GABARAP Recombinant Monoclonal Antibody
-
中文名稱:GABARAP Recombinant Monoclonal Antibody
-
貨號:CSB-RA546399A0HU
-
規格:¥1320
-
圖片:
-
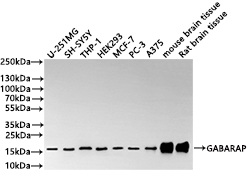
Western Blot
Positive WB detected in: U-251MG whole cell lysate(30μg), SH-SY5Y whole cell lysate(30μg), THP-1 whole cell lysate(30μg), HEK293 whole cell lysate(30μg), MCF-7 whole cell lysate(30μg), PC-3 whole cell lysate(30μg), A375 whole cell lysate(30μg), Mouse brain tissue lysate(30μg), Rat brain tissue lysate(30μg)
All lanes: GABARAP antibody at 1:1000
Secondary
Goat polyclonal to rabbit IgG at 1/40000 dilution
Predicted band size: 14 kDa
Observed band size: 17 kDa
Exposure time:2min -
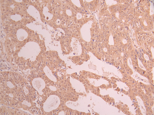
IHC image of CSB-RA546399A0HU diluted at 1:100 and staining in paraffin-embedded human ovarian cancer performed on a Leica BondTM system. After dewaxing and hydration, antigen retrieval was mediated by high pressure in a citrate buffer (pH 6.0). Section was blocked with 10% normal goat serum 30min at RT. Then primary antibody (1% BSA) was incubated at 4°C overnight. The primary is detected by a Goat anti-rabbit polymer IgG labeled by HRP and visualized using 0.05% DAB.
-
Overlay Peak curve showing PC-3 cells stained with CSB-RA546399A0HU (red line) at 1:100. The cells were fixed in 4% formaldehyde and permeated by 0.2% TritonX-100 for 10min. Then 10% normal goat serum to block non-specific protein-protein interactions followed by the antibody (1ug/1*106cells) for 45min at 4℃. The secondary antibody used was FITC-conjugated goat anti-rabbit IgG (H+L) at 1/200 dilution for 35min at 4℃.Control antibody (green line) was Rabbit IgG (1ug/1*106cells) used under the same conditions. Acquisition of >10,000 events was performed.
-
-
其他:
產品詳情
-
Uniprot No.:
-
基因名:
-
別名:Gamma-aminobutyric acid receptor-associated protein (GABA(A) receptor-associated protein) (MM46), GABARAP, FLC3B
-
反應種屬:Human, Mouse, Rat
-
免疫原:A synthesized peptide from human GABARAP protein
-
免疫原種屬:Homo sapiens (Human)
-
標記方式:Non-conjugated
-
克隆類型:Monoclonal
-
抗體亞型:Rabbit IgG
-
純化方式:Affinity-chromatography
-
克隆號:3C1
-
濃度:It differs from different batches. Please contact us to confirm it.
-
保存緩沖液:Rabbit IgG in 10mM phosphate buffered saline , pH 7.4, 150mM sodium chloride, 0.05% BSA, 0.02% sodium azide and 50% glycerol.
-
產品提供形式:Liquid
-
應用范圍:ELISA, WB, IHC, FC
-
推薦稀釋比:
Application Recommended Dilution WB 1:500-1:2000 IHC 1:50-1:200 FC 1:50-1:200 -
Protocols:
-
儲存條件:Upon receipt, store at -20°C or -80°C. Avoid repeated freeze.
-
貨期:Basically, we can dispatch the products out in 1-3 working days after receiving your orders. Delivery time maybe differs from different purchasing way or location, please kindly consult your local distributors for specific delivery time.
-
用途:For Research Use Only. Not for use in diagnostic or therapeutic procedures.
相關產品
靶點詳情
-
功能:Ubiquitin-like modifier that plays a role in intracellular transport of GABA(A) receptors and its interaction with the cytoskeleton. Involved in autophagy: while LC3s are involved in elongation of the phagophore membrane, the GABARAP/GATE-16 subfamily is essential for a later stage in autophagosome maturation. Through its interaction with the reticulophagy receptor TEX264, participates in the remodeling of subdomains of the endoplasmic reticulum into autophagosomes upon nutrient stress, which then fuse with lysosomes for endoplasmic reticulum turnover. Also required for the local activition of the CUL3(KBTBD6/7) E3 ubiquitin ligase complex, regulating ubiquitination and degradation of TIAM1, a guanyl-nucleotide exchange factor (GEF) that activates RAC1 and downstream signal transduction. Thereby, regulates different biological processes including the organization of the cytoskeleton, cell migration and proliferation. Involved in apoptosis.
-
基因功能參考文獻:
- The centrosome and centriolar satellites regulate autophagosome formation by delivery of an ATG8-family member, GABARAP, to the forming autophagosome membrane, the phagophore. Its proposed that GABARAP regulates phagophore expansion by activating the ULK complex. [review] PMID: 28990689
- GABAergic synapse is proposed as a focus of aging. (Review) PMID: 28497576
- Cardiolipin interaction with various Atg8 human orthologs, namely LC3B, GABARAPL2 and GABARAP, was investigated. PMID: 27764541
- Although neither GABARAPs nor LC3s are required for autophagosome biogenesis, loss of all Atg8s yields smaller autophagosomes and a slowed initial rate of autophagosome formation. PMID: 27864321
- Development of LC3/GABARAP sensors containing a LIR and a hydrophobic domain to monitor autophagy. PMID: 28320742
- GABRP plays an important role in placentation and this pathway may be a promising molecular target for the development of novel therapeutic strategies for preeclampsia. PMID: 27221053
- KBTBD6 and KBTBD7 specifically bind to GABARAP proteins.GABARAP proteins mediate localized ubiquitylation of TIAM1 by CUL3. PMID: 25684205
- Data show that WAC directly binds to GM130 and that this binding is required for autophagosome formation through interacting with GABARAP regulating its subcellular localization. PMID: 26687599
- The interaction of GABARAP with Mulan-Ube2E3 supports the role of Mulan as an important regulator of mitophagy. PMID: 25224329
- The FLCN-GABARAP association is modulated by the presence of either folliculin-interacting protein (FNIP)-1 or FNIP2 and further regulated by ULK1. PMID: 25126726
- A functional complementation of an lgg-1 null mutant with human GABARAP, its closer homolog showed that it localizes to autophagosomes and can rescue LGG-1 functions in the early embryo. PMID: 25126728
- PLEKHM1 regulates autophagosome-lysosome fusion through homotypic fusion and protein sorting complex and LC3/GABARAP proteins. PMID: 25498145
- GABARBP dramatically inhibited VEGF-induced endothelial cell proliferation, migration, and tube formation, as well as VEGFR-2 phosphorylation in vitro. PMID: 24686084
- knockdown of LC3B but not GABARAPs resulted in significant accumulation of p62/Sqstm1, one of the selective substrates for autophagy PMID: 24582747
- These results support the regulatory role of Bcl-2 in autophagy and define GABARAP as a novel interaction partner involved in this intricate connection. PMID: 24240096
- Taken together, our results indicate that GABARBP can regulate the pro-apoptotic activity of cisplatin via the upregulation of p53 expression. PMID: 23545901
- The level of GABARAPs is decreased in Lewy body disease. PMID: 21684337
- Evidence suggests that changes in the expression and function of GABA(A) receptors are involved in the pathogenesis of epilepsy (review) PMID: 21376781
- Used diffusion-ordered nuclear magnetic resonance spectroscopy to study the temperature and concentration dependence of the diffusion properties of GABARAP. PMID: 20665069
- DLG4/PSD95 and GABARAP were analyzed using zebrafish embryos with morpholino knockdown system as a model organism. PMID: 20111057
- analysis of human NSF possible binding mode to GABARAP and GATE-16 PMID: 19533740
- Sequence-specific 1H, 13C and 15N resonance assignments of human GABA receptor associated protein. PMID: 11727985
- Backbone 1H, 13C, and 15N resonance assignments for a 14 kD protein, GABA(A) receptor associated protein (GABARAP). PMID: 11727986
- We present the three-dimensional structure of GABARAP obtained by x-ray diffraction at 1.75 A resolution PMID: 11729197
- Human Apg3p/Aut1p homologue is an authentic E2 enzyme for multiple substrates, GATE-16, GABARAP, and MAP-LC3, and facilitates the conjugation of hApg12p to hApg5p PMID: 11825910
- Solution structure of human GABA(A) receptor-associated protein GABARAP: implications for biolgoical funcrion and its regulation PMID: 11875056
- Gec1/GABARAPL1 was more expressed than GABARAP in the central nervous system (CNS), while GABARAP was more expressed in endocrine glands. PMID: 14625090
- GABARAP mRNA expression and protein expression were significantly down-regulated in invasive ductal and invasive lobular carcinomas; GABARAP acts via a vesicle transport mechanism as a tumor suppressor in breast cancer. PMID: 15695379
- GABARAP and DDX 47 are involved in the apoptotic process PMID: 15977068
- Phosphatidylserine and phosphatidylethanolamine are targets of the mammalian Atg8 modifiers, LC3, GABARAP, and GATE-16 PMID: 16303767
- GABARAP does not alter receptor kinetics directly, but by facilitating surface expression of alphabetagamma receptors. PMID: 16339017
- Results suggest that lysosomal turnover of GABARAP-PL is activated during the differentiation of C2C12 cells to myotubes without inactivation of the mTor kinase-signaling pathway. PMID: 16874098
- GABARAP and DLG4 genes are involved in the etiology of nicotine dependence in European-American smokers. PMID: 17164261
- The association of structurally altered GABARAP protein together with GABA(A) receptor downstream of Ca2+/calmodulin-dependent protein kinase II (CAMKII) activation is essential for long-term potentiation. PMID: 17581966
- The X-ray structure of the soluble form of human GABA(A) receptor-associated protein complexed with a high-affinity synthetic peptide at 1.3 A resolution, is presented. PMID: 18638487
- Molecular modeling of a complex containing full-length calreticulin suggests a novel mode of substrate interaction, which may have functional implications for the calreticulin/calnexin family in general. PMID: 19154346
- The proapoptotic protein Nix/Bnip3L was found to be a potential GABARAP ligand. PMID: 19363302
顯示更多
收起更多
-
亞細胞定位:Endomembrane system. Cytoplasm, cytoskeleton. Golgi apparatus membrane. Cytoplasmic vesicle, autophagosome. Cytoplasmic vesicle.
-
蛋白家族:ATG8 family
-
組織特異性:Heart, brain, placenta, liver, skeletal muscle, kidney and pancreas.
-
數據庫鏈接:
Most popular with customers
-
-
YWHAB Recombinant Monoclonal Antibody
Applications: ELISA, WB, IHC, IF, FC
Species Reactivity: Human, Mouse, Rat
-
Phospho-YAP1 (S127) Recombinant Monoclonal Antibody
Applications: ELISA, WB, IHC
Species Reactivity: Human
-
-
-
-
-















