IRF2 Recombinant Monoclonal Antibody
-
中文名稱:IRF2 Recombinant Monoclonal Antibody
-
貨號:CSB-RA049800A0HU
-
規格:¥1320
-
圖片:
-
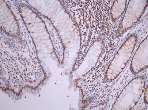
IHC image of CSB-RA049800A0HU diluted at 1:100 and staining in paraffin-embedded human colorectal cancer performed on a Leica BondTM system. After dewaxing and hydration, antigen retrieval was mediated by high pressure in a citrate buffer (pH 6.0). Section was blocked with 10% normal goat serum 30min at RT. Then primary antibody (1% BSA) was incubated at 4°C overnight. The primary is detected by a Goat anti-rabbit polymer IgG labeled by HRP and visualized using 0.05% DAB.
-
Overlay Peak curve showing jurkat cells stained with CSB-RA049800A0HU (red line) at 1:100. The cells were fixed in 4% formaldehyde and permeated by 0.2% TritonX-100 for 10min. Then 10% normal goat serum to block non-specific protein-protein interactions followed by the antibody (1ug/1*106cells) for 45min at 4℃. The secondary antibody used was FITC-conjugated goat anti-rabbit IgG (H+L) at 1/200 dilution for 35min at 4℃.Control antibody (green line) was Rabbit IgG (1ug/1*106cells) used under the same conditions. Acquisition of >10, 000 events was performed.
-
-
其他:
產品詳情
-
Uniprot No.:
-
基因名:IRF2
-
別名:DKFZp686F0244 antibody; Interferon regulatory factor 2 antibody; IRF 2 antibody; IRF-2 antibody; IRF2 antibody; IRF2_HUMAN antibody
-
反應種屬:Human
-
免疫原:A synthesized peptide from human IRF2 protein
-
免疫原種屬:Homo sapiens (Human)
-
標記方式:Non-conjugated
-
克隆類型:Monoclonal
-
抗體亞型:Rabbit IgG
-
純化方式:Affinity-chromatography
-
克隆號:5H12
-
濃度:It differs from different batches. Please contact us to confirm it.
-
保存緩沖液:Rabbit IgG in 10mM phosphate buffered saline , pH 7.4, 150mM sodium chloride, 0.05% BSA, 0.02% sodium azide and 50% glycerol.
-
產品提供形式:Liquid
-
應用范圍:ELISA, IHC, FC
-
推薦稀釋比:
Application Recommended Dilution IHC 1:50-1:200 FC 1:50-1:200 -
Protocols:
-
儲存條件:Upon receipt, store at -20°C or -80°C. Avoid repeated freeze.
-
貨期:Basically, we can dispatch the products out in 1-3 working days after receiving your orders. Delivery time maybe differs from different purchasing way or location, please kindly consult your local distributors for specific delivery time.
-
用途:For Research Use Only. Not for use in diagnostic or therapeutic procedures.
相關產品
靶點詳情
-
功能:Specifically binds to the upstream regulatory region of type I IFN and IFN-inducible MHC class I genes (the interferon consensus sequence (ICS)) and represses those genes. Also acts as an activator for several genes including H4 and IL7. Constitutively binds to the ISRE promoter to activate IL7. Involved in cell cycle regulation through binding the site II (HiNF-M) promoter region of H4 and activating transcription during cell growth. Antagonizes IRF1 transcriptional activation.
-
基因功能參考文獻:
- Data suggest that MIR1290 expression is remarkably upregulated in non-small-cell lung carcinoma tissues compared to adjacent normal lung tissues; IRF2 appears to be a direct target of MIR1290. (MIR1290 = microRNA-1290; IRF2 = interferon regulatory factor-2) PMID: 29275213
- These finding suggests that miR-302b inhibits key transcription factors and cytokines by targeting ERBB4, IRF2 and CXCR4, implicating its role in the inhibition of CRI in EC. PMID: 28467773
- Our study primarily suggests IRF-2 as a potential prognostic biomarker in colorectal cancer PMID: 28465494
- The effects of IRF2 suppresses non-small cell lung cancer by promoting cell apoptosis, inhibiting cell proliferation and migration ability. PMID: 28471447
- In a genome wide are study to identify acute kidney injury risk in critically ill patients, the locus on chromosome 4, located 150 kb upstream of IRF2 was identified to regulate immunity pathways related to kidney disease risk gene APOL1. Disruption of IRF-2 has been found to up-regulate the inflammatory response to infection. PMID: 27576016
- Study shows that IRF2 knockdown inhibits growth, colony formation of OCI/AML-2, OCI/AML-3, and THP-1 cells. In addition, IRF2 knockdown induces apoptosis of acute myeloid leukemia (AML) cells by regulating apoptotic effectors. Further mechanism analysis shows that INPP4B contributes to the effects of IRF2 on apoptosis and growth of AML cells. Thus, IRF2 serves as an important regulator in AML by targeting INPP4B. PMID: 28579269
- miR-450 targets IRF2 and thus supresses lung cancer cell proliferation and invasion. PMID: 27246609
- It might play as a tumor suppressor by regulating P53 signaling in gastric cancer. PMID: 26173586
- the association of IRF2 with susceptibility to systemic lupus erythematosus PMID: 25285625
- IRF2genes were not associated with pancreatitis. 4 variants were found: c.123G>A (novel), c.651C>T, c.744G>A, and c.638C>T, p.P213L. PMID: 25207663
- miR-221 directly inhibits the expression of SOCS3 and IRF2. PMID: 24607843
- IFN regulatory factor 2 (Irf2) has a regulatory role in trypsinogen5 gene transcription, which is resistant to a major endogenous trypsin inhibitor, Spink3 PMID: 22042864
- IRF2 overexpression protects against I/R injury by decreasing IRF1-dependent injury and may represent a novel therapeutic strategy. PMID: 22744333
- The results suggested that distinct markers in IRF2 may be associated with atopic dermatitis and eczema herpeticum (which may depend upon ethnic ancestry) and genetic variants in IRF2 may contribute to an abnormal immune response to herpes simplex virus. PMID: 22113474
- these results suggest that IRF-2 plays an important role in the tumorigenesis of pancreatic cancer and down-regulation of IRF-2 would be a new treatment target for pancreatic cancer. PMID: 22119988
- IRF-2 activates the HPV-16 P97 promoter in vivo. PMID: 20129639
- IRF-2 activates RIG-I promoter through ISRE-like site as well as IRF-1 and IFN-alpha stimulation. PMID: 20034464
- PTB binding to multiple sites within IRF2 5'UTR leads to a conformational change in the RNA that facilitate binding of other trans-acting factors to mediate internal initiation of translation PMID: 19756143
- IRF2 is a potential susceptibility gene for psoriasis. PMID: 14962090
- IRF-2 is involved in up-regulation of nonmuscle myosin heavy chain II-A gene expression in cell differentiation PMID: 15496418
- In cells transfected with both IRF-2 and p300/CBP-associated factor , IRF-2 associated with endogenous nucleolin. PMID: 16582966
- IRF8 cooperates with PU.1 and IRF-2 to activate a composite ets/IRF-cis element in the NF1 promoter. The conserved IRF domain tyrosine in ICSBP/IRF8 is required for interaction with the DNA-bound PU.1-IRF2 heterodimer. PMID: 17200120
- IRF-2 regulates NF-kappaB activity via the modulation of NF-kappaB subcellular localization. PMID: 18395009
- IRF2 interacts with the SUMO-E3 ligase PIASy and is sumoylated in vivo PMID: 18514056
顯示更多
收起更多
-
亞細胞定位:Nucleus.
-
蛋白家族:IRF family
-
組織特異性:Expressed throughout the epithelium of the colon. Also expressed in lamina propria.
-
數據庫鏈接:
Most popular with customers
-
-
YWHAB Recombinant Monoclonal Antibody
Applications: ELISA, WB, IHC, IF, FC
Species Reactivity: Human, Mouse, Rat
-
Phospho-YAP1 (S127) Recombinant Monoclonal Antibody
Applications: ELISA, WB, IHC
Species Reactivity: Human
-
-
-
-
-















