Phospho-RPS6KA5 (S376) Recombinant Monoclonal Antibody
-
中文名稱:磷酸化-RPS6KA5 (S376)重組抗體
-
貨號:CSB-RA020468A376phHU
-
規格:¥1320
-
圖片:
-
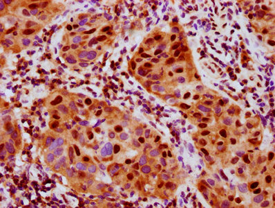
IHC image of CSB-RA020468A376phHU diluted at 1:100 and staining in paraffin-embedded human bladder cancer performed on a Leica BondTM system. After dewaxing and hydration, antigen retrieval was mediated by high pressure in a citrate buffer (pH 6.0). Section was blocked with 10% normal goat serum 30min at RT. Then primary antibody (1% BSA) was incubated at 4℃ overnight. The primary is detected by a biotinylated secondary antibody and visualized using an HRP conjugated SP system.
-
-
其他:
產品詳情
-
產品描述:Phospho-RPS6KA5 (S376) Recombinant Monoclonal Antibody(Code: CSB-RA020468A376phHU)是一種高特異性抗體,靶向絲氨酸376位點磷酸化修飾的RPS6KA5蛋白(亦稱MSK1)。RPS6KA5是絲裂原和應激激活蛋白激酶家族成員,通過調控轉錄因子(如CREB和NF-κB)參與細胞增殖、存活及炎癥反應等重要生物學過程。該抗體采用重組單克隆技術制備,經ELISA和免疫組化(IHC)嚴格驗證,在IHC應用中推薦使用1:50-1:200稀釋比例,可清晰檢測石蠟包埋組織或細胞樣本中目標蛋白的磷酸化狀態。實驗數據顯示,該抗體能特異性識別內源性磷酸化RPS6KA5,無交叉反應性,適用于研究生長因子、激素或應激信號誘導的RPS6KA5激活機制,也可用于探索其在癌癥、免疫調控等病理模型中的功能。其重組單克隆特性確保了批次間的高度一致性,為磷酸化信號通路研究提供可靠工具,尤其適用于復雜組織微環境中蛋白活性變化的定位分析。
-
Uniprot No.:
-
基因名:
-
別名:90 kDa ribosomal protein S6 kinase 5 antibody; EC 2.7.11.1 antibody; KS6A5_HUMAN antibody; MGC1911 antibody; Mitogen and stress activated protein kinase 1 antibody; MSPK1 antibody; Nuclear Mitogen And Stress Activated Protein Kinase 1 antibody; Nuclear mitogen- and stress-activated protein kinase 1 antibody; Ribosomal protein S6 kinase 90kD polypeptide 5 antibody; Ribosomal protein S6 kinase 90kDa antibody; Ribosomal protein S6 kinase 90kDa polypeptide 5 antibody; Ribosomal Protein S6 Kinase Alpha 5 antibody; Ribosomal protein S6 kinase alpha-5 antibody; RLPK antibody; RPS6KA5 antibody; RSK Like Protein Kinase antibody; RSK-like protein kinase antibody; RSKL antibody; S6K alpha 5 antibody; S6K-alpha-5 antibody
-
反應種屬:Human
-
免疫原:A synthesized peptide derived from Human Phospho-RPS6KA5 (S376)
-
免疫原種屬:Homo sapiens (Human)
-
標記方式:Non-conjugated
-
克隆類型:Monoclonal
-
抗體亞型:Rabbit IgG
-
純化方式:Affinity-chromatography
-
克隆號:2F3
-
濃度:It differs from different batches. Please contact us to confirm it.
-
保存緩沖液:Rabbit IgG in 10mM phosphate buffered saline , pH 7.4, 150mM sodium chloride, 0.05% BSA, 0.02% sodium azide and 50% glycerol.
-
產品提供形式:Liquid
-
應用范圍:ELISA, IHC
-
推薦稀釋比:
Application Recommended Dilution IHC 1:50-1:200 -
Protocols:
-
儲存條件:Upon receipt, store at -20°C or -80°C. Avoid repeated freeze.
-
貨期:Basically, we can dispatch the products out in 1-3 working days after receiving your orders. Delivery time maybe differs from different purchasing way or location, please kindly consult your local distributors for specific delivery time.
-
用途:For Research Use Only. Not for use in diagnostic or therapeutic procedures.
相關產品
靶點詳情
-
功能:Serine/threonine-protein kinase that is required for the mitogen or stress-induced phosphorylation of the transcription factors CREB1 and ATF1 and for the regulation of the transcription factors RELA, STAT3 and ETV1/ER81, and that contributes to gene activation by histone phosphorylation and functions in the regulation of inflammatory genes. Phosphorylates CREB1 and ATF1 in response to mitogenic or stress stimuli such as UV-C irradiation, epidermal growth factor (EGF) and anisomycin. Plays an essential role in the control of RELA transcriptional activity in response to TNF and upon glucocorticoid, associates in the cytoplasm with the glucocorticoid receptor NR3C1 and contributes to RELA inhibition and repression of inflammatory gene expression. In skeletal myoblasts is required for phosphorylation of RELA at 'Ser-276' during oxidative stress. In erythropoietin-stimulated cells, is necessary for the 'Ser-727' phosphorylation of STAT3 and regulation of its transcriptional potential. Phosphorylates ETV1/ER81 at 'Ser-191' and 'Ser-216', and thereby regulates its ability to stimulate transcription, which may be important during development and breast tumor formation. Directly represses transcription via phosphorylation of 'Ser-1' of histone H2A. Phosphorylates 'Ser-10' of histone H3 in response to mitogenics, stress stimuli and EGF, which results in the transcriptional activation of several immediate early genes, including proto-oncogenes c-fos/FOS and c-jun/JUN. May also phosphorylate 'Ser-28' of histone H3. Mediates the mitogen- and stress-induced phosphorylation of high mobility group protein 1 (HMGN1/HMG14). In lipopolysaccharide-stimulated primary macrophages, acts downstream of the Toll-like receptor TLR4 to limit the production of pro-inflammatory cytokines. Functions probably by inducing transcription of the MAP kinase phosphatase DUSP1 and the anti-inflammatory cytokine interleukin 10 (IL10), via CREB1 and ATF1 transcription factors. Plays a role in neuronal cell death by mediating the downstream effects of excitotoxic injury. Phosphorylates TRIM7 at 'Ser-107' in response to growth factor signaling via the MEK/ERK pathway, thereby stimulating its ubiquitin ligase activity.
-
基因功能參考文獻:
- MSK1 was overexpressed in 148 out of 329 colorectal cancer (CRC) patients. CRC patients with high MSK1 expression had shorter overall survival than those with low MSK1, especially among patients with stage III tumors. Overexpression of MSK1 is associated with poor prognosis in CRC and is connected to tumor aggressiveness. PMID: 28314603
- High MSK1 is associated with improved breast cancer-specific survival in early stage invasive breast cancer patients, and has additional prognostic value in HER2-negative and non-basal like disease. PMID: 29327245
- Our findings indicate that MSK1/beta-catenin signaling serves as an escape survival signal upon PI3K inhibition and provides a strong rationale for the combined use of PI3K and MSK1/beta-catenin inhibition to induce lethal growth inhibition in human GBM cells. PMID: 27196759
- Results show that MSK1 phosphorylates H3S10 through p38-MAPK pathway in gastric cancer patients. PMID: 27588146
- Interrupting MSK1 activation is a new target for antioxidants. PMID: 26030901
- Increased MSK1 activity is critically important for Epstein-Barr virus LMP1-promoted cell proliferation and transformation. PMID: 25958199
- Authors conclude that paramyxoviruses trigger the DNA damage response, a pathway required for MSK1 activation of phospho Ser 276 RelA formation to trigger the IRF7-RIG-I amplification loop necessary for mucosal interferon production. PMID: 25520509
- These results highlight the relevance of MSK1 in the up-regulation of RARbeta by prostaglandin E2. PMID: 24953041
- MSK1 plays an important role for hormone-dependent breast cancer growth PMID: 23604116
- Angiopoietin 2-mediated signaling via survivin/ref-1/MSK-1 pathway promotes doxorubicin resistance in HepG2 cells. PMID: 23643942
- Astaxanthin attenuates the UVB-induced secretion of prostaglandin E2 and interleukin-8 in human keratinocytes by interrupting MSK1 phosphorylation in a ROS depletion-independent manner PMID: 22626465
- MSK1 is an important downstream kinase involved in CS-induced NF-kappaB activation PMID: 22312446
- MSK1 is a direct and potent transcriptional activator when targeted to c-fos promotor, and when targeted to alpha-globin promoter induces H3 S28 phosphorylation reactivating expression of this polycomb-silenced gene. PMID: 21282660
- In this study, by applying a novel method, we have identified the phosphorylation sites in human MSK1 mitogen- and stress-activated protein kinase 1, and show that MRK-beta could also activate MSK1 through direct interaction. PMID: 20408143
- MiR-148a attenuates paclitaxel resistance of hormone-refractory, drug-resistant prostate cancer PC3 cells by regulating MSK1 expression PMID: 20406806
- Bile acid regulates MUC2 transcription in colon cancer cells via positive EGFR/PKC/Ras/ERK/CREB, PI3K/Akt/IkappaB/NF-kappaB and p38/MSK1/CREB pathways and negative JNK/c-Jun/AP-1 pathway. PMID: 20198339
- The MSK1 can be phosphorylated and activated in cells by both ERK1/2 and p38alpha. PMID: 20044958
- Data provide evidence that p38 Map kinase pathway is activated leading to increased upregulation of mixed lineage kinase 3, MKK3/6, MSK1, and Mapkapk2, upon treatment of BCR/ABL expressing cells with dasatinib. PMID: 19672773
- IL1beta and TNFalpha activation of MSK1 and CREB and cAMP-response element signaling cascades occurs via ERK/p38 MAP kinases and are crucial aspects of the intracellular mechanisms that mediate MUC5AC gene expression PMID: 12690113
- acetylation of histones may stimulate transcription by suppressing an inhibitory phosphorylation by MSK1 PMID: 15010469
- MSK1 has a role in transforming growth factor-beta-mediated responses through p38alpha and Smad signaling pathways PMID: 15133024
- essential role of the C-terminal domain of MSK1 for its constitutive interaction with group V secretory phospholipase A(2), which appears essential to support VEGF-mediated PAF synthesis PMID: 16479592
- Plays a positive role in the control of cell proliferation of both HaCaT keratinocytes and the A431 human epidermoid carcinoma line. PMID: 16532028
- As MSK1 regulates the production of pro-inflammatory cytokines, it may play a role in the pathogenesis of psoriasis. PMID: 16543895
- MSK1 has a role downstream of p38 in the regulation of As2O3 responses PMID: 16762916
- Thr700 phosphorylation relieves the inhibition of MSK1 by a C-terminal autoinhibitory helix and helps induce a conformational shift that protects Thr581 from dephosphorylation PMID: 17117922
- the induction of inflammatory genes by farnesol is mediated by the activation of the NF-kappaB pathway and involves MEK1/2-ERK1/2-MSK1-dependent phosphorylation of p65/RelA(Ser(276)) PMID: 18424438
- This study provides therefore a direct link between MSK1-mediated phosphorylation of Ser276 p65 of NF-kappaB, allowing its binding to the SCF intronic enhancer, and pathophysiological SCF expression in inflammation. PMID: 19197368
- IL-17F may be involved in airway inflammation and remodeling via the induction of IL-11, and RafI-MEK1/2-ERK1/2-MSK1-CREB is identified as a novel signaling pathway. PMID: 19251839
- Data reveal that TPA activates transcription of TBX2 through activating MSK1, which leads to an increase in phosphorylated histone H3 and the recruitment of Sp1 to the TBX2 gene. PMID: 19633291
- We conclude that RSV induces RelA activation in the innate inflammatory response via a pathway separate from that controlling RelA cytoplasmic release, mediated by ROS signaling to cytoplasmic MSK1 activation and RelA Ser-276 phosphorylation. PMID: 19706715
顯示更多
收起更多
-
亞細胞定位:Nucleus. Cytoplasm. Note=Predominantly nuclear. Exported into cytoplasm in response to glucocorticoid.
-
蛋白家族:Protein kinase superfamily, AGC Ser/Thr protein kinase family, S6 kinase subfamily
-
組織特異性:Widely expressed with high levels in heart, brain and placenta. Less abundant in lung, kidney and liver.
-
數據庫鏈接:
Most popular with customers
-
-
YWHAB Recombinant Monoclonal Antibody
Applications: ELISA, WB, IHC, IF, FC
Species Reactivity: Human, Mouse, Rat
-
Phospho-YAP1 (S127) Recombinant Monoclonal Antibody
Applications: ELISA, WB, IHC
Species Reactivity: Human
-
-
-
-
-















