SCIN Recombinant Monoclonal Antibody
-
中文名稱:SCIN重組抗體
-
貨號:CSB-RA213020A0HU
-
規格:¥1320
-
圖片:
-
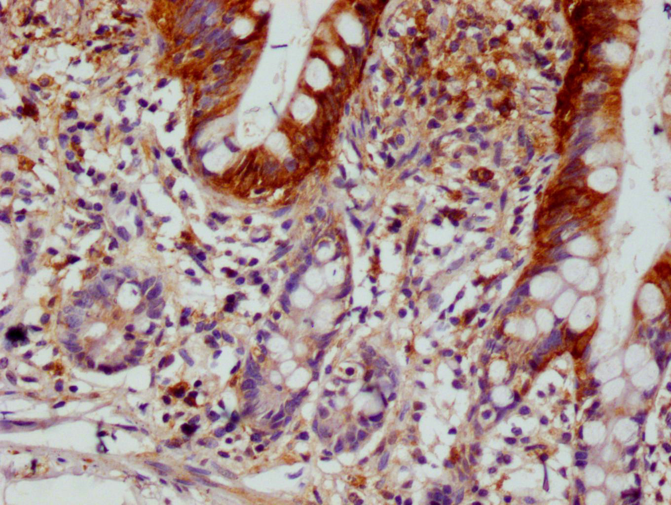
IHC image of CSB-RA213020A0HU diluted at 1:100 and staining in paraffin-embedded human small intestine tissue performed on a Leica BondTM system. After dewaxing and hydration, antigen retrieval was mediated by high pressure in a citrate buffer (pH 6.0). Section was blocked with 10% normal goat serum 30min at RT. Then primary antibody (1% BSA) was incubated at 4°C overnight. The primary is detected by a Goat anti-rabbit polymer IgG labeled by HRP and visualized using 0.05% DAB.
-
-
其他:
產品詳情
-
產品描述:SCIN Recombinant Monoclonal Antibody(CSB-RA213020A0HU)是針對SCIN(Scinderin)蛋白開發的小鼠源重組單克隆抗體,適用于ELISA和免疫組化(IHC)等實驗場景。SCIN蛋白是一種鈣依賴性肌動蛋白切割調控因子,通過調節細胞骨架動態變化參與胞吐作用、細胞遷移和免疫應答等生物學過程,其表達異常與腫瘤轉移、神經系統疾病及免疫功能障礙密切相關。本抗體經嚴格驗證,在IHC實驗中可特異性識別石蠟包埋組織樣本中的SCIN抗原,推薦使用稀釋比例為1:50-1:200,實驗數據顯示其在多種組織切片中呈現清晰的胞質定位染色信號,背景干擾低,重復性良好。該產品適用于探究SCIN在腫瘤微環境中的調控機制、細胞骨架重塑相關疾病模型研究以及免疫細胞功能分析等科研領域,為細胞運動、分泌機制及病理狀態下的分子機制研究提供可靠工具。
-
Uniprot No.:
-
基因名:
-
別名:Adseverin (Scinderin), SCIN, KIAA1905
-
反應種屬:Human
-
免疫原:A synthesized peptide derived from human SCIN
-
免疫原種屬:Homo sapiens (Human)
-
標記方式:Non-conjugated
-
克隆類型:Monoclonal
-
抗體亞型:Rabbit IgG
-
純化方式:Affinity-chromatography
-
克隆號:12B11
-
濃度:It differs from different batches. Please contact us to confirm it.
-
保存緩沖液:Rabbit IgG in 10mM phosphate buffered saline , pH 7.4, 150mM sodium chloride, 0.05% BSA, 0.02% sodium azide and 50% glycerol.
-
產品提供形式:Liquid
-
應用范圍:ELISA, IHC
-
推薦稀釋比:
Application Recommended Dilution IHC 1:50-1:200 -
Protocols:
-
儲存條件:Upon receipt, store at -20°C or -80°C. Avoid repeated freeze.
-
貨期:Basically, we can dispatch the products out in 1-3 working days after receiving your orders. Delivery time maybe differs from different purchasing way or location, please kindly consult your local distributors for specific delivery time.
-
用途:For Research Use Only. Not for use in diagnostic or therapeutic procedures.
相關產品
靶點詳情
-
功能:Ca(2+)-dependent actin filament-severing protein that has a regulatory function in exocytosis by affecting the organization of the microfilament network underneath the plasma membrane. Severing activity is inhibited by phosphatidylinositol 4,5-bis-phosphate (PIP2). In vitro, also has barbed end capping and nucleating activities in the presence of Ca(2+). Required for megakaryocyte differentiation, maturation, polyploidization and apoptosis with the release of platelet-like particles. Plays a role in osteoclastogenesis (OCG) and actin cytoskeletal organization in osteoclasts. Regulates chondrocyte proliferation and differentiation. Inhibits cell proliferation and tumorigenesis. Signaling is mediated by MAPK, p38 and JNK pathways.
-
基因功能參考文獻:
- Data suggest that scinderin (Scin) played a vital role in the development of developmental dysplasia of the hip (DDH). PMID: 28213129
- Epistasis analysis identified a statistically significant interaction between CDC42 and SCIN SNPs which are strongly associated with CDC42 and SCIN gene expression levels and map to regulatory elements in skin cells. This interaction has important biological relevance since CDC42 and SCIN proteins have opposite effects in actin cytoskeleton organization and dynamics, which underlies melanoma cell migration and invasion. PMID: 27347659
- High levels of SCIN expression in gastric cancer tissue correlate with poor prognosis of patients. SCIN enhances the invasion and metastasis of GC cells through activating the Cdc42 pathway to increase the formation of filopodia. PMID: 27033455
- Suppression of scinderin impairs proliferation and migration of gastric cancer SGC7901 cells and attenuates its epithelialmesenchymal transition process. PMID: 25174406
- SCIN plays an important role in lung carcinoma cell proliferation PMID: 25303873
- These results suggest that SCIN plays an important role in the proliferation of prostate cancer cells and lentivirus-mediated inhibition of SCIN expression may be a potential therapeutic method for the treatment of prostate cancer PMID: 24212916
- Scinderin expression does not correlate with prognosis in head and neck cancer. PMID: 24330498
- calcium binding to the N terminus of adseverin dominates the activation process to expose the F-actin binding site on A2 PMID: 19666531
顯示更多
收起更多
-
亞細胞定位:Cytoplasm, cytoskeleton. Cell projection, podosome.
-
蛋白家族:Villin/gelsolin family
-
組織特異性:Expressed in megakaryocytes.
-
數據庫鏈接:
Most popular with customers
-
-
YWHAB Recombinant Monoclonal Antibody
Applications: ELISA, WB, IHC, IF, FC
Species Reactivity: Human, Mouse, Rat
-
Phospho-YAP1 (S127) Recombinant Monoclonal Antibody
Applications: ELISA, WB, IHC
Species Reactivity: Human
-
-
-
-
-















