OS9 Recombinant Monoclonal Antibody
-
中文名稱:OS9重組抗體
-
貨號:CSB-RA959292A0HU
-
規格:¥1320
-
圖片:
-
Western Blot
Positive WB detected in: HL-60 whole cell lysate, Hela whole cell lysate, Mouse kidney tissue
All lanes: OS9 antibody at 1:2000
Secondary
Goat polyclonal to rabbit IgG at 1/50000 dilution
Predicted band size: 76, 70, 68, 74, 66, 64, 70, 61 kDa
Observed band size: 72-95 kDa -
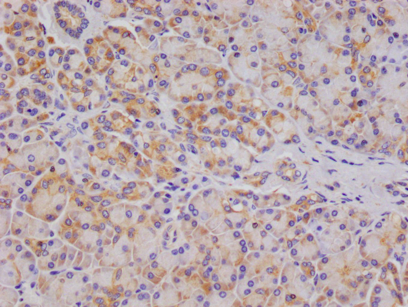
IHC image of CSB-RA959292A0HU diluted at 1:100 and staining in paraffin-embedded human pancreatic tissue performed on a Leica BondTM system. After dewaxing and hydration, antigen retrieval was mediated by high pressure in a citrate buffer (pH 6.0). Section was blocked with 10% normal goat serum 30min at RT. Then primary antibody (1% BSA) was incubated at 4°C overnight. The primary is detected by a Goat anti-rabbit polymer IgG labeled by HRP and visualized using 0.05% DAB.
-
-
其他:
產品詳情
-
產品描述:CSB-RA959292A0HU OS9重組單克隆抗體是針對內質網相關降解通路關鍵調控因子OS9蛋白開發的高特異性科研工具。該抗體識別的OS9蛋白在細胞內負責介導錯誤折疊蛋白的識別與降解調控,其異常表達與多種細胞應激反應及病理過程密切相關。經多平臺驗證顯示,該抗體在Western Blot實驗中可清晰檢測目標蛋白表達,在免疫組織化學應用中能有效顯示組織切片中OS9的亞細胞定位特征,同時在ELISA體系中也表現出優異的抗原結合能力。推薦使用稀釋度為WB 1:500-1:2000、IHC 1:50-1:200,實驗數據顯示其在不同樣本類型中均保持穩定的檢測靈敏度和低背景干擾。該重組單克隆抗體采用哺乳動物表達系統制備,具有高度均一的批次穩定性,適用于研究蛋白質質量控制機制、內質網應激相關信號通路以及腫瘤等疾病模型中異常蛋白代謝的分子機制,為探索細胞穩態調控及疾病相關分子網絡提供可靠的研究工具。
-
Uniprot No.:
-
基因名:
-
別名:Protein OS-9 (Amplified in osteosarcoma 9), OS9
-
反應種屬:Human, Mouse
-
免疫原:A synthesized peptide derived from human OS9
-
免疫原種屬:Homo sapiens (Human)
-
標記方式:Non-conjugated
-
克隆類型:Monoclonal
-
抗體亞型:Rabbit IgG
-
純化方式:Affinity-chromatography
-
克隆號:26H3
-
濃度:It differs from different batches. Please contact us to confirm it.
-
保存緩沖液:Rabbit IgG in 10mM phosphate buffered saline , pH 7.4, 150mM sodium chloride, 0.05% BSA, 0.02% sodium azide and 50% glycerol.
-
產品提供形式:Liquid
-
應用范圍:ELISA, WB, IHC
-
推薦稀釋比:
Application Recommended Dilution WB 1:500-1:2000 IHC 1:50-1:200 -
Protocols:
-
儲存條件:Upon receipt, store at -20°C or -80°C. Avoid repeated freeze.
-
貨期:Basically, we can dispatch the products out in 1-3 working days after receiving your orders. Delivery time maybe differs from different purchasing way or location, please kindly consult your local distributors for specific delivery time.
-
用途:For Research Use Only. Not for use in diagnostic or therapeutic procedures.
相關產品
靶點詳情
-
功能:Lectin which functions in endoplasmic reticulum (ER) quality control and ER-associated degradation (ERAD). May bind terminally misfolded non-glycosylated proteins as well as improperly folded glycoproteins, retain them in the ER, and possibly transfer them to the ubiquitination machinery and promote their degradation. Possible targets include TRPV4.
-
基因功能參考文獻:
- The endoplasmic reticulum-associated protein, OS-9, behaves as a lectin in targeting the immature calcium-sensing receptor. PMID: 28419469
- OS-9 up-regulates occludin and claudin-1 by activating the MAP kinase (MAPK) pathway, and thus protects the epithelial barrier function of Caco-2 monolayer under hypoxia condition. PMID: 25999789
- EDEM2 and OS-9 are required for ER-associated degradation of non-glycosylated sonic hedgehog PMID: 24910992
- Unique regions mediate the interaction between OS-9 and GRP94. PMID: 24899641
- It delivers mutant neuroserpin to ERAD by recognition of glycan side chains and provide the first in vivo proof of involvement of ERAD in degradation of mutant neuroserpin. PMID: 24795221
- long non-coding RNA ENST00000480739 suppresses tumour cell invasion by regulating OS-9 and HIF-1alpha in pancreatic ductal adenocarcinoma. PMID: 25314054
- Data indicate that the interaction of OS-9 and XTP3-B with CD147(CG) was inhibited by mutations to conserved residues in their lectin domains. PMID: 23097496
- OS-9 plays no direct functional role in HIF degradation since physical interaction of OS-9 with oxygen sensing HIF prolyl hydroxylases cannot occur in vivo due to their different subcellular localization PMID: 21559462
- It regulates endoplasmic reticulum-associated degradation. (review) PMID: 21404621
- The OS-9 specifically recognizes Manalpha1,6Manalpha1,6Man residues on the processed C-arm through the continuous double tryptophan (WW) motif. PMID: 21172656
- The sugar-binding ability of human OS-9 and its involvement in ER-associated degradation PMID: 19914915
- Identification of a peptide, resulting from a point mutation in gene OS-9, recognized by cytolytic T lymphocytes on a human melanoma. PMID: 12747754
- OS-9 regulates the secretory transport of TRPV4 and appears to protect TRPV4 subunits from the precocious ubiquitination and ER-associated degradation. PMID: 17932042
- OS-9 and GRP94 deliver mutant alpha1-antitrypsin to the Hrd1-SEL1L ubiquitin ligase complex for ERAD PMID: 18264092
- Xbp1-responsive OS-9 variants in the mammalian endoplasmic reticulum inhibit secretion of misfolded protein conformers and enhancing their disposal PMID: 18417469
- OS9 is critically involved in the modulation of ER-to-Golgi transport of DC-STAMP in response to TLR triggering, suggesting a novel role for OS9 in myeloid differentiation and cell fusion. PMID: 18952287
- OS-9 recognises terminally misfolded proteins via polypeptide-based rather than glycan-based signals, but is only required for transferring those bearing N-glycans to the ubiquitination machinery. PMID: 19084021
- model for mannose trimming and the requirement for OS-9 lectin activity in glycoprotein ERAD in which N-glycans lacking the terminal mannose from the C branch are recognized by OS-9 and targeted for degradation PMID: 19346256
顯示更多
收起更多
-
亞細胞定位:Endoplasmic reticulum lumen.
-
蛋白家族:OS-9 family
-
組織特異性:Ubiquitously expressed. Found as well in all tumor cell lines analyzed, amplified in sarcomas. Highly expressed in osteosarcoma SJSA-1 and rhabdomyosarcoma Rh30 cell lines. Isoform 2 is the major isoform detected in all cell types examined.
-
數據庫鏈接:
Most popular with customers
-
-
YWHAB Recombinant Monoclonal Antibody
Applications: ELISA, WB, IHC, IF, FC
Species Reactivity: Human, Mouse, Rat
-
Phospho-YAP1 (S127) Recombinant Monoclonal Antibody
Applications: ELISA, WB, IHC
Species Reactivity: Human
-
-
-
-
-















