SEC62 Recombinant Monoclonal Antibody
-
中文名稱:SEC62 Recombinant Monoclonal Antibody
-
貨號:CSB-RA169564A0HU
-
規格:¥1320
-
圖片:
-
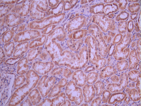
IHC image of CSB-RA169564A0HU diluted at 1:100 and staining in paraffin-embedded human kidney tissue performed on a Leica BondTM system. After dewaxing and hydration, antigen retrieval was mediated by high pressure in a citrate buffer (pH 6.0). Section was blocked with 10% normal goat serum 30min at RT. Then primary antibody (1% BSA) was incubated at 4°C overnight. The primary is detected by a Goat anti-rabbit polymer IgG labeled by HRP and visualized using 0.05% DAB.
-
IHC image of CSB-RA169564A0HU diluted at 1:100 and staining in paraffin-embedded human colorectal cancer performed on a Leica BondTM system. After dewaxing and hydration, antigen retrieval was mediated by high pressure in a citrate buffer (pH 6.0). Section was blocked with 10% normal goat serum 30min at RT. Then primary antibody (1% BSA) was incubated at 4°C overnight. The primary is detected by a Goat anti-rabbit polymer IgG labeled by HRP and visualized using 0.05% DAB.
-
Overlay Peak curve showing MCF-7 cells stained with CSB-RA169564A0HU (red line) at 1:100. The cells were fixed in 4% formaldehyde and permeated by 0.2% TritonX-100 for 10min. Then 10% normal goat serum to block non-specific protein-protein interactions followed by the antibody (1ug/1*106cells) for 45min at 4℃. The secondary antibody used was FITC-conjugated goat anti-rabbit IgG (H+L) at 1/200 dilution for 35min at 4℃.Control antibody (green line) was Rabbit IgG (1ug/1*106cells) used under the same conditions. Acquisition of >10, 000 events was performed.
-
-
其他:
產品詳情
-
Uniprot No.:
-
基因名:
-
別名:SEC62; TLOC1; Translocation protein SEC62; Translocation protein 1; TP-1; hTP-1
-
反應種屬:Human
-
免疫原:A synthesized peptide from human SEC62 protein
-
免疫原種屬:Homo sapiens (Human)
-
標記方式:Non-conjugated
-
克隆類型:Monoclonal
-
抗體亞型:Rabbit IgG
-
純化方式:Affinity-chromatography
-
克隆號:16B11
-
濃度:It differs from different batches. Please contact us to confirm it.
-
保存緩沖液:Rabbit IgG in 10mM phosphate buffered saline , pH 7.4, 150mM sodium chloride, 0.05% BSA, 0.02% sodium azide and 50% glycerol.
-
產品提供形式:Liquid
-
應用范圍:ELISA, IHC, FC
-
推薦稀釋比:
Application Recommended Dilution IHC 1:50-1:200 FC 1:50-1:200 -
Protocols:
-
儲存條件:Upon receipt, store at -20°C or -80°C. Avoid repeated freeze.
-
貨期:Basically, we can dispatch the products out in 1-3 working days after receiving your orders. Delivery time maybe differs from different purchasing way or location, please kindly consult your local distributors for specific delivery time.
-
用途:For Research Use Only. Not for use in diagnostic or therapeutic procedures.
相關產品
靶點詳情
-
功能:Mediates post-translational transport of precursor polypeptides across endoplasmic reticulum (ER). Proposed to act as a targeting receptor for small presecretory proteins containing short and apolar signal peptides. Targets and properly positions newly synthesized presecretory proteins into the SEC61 channel-forming translocon complex, triggering channel opening for polypeptide translocation to the ER lumen.
-
基因功能參考文獻:
- Results show higher SEC62 in the lymph node metastases from head and neck squamous cell carcinomas and cervical cancer of unknown primary patients compared with the primary tumor. Tumors from N1 to N3 stage exhibit increasing SEC62 expression in the lymphatic metastases. Its knockdown resulted in tumor cell line migration inhibition while, its overexpression stimulated cell migration. PMID: 28002801
- High Sec62 expression is associated with dysplastic cervical lesions. PMID: 27553742
- identify Sec62 as a critical molecular component in maintenance and recovery of endoplasmic reticulum homeostasis PMID: 27749824
- these studies identify TLOC1 and SKIL as driver genes at 3q26 and more broadly suggest that cooperating genes may be coamplified in other regions with somatic copy number gain. PMID: 23764425
- Sec62 overproduction significantly correlates with reduced non-small lung cancer patient survival. PMID: 24304694
- Phosphorylation of Sec63 by CK2 enhanced its binding to Sec62 PMID: 23287549
- Silencing the SEC62 gene inhibits post-translational transport of small presecretory proteins into endoplasmic reticulum. PMID: 22375059
- the Sec62-dependent translocation pathway serves as a fail-safe mechanism to ensure efficient secretion of small proteins and provides cells with an opportunity to regulate secretion of small proteins independent of the signal recognition particle pathway PMID: 22648169
- These results revealed that cyclin B1 and Sec62 may be candidate biomarkers and potential therapeutic targets for HBV-related HCC recurrence after surgery. PMID: 22682366
- The results indicate that SEC62 represents a potential candidate oncogene in the amplified 3q region in cases of non-small cell lung cancer. PMID: 22197383
- Our data indicate a crucial function of Sec62 in the response to thapsigargin-induced endoplasmic reticulum stress. PMID: 21557272
- after silencing of SEC62 the cell migration and the invasive potential of the cells was blocked or at least dramatically reduced while cell viability was hardly affected. SEC62 gene may indeed be considered a target gene in the therapy of various tumors PMID: 20669223
- The gene TLOC1/SEC62 revealed the highest frequency (50%) of copy number gains in the prostate cancer and was found to be up-regulated at the mRNA level. PMID: 16547154
顯示更多
收起更多
-
亞細胞定位:Endoplasmic reticulum membrane; Multi-pass membrane protein.
-
蛋白家族:SEC62 family
-
數據庫鏈接:
Most popular with customers
-
-
YWHAB Recombinant Monoclonal Antibody
Applications: ELISA, WB, IHC, IF, FC
Species Reactivity: Human, Mouse, Rat
-
Phospho-YAP1 (S127) Recombinant Monoclonal Antibody
Applications: ELISA, WB, IHC
Species Reactivity: Human
-
-
-
-
-















