MAPK7 Recombinant Monoclonal Antibody
-
中文名稱:MAPK7 Recombinant Monoclonal Antibody
-
貨號:CSB-RA148565A0HU
-
規格:¥1320
-
圖片:
-
Western Blot
, Positive WB detected in:Hela whole cell lysate(30μg), MCF-7 whole cell lysate(30μg), Jurkat whole cell lysate(30μg), HEK293 whole cell lysate(30μg), COLO-205 whole cell lysate(30μg), SH-SY5Y whole cell lysate(30μg), Mouse brain tissue lysate(30μg), Rat brain tissue lysate(30μg)
All lanes: ERK5 antibody at 1:1000
Secondary
Goat polyclonal to rabbit IgG at 1/40000 dilution
Predicted band size: 88 kDa
Observed band size: 115 kDa
Exposure time:2min -
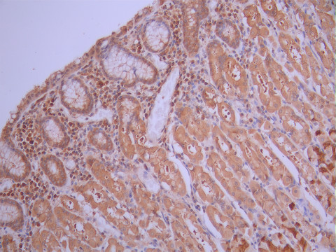
IHC image of CSB-RA148565A0HU diluted at 1:100 and staining in paraffin-embedded human stomach tissue performed on a Leica BondTM system. After dewaxing and hydration, antigen retrieval was mediated by high pressure in a citrate buffer (pH 6.0). Section was blocked with 10% normal goat serum 30min at RT. Then primary antibody (1% BSA) was incubated at 4°C overnight. The primary is detected by a Goat anti-rabbit polymer IgG labeled by HRP and visualized using 0.05% DAB.
-
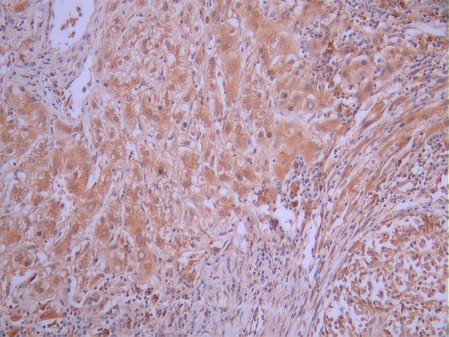
IHC image of CSB-RA148565A0HU diluted at 1:100 and staining in paraffin-embedded human liver cancer performed on a Leica BondTM system. After dewaxing and hydration, antigen retrieval was mediated by high pressure in a citrate buffer (pH 6.0). Section was blocked with 10% normal goat serum 30min at RT. Then primary antibody (1% BSA) was incubated at 4°C overnight. The primary is detected by a Goat anti-rabbit polymer IgG labeled by HRP and visualized using 0.05% DAB.
-
Immunofluorescence staining of Hela cell with CSB-RA148565A0HU at 1:50 , counter-stained with DAPI. The cells were fixed in 4% formaldehyde, permeabilized using 0.2% Triton X-100 and blocked in 10% normal Goat Serum. The cells were then incubated with the antibody overnight at 4°C. The secondary antibody was Alexa Fluor 488-congugated AffiniPure Goat Anti-Rabbit IgG(H+L).
-
-
其他:
產品詳情
-
Uniprot No.:
-
基因名:
-
別名:Big MAP kinase 1 antibody; BMK 1 antibody; BMK 1 kinase antibody; BMK-1 antibody; BMK1 antibody; BMK1 Kinase antibody; EC 2.7.11.24 antibody; ERK 4 antibody; ERK 5 antibody; ERK-5 antibody; ERK4 antibody; ERK5 antibody; Extracellular signal regulated kinase 5 antibody; Extracellular signal-regulated kinase 5 antibody; MAP kinase 7 antibody; MAPK 7 antibody; MAPK7 antibody; Mitogen activated protein kinase 7 antibody; Mitogen-activated protein kinase 7 antibody; MK07_HUMAN antibody; OTTHUMP00000065906 antibody; OTTHUMP00000065907 antibody; PRKM 7 antibody; PRKM7 antibody; PROTEIN KINASE; MITOGEN-ACTIVATED; 7 antibody
-
反應種屬:Human, Mouse, Rat
-
免疫原:A synthesized peptide from human MAPK7 protein
-
免疫原種屬:Homo sapiens (Human)
-
標記方式:Non-conjugated
-
克隆類型:Monoclonal
-
抗體亞型:Rabbit IgG
-
純化方式:Affinity-chromatography
-
克隆號:19F12
-
濃度:It differs from different batches. Please contact us to confirm it.
-
保存緩沖液:Rabbit IgG in 10mM phosphate buffered saline , pH 7.4, 150mM sodium chloride, 0.05% BSA, 0.02% sodium azide and 50% glycerol.
-
產品提供形式:Liquid
-
應用范圍:ELISA, WB, IHC, IF
-
推薦稀釋比:
Application Recommended Dilution WB 1:500-1:5000 IHC 1:50-1:200 IF 1:50-1:200 -
Protocols:
-
儲存條件:Upon receipt, store at -20°C or -80°C. Avoid repeated freeze.
-
貨期:Basically, we can dispatch the products out in 1-3 working days after receiving your orders. Delivery time maybe differs from different purchasing way or location, please kindly consult your local distributors for specific delivery time.
-
用途:For Research Use Only. Not for use in diagnostic or therapeutic procedures.
相關產品
靶點詳情
-
功能:Plays a role in various cellular processes such as proliferation, differentiation and cell survival. The upstream activator of MAPK7 is the MAPK kinase MAP2K5. Upon activation, it translocates to the nucleus and phosphorylates various downstream targets including MEF2C. EGF activates MAPK7 through a Ras-independent and MAP2K5-dependent pathway. May have a role in muscle cell differentiation. May be important for endothelial function and maintenance of blood vessel integrity. MAP2K5 and MAPK7 interact specifically with one another and not with MEK1/ERK1 or MEK2/ERK2 pathways. Phosphorylates SGK1 at Ser-78 and this is required for growth factor-induced cell cycle progression. Involved in the regulation of p53/TP53 by disrupting the PML-MDM2 interaction.
-
基因功能參考文獻:
- Regulation of atypical MAP kinases ERK3 and ERK4 by the phosphatase DUSP2 has been reported. PMID: 28252035
- that Capn4 promotes cell proliferation by increasing MAPK7 expression PMID: 29331389
- ERK5 is highly expressed in human tumor-associated macrophages.ERK5 plays a role in the tumor-associated macrophage polarization via STAT3. PMID: 29507229
- The reduction of MAPK7 pathway activity and the loss of MAPK7 gene expression induce damaged osteogenesis via RPS6KA3 and/or its substrates. PMID: 30032135
- Findings revealed that ERK5-mediated EMT was critically involved in benzidine-correlated BC progression. PMID: 29463068
- MiR-143-3p inhibits the proliferation, cell migration and invasion of human breast cancer cells by modulating the expression of MAPK7 PMID: 29360495
- High ERK5 expression is associated with malignant pleural mesothelioma. PMID: 28560410
- Small interfering RNA knockdown of MAPK7 demonstrated that MAPK7 regulates a subset of WNK1-regulated genes and controls the migration and cell proliferation PMID: 29025069
- The data suggest that miR-143 might represent a novel genetic element to enhance production of difficult-to-express proteins in CHO cells which may be partly mediated by down-regulation of MAPK7. PMID: 28371547
- our findings suggest that rare coding variants in MAPK7 predispose to AIS, providing clues to understanding the mechanisms of AIS. PMID: 28714182
- ERK5 associates with CKII to play essential roles in GPIb-IX-mediated platelet activation via the PTEN/PI3K/Akt pathway. PMID: 28603902
- For gain and loss of function studies, constitutively active MEK5 (CA-MEK5) and ERK5 shRNA lentiviruses were used to activate or knock down extracellular signal-regulated kinase 5 (ERK5). Our results confirmed that low concentrations of H2O2 promoted HUVECs angiogenesis in vitro, and ERK5 is an essential mediator of this process. Therefore, ERK5 may be a potential therapeutic target for promoting angiogenesis PMID: 28540300
- ERK5 expression was increased in 58% of cases and associated with the presence of metastasis and more advanced stages in clear cell renal cell carcinoma patients. ERK5 may be a new prognostic marker in this type of tumor. PMID: 27836247
- FOXF1 promotes prostate tumor growth and progression by activating ERK5 signaling PMID: 27165781
- CCh induced TGF-beta1 self-sustaining signaling loops by potentiating ERK5 signaling and promoted myofibroblast activity. This autocrine signaling mechanism may be an attractive therapeutic target to block the fibrotic response, which was modulated by the combination of glycopyrronium and indacaterol. PMID: 28284212
- In the current study, five structures of the ERK5 kinase domain co-crystallized with ERK5 inhibitors are reported. Interestingly, three of the compounds bind at a novel allosteric binding site in ERK5, while the other two bind at the typical ATP-binding site. PMID: 27139631
- Our results indicate that overexpression of MAPK7 in human OS cells could promote cell proliferation, migration and invasion, whereas knockdown of MAPK7 expression had the opposite effect. All the results suggest that MAPK7 may serve as a potent target for drug development. PMID: 26350187
- Statin mediated ERK5 activation and the resulting decrease in cardiac endothelial cell permeability may contribute to the cardioprotective effects of statins in reducing doxorubicin-induced cardiotoxicity. PMID: 28639275
- These findings suggest that atherogenic conditions critically regulate platelet CD36 signaling by increasing superoxide radical anion and hydrogen peroxide through a mechanism that promotes activation of MAPK ERK5. PMID: 28336528
- expression of miR-143 in osteosarcoma cells inhibited cell proliferation and migration/invasion. Bioinformatics and luciferase reporter assays confirmed that MAPK7 was targets gene of miR-143. PMID: 28734729
- miR-143 down-regulated its target ERK5, leading to the suppression of epithelial-mesenchymal transition induced by GSK-3beta/Snail signaling of breast cancer. PMID: 26618772
- this study revealed the functional and mechanistic links between CDK5 and the oncogenic ERK5-AP-1 signaling pathway in the pathogenesis of colorectal cancer. PMID: 27735944
- Present study revealed the positive role of ERK5/AP-1 in benzidine-provoked urocystic epithelial-mesenchymal transition and the curcumin promising use in bladder cancer prevention and intervention via ERK5/AP-1 pathway. PMID: 28259934
- miR-200b-3p suppresses glioma tumor growth, invasion, and reverses EMT through downregulated its target ERK5. PMID: 27545608
- Results indicate that MAPK7 may be modulating the growth, proliferation, migration and invasion of osteosarcoma cells. PMID: 26460937
- Thus ERK5 signaling is unlikely to play a role in tumor cell proliferation downstream of KRAS or BRAF or in tumor cells with ERK5 amplification. These results have important implications for the role of ERK5 as an anti-cancer drug target PMID: 26959608
- data implied the up-regulated MAPK7 might contribute to ovarian cancer metastasis PMID: 26617753
- The results pf this study indicated that BMK1 modulation by miR-429 has an important function in glioma invasion both in vitro and in vivo. PMID: 26272601
- Extracellular signal-regulated kinase 5 promotes acute cellular and systemic inflammation. PMID: 26307013
- ERK5 negatively regulates cigarette smoke-mediated pulmonary epithelial mesenchymal transformation. PMID: 25965818
- Our findings define ERK5 as a novel kinase that modulates the levels of TCR/CD3 at the cell surface by promoting CD3zeta degradation and TCR/CD3 recovery after TCR stimulation. PMID: 26302753
- we demonstrated for the first time that ERK5 positively regulated CS-mediated EMT in urothelial cells, as evidenced by the findings that CS promoted ERK5 activation and that the CS-triggered alteration in the EMT phenotype was reversed by ERK5 inhibition PMID: 26177962
- The TRAF4-ERK5 is a dominant pathway in human skin squamous cell carcinoma. PMID: 26347473
- data highlight a broader role for dysregulated MAPK7 in driving tumorigenesis within niche populations of highly prevalent tumor types, and describe current efforts in establishing a robust drug discovery screening cascade. PMID: 26040563
- Cdc42 may promote breast cancer cell migration and invasion by inhibiting ERK5 phosphorylation and ERK5 expression may be inversely correlated with the progression of some breast tumors. PMID: 25160664
- Phosphorylation of ERK5 on Thr732 is associated with ERK5 nuclear localization and ERK5-dependent transcription PMID: 25689862
- ERK5 regulates the development and growth of hepatocellular carcinoma. PMID: 25183205
- This study reveals a novel role for the ERK5-MEF2 cascade, linking bFGF-induced PAI-1 expression and subsequent mitogenic processes in lung fibroblasts. PMID: 26032256
- ERK5 knockdown inhibits invasion of osteosarcoma cells through modulation of Slug and MMP-9 expression. PMID: 25317798
- Provide first evidence for existence of a previously unknown Erk5/KLF2/PAK1 axis, which may limit undesired cell migration in unperturbed endothelium and lower its sensitivity for migratory cues that promote vascular diseases including atherosclerosis. PMID: 25388666
- ERK5 mediates ALK-induced transcription of MYCN and proliferation of neuroblastoma. PMID: 25351247
- High ERK5 expression is associated with colorectal cancer. PMID: 25662172
- ERK-5 is required for T cell receptor-induced and oxidative stress-induced full Sirtuin 1 expression PMID: 24880091
- miR-143 and miR-145 and the predicted target proteins API5, ERK5, K-RAS, and IRS-1 display regional differences in expression in the colon PMID: 25477374
- Hormone activation of ERalpha determined the subcellular localization of ERK5, which functions as a coregulator of ERalpha-dependent gene transcription. PMID: 24505128
- ERK5 activity negatively controls the expression of M-CSFR and retards differentiation from monocyte to macrophage. PMID: 25447310
- study has identified statins and antimalarial drugs as strong ERK5 activators and shown that ERK5 activation is preventive of endothelial inflammation and dysfunction and acute allograft rejection. PMID: 25187658
- Inhibitors of apoptosis proteins regulate myogenic differentiation by directly suppressing MEKK2/3-MEK5-ERK5 signaling. PMID: 24975362
- results document the expression of ERK5 in degenerated nucleus pulposus tissues, and suggest a potential involvement of ERK5 in human degenerated nucleus pulposus PMID: 24857985
- findings indicate that ERK5 plays a critical role in TGF-beta1-induced pulmonary fibrosis via enhancing Smad3 acetylation. PMID: 24095924
顯示更多
收起更多
-
亞細胞定位:Cytoplasm. Nucleus. Nucleus, PML body. Note=Translocates to the nucleus upon activation.
-
蛋白家族:Protein kinase superfamily, CMGC Ser/Thr protein kinase family, MAP kinase subfamily
-
組織特異性:Expressed in many adult tissues. Abundant in heart, placenta, lung, kidney and skeletal muscle. Not detectable in liver.
-
數據庫鏈接:
Most popular with customers
-
-
YWHAB Recombinant Monoclonal Antibody
Applications: ELISA, WB, IHC, IF, FC
Species Reactivity: Human, Mouse, Rat
-
Phospho-YAP1 (S127) Recombinant Monoclonal Antibody
Applications: ELISA, WB, IHC
Species Reactivity: Human
-
-
-
-
-















