-
中文名稱:MAOA重組抗體
-
貨號:CSB-RA250615A0HU
-
規格:¥1320
-
圖片:
-
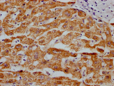
IHC image of CSB-RA250615A0HU diluted at 1:100 and staining in paraffin-embedded human liver tissue performed on a Leica BondTM system. After dewaxing and hydration, antigen retrieval was mediated by high pressure in a citrate buffer (pH 6.0). Section was blocked with 10% normal goat serum 30min at RT. Then primary antibody (1% BSA) was incubated at 4℃ overnight. The primary is detected by a Goat anti-rabbit IgG polymer labeled by HRP and visualized using 0.05% DAB.
-
IHC image of CSB-RA250615A0HU diluted at 1:100 and staining in paraffin-embedded human kidney tissue performed on a Leica BondTM system. After dewaxing and hydration, antigen retrieval was mediated by high pressure in a citrate buffer (pH 6.0). Section was blocked with 10% normal goat serum 30min at RT. Then primary antibody (1% BSA) was incubated at 4℃ overnight. The primary is detected by a Goat anti-rabbit IgG polymer labeled by HRP and visualized using 0.05% DAB.
-
Immunofluorescence staining of HepG2 Cells with CSB-RA250615A0HU at 1:50, counter-stained with DAPI. The cells were fixed in 4% formaldehyde, permeated by 0.2% TritonX-100, and blocked in 10% normal Goat Serum. The cells were then incubated with the antibody overnight at 4℃. Nuclear DNA was labeled in blue with DAPI. The secondary antibody was FITC-conjugated AffiniPure Goat Anti-Rabbit IgG (H+L).
-
-
其他:
產品詳情
-
產品描述:CSB-RA250615A0HU MAOA重組單克隆抗體是針對單胺氧化酶A(MAOA)研發的高特異性檢測工具。MAOA是催化神經遞質5-羥色胺、去甲腎上腺素和多巴胺降解的關鍵酶,其功能異常與多種神經精神疾病及代謝調控機制密切相關。本抗體通過ELISA、免疫組化(IHC)和免疫熒光(IF)等多種實驗平臺驗證,在IHC應用中推薦使用1:50-1:200的稀釋比例,IF實驗建議采用1:20-1:200的濃度范圍,實驗數據顯示其能精準識別天然構象和變性狀態下的MAOA蛋白,且在多種樣本類型中展現出優異的信號特異性。該產品適用于神經生物學研究、精神疾病相關分子機制探索以及神經遞質代謝通路分析等科研領域,特別適用于體外培養細胞或組織切片中MAOA的定位與表達水平檢測。重組單克隆抗體的均一性和批次穩定性為實驗可重復性提供保障,是研究MAOA在神經調控、情緒相關行為及藥物代謝等方向的高效科研工具。
-
Uniprot No.:
-
基因名:MAOA
-
別名:MAOA; Amine oxidase [flavin-containing] A; Monoamine oxidase type A; MAO-A
-
反應種屬:Human
-
免疫原:A synthesized peptide derived from human Monoamine Oxidase A
-
免疫原種屬:Homo sapiens (Human)
-
標記方式:Non-conjugated
-
克隆類型:Monoclonal
-
抗體亞型:Rabbit IgG
-
純化方式:Affinity-chromatography
-
克隆號:4C11
-
濃度:It differs from different batches. Please contact us to confirm it.
-
保存緩沖液:Rabbit IgG in 10mM phosphate buffered saline , pH 7.4, 150mM sodium chloride, 0.05% BSA, 0.02% sodium azide and 50% glycerol.
-
產品提供形式:Liquid
-
應用范圍:ELISA, IHC, IF
-
推薦稀釋比:
Application Recommended Dilution IHC 1:50-1:200 IF 1:20-1:200 -
Protocols:
-
儲存條件:Upon receipt, store at -20°C or -80°C. Avoid repeated freeze.
-
貨期:Basically, we can dispatch the products out in 1-3 working days after receiving your orders. Delivery time maybe differs from different purchasing way or location, please kindly consult your local distributors for specific delivery time.
-
用途:For Research Use Only. Not for use in diagnostic or therapeutic procedures.
引用文獻
- Effects of latroeggtoxin-VI on dopamine and α-synuclein in PC12 cells and the implications for Parkinson's disease D Yu,Biological research,2024
相關產品
靶點詳情
-
功能:Catalyzes the oxidative deamination of biogenic and xenobiotic amines and has important functions in the metabolism of neuroactive and vasoactive amines in the central nervous system and peripheral tissues. MAOA preferentially oxidizes biogenic amines such as 5-hydroxytryptamine (5-HT), norepinephrine and epinephrine.
-
基因功能參考文獻:
- MAOA is a novel direct target gene of REST. Reactive oxygen species (ROS) produced by overexpressed MAOA plays an essential role in inhibiting apoptosis and activating autophagy in NED PCa cells. MAOA inhibitors significantly reduced NED and autophagy activation of PCa cells. PMID: 28402333
- The low activity-related C allele of MAOA rs1137070 is associated with an increase in the sensitivity to heroin addiction. PMID: 28345608
- Polymorphisms within the MAOA gene are associated with asthenozoospermia through sperm count and motility. PMID: 29602729
- Expression of the two MAOA isoforms was differentially regulated by the two VNTRs located in the promoter region. PMID: 29542091
- the mean methylation values of the CpG sites studied in the MAOA gene were related to smoking behavior in women. Similarly, several methylation patterns in the MAOB gene were associated with a smoking history, with each CpG site showing a remarkable sex dependence. Smoking behavior seems to be related to the genetic and epigenetic profile of MAO genes, with considerable individual and sex-related differences PMID: 28858992
- The present study extends previous work in the field by demonstrating that MAOA and harsh parenting assessed in early childhood interact to not only predict antisocial behavior in early adulthood, but also predict social information processing, a well-established social-cognitive correlate of antisocial behavior. PMID: 28031080
- Study demonstrated a gene-hormone interaction both on a behavioral and neural level on risk-taking in young men. MAOA-S carriers showed attenuated automatic avoidance tendencies as reflected via response times on cash-outs. While under placebo MAOA-S and MAOA-L carriers did not differ concerning their riskiness during a risk task, testosterone administration promoted risk-taking in MAOA-S carriers. PMID: 28603901
- Findings underscore complex mechanisms linking genetic susceptibility and early adverse exposures. PMID: 28163169
- This study demonstrated that the MAOA-uVNTR genotypes did not show a significant association with ESS scores neither on women nor on men in patient with excessive daytime sleepiness. PMID: 28181067
- Depressive symptoms in schizophrenic patients may be influenced by functional gene polymorphisms, especially those implicated in serotonergic neurotransmission, sert, mao-a, and comt. PMID: 28416295
- This study extends earlier findings demonstrating an interaction between MAOA genotype and prenatal nicotine exposure on aggressive behavior into young adulthood. PMID: 27300740
- Anxiety and Mood were not related to the MAO-A gene polymorphisms in healthy, late reproductive-stage women. PMID: 27614969
- By examining criminal proceedings in which MAOA-L genotype evidence was introduced, we explored the forensic uses of behavioral genetic science. Westlaw and LexisNexis legal databases were electronically searched for cases from 1995 to 2016 to identify court documents from cases involving the MAOA-L genotype. Evidence of the MAOA-L genotype was included in records from 11 criminal cases (9 U.S. and 2 Italian). PMID: 27823806
- MAOA is a risk gene for psychiatric disorders. PMID: 26227907
- High MAOA expression is associated with glioma progression. PMID: 26871599
- The relationship between personality traits of postmenopausal women and the presence of the 44-bp VNTR polymorphism in the serotonin transporter (5-HTT) (SLC6A4) promoter region and the 30-bp VNTR polymorphism in the MAO-A promoter region was determined. PMID: 28670115
- Post-stroke fatigue may be associated with a genetic polymorphism involving MAO-A, at least in female stroke patients. PMID: 27866207
- Childhood trauma interacts with haplotypes in COMT, MAOA and MAOB, increasing risk for OCD. PMID: 27821364
- Among females, allelic analyses revealed associations between MAOA rs6323 A allele and higher Harm Avoidance in suicide attempters. Among males, MAOA rs909525 A allele was associated with higher Reward Dependence in suicide attempters. PMID: 28119174
- brain protein levels of MAOB are normal or elevated in the three parkinsonian conditions-with MAOB increase generally associated with elevations in levels of astrocyte markers. Brain MAOA concentrations were not decreased in Parkinson's disease, progressive supranuclear palsy , or multiple system atroph with the exception of the atrophic putamen in MSA, despite loss of dopamine neurons that presumably contain this enzyme PMID: 29050386
- MAOA and MAOB variants may contribute to the etiology of Attention deficit hyperactivity disorder (ADHD) in the Indo-Caucasoid population and could be responsible for higher occurrence of ADHD in the boys. PMID: 28982350
- Importance of MAOA and 5-HTTLPR polymorphisms in the treatment of spousal violence and drinking in men in batterer intervention programs. PMID: 27018532
- Polymorphisms of COMT (c.649G>A), MAO-A (c.1460C>T), NET (c.1287G>A) Genes and the Level of Catecholamines, Serotonin in Patients with Parkinson's Disease PMID: 28418735
- The influence of MAOA failed to reach statistical significance within any of the regression equations in predicting adult criminal behavior. PMID: 27160004
- MAOA provides tumor cell growth advantages in the bone microenvironment by stimulating interleukin-6 (IL6) release from osteoblasts, and triggers skeletal colonization by activating osteoclastogenesis through osteoblast production of RANKL and IL6. PMID: 28292438
- results highlight an association of ventral striatum MAO-A level with the functional connectivity of striatal regions linked to impulsive behavior in antisocial personality disorder PMID: 26908392
- No significant association was found between severe agitation and MAOA uVNTR or MAOB rs1799836 polymorphism, revealing that these individual polymorphisms in MAO genes are not related to severe agitation in subjects with schizophrenia and conduct disorder PMID: 26851573
- The effects of parenting on self-control and offending are most pronounced for those who carry plasticity alleles for both MAOA and DAT1. Thus, MAOA and DAT1 may be implicated in offending because they increase the negative effects of parenting on self-control. Implications for theory are discussed. PMID: 25326468
- These data suggest a close association between MAO-A-dependent reactive oxygen species generation, actin oxidation, and ventricular dysfunction. PMID: 28044091
- MAOs contribute to oxidative stress in human diseased hearts with/without diabetes mellitus. PMID: 27190576
- MAOA hypomethylation is a panic disorder risk marker. PMID: 27045843
- No statistically significant differences were found between cases and controls for the allele frequencies in five genes: TH, SLC18A2, DRD1, DRD3 and COMT. Conversely, some alleles of the 12 sNPs from the DRD2 locus and the 5 from the MAOA locus showed significant associations with excessive alcohol consumption. PMID: 26447226
- Aggressive behavior arising from childhood maltreatment is moderated by MAOA-VNTR, which may be differentially sensitive to the subtype of childhood maltreatment experienced, among Chinese adolescents PMID: 26945458
- In a sample of Chinese Han adolescents, MAOA and COMT genes both interacted with positive parenting in their associations with reactive but not proactive aggression. PMID: 26932718
- discussion of genetic and environmental factors involved in the regulation of MAO-A expression, in the contexts of neuropsychiatric function and of the regulation of neuronal survival and death (review). PMID: 25604428
- These findings suggest that the interaction of DRD2 rs1079597 and MAOA rs309850 3-repeat affects smoking intensity in young Taiwanese men. PMID: 26015071
- Polymorphisms in the monoamine oxidase A (MAOA) and catechol-O-methyltransferase (COMT) genes modify cognitive impairment and psychiatric symptoms in Huntington's disease patients. PMID: 26081309
- A functional promoter polymorphism, MAOA-LPR, plays a role in determining continuity of parent-rated attention problems during adolescence PMID: 26449393
- the association of SLC6A4 and MAOA genes with measures of obesity PMID: 26698543
- evidence of a moderating effect of the MAOA gene on antisocial outcomes in a population-based sample of young males; higher risks for antisocial outcomes were observed in males carrying the MAOA low-frequency alleles in comparison with high-frequency allele carriers for most outcomes when exposed to violence PMID: 26494873
- Results emphasize the importance of childhood as a sensitive period in which accumulating adversity might increase the vulnerability to externalizing psychopathology in MAOA-L males and MAOA-H females PMID: 25331606
- These results indicate a possible impact of the MAOA-promotor polymorphism on the neurobiological modulation of aggressive behavior PMID: 26481676
- Huntington disease neural cells exhibit increased Monoamine oxidase-A and Monoamine oxidases-B expression and activity PMID: 25398695
- Our study substantiates the involvement of the monoamine oxidase A and 5,10-methylenetetrahydrofolate reductase polymorphisms in climacteric depression. PMID: 26620113
- Study demonstrated lower brain MAO-A levels in antisocial personality disorder, support an important extension of preclinical models of impulsive aggression into a human disorder marked by pathological aggression and impulsivity PMID: 26081301
- These data support part of our hypothesis that NHLH2 or MAO-A polymorphism is associated with sedentary behavior. PMID: 26196864
- 5HTTLPR and uMAOA polymorphisms were not risk factors for depression. PMID: 26633268
- Report isolation of MOA-A inhibitors from Vernonia cinerea. PMID: 25857233
- The 3/3 genotype of the 30-bp VNTR polymorphism in the monoamine oxidase A promoter region does not contribute to the development of depressive symptoms in late-reproductive-age women. PMID: 25826396
- Lower spontaneous brain activity in the pons of the MAOA-L male adolescents may provide a neural mechanism by which boys with the MAOA-L genotype confers risk for impulsivity and aggression. PMID: 24971323
顯示更多
收起更多
-
相關疾病:Brunner syndrome (BRNRS)
-
亞細胞定位:Mitochondrion outer membrane; Single-pass type IV membrane protein; Cytoplasmic side.
-
蛋白家族:Flavin monoamine oxidase family
-
組織特異性:Heart, liver, duodenum, blood vessels and kidney.
-
數據庫鏈接:
Most popular with customers
-
-
YWHAB Recombinant Monoclonal Antibody
Applications: ELISA, WB, IHC, IF, FC
Species Reactivity: Human, Mouse, Rat
-
Phospho-YAP1 (S127) Recombinant Monoclonal Antibody
Applications: ELISA, WB, IHC
Species Reactivity: Human
-
-
-
-
-















