HGD Recombinant Monoclonal Antibody
-
中文名稱:HGD重組抗體
-
貨號:CSB-RA695552A0HU
-
規格:¥1320
-
圖片:
-
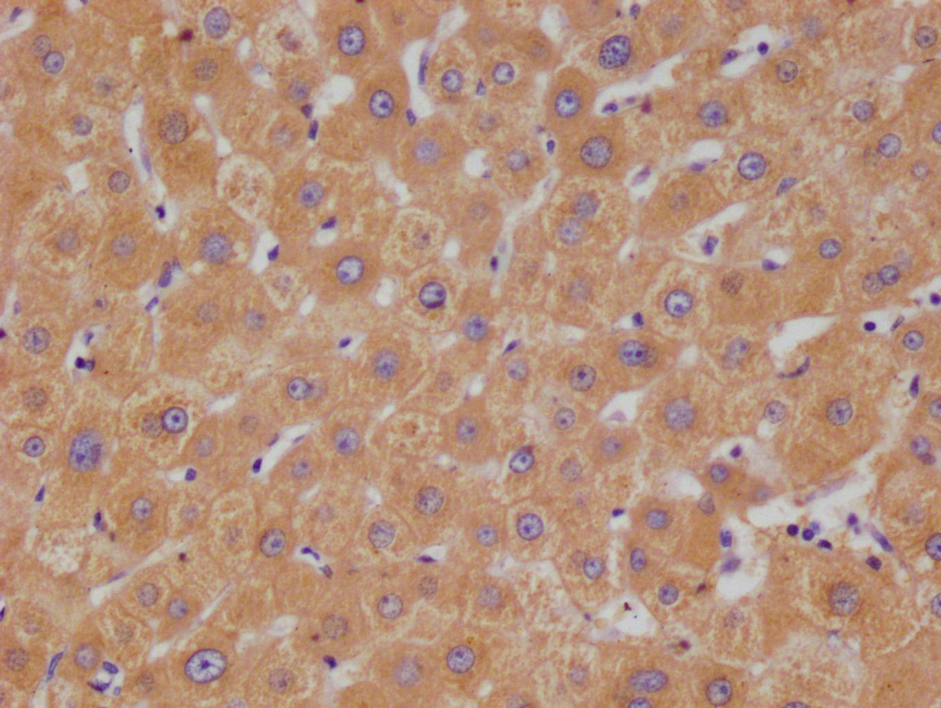
IHC image of CSB-RA695552A0HU diluted at 1:100 and staining in paraffin-embedded human liver cancer performed on a Leica BondTM system. After dewaxing and hydration, antigen retrieval was mediated by high pressure in a citrate buffer (pH 6.0). Section was blocked with 10% normal goat serum 30min at RT. Then primary antibody (1% BSA) was incubated at 4°C overnight. The primary is detected by a Goat anti-rabbit polymer IgG labeled by HRP and visualized using 0.05% DAB.
-
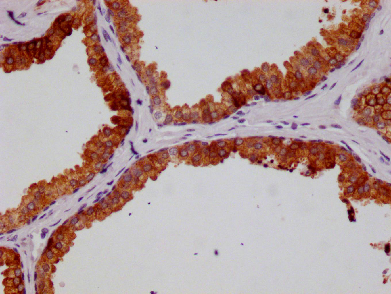
IHC image of CSB-RA695552A0HU diluted at 1:100 and staining in paraffin-embedded human prostate cancer performed on a Leica BondTM system. After dewaxing and hydration, antigen retrieval was mediated by high pressure in a citrate buffer (pH 6.0). Section was blocked with 10% normal goat serum 30min at RT. Then primary antibody (1% BSA) was incubated at 4°C overnight. The primary is detected by a Goat anti-rabbit polymer IgG labeled by HRP and visualized using 0.05% DAB.
-
-
其他:
產品詳情
-
產品描述:CSB-RA695552A0HU HGD重組單克隆抗體是針對人類尿黑酸1,2-雙加氧酶(Homogentisate 1,2-dioxygenase)研發的高特異性檢測工具,該酶是酪氨酸代謝途徑中的關鍵催化酶,其功能缺陷與遺傳性尿黑酸癥及相關骨關節病變密切相關。本抗體經ELISA和免疫組化(IHC)嚴格驗證,在1:50-1:200稀釋范圍內可清晰顯示組織樣本中HGD蛋白的定位分布,實驗數據顯示其在多種人類組織切片中呈現特異性染色模式,檢測結果與靶蛋白預期表達特征高度吻合,且不同批次產品具有良好穩定性。適用于探究HGD在代謝性疾病發生發展中的作用機制,特別是在構建酪氨酸代謝異常模型、骨關節退行性病變研究及病理樣本分析等領域具有重要應用價值。該抗體為科研人員研究HGD蛋白表達調控及其在遺傳代謝缺陷中的病理生理意義提供了可靠工具。
-
Uniprot No.:
-
基因名:HGD
-
別名:Homogentisate 1,2-dioxygenase (EC 1.13.11.5) (Homogentisate oxygenase) (Homogentisic acid oxidase) (Homogentisicase), HGD, HGO
-
反應種屬:Human
-
免疫原:A synthesized peptide derived from human HGD
-
免疫原種屬:Homo sapiens (Human)
-
標記方式:Non-conjugated
-
克隆類型:Monoclonal
-
抗體亞型:Rabbit IgG
-
純化方式:Affinity-chromatography
-
克隆號:20D12
-
濃度:It differs from different batches. Please contact us to confirm it.
-
保存緩沖液:Rabbit IgG in 10mM phosphate buffered saline , pH 7.4, 150mM sodium chloride, 0.05% BSA, 0.02% sodium azide and 50% glycerol.
-
產品提供形式:Liquid
-
應用范圍:ELISA, IHC
-
推薦稀釋比:
Application Recommended Dilution IHC 1:50-1:200 -
Protocols:
-
儲存條件:Upon receipt, store at -20°C or -80°C. Avoid repeated freeze.
-
貨期:Basically, we can dispatch the products out in 1-3 working days after receiving your orders. Delivery time maybe differs from different purchasing way or location, please kindly consult your local distributors for specific delivery time.
-
用途:For Research Use Only. Not for use in diagnostic or therapeutic procedures.
相關產品
靶點詳情
-
基因功能參考文獻:
- Twelve novel HGD gene variants have been identified in 99 alkaptonuria patients affecting the bones. PMID: 25804398
- A novel alkaptonuria mutation, c.87 + 1G > A, shows a significant founder effect and high prevalence in a nomadic Indian population. PMID: 24575791
- study described two novel HGD mutations in a Chinese alkaptonuria family, the splicing mutation of IVS7 1G>C, a donor splice site of exon 7, and a missense mutation of F329C in exon 12 PMID: 23353776
- Report mutations of the HGD gene in Jordanian alkaptonuria patients. PMID: 21437689
- The observed increase of HGD expression in Alkaptonuria cells is probably due to a compensatory mechanism to overcome the almost null catalytic activity of the deficient enzyme PMID: 22105303
- An update on molecular genetics of Alkaptonuria (AKU).(review) PMID: 21720873
- Familiar ochronotic arthropathy is caused by a gene mutation of the homogentisic acid 1,2-dioxygenase (HGD) gene traced three hundred years in a Hungarian family. PMID: 20462779
- A comprehensive mutation analysis of 93 patients enrolled in this study, as well as an extensive update of all previously published HGD mutations associated with alkaptonuria, is reported. PMID: 19862842
- Turkish mutation shares an homogentisate 1,2-dioxygenase haplotype with the mutation found in Finland, Slovakia and India, suggesting that R58fs is an old alkaptonuria mutation that probably originated in central Asia PMID: 12872836
- Four different mutations of the HGD gene were found in alkaptonuria and ochronotic arthropathy diagnoses. PMID: 16085442
- A single nucleotide deletion located in exon 3 resulted in a frameshift mutation in HGD gene in family with alkaptonuria. PMID: 18945288
顯示更多
收起更多
-
相關疾病:Alkaptonuria (AKU)
-
蛋白家族:Homogentisate dioxygenase family
-
組織特異性:Highest expression in the prostate, small intestine, colon, kidney and liver.
-
數據庫鏈接:
Most popular with customers
-
-
YWHAB Recombinant Monoclonal Antibody
Applications: ELISA, WB, IHC, IF, FC
Species Reactivity: Human, Mouse, Rat
-
-
-
-
-
-















