NDUFS4 Recombinant Monoclonal Antibody
-
中文名稱:NDUFS4重組抗體
-
貨號:CSB-RA588190A0HU
-
規格:¥1320
-
圖片:
-
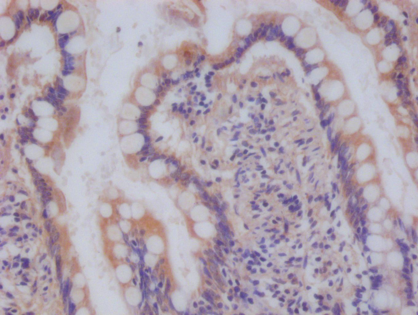
IHC image of CSB-RA588190A0HU diluted at 1:100 and staining in paraffin-embedded human small intestine tissue performed on a Leica BondTM system. After dewaxing and hydration, antigen retrieval was mediated by high pressure in a citrate buffer (pH 6.0). Section was blocked with 10% normal goat serum 30min at RT. Then primary antibody (1% BSA) was incubated at 4°C overnight. The primary is detected by a Goat anti-rabbit polymer IgG labeled by HRP and visualized using 0.05% DAB.
-
Overlay Peak curve showing MCF7 cells stained with CSB-RA588190A0HU (red line) at 1:100. The cells were fixed in 4% formaldehyde and permeated by 0.2% TritonX-100. Then 10% normal goat serum to block non-specific protein-protein interactions followed by the antibody (1ug/1*106cells) for 45min at 4℃. The secondary antibody used was FITC-conjugated Goat Anti-rabbit IgG(H+L) at 1:200 dilution for 35min at 4℃.Control antibody (green line) was rabbit IgG (1ug/1*106cells) used under the same conditions. Acquisition of >10,000 events was performed.
-
-
其他:
產品詳情
-
產品描述:CSB-RA588190A0HU是靶向NDUFS4蛋白的重組單克隆抗體,該蛋白作為線粒體復合物I(NADH脫氫酶復合體)的核心亞基,參與氧化磷酸化與ATP生成過程,其功能異常與線粒體能量代謝紊亂及神經退行性疾病相關。本抗體通過ELISA、免疫組化(IHC)和流式細胞術(FC)嚴格驗證,展現出優異的特異性和重復性,推薦使用稀釋度為IHC 1:50-1:200、FC 1:50-1:200,適用于多種樣本類型檢測。在科研場景中,該抗體可高效應用于線粒體復合物I的功能研究、細胞能量代謝機制解析以及病理模型中NDUFS4蛋白的定位與表達水平檢測,為神經退行性疾病、代謝綜合征等領域的體外實驗提供可靠工具。其重組單克隆特性確保批次間一致性,滿足高通量實驗需求。
-
Uniprot No.:
-
基因名:
-
別名:NADH dehydrogenase [ubiquinone] iron-sulfur protein 4, mitochondrial (Complex I-18 kDa) (CI-18 kDa) (Complex I-AQDQ) (CI-AQDQ) (NADH-ubiquinone oxidoreductase 18 kDa subunit), NDUFS4
-
反應種屬:Human
-
免疫原:A synthesized peptide derived from human NDUFS4
-
免疫原種屬:Homo sapiens (Human)
-
標記方式:Non-conjugated
-
克隆類型:Monoclonal
-
抗體亞型:Rabbit IgG
-
純化方式:Affinity-chromatography
-
克隆號:9H1
-
濃度:It differs from different batches. Please contact us to confirm it.
-
保存緩沖液:Rabbit IgG in 10mM phosphate buffered saline , pH 7.4, 150mM sodium chloride, 0.05% BSA, 0.02% sodium azide and 50% glycerol.
-
產品提供形式:Liquid
-
應用范圍:ELISA, IHC, FC
-
推薦稀釋比:
Application Recommended Dilution IHC 1:50-1:200 FC 1:50-1:200 -
Protocols:
-
儲存條件:Upon receipt, store at -20°C or -80°C. Avoid repeated freeze.
-
貨期:Basically, we can dispatch the products out in 1-3 working days after receiving your orders. Delivery time maybe differs from different purchasing way or location, please kindly consult your local distributors for specific delivery time.
-
用途:For Research Use Only. Not for use in diagnostic or therapeutic procedures.
相關產品
靶點詳情
-
功能:Accessory subunit of the mitochondrial membrane respiratory chain NADH dehydrogenase (Complex I), that is believed not to be involved in catalysis. Complex I functions in the transfer of electrons from NADH to the respiratory chain. The immediate electron acceptor for the enzyme is believed to be ubiquinone.
-
基因功能參考文獻:
- The clinical presentations of five individuals of Hutterite descent with Leigh disease are described herein. An identity-by-descent mapping and candidate gene approach was used to identify a novel homozygous c.393dupA frameshift mutation in the NADH dehydrogenase (ubiquinone) Fe-S protein 4 (NDUFS4) gene. PMID: 27671926
- The authors concluded that NDUFS4-related Leigh syndrome is invariably linked to an early onset severe phenotype that results in early death. PMID: 27079373
- The c.462delA deletion led to a complete lack of NDUFS4 peptide in isolated mitochondria, and this deficiency caused an inefficient mitochondrial complex I assembly and Leigh syndrome symptoms. PMID: 24020637
- Mutations in the NDUFS4 gene and its subunits are associated with the mitochondrial complex I deficiency. (Review) PMID: 23378164
- Elevated expression of CO I and ND4 were associated with gastric tumorigenesis and tumor dedifferentiation PMID: 22407105
- Studies indicate that that the functional capacity of complex I depends on phosphorylation and import of subunit NDUFS4 protein. PMID: 21945319
- In fibroblast cultures, protein kinase A-mediated phosphorylation of the NDUFS4 subunit of complex I rescues the activity of the oxidatively damaged complex. PMID: 22198267
- case Report: A novel mutation in NDUFS4 causes Leigh syndrome in an Ashkenazi Jewish family. PMID: 19107570
- REVIEW: Phosphorylation of the NDUFS4 protein, overall respiratory activity, and mutations sassociated with deficiency of complex I. PMID: 11860175
- In patients with complex I deficiency, the increased whole-body oxygen consumption rate at rest reflects increased electron transport through the respiratory chain, driven by a decreased phosphorylation potential. PMID: 11940698
- observations show the essential role of the 18-kDa subunit of respiratory complex I (NDUFS4) gene in the structure and function of complex I and give insight into pathogenic mechanism of NDUFS4 gene mutations in a severe defect of complex I PMID: 12944388
- A nonsense mutation leading to the abrogation of mRNA decay was found in NDUFS4 gene of a Leigh syndrome patient. PMID: 15975579
- NDUSF4 is required for the assembly and stabilization of a portion of complex I that contains a number of subunits. PMID: 17438127
- impact of PKA mediated phosphorylation on the mitochondrial import of in vitro and in vivo synthesized NDUFS4 protein PMID: 18291624
- regulation of alternative transcripts of the NDUFS4 gene of complex I of the respiratory chain PMID: 18555024
- NDUFS4 presents a hotspot of mutations in the genetic apparatus of oxidative phosphorylation and the correct assembly of the subunit it encodes is essential for completion of the assembly of complex I. PMID: 19364667
顯示更多
收起更多
-
相關疾?。?/div>Mitochondrial complex I deficiency (MT-C1D); Leigh syndrome (LS)亞細胞定位:Mitochondrion inner membrane; Peripheral membrane protein; Matrix side.蛋白家族:Complex I NDUFS4 subunit family數據庫鏈接:
Most popular with customers
-
-
YWHAB Recombinant Monoclonal Antibody
Applications: ELISA, WB, IHC, IF, FC
Species Reactivity: Human, Mouse, Rat
-
Phospho-YAP1 (S127) Recombinant Monoclonal Antibody
Applications: ELISA, WB, IHC
Species Reactivity: Human
-
-
-
-
-















