Histone H2B type 1-K Recombinant Monoclonal Antibody
-
中文名稱:組蛋白 H2B type 1-K重組抗體
-
貨號:CSB-RA010411A0HU
-
規格:¥1320
-
圖片:
-
Western Blot
Positive WB detected in: Mouse brain tissue, Rat liver tissue, Rat lung tissue
All lanes: Histone H2B type 1-K antibody at 0.16μg/ml
Secondary
Goat polyclonal to rabbit IgG at 1/50000 dilution
Predicted band size: 14 KDa
Observed band size: 14 KDa -
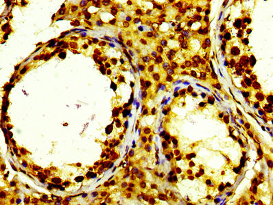
IHC image of CSB-RA010411A0HU diluted at 1:100 and staining in paraffin-embedded human testis tissue performed on a Leica BondTM system. After dewaxing and hydration, antigen retrieval was mediated by high pressure in a citrate buffer (pH 6.0). Section was blocked with 10% normal goat serum 30min at RT. Then primary antibody (1% BSA) was incubated at 4℃ overnight. The primary is detected by a biotinylated secondary antibody and visualized using an HRP conjugated SP system.
-
-
其他:
產品詳情
-
產品描述:CSB-RA010411A0HU為Histone H2B type 1-K重組單克隆抗體,靶向真核生物染色質核心組分組蛋白H2B家族成員,該蛋白通過與DNA及其他組蛋白協同組裝核小體,參與維持基因組穩定性和表觀遺傳調控。本抗體經多種實驗驗證,在Western Blot中展現出高特異性,可清晰檢測目標蛋白條帶,推薦使用1:5000-1:10000稀釋度;在免疫組化(IHC)中能有效定位細胞核內信號,建議稀釋度為1:50-1:500。此外,該抗體亦適用于ELISA檢測,為研究者提供多平臺兼容性。其低交叉反應性設計確保了對Histone H2B type 1-K亞型的高度選擇性,適用于染色質結構分析、表觀遺傳修飾研究及基因表達調控機制探索等科研領域,可為細胞周期、DNA損傷修復或轉錄調控相關實驗提供可靠工具。
-
Uniprot No.:
-
基因名:HIST1H2BK
-
別名:H2BC12 antibody; H2BFT antibody; HIRIP1 antibody; HIST1H2BK antibody; Histone H2B type 1-K antibody; H2B K antibody; HIRA-interacting protein 1 antibody
-
反應種屬:Human
-
免疫原:A synthesized peptide
-
免疫原種屬:Homo sapiens (Human)
-
標記方式:Non-conjugated
-
克隆類型:Monoclonal
-
抗體亞型:Rabbit IgG
-
純化方式:Affinity-chromatography
-
克隆號:4G10
-
濃度:It differs from different batches. Please contact us to confirm it.
-
保存緩沖液:Rabbit IgG in 10mM phosphate buffered saline , pH 7.4, 150mM sodium chloride, 0.05% BSA, 0.02% sodium azide and 50% glycerol.
-
產品提供形式:Liquid
-
應用范圍:ELISA, WB, IHC
-
推薦稀釋比:
Application Recommended Dilution WB 1:5000-1:10000 IHC 1:50-1:500 -
Protocols:
-
儲存條件:Upon receipt, store at -20°C or -80°C. Avoid repeated freeze.
-
貨期:Basically, we can dispatch the products out in 1-3 working days after receiving your orders. Delivery time maybe differs from different purchasing way or location, please kindly consult your local distributors for specific delivery time.
-
用途:For Research Use Only. Not for use in diagnostic or therapeutic procedures.
相關產品
靶點詳情
-
功能:Core component of nucleosome. Nucleosomes wrap and compact DNA into chromatin, limiting DNA accessibility to the cellular machineries which require DNA as a template. Histones thereby play a central role in transcription regulation, DNA repair, DNA replication and chromosomal stability. DNA accessibility is regulated via a complex set of post-translational modifications of histones, also called histone code, and nucleosome remodeling.; Has broad antibacterial activity. May contribute to the formation of the functional antimicrobial barrier of the colonic epithelium, and to the bactericidal activity of amniotic fluid.
-
基因功能參考文獻:
- Histone H2B antimicrobial peptides exhibit antibacterial activity and contribute to the formation of the antimicrobial barrier of the colonic epithelium PMID: 15019208
-
亞細胞定位:Nucleus. Chromosome.
-
蛋白家族:Histone H2B family
-
數據庫鏈接:
Most popular with customers
-
-
YWHAB Recombinant Monoclonal Antibody
Applications: ELISA, WB, IHC, IF, FC
Species Reactivity: Human, Mouse, Rat
-
Phospho-YAP1 (S127) Recombinant Monoclonal Antibody
Applications: ELISA, WB, IHC
Species Reactivity: Human
-
-
-
-
-















