RBBP4 Recombinant Monoclonal Antibody
-
中文名稱:RBBP4重組抗體
-
貨號:CSB-RA915915A0HU
-
規格:¥1320
-
圖片:
-
Western Blot
Positive WB detected in: Hela whole cell lysate, K562 whole cell lysate, HepG2 whole cell lysate, HEK293 whole cell lysate, L02 whole cell lysate, Jurkat whole cell lysate, SH-SY5Y whole cell lysate, Mouse Brain whole cell lysate, Rat Brain cell lysate
All lanes: RbAp48 antibody at 1:1000
Secondary
Goat polyclonal to rabbit IgG at 1/50000 dilution
Predicted band size: 48, 48, 47, 44 kDa
Observed band size: 53, 40 kDa -
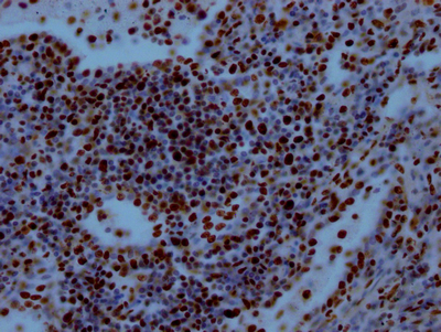
IHC image of CSB-RA915915A0HU diluted at 1:100 and staining in paraffin-embedded human breast cancer performed on a Leica BondTM system. After dewaxing and hydration, antigen retrieval was mediated by high pressure in a citrate buffer (pH 6.0). Section was blocked with 10% normal goat serum 30min at RT. Then primary antibody (1% BSA) was incubated at 4℃ overnight. The primary is detected by a Goat anti-rabbit IgG polymer labeled by HRP and visualized using 0.05% DAB.
-
IHC image of CSB-RA915915A0HU diluted at 1:100 and staining in paraffin-embedded human lung tissue performed on a Leica BondTM system. After dewaxing and hydration, antigen retrieval was mediated by high pressure in a citrate buffer (pH 6.0). Section was blocked with 10% normal goat serum 30min at RT. Then primary antibody (1% BSA) was incubated at 4℃ overnight. The primary is detected by a Goat anti-rabbit IgG polymer labeled by HRP and visualized using 0.05% DAB.
-
Immunofluorescence staining of Hela Cells with CSB-RA915915A0HU at 1:50, counter-stained with DAPI. The cells were fixed in 4% formaldehyde, permeated by 0.2% TritonX-100, and blocked in 10% normal Goat Serum. The cells were then incubated with the antibody overnight at 4℃. Nuclear DNA was labeled in blue with DAPI. The secondary antibody was FITC-conjugated AffiniPure Goat Anti-Rabbit IgG (H+L).
-
-
其他:
產品詳情
-
產品描述:CSB-RA915915A0HU RBBP4重組單克隆抗體是針對染色質調控關鍵因子RBBP4研發的高特異性科研工具。該抗體靶向的視網膜母細胞瘤結合蛋白4(RBBP4)是WD40家族成員,作為NuRD、PRC2等表觀遺傳復合體的核心組分,在組蛋白修飾、基因沉默調控及細胞周期進程中發揮重要作用。本產品經多平臺嚴格驗證,在Western Blot中展現清晰的單一特異性條帶,推薦使用1:500-1:5000稀釋比例;免疫組化(IHC)實驗顯示優異組織定位能力,適用1:50-1:200稀釋范圍;免疫熒光(IF)檢測推薦1:20-1:200稀釋度,可實現精準亞細胞定位。其卓越的批間一致性確保實驗可重復性,適用于細胞裂解液、冰凍/石蠟切片等多種樣本類型。研究者可將其應用于表觀遺傳機制研究、腫瘤發生發展相關通路探索、干細胞分化調控分析等前沿領域,特別在染色質重塑復合體功能解析、細胞周期相關蛋白互作研究中具有重要價值,為體外分子機制研究提供可靠檢測工具。
-
Uniprot No.:
-
基因名:
-
別名:Histone-binding protein RBBP4 (Chromatin assembly factor 1 subunit C) (CAF-1 subunit C) (Chromatin assembly factor I p48 subunit) (CAF-I 48 kDa subunit) (CAF-I p48) (Nucleosome-remodeling factor subunit RBAP48) (Retinoblastoma-binding protein 4) (RBBP-4) (Retinoblastoma-binding protein p48), RBBP4, RBAP48
-
反應種屬:Human, Mouse, Rat
-
免疫原:A synthesized peptide derived from human RbAp48
-
免疫原種屬:Homo sapiens (Human)
-
標記方式:Non-conjugated
-
克隆類型:Monoclonal
-
抗體亞型:Rabbit IgG
-
純化方式:Affinity-chromatography
-
克隆號:3E9
-
濃度:It differs from different batches. Please contact us to confirm it.
-
保存緩沖液:Rabbit IgG in 10mM phosphate buffered saline , pH 7.4, 150mM sodium chloride, 0.05% BSA, 0.02% sodium azide and 50% glycerol.
-
產品提供形式:Liquid
-
應用范圍:ELISA, WB, IHC, IF
-
推薦稀釋比:
Application Recommended Dilution WB 1:500-1:5000 IHC 1:50-1:200 IF 1:20-1:200 -
Protocols:
-
儲存條件:Upon receipt, store at -20°C or -80°C. Avoid repeated freeze.
-
貨期:Basically, we can dispatch the products out in 1-3 working days after receiving your orders. Delivery time maybe differs from different purchasing way or location, please kindly consult your local distributors for specific delivery time.
-
用途:For Research Use Only. Not for use in diagnostic or therapeutic procedures.
相關產品
靶點詳情
-
功能:Core histone-binding subunit that may target chromatin assembly factors, chromatin remodeling factors and histone deacetylases to their histone substrates in a manner that is regulated by nucleosomal DNA. Component of several complexes which regulate chromatin metabolism. These include the chromatin assembly factor 1 (CAF-1) complex, which is required for chromatin assembly following DNA replication and DNA repair; the core histone deacetylase (HDAC) complex, which promotes histone deacetylation and consequent transcriptional repression; the nucleosome remodeling and histone deacetylase complex (the NuRD complex), which promotes transcriptional repression by histone deacetylation and nucleosome remodeling; the PRC2 complex, which promotes repression of homeotic genes during development; and the NURF (nucleosome remodeling factor) complex.
-
基因功能參考文獻:
- ARMC12 promotes neuroblastoma progression through interaction with RBBP4. PMID: 30026490
- BCL11A interacts with histone methyltransferase (PRC2) and histone deacetylase (NuRD and SIN3A) complexes through their common subunit, RBBP4/7. PMID: 29263092
- RBAP48 overexpression contributes to the radiosensitivity of AGS gastric cancer cells via phosphoinositide3-kinase/protein kinase B pathway suppression. PMID: 29901205
- The MTA1 subunit of the nucleosome remodeling and deacetylase complex can recruit two copies of RBBP4/RBBP7. PMID: 27144666
- RbAp48 is likely to act as a potent antiretroviral defense. PMID: 27222146
- The crystal structure reveals an extensive interface between MTA1 and RBBP4. PMID: 27098840
- RBBP4 interacts with ep300 protein to form a complex that drives the expression of methylguanine-DNA-methyltransferase , RAD51, and other selected DNA repair genes through histone acetylation. PMID: 26972001
- RbAp48 was identified as critical in the proliferation of hypopharyngeal carcinoma in both in vitro and in vivo experiments. PMID: 26376479
- RBBP4 functions as a novel regulatory factor to increase the efficiency of importin alpha/beta-mediated nuclear import PMID: 26491019
- It is associated with episodic memory performance. PMID: 25150575
- Our RBBP4-PHF6 complex structure provides insights into the molecular basis of PHF6-NuRD complex interaction and implicates a role for PHF6 in chromatin structure modulation and gene regulation. PMID: 25601084
- Our results reveal that the protein structure does not affect ligand binding, and the top three TCM candidates Bittersweet alkaloid II, Eicosandioic acid, and Perivine might resolve the instability of the RbAp48-FOG1 complex PMID: 25165715
- RbAp48 recognizes MTA1 using the same site that it uses to bind histone H4, showing that assembly into NuRD modulates RbAp46/48 interactions with histones. PMID: 24920672
- The most significant change was an age-related decline in RbAp48, a histone-binding protein that modifies histone acetylation. PMID: 23986399
- study of the interaction of the histone H3-H4 complex with the RbAp48 and their exchange with a second histone chaperone, anti-silencing function protein 1 (ASF1); exchange of histones H3-H4 between these two histone chaperones has a central role in the assembly of new nucleosomes PMID: 23178455
- Data identified RBBP4 and RBBP9 as required for maintenance of multiple PS cell types, and both RBBPs were bound to RB in PS cells. PMID: 21689726
- The FOG-1 peptide contacts a negatively charged binding pocket on top of the RbAp48 beta-propeller that is distinct from the binding surface used by RpAp48 to contact histone H4 PMID: 21047798
- Upergulation of CAF-1 p48 subunit by overexpression of tuberous sclerosis gene products. PMID: 12893285
- expression of three (Beclin 1, RbAp48 and Pir51) were increased and one (aldolase b) was decreased in liver tumor tissues. PMID: 14966907
- RbAp48 is a NF-kappaB-regulated gene playing an important role in thyroid cancer cell autonomous proliferation. PMID: 17244783
- In conclusion, the data support a model whereby RbAp48 regulates cellular morphology and cytoskeletal organization by increasing K-Ras activity and signaling through MAPK. PMID: 17974974
- Data show that RbAp46 and RbAp48 interact with estrogen receptor (ER)alpha at endogenous, estrogen-responsive genes and alter expression of endogenous, ERalpha-activated and -repressed genes in MCF-7 breast cancer cells. PMID: 18577416
- Results report that transgenic expression of RbAp48 resulted in the development of autoimmune exocrinopathy resembling Sjogren's syndrome. PMID: 19015307
顯示更多
收起更多
-
亞細胞定位:Nucleus.
-
蛋白家族:WD repeat RBAP46/RBAP48/MSI1 family
-
數據庫鏈接:
Most popular with customers
-
YWHAB Recombinant Monoclonal Antibody
Applications: ELISA, WB, IHC, IF, FC
Species Reactivity: Human, Mouse, Rat
-
Phospho-YAP1 (S127) Recombinant Monoclonal Antibody
Applications: ELISA, WB, IHC
Species Reactivity: Human
-
-
-
-
-
-















