MYBBP1A Recombinant Monoclonal Antibody
-
中文名稱:MYBBP1A重組抗體
-
貨號:CSB-RA978157A0HU
-
規格:¥1320
-
圖片:
-
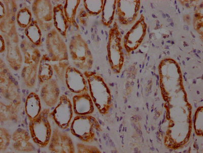
IHC image of CSB-RA978157A0HU diluted at 1:100 and staining in paraffin-embedded human kidney tissue performed on a Leica BondTM system. After dewaxing and hydration, antigen retrieval was mediated by high pressure in a citrate buffer (pH 6.0). Section was blocked with 10% normal goat serum 30min at RT. Then primary antibody (1% BSA) was incubated at 4℃ overnight. The primary is detected by a Goat anti-rabbit IgG polymer labeled by HRP and visualized using 0.05% DAB.
-
Immunofluorescence staining of HepG2 Cells with CSB-RA978157A0HU at 1:50, counter-stained with DAPI. The cells were fixed in 4% formaldehyde, permeated by 0.2% TritonX-100, and blocked in 10% normal Goat Serum. The cells were then incubated with the antibody overnight at 4℃. Nuclear DNA was labeled in blue with DAPI. The secondary antibody was FITC-conjugated AffiniPure Goat Anti-Rabbit IgG (H+L).
-
-
其他:
產品詳情
-
產品描述:CSB-RA978157A0HU MYBBP1A重組單克隆抗體是針對MYB結合蛋白1A靶點開發的高特異性科研試劑。該蛋白作為核仁應激響應因子,參與核糖體RNA生物合成及轉錄調控,與p53相互作用調控細胞周期進程,在腫瘤發生和細胞應激機制研究中具有重要價值。本抗體經ELISA、免疫組化(IHC)和免疫熒光(IF)等多平臺嚴格驗證,在IHC實驗中推薦使用1:50-1:200的稀釋比例,可清晰顯示組織切片中靶蛋白的亞細胞定位;IF實驗推薦1:20-1:200稀釋度,適用于細胞水平檢測核仁內MYBBP1A的動態分布。其高親和力和低交叉反應性特點,可有效支持蛋白質互作研究、核糖體生成調控機制探索以及腫瘤相關信號通路分析等基礎研究,為細胞增殖調控、DNA損傷應答和核仁功能研究提供可靠工具。
-
Uniprot No.:
-
基因名:MYBBP1A
-
別名:Myb-binding protein 1A, MYBBP1A, P160
-
反應種屬:Human
-
免疫原:A synthesized peptide derived from human MYBBP1A
-
免疫原種屬:Homo sapiens (Human)
-
標記方式:Non-conjugated
-
克隆類型:Monoclonal
-
抗體亞型:Rabbit IgG
-
純化方式:Affinity-chromatography
-
克隆號:3A1
-
濃度:It differs from different batches. Please contact us to confirm it.
-
保存緩沖液:Rabbit IgG in 10mM phosphate buffered saline , pH 7.4, 150mM sodium chloride, 0.05% BSA, 0.02% sodium azide and 50% glycerol.
-
產品提供形式:Liquid
-
應用范圍:ELISA, IHC, IF
-
推薦稀釋比:
Application Recommended Dilution IHC 1:50-1:200 IF 1:20-1:200 -
Protocols:
-
儲存條件:Upon receipt, store at -20°C or -80°C. Avoid repeated freeze.
-
貨期:Basically, we can dispatch the products out in 1-3 working days after receiving your orders. Delivery time maybe differs from different purchasing way or location, please kindly consult your local distributors for specific delivery time.
-
用途:For Research Use Only. Not for use in diagnostic or therapeutic procedures.
相關產品
靶點詳情
-
功能:May activate or repress transcription via interactions with sequence specific DNA-binding proteins. Repression may be mediated at least in part by histone deacetylase activity (HDAC activity). Acts as a corepressor and in concert with CRY1, represses the transcription of the core circadian clock component PER2. Preferentially binds to dimethylated histone H3 'Lys-9' (H3K9me2) on the PER2 promoter. Has a role in rRNA biogenesis together with PWP1.
-
基因功能參考文獻:
- The results indicated that both the heterozygous genotype GC and homozygous genotype CC in rs3809849 in MYBBP1A had significant effects on the risk of pulmonary tuberculosis, and heterozygous genotype CT in rs9061 in SP110 also had similar effects. PMID: 25612917
- We propose that the nucleolus functions as a stress sensor to modulate p53 protein levels and its acetylation status, determining cell fate between cell cycle arrest and apoptosis by regulating MYBBP1A translocation. PMID: 26044764
- MYBBP1A(low)AKT(Ser473)(high) staining pattern serves not only as a marker for the pre-senescent stage but also as an indicator of OPSCC patients at high risk for treatment failure. PMID: 25543088
- TPPII, MYBBP1A and CDK2 form a protein-protein interaction network. PMID: 25303791
- MYBBP1A functions to enhance p53 tetramerization that is necessary for p53 activation. PMID: 24375404
- Mybbp1a is a novel negative regulator of Sirt7. PMID: 24134843
- Regulators, including BCL11A, MYB, and KLF1, hold great promise to develop targeted and more effective approaches for HbF induction. PMID: 23209159
- MYBBP1A-p53 binding property can account for efficient p53-activation by MYBBP1A under nucleolar stress. Our results support the idea that MYBBP1A plays catalytic roles in p53 acetylation and activation PMID: 23583237
- Suggest that MYBBP1A is required for p53 activation during anoikis; therefore, it is involved in suppressing colony formation and the tumorigenesis of breast cancer cells. PMID: 23388179
- Data show that down-regulation of MYBBP1A decreases the growth rate of wild type mouse embryonic stem cells, embryo fibroblasts (MEFs) and of human HeLa cells, where it also promotes apoptosis. PMID: 23056166
- Study suggests that a combination of SP110 and MYBBP1A gene polymorphisms may serve as a novel marker for identifying the risk of developing TB in the Chinese Han population. PMID: 23129390
- Results from our present work reveal a previously unrecognized co-repressor role of Mybbp1a in rRNA expression. PMID: 22686419
- Mybbp1a may play a dual role in the rRNA metabolism, potentially linking and coordinating ribosomal DNA transcription and pre-rRNA processing to allow for the efficient synthesis of ribosomes. PMID: 22645127
- We provide experimental evidence that MYBBP1A is an important molecular switch in the regulation of tumor cell proliferation versus migration in head and neck squamous cell carcinoma cells. PMID: 22339894
- When rRNA transcription was suppressed by nucleolar stress, MYBBP1A translocated to the nucleoplasm and facilitated p53-p300 interaction to enhance p53 acetylation. PMID: 21297583
- identified MYBBP1A as a novel Aurora B substrate and serine 1303 as the major phosphorylation site PMID: 20177074
- Myb-binding protein 1a was identified in anti-SMN pulldowns as interacting with SMN proteins. PMID: 19928837
- These results indicate that MYBBP1a is a novel NF-kappaB co-repressor of transcription that competes with p300 and may function to regulate cell type specific genes. PMID: 17196614
- Expression of Ets-2, SRC-1 and c-Myc individually are all associated with reduced disease-free survival in breast cancer PMID: 18059336
- SRC-1 is a strong independent predictor of reduced disease free survival, whereas the interactions of the p160 proteins with estrogen receptor alpha can predict the response of patients to endocrine treatment. PMID: 19276281
顯示更多
收起更多
-
亞細胞定位:Cytoplasm. Nucleus. Nucleus, nucleolus.
-
數據庫鏈接:
Most popular with customers
-
-
YWHAB Recombinant Monoclonal Antibody
Applications: ELISA, WB, IHC, IF, FC
Species Reactivity: Human, Mouse, Rat
-
Phospho-YAP1 (S127) Recombinant Monoclonal Antibody
Applications: ELISA, WB, IHC
Species Reactivity: Human
-
-
-
-
-















