TUFM Recombinant Monoclonal Antibody
-
中文名稱:TUFM Recombinant Monoclonal Antibody
-
貨號:CSB-RA025342MA1HU
-
規格:¥1320
-
圖片:
-
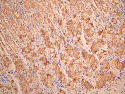
IHC image of CSB-RA025342MA1HU diluted at 1:50 and staining in paraffin-embedded human stomach tissue performed on a Leica BondTM system. After dewaxing and hydration, antigen retrieval was mediated by high pressure in a citrate buffer (pH 6.0). Section was blocked with 10% normal goat serum 30min at RT. Then primary antibody (1% BSA) was incubated at 4°C overnight. The primary is detected by a Anti-Human lgG, Fcy Fragment Specific labeled by HRP and visualized using 0.05% DAB.
-
Overlay Peak curve showing Hela cells stained with CSB-RA025342MA1HU (red line) at 1:100. The cells were fixed in 4% formaldehyde and permeated by 0.2% TritonX-100 for 10min. Then 10% normal goat serum to block non-specific protein-protein interactions followed by the antibody (1ug/1*106cells) for 45min at 4℃. The secondary antibody used was Fluorescein (FITC) AffiniPure Goat Anti-Human IgG, Fcγ fragment specific at 1:200 dilution for 35min at 4℃.Control antibody (green line) was human IgG1 (1ug/1*106cells) used under the same conditions. Acquisition of >10,000 events was performed.
-
-
其他:
產品詳情
-
Uniprot No.:
-
基因名:
-
別名:COXPD4 antibody; EF Tu antibody; EF TuMT antibody; EF-Tu antibody; EF-TuMT antibody; EFTu antibody; EFTU_HUMAN antibody; EFTuMT antibody; Elongation factor Tu antibody; Elongation factor Tu mitochondrial antibody; mitochondrial antibody; P43 antibody; Tu translation elongation factor; mitochondrial antibody; Tufm antibody
-
反應種屬:Human
-
免疫原:Recombinant Human TUFM protein
-
免疫原種屬:Homo sapiens (Human)
-
標記方式:Non-conjugated
-
克隆類型:Monoclonal
-
抗體亞型:hIgG1
-
純化方式:Affinity-chromatography
-
克隆號:15F4
-
濃度:It differs from different batches. Please contact us to confirm it.
-
保存緩沖液:Preservative: 0.03% Proclin 300
Constituents: 50% Glycerol, 0.01M PBS, PH 7.4 -
產品提供形式:Liquid
-
應用范圍:ELISA, IHC, FC
-
推薦稀釋比:
Application Recommended Dilution IHC 1:50-1:200 FC 1:50-1:200 -
Protocols:
-
儲存條件:Upon receipt, store at -20°C or -80°C. Avoid repeated freeze.
-
貨期:Basically, we can dispatch the products out in 1-3 working days after receiving your orders. Delivery time maybe differs from different purchasing way or location, please kindly consult your local distributors for specific delivery time.
-
用途:For Research Use Only. Not for use in diagnostic or therapeutic procedures.
相關產品
靶點詳情
-
功能:Promotes the GTP-dependent binding of aminoacyl-tRNA to the A-site of ribosomes during protein biosynthesis. Plays also a role in the regulation of autophagy and innate immunity. Recruits ATG5-ATG12 and NLRX1 at mitochondria and serves as a checkpoint of the RIG-I/DDX58-MAVS pathway. In turn, inhibits RLR-mediated type I interferon while promoting autophagy.
-
基因功能參考文獻:
- Novel mutation in mitochondrial Elongation Factor EF-Tu associated to dysplastic leukoencephalopathy and defective mitochondrial DNA translation. PMID: 28132884
- study revealed a novel role for TUFM as a host restriction factor that exerts an inhibitory effect on avian-signature PB2627E influenza virus propagation in human cells; found that increased TUFM-dependent autophagy correlates with the inhibitory effect on avian-signature influenza virus replication and may serve as a key intrinsic mechanism to restrict avian influenza virus infection in humans PMID: 28611246
- High expression of TUFM is associated with colorectal cancer. PMID: 28449687
- we identify a novel signaling hub centering on the NLRX1 TUFM protein complex, promoting autophagic flux. Defects in the expression of either NLRX1 or TUFM result in compromised autophagy when treated with EGFR inhibitors.These findings expand our understanding of the components involved in head and neck squamous cell carcinoma autophagy machinery that responds to EGFR inhibitors. PMID: 26876213
- TUFM is a novel regulator of epithelial-mesenchymal transition (EMT); there may be a molecular link between mitochondrial dysfunction and EMT induction PMID: 26781467
- NLRX1 and TUFM work in concert to reduce cytokine response and augment autophagy. PMID: 23321557
- Increased expression of TUFM is a promising new prognostic indicator for colorectal carcinoma. PMID: 22772342
- By recruiting Atg5-Atg12 and NLRX1, TUFM serves as a nodal checkpoint of the RIG-I-MAVS axis. It acts similarly to NLRX1 by inhibiting RigI-like-receptor-induced IFN-I but promoting autophagy. PMID: 22749352
- Genetic investigation of patients with defective mitochondrial translation led to the discovery of novel mutations in the mitochondrial elongation factor G1 (EFG1) in one affected baby and in the mitochondrial elongation factor Tu (EFTu) in another one PMID: 17160893
- Myoblasts isolated from the MELAS patients show A3243G mutation in tRNALeu(UUR) produces a severe respiratory chain deficiency and this phenotype can be partially suppressed by overexpression of EFTu and EFG2. PMID: 18753147
- Results suggest that the R336Q mutant mt-EFTu variant fails to bind to aminoacylated mitochondrial tRNAs, thus explaining the observed impairment of mitochondrial translation. PMID: 19524667
顯示更多
收起更多
-
相關疾病:Combined oxidative phosphorylation deficiency 4 (COXPD4)
-
亞細胞定位:Mitochondrion.
-
蛋白家族:TRAFAC class translation factor GTPase superfamily, Classic translation factor GTPase family, EF-Tu/EF-1A subfamily
-
數據庫鏈接:
Most popular with customers
-
-
YWHAB Recombinant Monoclonal Antibody
Applications: ELISA, WB, IHC, IF, FC
Species Reactivity: Human, Mouse, Rat
-
Phospho-YAP1 (S127) Recombinant Monoclonal Antibody
Applications: ELISA, WB, IHC
Species Reactivity: Human
-
-
-
-
-















