SF3A3 Recombinant Monoclonal Antibody
-
中文名稱:SF3A3 Recombinant Monoclonal Antibody
-
貨號:CSB-RA285428A0HU
-
規格:¥1320
-
圖片:
-
Western Blot
Positive WB detected in: Hela whole cell lysate(30μg), A431 whole cell lysate(30μg), K562 whole cell lysate(30μg), U-251MG whole cell lysate(30μg), A549 whole cell lysate(30μg), Raji whole cell lysate(30μg), NIH/3T3 whole cell lysate(30μg), Mouse brain tissue lysate(30μg), Rat brain tissue lysate(30μg)
All lanes: SF3A3 antibody at 1:1000
Secondary
Goat polyclonal to rabbit IgG at 1/40000 dilution
Predicted band size: 59 kDa
Observed band size: 59 kDa
Exposure time:20s -
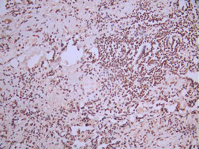
IHC image of CSB-RA285428A0HU diluted at 1:100 and staining in paraffin-embedded human lung cancer performed on a Leica BondTM system. After dewaxing and hydration, antigen retrieval was mediated by high pressure in a citrate buffer (pH 6.0). Section was blocked with 10% normal goat serum 30min at RT. Then primary antibody (1% BSA) was incubated at 4°C overnight. The primary is detected by a Goat anti-rabbit polymer IgG labeled by HRP and visualized using 0.05% DAB.
-
Overlay Peak curve showing Hela cells stained with CSB-RA285428A0HU (red line) at 1:100. The cells were fixed in 4% formaldehyde and permeated by 0.2% TritonX-100 for 10min. Then 10% normal goat serum to block non-specific protein-protein interactions followed by the antibody (1ug/1*106cells) for 45min at 4℃. The secondary antibody used was FITC-conjugated goat anti-rabbit IgG (H+L) at 1/200 dilution for 35min at 4℃.Control antibody (green line) was Rabbit IgG (1ug/1*106cells) used under the same conditions. Acquisition of >10, 000 events was performed.
-
-
其他:
產品詳情
-
Uniprot No.:
-
基因名:SF3A3
-
別名:SF3A3 antibody; SAP61 antibody; Splicing factor 3A subunit 3 antibody; SF3a60 antibody; Spliceosome-associated protein 61 antibody; SAP 61 antibody
-
反應種屬:Human, Mouse, Rat
-
免疫原:A synthesized peptide from human SF3A3 protein
-
免疫原種屬:Homo sapiens (Human)
-
標記方式:Non-conjugated
-
克隆類型:Monoclonal
-
抗體亞型:Rabbit IgG
-
純化方式:Affinity-chromatography
-
克隆號:4A6
-
濃度:It differs from different batches. Please contact us to confirm it.
-
保存緩沖液:Rabbit IgG in 10mM phosphate buffered saline , pH 7.4, 150mM sodium chloride, 0.05% BSA, 0.02% sodium azide and 50% glycerol.
-
產品提供形式:Liquid
-
應用范圍:ELISA, WB, IHC, FC
-
推薦稀釋比:
Application Recommended Dilution WB 1:500-1:5000 IHC 1:50-1:200 FC 1:50-1:200 -
Protocols:
-
儲存條件:Upon receipt, store at -20°C or -80°C. Avoid repeated freeze.
-
貨期:Basically, we can dispatch the products out in 1-3 working days after receiving your orders. Delivery time maybe differs from different purchasing way or location, please kindly consult your local distributors for specific delivery time.
-
用途:For Research Use Only. Not for use in diagnostic or therapeutic procedures.
相關產品
靶點詳情
-
功能:Involved in pre-mRNA splicing as a component of the splicing factor SF3A complex that contributes to the assembly of the 17S U2 snRNP, and the subsequent assembly of the pre-spliceosome 'E' complex and the pre-catalytic spliceosome 'A' complex. Involved in pre-mRNA splicing as a component of pre-catalytic spliceosome 'B' complexes.
-
基因功能參考文獻:
- The interaction between CSR1 and SF3A3 led to migration of SF3A3 from nucleus to cytoplasm. The cytoplasmic redistribution of SF3A3 significantly reduced the splicing efficiency of epidermal growth factor receptor and platelet-derived growth factor receptor. PMID: 27148859
-
亞細胞定位:Nucleus speckle. Nucleus.
-
蛋白家族:SF3A3 family
-
組織特異性:Ubiquitous.
-
數據庫鏈接:
Most popular with customers
-
-
YWHAB Recombinant Monoclonal Antibody
Applications: ELISA, WB, IHC, IF, FC
Species Reactivity: Human, Mouse, Rat
-
Phospho-YAP1 (S127) Recombinant Monoclonal Antibody
Applications: ELISA, WB, IHC
Species Reactivity: Human
-
-
-
-
-















