GSR Recombinant Monoclonal Antibody
-
中文名稱:GSR Recombinant Monoclonal Antibody
-
貨號:CSB-RA955053A0HU
-
規格:¥1320
-
圖片:
-
Flow cytometric analysis of Glutathione-disulfide reductase expression in HeLa cells using Glutathione-disulfide reductase antibody. Green, isotype control; red, Glutathione-disulfide reductase.
-
Immunocytochemical staining of Hela cells with Glutathione-disulfide reductase antibody. Nuclei were stained blue with DAPI; Glutathione-disulfide reductase was stained magenta with Alexa Fluor? 647. Images were taken using Leica stellaris 5. Protein abundance based on laser Intensity and smart gain: Very low. Scale bar, 20 μm.
-
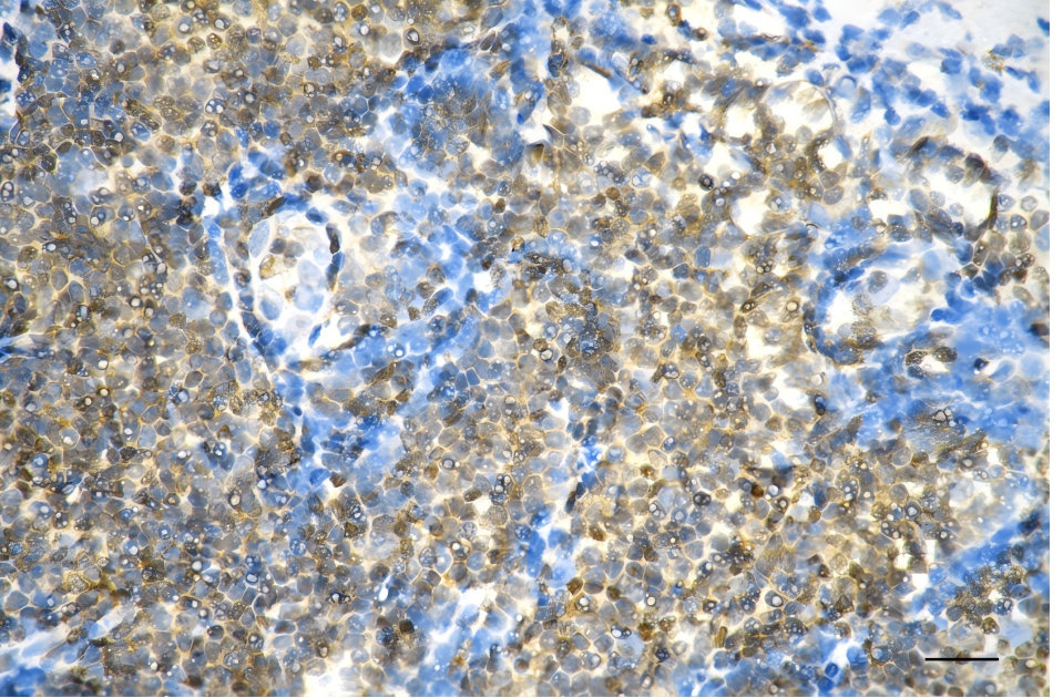
Immunohistochemistry was performed on paraffin-embedded human breast carcinoma using glutathione-disulfide reductase antibody. Antigen retrieval was done in sodium citrate buffer (pH 6.0). DAB was used for detection, with hematoxylin counterstaining. Images were acquired using a Nikon Ci-L Plus microscope (40× objective). Scale bar: 25 μm.
-
Western blotting analysis using glutathione-disulfide reductase antibody. Total cell lysates (30 μg) from various cell lines were loaded and separated by SDS-PAGE. The blot was incubated with glutathione-disulfide reductase antibody and HRP-conjugated goat anti-rabbit secondary antibody respectively.
-
-
其他:
產品詳情
-
Uniprot No.:
-
基因名:
-
別名:GSR; Glutathione-Disulfide Reductase; Glutathione Reductase, Mitochondrial; Glutathione S-Reductase; EC 1.8.1.7; GRase; GR; Epididymis Secretory Sperm Binding Protein Li 122m; Epididymis Luminal Protein 75; Glutathione Reductase; HEL-S-122m; EC 1.8.1; CNSHA10; HEL-75; GSRD; GLUR; GRD1
-
反應種屬:Human, Mouse, Rat
-
免疫原:Recombinant Human GSR protein
-
免疫原種屬:Homo sapiens (Human)
-
標記方式:Non-conjugated
-
克隆類型:Monoclonal
-
抗體亞型:Rabbit IgG
-
純化方式:Affinity-chromatography
-
克隆號:16A8
-
濃度:It differs from different batches. Please contact us to confirm it.
-
保存緩沖液:Rabbit IgG in PBS (pH 7.4) containing 50% glycerol, and 0.02% sodium azide.
-
產品提供形式:Liquid
-
應用范圍:ELISA, WB, FC, ICC, IHC
-
推薦稀釋比:
Application Recommended Dilution WB 1:1000-1:5000 FC 1:200-1:2000 ICC 1:100-1:1000 IHC 1:100-1:200 -
Protocols:
-
儲存條件:Upon receipt, store at -20°C or -80°C. Avoid repeated freeze.
-
貨期:Basically, we can dispatch the products out in 1-3 working days after receiving your orders. Delivery time maybe differs from different purchasing way or location, please kindly consult your local distributors for specific delivery time.
-
用途:For Research Use Only. Not for use in diagnostic or therapeutic procedures.
相關產品
靶點詳情
-
功能:Maintains high levels of reduced glutathione in the cytosol.
-
基因功能參考文獻:
- It has been shown that acute aerobic exercise activates Nrf2 in young men, irrespective of training intensity, but that high-intensity exercise demonstrated a greater effect on increasing glutathione reductase activity which could indicate improved redox potential. PMID: 28693341
- GSR expression was higher in TMZ-resistant cells than in sensitive cells. GSR silencing in drug-resistant cells improved the sensitivity of cells to TMZ or cisplatin. Over-expression resulted in resistance. GSR partially prevented the oxidative stress caused by L-buthionine -sulfoximine. The action of GSR in drug resistance is associated with the modulation of redox homeostasis. High GSR correlated with lower survival. PMID: 29105080
- Plasma glutathione reductase (GR) activity was correlated with erythrocyte GR activity and the erythrocyte reduced glutathione/glutathione disulfide ratio. A decrease in plasma GR activity was associated with an increase in mortality in septic shock. PMID: 26316444
- Glutathione reductase reduces mitochondrial protein mitoNEET [2Fe-2S] clusters. PMID: 25645953
- The recurrence of benign tumors of mammary gland occurred predominantly in women-carriers of mutant alleles with polymorphism rs8190924 of gene GSR and AA rs3763511of gene DKK4. PMID: 26419038
- GSR was the most significant single SNP association with systemic lupus erythematosus in African Americans. PMID: 23637325
- The results demonstrate for the first time that glutathione reductase gene polymorphisms are significantly associated with bone mineral density. PMID: 22089180
- Up-regulation of CAT and GR activity resulted in an increase in total antioxidant activity in A549 after exposure to B(a)P. PMID: 21417634
- Human eye lenses were dissected into discrete regions that were formed at different stages of life and assayed for activity of lactate dehydrogenase (LDH) and a particularly stable enzyme, glutathione reductase (GR). PMID: 20586645
- novel glutathione reductase alternative splice variants PMID: 20628807
- GR deficiency and drug-induced GR inhibition may protect from malaria by inducing enhanced ring stage phagocytosis rather than by impairing parasite growth directly [case study] PMID: 19806191
- Malignant lung tumors (squamous cell carcinoma and adenocarcinoma) had increased activity of this enzyme. PMID: 12447480
- activities of catalase (CAT), glutathione reductase (GR), glutathione peroxidase (GPx) and superoxide dismutase (SOD) were decreased during intense physical exercise PMID: 12516882
- An oxidative stress marker after kidney transplantation PMID: 12826156
- Patients with chronic alcoholism (PCA) of stage II have increased glutathione reductase (GR) activity in neutrophils, lymphocytes and monocytes compared with that in the cells of healthy donors PMID: 12838767
- GR activity in COPD and chest osteomyelitis decreased by 40% and more, lung tumors--by 32-36%. PMID: 12838770
- serum concentrations in patients with chronic lymphocytic leukemia PMID: 14637279
- Decreased activities of erythrocyte glutathione reductase is associated with cerebral palsy PMID: 15978628
- Data show that both glutathione and glutathione reductase are inducible by D3T, and that upregulation of GSH biosynthesis underlies D3T-mediated cytoprotection against ROS/RNS-elicited injury to human vascular smooth muscle cells. PMID: 17206382
- Inhibitory effects of several antibiotics on purified human erythrocyte glutathione reductase has been investigated. PMID: 18341267
- Data report synchrotron-based cryocrystallographic studies of natural substrate complexes of the flavoenzyme human glutathione reductase at nominal resolutions between 1.1 and 0.95 A that reveal new aspects of its mechanism. PMID: 18638483
- higher glutathione reductase and total antioxidant capacity were found in end-stage renal disease patients than in controls PMID: 19377255
顯示更多
收起更多
-
亞細胞定位:[Isoform Mitochondrial]: Mitochondrion.; [Isoform Cytoplasmic]: Cytoplasm.
-
蛋白家族:Class-I pyridine nucleotide-disulfide oxidoreductase family
-
數據庫鏈接:
Most popular with customers
-
-
YWHAB Recombinant Monoclonal Antibody
Applications: ELISA, WB, IHC, IF, FC
Species Reactivity: Human, Mouse, Rat
-
Phospho-YAP1 (S127) Recombinant Monoclonal Antibody
Applications: ELISA, WB, IHC
Species Reactivity: Human
-
-
-
-
-















