the pathogenesis of PE. PMID: 27169826
- The authors observed direct damage caused by sFLT1 in tumour cells. They exposed several kinds of cells derived from ovarian and colorectal cancers as well as HEK293T cells to sFLT1 in two ways, transfection and exogenous application. The cell morphology and an lactate dehydrogenase assay revealed cytotoxicity. PMID: 27103202
顯示更多
收起更多
-
相關疾?。?/div>Can contribute to cancer cell survival, proliferation, migration, and invasion, and tumor angiogenesis and metastasis. May contribute to cancer pathogenesis by promoting inflammatory responses and recruitment of tumor-infiltrating macrophages.; DISEASE: Note=Abnormally high expression of soluble isoforms (isoform 2, isoform 3 or isoform 4) may be a cause of preeclampsia.亞細胞定位:[Isoform 1]: Cell membrane; Single-pass type I membrane protein. Endosome. Note=Autophosphorylation promotes ubiquitination and endocytosis.; [Isoform 2]: Secreted.; [Isoform 3]: Secreted.; [Isoform 4]: Secreted.; [Isoform 5]: Cytoplasm.; [Isoform 6]: Cytoplasm.; [Isoform 7]: Cytoplasm.蛋白家族:Protein kinase superfamily, Tyr protein kinase family, CSF-1/PDGF receptor subfamily組織特異性:Detected in normal lung, but also in placenta, liver, kidney, heart and brain tissues. Specifically expressed in most of the vascular endothelial cells, and also expressed in peripheral blood monocytes. Isoform 2 is strongly expressed in placenta. Isoform數據庫鏈接:
Most popular with customers
-
-
YWHAB Recombinant Monoclonal Antibody
Applications: ELISA, WB, IHC, IF, FC
Species Reactivity: Human, Mouse, Rat
-
Phospho-YAP1 (S127) Recombinant Monoclonal Antibody
Applications: ELISA, WB, IHC
Species Reactivity: Human
-
-
-
-
-













