MGST1 Recombinant Monoclonal Antibody
-
中文名稱:MGST1 Recombinant Monoclonal Antibody
-
貨號:CSB-RA906984A0HU
-
規格:¥1320
-
圖片:
-
Western Blot
Positive WB detected in: HepG2 whole cell lysate(30μg), HeLa whole cell lysate(30μg), A431 whole cell lysate(30μg), PC-3 whole cell lysate(30μg), U-251MG whole cell lysate(30μg), Mouse liver tissue lysate(30μg), Rat liver tissue lysate(30μg)
All lanes: MGST1 antibody at 1:1000
Secondary
Goat polyclonal to rabbit IgG at 1/40000 dilution
Predicted band size: 18 kDa
Observed band size: 18 kDa
Exposure time:2min -
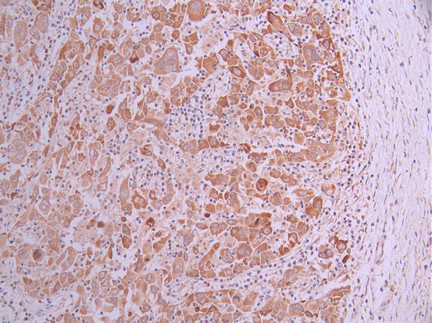
IHC image of CSB-RA906984A0HU diluted at 1:100 and staining in paraffin-embedded human liver cancer performed on a Leica BondTM system. After dewaxing and hydration, antigen retrieval was mediated by high pressure in a citrate buffer (pH 6.0). Section was blocked with 10% normal goat serum 30min at RT. Then primary antibody (1% BSA) was incubated at 4°C overnight. The primary is detected by a Goat anti-rabbit polymer IgG labeled by HRP and visualized using 0.05% DAB.
-
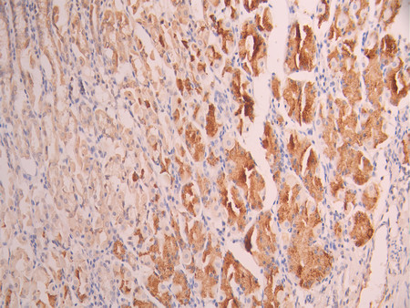
IHC image of CSB-RA906984A0HU diluted at 1:100 and staining in paraffin-embedded human stomach tissue performed on a Leica BondTM system. After dewaxing and hydration, antigen retrieval was mediated by high pressure in a citrate buffer (pH 6.0). Section was blocked with 10% normal goat serum 30min at RT. Then primary antibody (1% BSA) was incubated at 4°C overnight. The primary is detected by a Goat anti-rabbit polymer IgG labeled by HRP and visualized using 0.05% DAB.
-
Overlay Peak curve showing 786-O cells stained with CSB-RA906984A0HU (red line) at 1:100. The cells were fixed in 4% formaldehyde and permeated by 0.2% TritonX-100 for 10min. Then 10% normal goat serum to block non-specific protein-protein interactions followed by the antibody (1ug/1*106cells) for 45min at 4℃. The secondary antibody used was FITC-conjugated goat anti-rabbit IgG (H+L) at 1/200 dilution for 35min at 4℃.Control antibody (green line) was Rabbit IgG (1ug/1*106cells) used under the same conditions. Acquisition of >10,000 events was performed.
-
-
其他:
產品詳情
-
Uniprot No.:
-
基因名:MGST1
-
別名:Microsomal glutathione S-transferase 1 (Microsomal GST-1) (EC 2.5.1.18) (Microsomal GST-I), MGST1, GST12 MGST
-
反應種屬:Human, Mouse, Rat
-
免疫原:A synthesized peptide from human MGST1 protein
-
免疫原種屬:Homo sapiens (Human)
-
標記方式:Non-conjugated
-
克隆類型:Monoclonal
-
抗體亞型:Rabbit IgG
-
純化方式:Affinity-chromatography
-
克隆號:12H11
-
濃度:It differs from different batches. Please contact us to confirm it.
-
保存緩沖液:Rabbit IgG in 10mM phosphate buffered saline , pH 7.4, 150mM sodium chloride, 0.05% BSA, 0.02% sodium azide and 50% glycerol.
-
產品提供形式:Liquid
-
應用范圍:ELISA, WB, IHC, FC
-
推薦稀釋比:
Application Recommended Dilution WB 1:500-1:2000 IHC 1:50-1:200 FC 1:50-1:200 -
Protocols:
-
儲存條件:Upon receipt, store at -20°C or -80°C. Avoid repeated freeze.
-
貨期:Basically, we can dispatch the products out in 1-3 working days after receiving your orders. Delivery time maybe differs from different purchasing way or location, please kindly consult your local distributors for specific delivery time.
-
用途:For Research Use Only. Not for use in diagnostic or therapeutic procedures.
相關產品
靶點詳情
-
功能:Conjugation of reduced glutathione to a wide number of exogenous and endogenous hydrophobic electrophiles. Has a wide substrate specificity.
-
基因功能參考文獻:
- High MGST1 expression is associated with Bendamustine-resistance in Mantle Cell Lymphoma. PMID: 29695404
- Significant association for germline variations only in the COX pathway (specifically in the antioxidant microsomal glutathione S-transferase 1 [MGST1] gene), with risk for Barrett's esophagus and the combined outcome of Barrett's esophagus and esophageal adenocarcinoma was found. PMID: 29713984
- This study provides the most comprehensive evaluation of inflammation-related germline variation in relation to risk of BE/OA and suggests that variants in MGST1 influence disease susceptibility. PMID: 27486097
- The MSGT1 displays a preexisting dynamic equilibrium between high- and low-activity forms. PMID: 28558199
- possibly marked variations in NB mitochondrial homeostasis, they also imply that the results of these earlier studies using NB cells are not transferable to other tumor and cell types that express MGST1 at high concentrations. PMID: 24486338
- Differential expression of SOD2, ALDH1A1, and MGST1 genes in the anterior lens capsules of patients with pseudoexfoliation syndrome suggest that diseased tissue appears to respond to the previously reported oxidative stress. PMID: 23805041
- The results suggest that MGST1 gene polymorphisms as one of environment gene may contribute to colorectal cancer risk in younger ages. PMID: 23314968
- MGST1 protects cells (and mitochondria) by both conjugation and glutathione peroxidase functions. A new protective mechanism against cisplatin is also indicated PMID: 20727966
- Polymorphisms in microsomal glutathione s transferase is associated with laryngeal cancer PMID: 12359356
- The results indicate that Sp1 is the protein mediating the basal transcription of MGST1 PMID: 12818425
- Genes encoding KU70, MGST1 and BIK show age-related mRNA expression levels in hematopoietic stem cells. PMID: 17714764
- As an addition to the high-density SNP (single-nucleotide polymorphism) maps of 12 glutathione S-transferase and related genes reported earlier, a SNP map of the microsomal glutathione S-transferase 1 (MGST1) gene is provided. PMID: 11587073
顯示更多
收起更多
-
亞細胞定位:Microsome. Mitochondrion outer membrane; Peripheral membrane protein. Endoplasmic reticulum membrane; Multi-pass membrane protein.
-
蛋白家族:MAPEG family
-
組織特異性:Highly expressed in liver.
-
數據庫鏈接:
Most popular with customers
-
-
Phospho-YAP1 (S127) Recombinant Monoclonal Antibody
Applications: ELISA, WB, IHC
Species Reactivity: Human
-
-
-
-
-
-















