TK1 Recombinant Monoclonal Antibody
-
中文名稱:TK1重組抗體
-
貨號:CSB-RA931459A0HU
-
規格:¥1320
-
圖片:
-
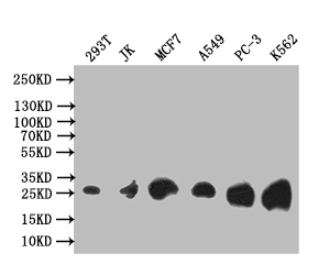
Western Blot
Positive WB detected in: 293T whole cell lysate, JK whole cell lysate, MCF7 whole cell lysate, A549 whole cell lysate, PC-3 whole cell lysate, K562 whole cell lysate
All lanes: Thymidine Kinase 1 antibody at 1:1000
Secondary
Goat polyclonal to rabbit IgG at 1/50000 dilution
Predicted band size: 26 kDa
Observed band size: 26 kDa -
Immunofluorescence staining of Hela with CSB-RA931459A0HU at 1:40, counter-stained with DAPI. The cells were fixed in 4% formaldehyde and blocked in 10% normal Goat Serum. The cells were then incubated with the antibody overnight at 4°C. The secondary antibody was Alexa Fluor 491-congugated AffiniPure Goat Anti-Rabbit IgG(H+L).
-
Overlay Peak curve showing Hela cells stained with CSB-RA931459A0HU (red line) at 1:50. The cells were fixed in 4% formaldehyde and permeated by 0.2% TritonX-100. Then 10% normal goat serum to block non-specific protein-protein interactions followed by the antibody (1μg/1*106cells) for 45min at 4℃. The secondary antibody used was FITC-conjugated Goat Anti-rabbit IgG(H+L) at 1:200 dilution for 35min at 4℃.Control antibody (green line) was rabbit IgG (1μg/1*106cells) used under the same conditions. Acquisition of >10,000 events was performed.
-
-
其他:
產品詳情
-
產品描述:CSB-RA931459A0HU TK1重組單克隆抗體是針對人源胸苷激酶1(Thymidine Kinase 1, TK1)研發的高特異性檢測工具。TK1是DNA合成關鍵酶,通過催化胸苷磷酸化參與細胞增殖調控,其表達水平與細胞周期進程密切相關,在腫瘤發生、細胞代謝等領域具有重要研究價值。本抗體經多種平臺驗證,適用于Western Blot(1:500-1:2000)、免疫熒光(1:50-1:200)、流式細胞術(1:50-1:200)及ELISA檢測,實驗數據顯示其能特異性識別天然構象和變性狀態的TK1蛋白,在WB中呈現單一清晰條帶,免疫熒光實驗可精準定位細胞質內靶蛋白分布,流式檢測則有效解析細胞群體中TK1的表達差異。該重組單克隆抗體采用哺乳動物表達系統制備,具有高批次穩定性和低交叉反應性,適用于細胞周期調控機制研究、腫瘤細胞增殖能力評估、抗腫瘤藥物體外篩選等科研場景,為探索TK1在疾病模型中的功能提供可靠工具。本產品嚴格限定于體外研究使用。
-
Uniprot No.:
-
基因名:TK1
-
別名:Thymidine kinase, cytosolic (EC 2.7.1.21), TK1
-
反應種屬:Human
-
免疫原:A synthesized peptide derived from Human TK1
-
免疫原種屬:Homo sapiens (Human)
-
標記方式:Non-conjugated
-
克隆類型:Monoclonal
-
抗體亞型:Rabbit IgG
-
純化方式:Affinity-chromatography
-
克隆號:6F6
-
濃度:It differs from different batches. Please contact us to confirm it.
-
保存緩沖液:Rabbit IgG in 10mM phosphate buffered saline , pH 7.4, 150mM sodium chloride, 0.05% BSA, 0.02% sodium azide and 50% glycerol.
-
產品提供形式:Liquid
-
應用范圍:ELISA, WB, IF, FC
-
推薦稀釋比:
Application Recommended Dilution WB 1:500-1:2000 IF 1:50-1:200 FC 1:50-1:200 -
Protocols:
-
儲存條件:Upon receipt, store at -20°C or -80°C. Avoid repeated freeze.
-
貨期:Basically, we can dispatch the products out in 1-3 working days after receiving your orders. Delivery time maybe differs from different purchasing way or location, please kindly consult your local distributors for specific delivery time.
-
用途:For Research Use Only. Not for use in diagnostic or therapeutic procedures.
相關產品
靶點詳情
-
基因功能參考文獻:
- STK1p is a potential proliferating biomarker for early discover of persons in the risk to develop or already have pre-malignancies or diseases associated with the risk process of malignancy. PMID: 29689706
- Data suggest that serum thymidine kinase 1 (S-TK) activity may be a useful parameter for monitoring neoadjuvant therapy (nTx) efficacy. PMID: 29189449
- Our study provides the first evidence that serum TK1 activity as early as 2 weeks following CDK4/6 inhibitors is highly correlated with tumor cell proliferation response in patients with early-stage HR+ breast cancer. PMID: 29162134
- TK1 might be involved in the development and progression of PDAC by regulating cell proliferation. PMID: 29266545
- The detection of TK1 combined with that cytokeratin-19 fragment (CYFRA21-1), CEA or NSE increased the diagnostic value of TK1 for lung squamous cell carcinoma, adenocarcinoma and small cell lung cancer, respectively. PMID: 29247745
- The results have implications for the mechanism by which Fhit regulates TK1 mRNA, and more broadly, for its modulation of multiple functions as tumor suppressor/genome caretaker. PMID: 28093273
- Results suggest that positive expression of CK19 mRNA and TK1 protein is closely correlated with poor prognosis in advanced gastrointestinal cancer. PMID: 27625087
- though TK1 expression was an independent prognostic factor for relapse, but not for survival, TK1 is a more informative expression than Ki-67 for LI, relapse and overall survival rates. Thus, when TK1 is combined with MDACC grading, pTNM staging and lymph node metastasis, IHC determination of TK1 expression may improve the overall prediction of prognosis in patients with ovarian cancer. PMID: 28651488
- Data show that the median thymidine kinase (TK1) levels found in sera from breast cancer patients with T1 to T4 stage disease were 0.31, 0.46, 0.47, and 0.55 ng/ml, and these levels significantly differed from healthy controls. PMID: 27079872
- STK1 is a reliable biomarker for discovering people with malignant tumors in cancer screening. PMID: 27002755
- Serum Thymidine Kinase 1 Activity Following Nephrectomy for Renal Cell Carcinoma and Radiofrequency Ablation of Metastases to Lung and Liver PMID: 27069161
- TK1 expression is significantly different in invasive urothelial carcinoma and benign urothelium, which underlines its potential as a diagnostic marker PMID: 26231311
- Protein expression of BIRC5, TK1, and TOP2A in malignant peripheral nerve sheath tumours--A prognostic test after surgical resection. PMID: 25769404
- High Thymidine Kinase expression is associated with adenocarcinoma in Non-small Cell Lung Cancer. PMID: 25921119
- These results demonstrate that there are differences in the specific activities and the subunit compositions of STK1 in hematological malignancies compared with breast and prostate cancer. PMID: 25881026
- A regression analysis showed that only TK1 levels were significant (relative risk (RR)=1.03 for each unit, confidence interval (CI)=1-1.05; p=0.015) for diagnosing a true transformation PMID: 25964590
- We suggest that a chip including DPYD, TYMS, TYMP, TK1, and TK2 genes is a potential tool to predict response in LARC following fluoropyrimidine-based CCRT. PMID: 24455740
- Nuclear TK1 expression in early grade cervical intraepithelial neoplasia predicts risk for progression to malignancy PMID: 23693054
- 3'-deoxy-3'-[18F]-fluorothymidine (18F-FLT) kinetics correlates with thymidine kinase-1 expression and cell proliferation in newly diagnosed gliomas PMID: 23229746
- The magnitude of maximum fluorodeoxyglucose uptake in primary tumors and the serum TK1 level in patients with metastatic NSCLC were found to be independent prognostic predictors of overall survival. PMID: 23116493
- Increased serum level of thymidine kinase 1 correlates with metastatic site in patients with malignant melanoma. PMID: 23179401
- results suggest that the serum TK1 protein differs from cellular or recombinant forms, is more active in high molecular weight complexes, and is sensitive to reducing agents PMID: 22741536
- Data suggest that serum thymidine kinase 1 (TK1) levels may help to refine risk assessment in the modern immunotherapy era. PMID: 22263569
- The crystal structure of the T163S-mutated HuTK1 reveals a less ordered conformation of the ligand thymidine triphosphate compared with the wild-type structure PMID: 22385435
- TK1 may be involved in poor survival in patients with pT1 of lung adenocarcinoma PMID: 22143937
- frequencies of polymorphic mutations in HIV-1 (subtype B) were compared between patients detected with the 69 insertion (n = 17), Q151M (n = 29), >/=2 thymidine analogue mutations (TAM) 1 (n = 400) or >/=2 TAM 2 (n = 249). PMID: 22027876
- data demonstrate that the Flt3L/TK gene therapeutic approach can induce systemic immunological memory capable of recognizing a brain tumor neoantigen in a model of recurrent GBM PMID: 21505426
- (18)F-FLT uptake and retention within cells may be complicated by a variety of still undetermined factors in addition to TK1 enzymatic activity PMID: 21764789
- Elevated serum thymidine kinase 1 is associated with pre/early cancerous progression. PMID: 21545220
- High levels of HER2 and Ki-67 or TK1 expression correlate with the increase of tumor grades and tumor recurrence in meningiomas. PMID: 20450760
- Serological thymidine kinase 1 is a useful marker for prognosis in patients with esophageal, cardial and lung carcinomas. PMID: 20479645
- Serum TK1 correlates to clinical stages and clinical reactions and monitors the effect of tumor therapies, not only in controlled clinical trials, but also in routine clinical settings. PMID: 20354751
- direct involvement of the G-quadruplex motif in transcription of TK1 PMID: 20849417
- nucleoside recognition mechanisms for TK1 and TK2 are very different. nonpolar nucleosides are likely to be active in the nucleotide salvage pathway in human cells. PMID: 20560637
- Results suggest that higher thymidine levels in the TK- cells caused by defect thymidine salvage to dTTP protects against UV irradiation. PMID: 20544518
- The expression of TK1 in tumor tissues correlated to pathological stages and clinical grades of carcinomas (ca) of esophagus, lung and in premalignancy of breast ductal ca. STK1p could monitor the out-come of tumor therapy. PMID: 20544519
- more dTTP synthesis via TK1 take place after genotoxic insults in tumor cells, improving DNA repair during G(2) arrest. PMID: 20554529
- cell cycle regulation of TK1 in normal tubule cells differ from that in other type of normal and malignant renal cells. PMID: 19957115
- Thymidine kinase-1 and thymidylate synthase expression was markedly different between cancer types, suggesting that response to TAS-102 may differ. PMID: 20372850
- thymidine kinase has a role in progression of lung cancer PMID: 20592392
- TK1 in serum may possess a reference value in the evaluation of treatment and prognosis of non-Hodgkin's lymphoma following chemotherapy. PMID: 20140744
- The TK1 model presented supports both K and k positive cooperativity. Three-parameter mass action models can and should replace the 3-parameter Hill model. PMID: 20003201
- TK1 gene expression together with TS, TP and DPD gene expression may play important roles in influencing the malignant behavior of epithelial ovarian cancer. PMID: 11992400
- Mutation analysis in the coding sequence of thymidine kinase 1 in breast and colorectal cancer PMID: 12699056
- Long-term treatment of H9 human lymphoid cells in the presence of dideoxycytidine down-regulated TK1 gene expression and reduced the expression and activity of TK in resistant cells. PMID: 14659972
- the enzymatic function at the G2/M phase of TK1 depends on its quaternary structure PMID: 14697231
- activation of the APC/C-Cdh1 complex during mitotic exit controls timing of TK1 destruction PMID: 14701726
- Activity of thymidine kinase, thymidine phosphorylase and thymidilate synthase in human cancer xenografts to investigate the contribution of these enzymes to the sensitivity of TAS-102. PMID: 14719072
- The importance of valine 106 for the structure and function of TK1. PMID: 15153115
- activation of TK1 may be critical to modulate the radiation-induced cell death and cell cycle progression in irradiated K562 cells. PMID: 15353126
顯示更多
收起更多
-
亞細胞定位:Cytoplasm.
-
蛋白家族:Thymidine kinase family
-
數據庫鏈接:
Most popular with customers
-
-
YWHAB Recombinant Monoclonal Antibody
Applications: ELISA, WB, IHC, IF, FC
Species Reactivity: Human, Mouse, Rat
-
Phospho-YAP1 (S127) Recombinant Monoclonal Antibody
Applications: ELISA, WB, IHC
Species Reactivity: Human
-
-
-
-
-















