OTX1/OTX2 Recombinant Monoclonal Antibody
-
中文名稱:OTX1/OTX2 Recombinant Monoclonal Antibody
-
貨號:CSB-RA209742A0HU
-
規格:¥1320
-
圖片:
-
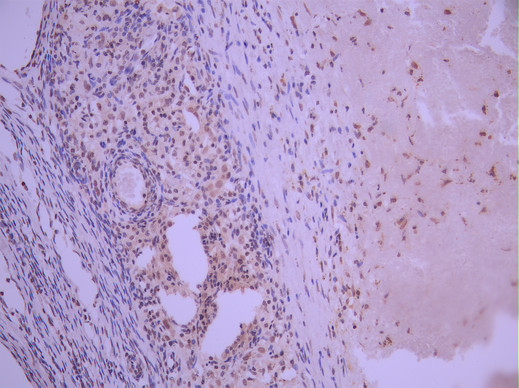
IHC image of CSB-RA209742A0HU diluted at 1:100 and staining in paraffin-embedded human ovarian cancer performed on a Leica BondTM system. After dewaxing and hydration, antigen retrieval was mediated by high pressure in a citrate buffer (pH 6.0). Section was blocked with 10% normal goat serum 30min at RT. Then primary antibody (1% BSA) was incubated at 4°C overnight. The primary is detected by a Goat anti-rabbit polymer IgG labeled by HRP and visualized using 0.05% DAB.
-
Immunofluorescence staining of Hela cell with CSB-RA209742A0HU at 1:50 , counter-stained with DAPI. The cells were fixed in 4% formaldehyde, permeabilized using 0.2% Triton X-100 and blocked in 10% normal Goat Serum. The cells were then incubated with the antibody overnight at 4°C. The secondary antibody was Alexa Fluor 488-congugated AffiniPure Goat Anti-Rabbit IgG(H+L).
-
-
其他:
產品詳情
-
Uniprot No.:
-
基因名:OTX1/OTX2
-
別名:FLJ38361 antibody; Homeobox protein OTX 1 antibody; Homeobox protein OTX1 antibody; MGC15736 antibody; Orthodenticle 1 antibody; Orthodenticle homeobox 1 antibody; Orthodenticle homolog 1 antibody; Orthodenticle1 antibody; Otx 1 antibody; otx1 antibody; OTX1_HUMAN antibody; CPHD6 antibody; Homeobox protein OTX2 antibody; MCOPS 5 antibody; MCOPS5 antibody; MGC45000 antibody; Orthodenticle 2 antibody; Orthodenticle homeobox 2 antibody; Orthodenticle homolog 2 (Drosophila) antibody; Orthodenticle homolog 2 antibody; Orthodenticle2 antibody; Otx 2 antibody; otx2 antibody; OTX2_HUMAN antibody
-
反應種屬:Human
-
免疫原:A synthesized peptide from human OTX1/OTX2 protein
-
免疫原種屬:Homo sapiens (Human)
-
標記方式:Non-conjugated
-
克隆類型:Monoclonal
-
抗體亞型:Rabbit IgG
-
純化方式:Affinity-chromatography
-
克隆號:13D6
-
濃度:It differs from different batches. Please contact us to confirm it.
-
保存緩沖液:Rabbit IgG in 10mM phosphate buffered saline , pH 7.4, 150mM sodium chloride, 0.05% BSA, 0.02% sodium azide and 50% glycerol.
-
產品提供形式:Liquid
-
應用范圍:ELISA, IHC, IF
-
推薦稀釋比:
Application Recommended Dilution IHC 1:50-1:200 IF 1:50-1:200 -
Protocols:
-
儲存條件:Upon receipt, store at -20°C or -80°C. Avoid repeated freeze.
-
貨期:Basically, we can dispatch the products out in 1-3 working days after receiving your orders. Delivery time maybe differs from different purchasing way or location, please kindly consult your local distributors for specific delivery time.
-
用途:For Research Use Only. Not for use in diagnostic or therapeutic procedures.
Most popular with customers
-
YWHAB Recombinant Monoclonal Antibody
Applications: ELISA, WB, IHC, IF, FC
Species Reactivity: Human, Mouse, Rat
-
Phospho-YAP1 (S127) Recombinant Monoclonal Antibody
Applications: ELISA, WB, IHC
Species Reactivity: Human
-
-
-
-
-
-















