PTBP1 Recombinant Monoclonal Antibody
-
中文名稱:PTBP1重組抗體
-
貨號:CSB-RA987652A0HU
-
規格:¥1320
-
圖片:
-
Western Blot
Positive WB detected in: Hela whole cell lysate, HepG2 whole cell lysate, PC-3 whole cell lysate, K562 whole cell lysate, HL-60 whole cell lysate, MCF-7 whole cell lysate, Jurkat whole cell lysate
All lanes: PTBP1 antibody at 1:1000
Secondary
Goat polyclonal to rabbit IgG at 1/50000 dilution
Predicted band size: 58, 60, 60 kDa
Observed band size: 58 kDa -
IHC image of CSB-RA987652A0HU diluted at 1:100 and staining in paraffin-embedded human breast cancer performed on a Leica BondTM system. After dewaxing and hydration, antigen retrieval was mediated by high pressure in a citrate buffer (pH 6.0). Section was blocked with 10% normal goat serum 30min at RT. Then primary antibody (1% BSA) was incubated at 4℃ overnight. The primary is detected by a Goat anti-rabbit IgG polymer labeled by HRP and visualized using 0.05% DAB.
-
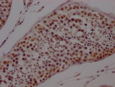
IHC image of CSB-RA987652A0HU diluted at 1:100 and staining in paraffin-embedded human testis tissue performed on a Leica BondTM system. After dewaxing and hydration, antigen retrieval was mediated by high pressure in a citrate buffer (pH 6.0). Section was blocked with 10% normal goat serum 30min at RT. Then primary antibody (1% BSA) was incubated at 4℃ overnight. The primary is detected by a Goat anti-rabbit IgG polymer labeled by HRP and visualized using 0.05% DAB.
-
-
其他:
產品詳情
-
產品描述:PTBP1重組單克隆抗體(CSB-RA987652A0HU)是針對RNA結合蛋白PTBP1(多聚嘧啶區結合蛋白1)開發的高特異性科研工具。PTBP1作為調控RNA剪接、穩定性和翻譯的關鍵因子,在細胞分化、腫瘤進展及代謝重編程等生物學過程中發揮重要作用。本抗體經多種實驗驗證:在Western Blot(WB)中可特異性識別內源性PTBP1蛋白,推薦工作稀釋度為1:500-1:5000,檢測條帶清晰且背景低;在免疫組化(IHC)應用中能精準定位PTBP1的亞細胞分布,推薦使用稀釋度為1:50-1:200,染色結果具有高組織特異性。該重組單克隆抗體采用哺乳動物表達系統制備,具備批次間高度一致性,適用于RNA代謝研究、腫瘤發生機制探索以及神經發育相關研究等科研領域。其優異的性能可滿足復雜樣本(如細胞裂解液、石蠟包埋組織切片)的檢測需求,為揭示PTBP1在基因表達調控網絡中的功能提供可靠工具。
-
Uniprot No.:
-
基因名:PTBP1
-
別名:Polypyrimidine tract-binding protein 1 (PTB) (57 kDa RNA-binding protein PPTB-1) (Heterogeneous nuclear ribonucleoprotein I) (hnRNP I), PTBP1, PTB
-
反應種屬:Human
-
免疫原:A synthesized peptide derived from human PTBP1
-
免疫原種屬:Homo sapiens (Human)
-
標記方式:Non-conjugated
-
克隆類型:Monoclonal
-
抗體亞型:Rabbit IgG
-
純化方式:Affinity-chromatography
-
克隆號:8A1
-
濃度:It differs from different batches. Please contact us to confirm it.
-
保存緩沖液:Rabbit IgG in 10mM phosphate buffered saline , pH 7.4, 150mM sodium chloride, 0.05% BSA, 0.02% sodium azide and 50% glycerol.
-
產品提供形式:Liquid
-
應用范圍:ELISA, WB, IHC
-
推薦稀釋比:
Application Recommended Dilution WB 1:500-1:5000 IHC 1:50-1:200 -
Protocols:
-
儲存條件:Upon receipt, store at -20°C or -80°C. Avoid repeated freeze.
-
貨期:Basically, we can dispatch the products out in 1-3 working days after receiving your orders. Delivery time maybe differs from different purchasing way or location, please kindly consult your local distributors for specific delivery time.
-
用途:For Research Use Only. Not for use in diagnostic or therapeutic procedures.
相關產品
靶點詳情
-
功能:Plays a role in pre-mRNA splicing and in the regulation of alternative splicing events. Activates exon skipping of its own pre-mRNA during muscle cell differentiation. Binds to the polypyrimidine tract of introns. May promote RNA looping when bound to two separate polypyrimidine tracts in the same pre-mRNA. May promote the binding of U2 snRNP to pre-mRNA. Cooperates with RAVER1 to modulate switching between mutually exclusive exons during maturation of the TPM1 pre-mRNA. Represses the splicing of MAPT/Tau exon 10. In case of infection by picornaviruses, binds to the viral internal ribosome entry site (IRES) and stimulates the IRES-mediated translation.
-
基因功能參考文獻:
- experimental analysis of specimens from 3 different brain tumor groups and 1 reactive gliosis group indicates the feasibility of using anti-PTBP1 antibody in diagnostic neuropathology, and computerized image analysis provides a systematic and quantitative approach to explore feasibility PMID: 28024117
- study provides evidence for the role of PTB in keloid pathophysiology and offers a novel therapeutic target for keloids. Most importantly, the role TGF-beta1 regulation of PTB may provide new insights into the mechanisms underlying inflammatory cytokine-induced fibrosis. PMID: 27897224
- the study revealed that PTBP1 facilitates colorectal cancer migration and invasion activities by inclusion of cortactin exon 11 PMID: 28404950
- Results showed the expression level of PTBP1 were increased in bladder cancer (BC) patients and that its expression is negatively regulated by MIR-145. PMID: 28380435
- PTBP1 is a novel regulator of MCL1 mRNA by which it controls apoptotic response to antitubulin chemotherapeutics. PMID: 27367564
- PTB interacts specifically with 3'UTR of p53 mRNA and positively regulates expression of p53 isoforms. PTB showed some overlapping binding regions in the p53 3'UTR with miR-1285. Knockdown of miR-1285 as well as expression of p53 3'UTR with mutated miR-1285 binding sites resulted in enhanced association of PTB with the 3'UTR, which provides mechanistic insights of this interplay. PMID: 28973454
- It has been established that PTBP1 and PTBP2 are members of a family of cryptic exon repressors. PMID: 27681424
- These results demonstrate that during early stages of splicing, exon RNP complexes are highly dynamic with many proteins failing to bind during PTBP1 arrest. PMID: 27882870
- Studied interactions of polypyrimidine tract-binding protein (PTBP1), pyruvate kinase M2 (PKM2), and STAT3 (signal transducer and activator of transcription 3) in oncogenesis of anaplastic large cell lymphoma (ALCL). Results show that in ALCL cells, PTBP1 is crucial for PKM2 phosphorylation of STAT3 in the nucleus. PMID: 28414323
- Expression of ATG10 negatively regulated by PTBP1 and is associated with metastasis of colorectal cancer cells. PMID: 27836735
- Polypyrimidine tract binding protein (PTBP1) is a heterogeneous nuclear ribonucleoprotein (hnRNP) that plays roles in most stages of the life-cycle of pre-mRNA and mRNAs in the nucleus and cytoplasm. PMID: 27528752
- follow-up molecular analyses of one splicing factor PTBP1 revealed its impact on disease-associated splicing patterns in Huntington's disease (HD). Collectively, our data provide genomic evidence for widespread splicing dysregulation in HD brains, and suggest the role of aberrant alternative splicing in the pathogenesis of HD PMID: 27378699
- CD5 transcription is increased, leading to the production of three mRNA isoforms by APA, all contributing for protein production, at different levels. PTBP1 binds in the vicinity of pA1, leading to an increase in mRNA levels and miR-204 targets the longer CD5 mRNA. PMID: 27005442
- Increased expression of microRNA miR-145 combined with knockdown of PTBP1 protein contributed to the greater and longer growth suppression compared with each single treatment. PMID: 28106737
- MiR-133b switched the PKM isoform expression from PKM2 to PKM1 through the silencing of PTBP1, which is an alternative splicer of PKM, leading to growth suppression through the induction of autophagy in part by the metabolic switching from glycolysis to oxidative phosphorylation for a short period of time. PMID: 27696637
- Results suggested that PTBP1 and PTBP1-associated miR-1 and -133b are crucial molecules for the maintenance of the Warburg effect in colorectal tumors. PMID: 26980745
- The polypyrimidine tract binding protein 1 (PTBP1) shields specific retroviral and cellular transcripts from nonsense-mediated mRNA decay. PMID: 26744779
- findings point to PKM2 and PTBP1 as new potential therapeutic targets to improve response of PDAC to chemotherapy PMID: 26234680
- PTBP1 and PTBP2 impaired autoregulation of SRSF3 in oral squamous cell carcinoma cancer cells. PMID: 26416554
- Results suggest that the role of polypyrimidine tract binding protein 1 (PTBP1) in tumorigenesis may be partly mediated by its regulation of cdc42 GTP-binding protein (CDC42) alternative splicing and CDC42-v2 might function as a tumor suppressor. PMID: 26336992
- Data indicate that polypyrimidine tract-binding protein (PTBP1) is preferentially overexpressed in clinical colorectal cancers PMID: 25904505
- PTB/hnRNP1 binds to the 3'UTR of Human Astrovirus-8 and is required or participates in viral replication. PMID: 25406089
- Data show that the protein levels of polypyrimidine tract binding protein 1 (PTBP1) and adenosine deaminase RNA-specific binding protein ADAR1 were cooperatively expressed in glioma tissues and cells. PMID: 26047657
- Organ-specific PTB1-associated microRNAs determine expression of pyruvate kinase isoforms PMID: 25721733
- HUR competes with the host protein PTB, which is a negative regulator of hepatitis C virus replication. PMID: 26339049
- protein knockdown enhances neurogenesis PMID: 25800779
- RBFOX proteins can facilitate the splicing of micro-exons. We also found that PTBP1 likely regulates the inclusion of micro-exons, possibly by repressing the inclusion of micro-exons that are enhanced by RBFOX proteins and other splicing factors. PMID: 25524026
- ABLIM1 splicing is regulated by several splice factors, including MBNL family proteins, CELF1, 2 and 6, and PTBP1, using a cellular splicing assay. PMID: 25403273
- Suggest that miR-124 acts as a tumor-suppressor and a modulator of energy metabolism through a PTB1/PKM1/PKM2 feedback cascade in human colorectal tumor cells. PMID: 25818238
- impact of PTBP1 rs11085226 on glucose-stimulated insulin release PMID: 25927630
- IL-7 elevates miR-124 to decrease the expression of splicing regulator PTB and represses CD95 mRNA splicing. PMID: 25411246
- PTBP1 and hnRNP C repress exon 3 inclusion, and that downregulation of PTBP1 inhibited BIM-mediated apoptosis. PMID: 24743263
- Polypyrimidine tract-binding protein function is controlled by a set of co-recruited proteins and importantly provide further evidence that it is possible to dictate cell fate by modulating cytoplasmic gene expression pathways alone. PMID: 24141718
- PCBP2 and PTB are differentially cleaved by human rhinovirus proteinase in infected cells. PMID: 24418535
- PTBP1 regulates the alternative splicing of dopamine D2 receptor. PMID: 21054383
- Study reports that repression of a single RNA binding polypyrimidine-tract-binding (PTB) protein, which occurs during normal brain development via the action of miR-124, is sufficient to induce trans-differentiation of fibroblasts into functional neurons. PMID: 23313552
- conclude that common genetic variation in PTBP1 influences glucose-stimulated insulin secretion. This underlines the importance of PTBP1 for beta cell function in vivo PMID: 23077502
- Production of the USP5 isoform 2 was strongly correlated with PTBP1 expression in glioblastoma tumor samples and cell lines. PMID: 21976412
- Polypyrimidine tract binding protein (hnRNP I) is possibly a conserved modulator of miRNA-mediated gene regulation. PMID: 22427970
- PTB depletion in the dorsal telencephalon is causally involved in the development of hydrocephalus. And PTB is important for the maintenance of Adherens Junctions in the neural stem cells of the dorsal telencephalon. PMID: 22705452
- The defective splicing caused by the ISCU intron mutation in patients with myopathy with lactic acidosis is repressed by PTBP1 but can be derepressed by IGF2BP1. PMID: 22125086
- PTB is shown to bind an exonic splicing silencer element and repress alternative splicing of FADS2 PMID: 21980057
- RBM4 may synergize its effect on muscle cell-specific alternative splicing by down-regulating PTB expression and antagonizing the activity of PTB in exon selection PMID: 21518792
- Silencing the expression of PTB with small interfering RNA in two cell lines (Huh7 and HEK 293T) led to a significant increase of up to 4-fold in mRNA levels and virus titer, indicating a negative effect of PTB on coronavirus RNA accumulation. PMID: 21411518
- U1 snRNA directly interacts with polypyrimidine tract-binding protein during splicing repression PMID: 21362553
- Differentially modified PTB regulates CD40L expression at multiple steps by retaining CD40L mRNA in the nucleus, directly regulating mRNA stability at late times of activation, and forming a ribonuclear complex. PMID: 21242519
- The combined results suggest that 3C-mediated cleavage of PTB might be involved in down-regulation of viral translation to give way to subsequent viral genome replication. PMID: 19889140
- a strong correlation between the expression of PTB-1, YB-1 and c-myc in multiple myeloma-derived cell lines PMID: 20190818
- It appears that the polypyrimidine tract-binding protein might help in circularization of the coxsackievirus B3 RNA by bridging the ends necessary for efficient translation of the viral RNA. PMID: 20071487
- The slow backbone dynamics of PTB1:34, induced by packing of (RNA recognition motifs) RRM3 and RRM4, could be essential for high-affinity binding to a flexible polypyrimidine tract RNA and also provide entropic compensation for its own formation. PMID: 20080103
顯示更多
收起更多
-
亞細胞定位:Nucleus.
-
數據庫鏈接:
Most popular with customers
-
-
YWHAB Recombinant Monoclonal Antibody
Applications: ELISA, WB, IHC, IF, FC
Species Reactivity: Human, Mouse, Rat
-
Phospho-YAP1 (S127) Recombinant Monoclonal Antibody
Applications: ELISA, WB, IHC
Species Reactivity: Human
-
-
-
-
-















