-
中文名稱:PRLR Recombinant Monoclonal Antibody
-
貨號:CSB-RA018727MA1HU
-
規格:¥1320
-
圖片:
-
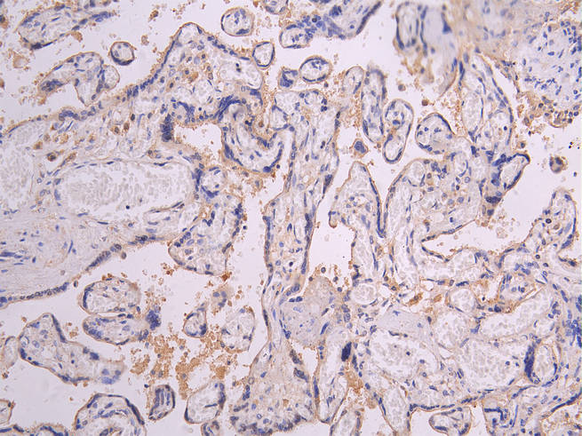
IHC image of CSB-RA018727MA1HU diluted at 1:200 and staining in paraffin-embedded human placenta tissue performed on a Leica BondTM system. After dewaxing and hydration, antigen retrieval was mediated by high pressure in a citrate buffer (pH 6.0). Section was blocked with 10% normal goat serum 30min at RT. Then primary antibody (1% BSA) was incubated at 4°C overnight. The primary is detected by a Goat anti-human polymer IgG labeled by HRP and visualized using 0.05% DAB.
-
-
其他:
產品詳情
-
產品描述:CSB-RA018727MA1HU PRLR重組單克隆抗體是針對催乳素受體(Prolactin Receptor)研發的高特異性科研工具。該抗體靶向的PRLR屬于I型細胞因子受體超家族成員,在介導催乳素信號傳導中發揮關鍵作用,參與調控乳腺發育、泌乳功能及生殖系統生理活動。經嚴格驗證,本品在ELISA實驗中可精準識別重組或天然PRLR蛋白,同時在免疫組化(IHC)應用中能清晰顯示組織樣本中PRLR的分布特征,推薦使用稀釋比例為1:50至1:200。適用于體外培養細胞或動物組織切片中PRLR表達水平的定性及定位分析,為研究乳腺生物學、生殖內分泌調控以及相關疾病模型(如乳腺增生或激素依賴性腫瘤機制)提供可靠的檢測支持。其優異的批間穩定性和低交叉反應性保障了實驗結果的重復性與準確性,是基礎科研領域探索PRLR信號通路及功能研究的理想選擇。
-
Uniprot No.:
-
基因名:
-
別名:AI987712 antibody; CLONE SPM213 antibody; CPRLP antibody; Delta 4-delta 7/11 truncated prolactin receptor antibody; Delta 4-SF1b truncated prolactin receptor antibody; HPRL antibody; hPRL receptor antibody; hPRLrI antibody; Lactogen receptor antibody; MFAB antibody; MGC105486 antibody; OPR antibody; OTTHUMP00000115998 antibody; Pr-1 antibody; Pr-3 antibody; PRL R antibody; PRL-R antibody; PRLR antibody; Prlr-rs1 antibody; PRLR_HUMAN antibody; Prolactin receptor a antibody; Prolactin receptor antibody; Prolactin receptor delta 7/11 antibody; RATPRLR antibody; Secreted prolactin binding protein antibody; Truncated testis-specific box 1-C prolactin receptor antibody; wu:fj65c07 antibody; rolinsatamab
-
反應種屬:Human
-
免疫原:Recombinant Human PRLR protein
-
免疫原種屬:Homo sapiens (Human)
-
標記方式:Non-conjugated
-
克隆類型:Monoclonal
-
抗體亞型:hIgG1
-
純化方式:Affinity-chromatography
-
克隆號:13G8
-
濃度:It differs from different batches. Please contact us to confirm it.
-
保存緩沖液:Preservative: 0.03% Proclin 300
Constituents: 50% Glycerol, 0.01M PBS, PH 7.4 -
產品提供形式:Liquid
-
應用范圍:ELISA, IHC
-
推薦稀釋比:
Application Recommended Dilution IHC 1:50-1:200 -
Protocols:
-
儲存條件:Upon receipt, store at -20°C or -80°C. Avoid repeated freeze.
-
貨期:Basically, we can dispatch the products out in 1-3 working days after receiving your orders. Delivery time maybe differs from different purchasing way or location, please kindly consult your local distributors for specific delivery time.
-
用途:For Research Use Only. Not for use in diagnostic or therapeutic procedures.
相關產品
靶點詳情
-
功能:This is a receptor for the anterior pituitary hormone prolactin (PRL). Acts as a prosurvival factor for spermatozoa by inhibiting sperm capacitation through suppression of SRC kinase activation and stimulation of AKT. Isoform 4 is unable to transduce prolactin signaling. Isoform 6 is unable to transduce prolactin signaling.
-
基因功能參考文獻:
- In a replication study of the association between the prolactin receptor gene intron C/T polymorphism (rs37389) and recurrent miscarriage, no association was found. PMID: 28980840
- Low PRLR expression is associated with Triple Negative Breast Cancer. PMID: 27480353
- These results illustrate promising antitumor activity against PRLR-positive breast cancer xenografts and support the evaluation of anti-PRLR antibody-drug conjugate as potential therapeutic agents in breast cancer. PMID: 28377489
- Prl receptor is expressed at different levels in the majority of glioblastoma multiforme tumors. Prolactin stimulation resulted in increased STAT5 phosphorylation and increased cellular invasion. PMID: 27788487
- PRLRI146L and PRLRI176V variants are not associated with breast cancer or multiple breast fibroadenomas risk. PMID: 27575941
- This study identified 4 PRLR variations (p.Ile76Val, p.Ile146Leu, p.Glu108Lys and p.Glu554Gln) in 16 Sporadic Prolactinoma in Humans. PMID: 26641246
- results highlight PRLR as an independent predictor of favorable prognosis in human breast cancer PMID: 26317306
- Two markers for the PRL peptide gene and three markers for the prolactin receptor (PRLR) gene were genotyped. PMID: 26513615
- The prolactin receptor is constitutively expressed on regulatory T and effector T cells in systemic lupus erythematosus patients, and this expression is higher than in healthy individuals. PMID: 26844452
- There is a possible role for PRLR in the progression of cervical cancer. PMID: 24990775
- Study shows that position 146 plays a central role in directing intrinsic properties of the PRLR, including extracellular domain folding, PRL-responsiveness, and ligand-independent activity of the receptor. PMID: 25524456
- Data suggest that (1) cell membrane/lipid bilayer binding of PRLR and (2) tyrosine phosphorylation of PRLR intracellular domain are independent. PMID: 25846210
- long PRLR plays an important role in breast cancer metastasis. PMID: 26095602
- a residue quartet in the extracellular membrane proximal domain of the homodimeric cytokine receptor prolactin receptor is a key regulator of intracellular signaling discrimination PMID: 25784554
- PRL induced transient signaling pathways in neurons and modulated ion channels. [review] PMID: 24758841
- exposure to prolactin increases TNF-alpha release from CD14(+) monocytes of rheumatoid arthritis patients, which can be abolished by PRLR gene silencing or treating with MAPK inhibitor. PMID: 24997655
- High MFAB expression is associated with testicular germ cell tumor and glioblastomas. PMID: 24391856
- Negative/low expression is associated with poorly differentiated and larger breast tumors in Poland PMID: 24249584
- Major changes in prolactin receptor conformation and dimerization affinity are triggered by single mutations in critical regions of D1. PMID: 24735798
- PRL-R attenuation post-transcriptionally increased ZnT2 abundance and redistributed intracellular Zn pools into lysosomes and mitochondria. PMID: 24333596
- Hypertrimethylation on H3K27 of the p53 gene promoter region due to elevated expression of DeltaS2 PRLR by alternative splicing of the pre-mRNA in its full-length form might serve as a new mechanism underlying prostate cancer PMID: 24032713
- Data suggest that signal transduction via prolactin and prolactin receptor plays role in trophoblast cell migration and invasion; PRLR is expressed by extravillous cytotrophoblasts and first-trimester placental bed tissue. PMID: 23849393
- PRL-induced transient signaling in sensory neurons is governed by PI3K or PKCepsilon, mediated via the PRLR-S isoform, and transient effects mediated by PRLR-S are inhibited by presence of PRLR-L in these cells. PMID: 24142695
- SNPs of the PRLR gene 5' UTR and promoter region are associated with increased risk for gestational diabetes in a population of Chilean subjects. PMID: 23651351
- Thus, the familial hyperprolactinemia appears to be due to a germline, loss-of-function mutation in PRLR, resulting in prolactin insensitivity. PMID: 24195502
- Results demonstrate a novel function for hepatic PRLR in the regulation of insulin sensitivity and provide important insights concerning the nutritional regulation of PRLR expression. PMID: 23775766
- Our data suggest that prolactin receptor presence meaningfully affects growth hormone receptor use in breast cancer cells. PMID: 23192981
- The prolactin receptor transactivation domain is associated with steroid hormone receptor expression and malignant progression of breast cancer PMID: 23159947
- Our results indicate no significant association of prolactin and PRLR polymorphisms with clozapine response, tardive dyskinesia diagnosis or its severity in patients with schizophrenia PMID: 21305610
- can be activated by three sequence-diverse human hormones: prolactin, GH, and placental lactogen [review] PMID: 22577091
- PRLr isoforms expression and PRLr subcellular localisation are altered in parathyroid tumours PMID: 22606260
- The structure of the human prolactin receptor reveals a structural link between the WSXWS motif, hormone binding, and receptor dimerization and we propose it as a general mechanism for class 1 receptor activation. PMID: 22325776
- PRL signaling through the long form prolactin receptor causes reduced fatty acid oxidation, increased lipid storage, glucose intolerance, and obesity. PMID: 21989556
- data provide limited support for an association between common variations in PRLR and breast cancer risk PMID: 21470416
- The association of the PRLr with HMGN2 enables Stat5a-responsive promoter binding, thus facilitating transcriptional activation and promoting anchorage-independent growth. PMID: 21816901
- Our study suggests the prolactin receptor gene is a molecular target that may be important in the pathogenesis and progression of lobular neoplasia PMID: 20658264
- Enhanced complex formation of ERalpha dimer with SP1 and C/EBPbeta by E2 has an essential role in the transcriptional activation of the hPRLR gene. PMID: 21670145
- Data show that cells expressing higher long:short PRLR ratios had increased growth, survival and migration in response to PRL and suggest that PRLR antagonists may be therapeutically beneficial in ovarian cancer. PMID: 21775057
- Endogenous GH receptor(GHR) and PRLR associate, possibly as a GHR-PRLR heterodimer, in human breast cancer cells and GH signaling in these cells is largely mediated by the PRLR in the context of both PRLR-PRLR homodimers and GHR-PRLR heterodimers. PMID: 21310852
- The positive correlations in positivity rate between the PRL-R and ER/PR expressions are found only in CerbB-2 positive patients with breast cancer. PMID: 20335148
- SIRPalpha modulates PRL receptor-associated signaling as a function of integrin occupancy by mediating integrin-PRL receptor cross-talk and contributing to breast cancer biology. PMID: 20826546
- both Zn(2+) and human PRLr binding influence human PRL conformers in an interdependent fashion PMID: 21510945
- Functional impact of manipulation on the relative orientation of human prolactin receptor domains. PMID: 21591677
- Progesterone induces expression of the prolactin receptor gene through cooperative action of Sp1 and C/EBP transcription factors PMID: 21238538
- Rabbit antibodies have high titer and could specifically recognize each isoform of PRLR in breast cancer cell lines and human breast carcinoma biopsies. PMID: 21144038
- Prolactin receptor signaling contributes to the local inflammatory response within the atherosclerotic plaque and thus to atherogenesis. PMID: 21068074
- Blockade of the PRLR represents a novel treatment for patients with advanced breast or prostate cancer with limited therapeutic options. PMID: 20846877
- acetylation and deacetylation provide the rheostat-like regulation for the cytokine receptor PRLR in its cytoplasmic loop dimerization and subsequent STAT5 activation PMID: 20962278
- This study allowed to visualize for the first time the loop L5 spanning PRLR2 residues Thr133-Phe140, revealing its central implication for the three intermolecular interfaces of the 1:2 complex between natural prolactin and two PRLR chains. PMID: 20875426
- prolactin receptor expression is common in colorectal cancer PMID: 20453834
顯示更多
收起更多
-
相關疾?。?/div>Multiple fibroadenomas of the breast (MFAB); Hyperprolactinemia (HPRL)亞細胞定位:Membrane; Single-pass type I membrane protein.; [Isoform 7]: Secreted.蛋白家族:Type I cytokine receptor family, Type 1 subfamily組織特異性:Expressed in breast, placenta, kidney, liver and pancreas.數據庫鏈接:
Most popular with customers
-
-
Phospho-YAP1 (S127) Recombinant Monoclonal Antibody
Applications: ELISA, WB, IHC
Species Reactivity: Human
-
-
-
-
-
-















