IQGAP1 Recombinant Monoclonal Antibody
-
中文名稱:IQGAP1 Recombinant Monoclonal Antibody
-
貨號:CSB-RA921088A0HU
-
規格:¥1320
-
圖片:
-
Western Blot
Positive WB detected in: Hela whole cell lysate(30μg), A549 whole cell lysate(30μg), HEK293 whole cell lysate(30μg), K562 whole cell lysate(30μg), MCF-7 whole cell lysate(30μg), HT-29 whole cell lysate(30μg), NIH/3T3 whole cell lysate(30μg)
All lanes: IQGAP1 antibody at 1:1000
Secondary
Goat polyclonal to rabbit IgG at 1/40000 dilution
Predicted band size: 189 kDa
Observed band size: 250 kDa
Exposure time:40s -
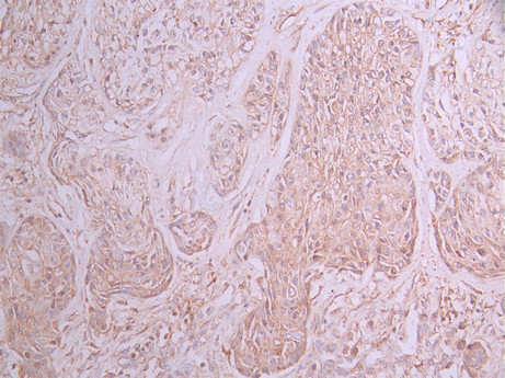
IHC image of CSB-RA921088A0HU diluted at 1:100 and staining in paraffin-embedded human pancreatic cancer performed on a Leica BondTM system. After dewaxing and hydration, antigen retrieval was mediated by high pressure in a citrate buffer (pH 6.0). Section was blocked with 10% normal goat serum 30min at RT. Then primary antibody (1% BSA) was incubated at 4°C overnight. The primary is detected by a Goat anti-rabbit polymer IgG labeled by HRP and visualized using 0.05% DAB.
-
IHC image of CSB-RA921088A0HU diluted at 1:100 and staining in paraffin-embedded human kidney tissue performed on a Leica BondTM system. After dewaxing and hydration, antigen retrieval was mediated by high pressure in a citrate buffer (pH 6.0). Section was blocked with 10% normal goat serum 30min at RT. Then primary antibody (1% BSA) was incubated at 4°C overnight. The primary is detected by a Goat anti-rabbit polymer IgG labeled by HRP and visualized using 0.05% DAB.
-
Immunofluorescence staining of Hela cell with CSB-RA921088A0HU at 1:50, counter-stained with DAPI. The cells were fixed in 4% formaldehyde and blocked in 10% normal Goat Serum. The cells were then incubated with the antibody overnight at 4°C. The secondary antibody was Alexa Fluor 488-congugated AffiniPure Goat Anti-Rabbit IgG(H+L).
-
Overlay Peak curve showing 786-O cells stained with CSB-RA921088A0HU (red line) at 1:100. The cells were fixed in 4% formaldehyde and permeated by 0.2% TritonX-100 for 10min. Then 10% normal goat serum to block non-specific protein-protein interactions followed by the antibody (1ug/1*106cells) for 45min at 4℃. The secondary antibody used was FITC-conjugated goat anti-rabbit IgG (H+L) at 1/200 dilution for 35min at 4℃.Control antibody (green line) was Rabbit IgG (1ug/1*106cells) used under the same conditions. Acquisition of >10,000 events was performed.
-
-
其他:
產品詳情
-
Uniprot No.:
-
基因名:
-
別名:Ras GTPase-activating-like protein IQGAP1 (p195), IQGAP1, KIAA0051
-
反應種屬:Human
-
免疫原:Recombinant Antibody
-
免疫原種屬:Homo sapiens (Human)
-
標記方式:Non-conjugated
-
克隆類型:Monoclonal
-
抗體亞型:Rabbit IgG
-
純化方式:Affinity-chromatography
-
克隆號:1B10
-
濃度:It differs from different batches. Please contact us to confirm it.
-
保存緩沖液:Preservative: 0.03% Proclin 300
Constituents: 50% Glycerol, 0.01M PBS, PH 7.4 -
產品提供形式:Liquid
-
應用范圍:ELISA, WB, IHC, IF, FC
-
推薦稀釋比:
Application Recommended Dilution WB 1:500-1:5000 IHC 1:50-1:200 IF 1:50-1:200 FC 1:50-1:200 -
Protocols:
-
儲存條件:Upon receipt, store at -20°C or -80°C. Avoid repeated freeze.
-
貨期:Basically, we can dispatch the products out in 1-3 working days after receiving your orders. Delivery time maybe differs from different purchasing way or location, please kindly consult your local distributors for specific delivery time.
-
用途:For Research Use Only. Not for use in diagnostic or therapeutic procedures.
相關產品
靶點詳情
-
功能:Plays a crucial role in regulating the dynamics and assembly of the actin cytoskeleton. Binds to activated CDC42 but does not stimulate its GTPase activity. It associates with calmodulin. Could serve as an assembly scaffold for the organization of a multimolecular complex that would interface incoming signals to the reorganization of the actin cytoskeleton at the plasma membrane. May promote neurite outgrowth. May play a possible role in cell cycle regulation by contributing to cell cycle progression after DNA replication arrest.
-
基因功能參考文獻:
- MTA1 participates in Nasopharyngeal carcinoma malignant transformation via regulating IQGAP1 expression and PI3K/Akt signaling pathway. PMID: 29125886
- High IQGAP1 expression is associated with angiogenesis of esophageal squamous cell carcinoma. PMID: 30015941
- over-expression of IQGAP1 in human head and neck squamous cell carcinoma may indicate poor prognosis. PMID: 29846864
- IQGAP1 plays an important role in the cell proliferation and invasion of human breast cancer cells. PMID: 29779034
- These results show for the first time that IQGAP1 is up-regulated in Laryngeal squamous cell carcinoma (LSCC)tissues and plays an important role in LSCC cell proliferation and invasiveness, which indicates that IQGAP1 could work as an oncogene and may serve as a promising molecular target for treatment of LSCC. PMID: 28708206
- High IQGAP1 expression is associated with invasion in endometrial cancer. PMID: 26934121
- Examined the expression of IQGAP1 in different pancreatic cancer cell lines and we found that IQGAP1 level is highly correlated with the degree of malignancy of pancreatic cancer cell metastasis. The proliferation, metastasis, motility and tumorigenesis in SW1990 human pancreatic cells were greatly impaired by down-regulating IQGAP1 expression with RNA interference. PMID: 27100492
- Findings discover the IQGAP1 SUMOylation is a novel regulatory mechanism to enhance tumorigenesis and development of CRC in vitro and in vivo. PMID: 28987385
- IQGAP1 may have a role in podocyte gene regulation in glomerular disease. PMID: 27377965
- the results show that IQGAP1 is a novel regulator of type I IFN production, possibly via interacting with NLRC3 in human monocytic and epithelial cells PMID: 28864474
- The structural basis for Cdc42-induced dimerization of IQGAP1 and IQGAP2 has been uncovered. PMID: 27524202
- findings suggest a novel role of IQGAP1 in insulin-regulated interaction between caveolae and cytoskeletal elements of the adipocyte, and that this is quelled in the diabetic state PMID: 27458251
- Alterated IQGAP1/Rho GTPase signaling in myeloproliferative neoplasm erythrocytes is dependent on JAK2/CALR mutational status. PMID: 27566291
- our data suggest that IQ-domain GTPase-activating protein 1 may promote the malignant phenotype of invasive ductal carcinoma via canonical Wnt signaling, and it could be used as a potential prognostic biomarker for breast cancer patients. PMID: 28618949
- IQ domain of IQGAP1 is both necessary and sufficient for binding to ERK1 and ERK2, as well as to the MAPK kinases MEK1 and MEK2. PMID: 28396345
- Data indicate that the IQGAP1 N-terminal fragment spanning residues 1-191 (CHDF) binds to both F-actin and Ca(2+)/calmodulin. PMID: 27798963
- These data were confirmed by phosphomimetic mutation of serine 1443 to glutamate within RGCT, which led to a significant reduction of IQGAP1 affinity for CDC42 and RAC1, clearly disclosing the critical role of RGCT for these interactions. PMID: 27815503
- These data reveal that IQGAP1 binds to YAP and modulates its co-transcriptional function, suggesting that IQGAP1 participates in Hippo signaling. PMID: 27440047
- The results indicated that IQGAP1 was expressed at higher levels in glioma tissues compared with in normal brain tissues. IQGAP1siRNA significantly inhibited cell proliferation, and cell adhesion, migration and invasion. PMID: 28259970
- IQGAP1 protein is involved in normal cell physiology as well as oncologic processes. PMID: 28098764
- after AKT-mediated phosphorylation at serine 319, FOXO1 binds to IQGAP1, a hub for activation of the MAPK pathway, and impedes IQGAP1-dependent phosphorylation of ERK1/2 (pERK1/2). PMID: 28279977
- High expression of IQGAP1 is associated with glioma. PMID: 28035419
- High IQGAP1 expression is associated with hepatocellular carcinoma. PMID: 27488117
- MALAT1 promoted the proliferation and invasion of thyroid cancer cells via regulating the expression of IQGAP1. PMID: 27470543
- IQGAP1 interaction with PIPKIgamma regulates cell motility and cell signaling. [review] PMID: 26554303
- Results show that one actin binding domain in IQGAP1 protein and predict the interaction likely to involve an electrostatic interaction between Lys-240 of alpha-actin and Glu-30 of CHD1. PMID: 26845769
- At the cleavage furrow Arv1 recruits myosin heavy chain 9 (MYH9) and myosin light chain 9 (MYL9) by interacting with IQ-motif-containing GTPase-activating protein (IQGAP1). PMID: 27104745
- Our data indicate a possible regulatory role for the multiple sclerosis-associated IKZF3 and IQGAP1 variants. PMID: 27080863
- the present study is the first to provide evidence that miR-506 acts as a tumor suppressor, at least partially, by directly downregulating IQGAP1 in breast cancer cells. PMID: 26398880
- The clinical relevance of IQGAP1 as a tumor growth suppressor is supported by the finding that its expression is lower in bladder cancer compared with benign patient urothelium in multiple independent datasets. PMID: 26078295
- the overexpression and interactions of IQGAP1 and beta-catenin contribute to hepatocellular carcinoma progression by promoting cell proliferation and migration. PMID: 26252773
- Down-regulation of caveolin-1 or IQGAP1 in PC-3 cells reduced migration and invasion in vitro, and hypercholesterolemia-induced metastasis in vivo. PMID: 25924234
- Our results identify OspB as a regulator of mTORC1 and mTORC1-dependent cell proliferation early during S. flexneri infection and establish a role for IQGAP1 in mTORC1 signaling PMID: 26473364
- Depletion of IQGAP1 disrupts nuclear envelope localization and delays abscission timing. PMID: 25928398
- IQGAP1 and its two isoforms regulate the actin-cytoskeleton alone and with their binding partners, Rac and Cdc42, thereby controlling diverse cellular processes, such as cell migration and adhesion. (Review) PMID: 26051604
- IQGAP1 may directly interact with estrogen receptor alpha and serve as a signal integrator, mediating estrogen receptor alpha transcriptional activity, cell proliferation and cell invasion during the progression of thyroid cancer. PMID: 26046126
- Increased IQGAP1 expression during the differentiation of cancer stem cell-like cells is involved in an aggressive cell behavior, which may contribute to metastasis of ovarian cancer. PMID: 25675045
- These data indicated that TGF-beta inhibited IQGAP1 expression in lung fibroblasts via the NF-kappaB signaling pathway, presenting a potential novel therapeutic target for the treatment of idiopathic pulmonary fibrogenesis . PMID: 25684348
- IQGAP1, IQGAP2, and IQGAP3 have diverse roles in vertebrate physiology, operating in the kidney, nervous system, cardiovascular system, pancreas, and lung. (Review) PMID: 25722290
- Activated IQGAP1, as an intracellular partner of nephrin, is involved in actin cytoskeleton organization and functional regulation of podocytes. PMID: 25652011
- Mechanistically, the N-terminal of SKAP binds to EB1, and its C terminus binds to IQGAP1 in migrating cells. PMID: 26242911
- There was a positive correlation between DNAJB6 and IQGAP1 expression. PMID: 25044025
- IQGAP1 expression in podocyte under high glucose media is modulated by the ERK1/2 pathway. PMID: 24488174
- Study shows that miR-124a expression was downregulated in human glioma tissues, and its expression level was negatively correlated with the pathological grade. Also, the data shows that IQGAP1 is a direct target of miR-124a. PMID: 25175832
- these results suggest that a labile pool of IQGAP1 at intercellular junctions disassembles adherens junctions and thus impairs endothelial cell-cell adhesion. PMID: 23807500
- Results show that coexpression of IQGAP1 and Dvl in the cytoplasm and nucleus was correlated with the lymph nodal metastase and poor prognosis of non-small cell lung cancer. PMID: 25436461
- IQGAP1 may regulate the phenotypic switch of venous smooth muscle cells by myocardin pathway, which is critical for the pathological progression of varicose vein. PMID: 25400725
- Data indicate that quercetin inhibited the interaction between IQ motif-containing GTPase activating protein 1 (IQGAP1) and extracellular signal-regulated kinases ERK1/2 in RPMI8226 multiple myeloma cells. PMID: 24397597
- Genetic variation within IQGAP1 is associated with cognitive function. PMID: 25222038
- IQGAP1 as an essential regulator of the MAPK and Wnt/beta-catenin signaling pathways. PMID: 25733387
顯示更多
收起更多
-
亞細胞定位:Cell membrane. Nucleus. Cytoplasm.
-
組織特異性:Expressed in the placenta, lung, and kidney. A lower level expression is seen in the heart, liver, skeletal muscle and pancreas.
-
數據庫鏈接:
Most popular with customers
-
-
YWHAB Recombinant Monoclonal Antibody
Applications: ELISA, WB, IHC, IF, FC
Species Reactivity: Human, Mouse, Rat
-
Phospho-YAP1 (S127) Recombinant Monoclonal Antibody
Applications: ELISA, WB, IHC
Species Reactivity: Human
-
-
-
-
-















