PRKCG/PRKCB/PRKCA/PRKCE/PRKCZ/PRKCD Recombinant Monoclonal Antibody
-
中文名稱:PRKCG/PRKCB/PRKCA/PRKCE/PRKCZ/PRKCD Recombinant Monoclonal Antibody
-
貨號:CSB-RA584389A0HU
-
規格:¥1320
-
圖片:
-
Western Blot
Positive WB detected in: COLO-205 whole cell lysate(30μg), Mouse brain tissue lysate(30μg), Rat brain tissue lysate(30μg)
All lanes: PKC antibody at 1:1000
Secondary
Goat polyclonal to rabbit IgG at 1/40000 dilution
Predicted band size: 37, 40, 68-84 kDa
Observed band size: 77 kDa
Exposure time:30s -
IHC image of CSB-RA584389A0HU diluted at 1:100 and staining in paraffin-embedded human kidney tissue performed on a Leica BondTM system. After dewaxing and hydration, antigen retrieval was mediated by high pressure in a citrate buffer (pH 6.0). Section was blocked with 10% normal goat serum 30min at RT. Then primary antibody (1% BSA) was incubated at 4°C overnight. The primary is detected by a Goat anti-rabbit polymer IgG labeled by HRP and visualized using 0.05% DAB.
-
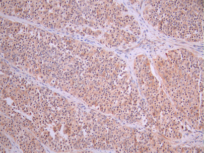
IHC image of CSB-RA584389A0HU diluted at 1:100 and staining in paraffin-embedded human liver cancer performed on a Leica BondTM system. After dewaxing and hydration, antigen retrieval was mediated by high pressure in a citrate buffer (pH 6.0). Section was blocked with 10% normal goat serum 30min at RT. Then primary antibody (1% BSA) was incubated at 4°C overnight. The primary is detected by a Goat anti-rabbit polymer IgG labeled by HRP and visualized using 0.05% DAB.
-
Overlay Peak curve showing BxPC-3 cells stained with CSB-RA584389A0HU (red line) at 1:100. The cells were fixed in 4% formaldehyde and permeated by 0.2% TritonX-100 for 10min. Then 10% normal goat serum to block non-specific protein-protein interactions followed by the antibody (1ug/1*106cells) for 45min at 4℃. The secondary antibody used was FITC-conjugated goat anti-rabbit IgG (H+L) at 1/200 dilution for 35min at 4℃.Control antibody (green line) was Rabbit IgG (1ug/1*106cells) used under the same conditions. Acquisition of >10, 000 events was performed.
-
-
其他:
產品詳情
-
Uniprot No.:
-
基因名:PRKCG/PRKCB/PRKCA/PRKCE/PRKCZ/PRKCD
-
別名:KPCG_HUMAN antibody; MGC57564 antibody; OTTHUMP00000067291 antibody; PKC-gamma antibody; PKCC antibody; PKCG antibody; PRKCG antibody; Protein kinase C gamma antibody; Protein kinase C gamma polypeptide antibody; Protein kinase C gamma type antibody; Protein kinase C; gamma antibody; SCA 14 antibody; SCA14 antibody; KPCB_HUMAN antibody; PKC Beta antibody; PKC-B antibody; PKC-beta antibody; PKCB antibody; Prkcb antibody; PRKCB II antibody; PRKCB2 antibody; Protein kinase C beta antibody; Protein kinase C beta type antibody; KPCA_HUMAN antibody; PKC alpha antibody; PKC beta antibody; PKC delta antibody; PKC epsilon antibody; PKC gamma antibody; PKC zeta antibody; PKC-A antibody; PKC-alpha antibody; PKC2 antibody; PKCA antibody; PKCB antibody; PKCD antibody; PKCE antibody; PKCG antibody; PRKCA antibody; PRKCB antibody; PRKCB1 antibody; PRKCB2 antibody; PRKCD antibody; PRKCE antibody; PRKCG antibody; PRKCZ antibody; Protein kinase C alpha antibody; Protein kinase C alpha type antibody; Protein kinase C antibody; Protein kinase C beta antibody; Protein kinase C delta antibody; Protein kinase C epsilon antibody; Protein kinase C gamma antibody; Protein kinase C zeta antibody; KPCE_HUMAN antibody; MGC125656 antibody; MGC125657 antibody; nPKC epsilon antibody; nPKC-epsilon antibody; PKCE antibody; Pkcea antibody; PRKCE antibody; Protein kinase C epsilon antibody; Protein kinase C epsilon type antibody; 14-3-3-zetaisoform antibody; AI098070 antibody; aPKCzeta antibody; C80388 antibody; EC 2.7.11.13 antibody; KPCZ_HUMAN antibody; nPKC zeta antibody; nPKC-zeta antibody; OTTHUMP00000001368 antibody; OTTHUMP00000044160 antibody; PKC 2 antibody; PKC ZETA antibody; PKC2 antibody; Pkcz antibody; PKCZETA antibody; PKM-zeta; included antibody; PRKCZ antibody; Protein kinase C zeta antibody; Protein kinase C zeta form antibody; Protein kinase C zeta type antibody; r14-3-3 antibody; R74924 antibody; zetaPKC antibody; CVID9 antibody; D14Ertd420e antibody; Kinase PKC delta antibody; KPCD antibody; KPCD_HUMAN antibody; MAY 1 antibody; MAY1 antibody; MGC49908 antibody; nPKC delta antibody; nPKC-delta antibody; PCKd antibody; PKC d antibody; PKC delta antibody; PKCD antibody; PKCdelta antibody; PRKC D antibody; PRKC delta antibody; Prkcd antibody; Protein Kinase C delta antibody; Protein kinase C delta type antibody; Protein kinase C delta VIII antibody; Protein Kinase Cdelta antibody; Tyrosine protein kinase PRKCD antibody
-
反應種屬:Human, Mouse, Rat
-
免疫原:A synthesized peptide from human PRKCG/PRKCB/PRKCA/PRKCE/PRKCZ/PRKCD protein
-
免疫原種屬:Homo sapiens (Human)
-
標記方式:Non-conjugated
-
克隆類型:Monoclonal
-
抗體亞型:Rabbit IgG
-
純化方式:Affinity-chromatography
-
克隆號:6A2
-
濃度:It differs from different batches. Please contact us to confirm it.
-
保存緩沖液:Rabbit IgG in 10mM phosphate buffered saline , pH 7.4, 150mM sodium chloride, 0.05% BSA, 0.02% sodium azide and 50% glycerol.
-
產品提供形式:Liquid
-
應用范圍:ELISA, WB, IHC, FC
-
推薦稀釋比:
Application Recommended Dilution WB 1:500-1:5000 IHC 1:50-1:200 FC 1:50-1:200 -
Protocols:
-
儲存條件:Upon receipt, store at -20°C or -80°C. Avoid repeated freeze.
-
貨期:Basically, we can dispatch the products out in 1-3 working days after receiving your orders. Delivery time maybe differs from different purchasing way or location, please kindly consult your local distributors for specific delivery time.
-
用途:For Research Use Only. Not for use in diagnostic or therapeutic procedures.
Most popular with customers
-
-
YWHAB Recombinant Monoclonal Antibody
Applications: ELISA, WB, IHC, IF, FC
Species Reactivity: Human, Mouse, Rat
-
Phospho-YAP1 (S127) Recombinant Monoclonal Antibody
Applications: ELISA, WB, IHC
Species Reactivity: Human
-
-
-
-
-















