SUPT5H Recombinant Monoclonal Antibody
-
中文名稱:SUPT5H Recombinant Monoclonal Antibody
-
貨號:CSB-RA269987A0HU
-
規格:¥1320
-
圖片:
-
Western Blot
, Positive WB detected in:NIH/3T3 whole cell lysate(30μg)
All lanes: SPT5 antibody at 1:1000
Secondary
Goat polyclonal to rabbit IgG at 1/40000 dilution
Predicted band size: 121 kDa
Observed band size: 150 kDa
Exposure time:60s -
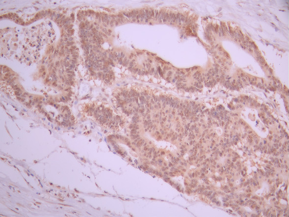
IHC image of CSB-RA269987A0HU diluted at 1:100 and staining in paraffin-embedded human colorectal cancer performed on a Leica BondTM system. After dewaxing and hydration, antigen retrieval was mediated by high pressure in a citrate buffer (pH 6.0). Section was blocked with 10% normal goat serum 30min at RT. Then primary antibody (1% BSA) was incubated at 4°C overnight. The primary is detected by a Goat anti-rabbit polymer IgG labeled by HRP and visualized using 0.05% DAB.
-
-
其他:
產品詳情
-
Uniprot No.:
-
基因名:SUPT5H
-
別名:DRB sensitivity inducing factor large subunit; DRB sensitivity-inducing factor 160 kDa subunit; DRB sensitivity-inducing factor large subunit; DSIF large subunit; DSIF p160; FLJ34157; hSPT 5; hSPT5; SPT 5; SPT 5H; SPT5; SPT5H; SPT5H_HUMAN; Suppressor of Ty 5 homolog; Suppressor of Ty 5 homolog (S. cerevisiae); SUPT 5H; supt5h; Tat cotransactivator 1 protein; Tat CT1; Tat CT1 protein; Tat-cotransactivator 1 protein; Tat-CT1 protein; Transcription elongation factor SPT 5; Transcription elongation factor spt5; Transcription factor Tat CT1
-
反應種屬:Human, Mouse
-
免疫原:A synthesized peptide from human SUPT5H protein
-
免疫原種屬:Homo sapiens (Human)
-
標記方式:Non-conjugated
-
克隆類型:Monoclonal
-
抗體亞型:Rabbit IgG
-
純化方式:Affinity-chromatography
-
克隆號:21D1
-
濃度:It differs from different batches. Please contact us to confirm it.
-
保存緩沖液:Rabbit IgG in 10mM phosphate buffered saline , pH 7.4, 150mM sodium chloride, 0.05% BSA, 0.02% sodium azide and 50% glycerol.
-
產品提供形式:Liquid
-
應用范圍:ELISA, WB, IHC
-
推薦稀釋比:
Application Recommended Dilution WB 1:500-1:5000 IHC 1:50-1:200 -
Protocols:
-
儲存條件:Upon receipt, store at -20°C or -80°C. Avoid repeated freeze.
-
貨期:Basically, we can dispatch the products out in 1-3 working days after receiving your orders. Delivery time maybe differs from different purchasing way or location, please kindly consult your local distributors for specific delivery time.
-
用途:For Research Use Only. Not for use in diagnostic or therapeutic procedures.
相關產品
靶點詳情
-
功能:Component of the DRB sensitivity-inducing factor complex (DSIF complex), which regulates mRNA processing and transcription elongation by RNA polymerase II. DSIF positively regulates mRNA capping by stimulating the mRNA guanylyltransferase activity of RNGTT/CAP1A. DSIF also acts cooperatively with the negative elongation factor complex (NELF complex) to enhance transcriptional pausing at sites proximal to the promoter. Transcriptional pausing may facilitate the assembly of an elongation competent RNA polymerase II complex. DSIF and NELF promote pausing by inhibition of the transcription elongation factor TFIIS/S-II. TFIIS/S-II binds to RNA polymerase II at transcription pause sites and stimulates the weak intrinsic nuclease activity of the enzyme. Cleavage of blocked transcripts by RNA polymerase II promotes the resumption of transcription from the new 3' terminus and may allow repeated attempts at transcription through natural pause sites. DSIF can also positively regulate transcriptional elongation and is required for the efficient activation of transcriptional elongation by the HIV-1 nuclear transcriptional activator, Tat. DSIF acts to suppress transcriptional pausing in transcripts derived from the HIV-1 LTR and blocks premature release of HIV-1 transcripts at terminator sequences.
-
基因功能參考文獻:
- These findings are consistent with a central role of Spt5 in maintenance of TFIID-promoter association and promoter escape to support rapid transcriptional induction and re-initiation of inflammatory-response genes. PMID: 27180651
- The mobile C-terminal region of DSIF is located near exiting RNA, where it can recruit factors for RNA processing. PMID: 28892040
- OGA is physically associated with the known RNA polymerase II (pol II) pausing/elongation factors SPT5 and TRIM28-KAP1-TIF1beta, and a purified OGA-SPT5-TIF1beta complex has elongation properties. PMID: 27601472
- A transcription-independent effect of tumor necrosis factor alpha on RNA splicing, mediated by Spt5. PMID: 26903558
- SPT5 contributes to the up-regulation of hTERT expression and colonic tumor development. PMID: 26418880
- Data indicate that the Plus3 domain of the Rtf1 subunit mediates Paf1C recruitment to genes by binding a repeating domain within the phosphorylated elongation factor Spt5. PMID: 24101474
- DSIF Is Selectively Required for mRNA Splicing and Export of NF-kappaB Target Genes. PMID: 23041311
- RNA polymerase II elongation repression is critically dependent on the C-terminus of Spt5 PMID: 19742326
- phosphorylated by P-TEFb kinase during HIV-1 transcription in Tat/TAR dependent manner PMID: 15564463
- hSpt5 function in transcription regulation and mRNA capping is essential for a subset of cellular and viral genes and may not be required for global gene expression. PMID: 15620346
- evolutionarily conserved repetitive heptapeptide motif (consensus = G-S-R/Q-T-P) in the C-terminal region of hSpt5, like the C-terminal domain of RNA Pol II, is highly phosphorylated by P-TEFb PMID: 16427012
- phosphorylation by cdk9; binds pin1 protein after phosphorylation PMID: 11575923
顯示更多
收起更多
-
亞細胞定位:Nucleus.
-
蛋白家族:SPT5 family
-
組織特異性:Ubiquitously expressed.
-
數據庫鏈接:
Most popular with customers
-
YWHAB Recombinant Monoclonal Antibody
Applications: ELISA, WB, IHC, IF, FC
Species Reactivity: Human, Mouse, Rat
-
Phospho-YAP1 (S127) Recombinant Monoclonal Antibody
Applications: ELISA, WB, IHC
Species Reactivity: Human
-
-
-
-
-
-















