SIN3A Recombinant Monoclonal Antibody
-
中文名稱:SIN3A重組抗體
-
貨號:CSB-RA242724A0HU
-
規格:¥1320
-
圖片:
-
Western Blot
Positive WB detected in: K562 whole cell lysate, MCF-7 whole cell lysate
All lanes: mSin3A antibody at 1:1000
Secondary
Goat polyclonal to rabbit IgG at 1/50000 dilution
Predicted band size: 146 kDa
Observed band size: 146 kDa -
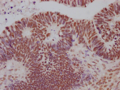
IHC image of CSB-RA242724A0HU diluted at 1:100 and staining in paraffin-embedded human ovarian cancer performed on a Leica BondTM system. After dewaxing and hydration, antigen retrieval was mediated by high pressure in a citrate buffer (pH 6.0). Section was blocked with 10% normal goat serum 30min at RT. Then primary antibody (1% BSA) was incubated at 4℃ overnight. The primary is detected by a Goat anti-rabbit IgG polymer labeled by HRP and visualized using 0.05% DAB.
-
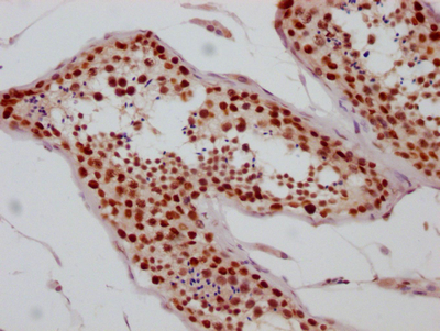
IHC image of CSB-RA242724A0HU diluted at 1:100 and staining in paraffin-embedded human testis tissue performed on a Leica BondTM system. After dewaxing and hydration, antigen retrieval was mediated by high pressure in a citrate buffer (pH 6.0). Section was blocked with 10% normal goat serum 30min at RT. Then primary antibody (1% BSA) was incubated at 4℃ overnight. The primary is detected by a Goat anti-rabbit IgG polymer labeled by HRP and visualized using 0.05% DAB.
-
Immunofluorescence staining of HepG2 Cells with CSB-RA242724A0HU at 1:50, counter-stained with DAPI. The cells were fixed in 4% formaldehyde, permeated by 0.2% TritonX-100, and blocked in 10% normal Goat Serum. The cells were then incubated with the antibody overnight at 4℃. Nuclear DNA was labeled in blue with DAPI. The secondary antibody was FITC-conjugated AffiniPure Goat Anti-Rabbit IgG (H+L).
-
-
其他:
產品詳情
-
產品描述:SIN3A Recombinant Monoclonal Antibody(Code: CSB-RA242724A0HU)是一款高特異性抗體,靶向SIN3A蛋白。SIN3A作為轉錄調控復合物的核心組分,通過組蛋白去乙酰化修飾參與染色質結構重塑及基因表達調控,在細胞周期、分化及凋亡等生物學過程中發揮重要作用。本抗體經ELISA、蛋白質印跡(WB)、免疫組織化學(IHC)和免疫熒光(IF)多平臺驗證,表現出優異的特異性和重復性。在WB實驗中,其推薦稀釋比例為1:500-1:5000,可清晰識別目標蛋白;IHC(1:50-1:200)和IF(1:20-1:200)實驗顯示明確的亞細胞定位,適用于組織切片或細胞樣本中SIN3A的空間分布研究。該產品適用于探索基因表達調控機制、表觀遺傳學修飾及細胞命運相關信號通路,為腫瘤發生、發育生物學和干細胞研究提供可靠工具。嚴格的質量控制確保批次間穩定性,滿足基礎科研中對蛋白功能分析和分子互作研究的需求。
-
Uniprot No.:
-
基因名:
-
別名:Paired amphipathic helix protein Sin3a (Histone deacetylase complex subunit Sin3a) (Transcriptional corepressor Sin3a), SIN3A
-
反應種屬:Human
-
免疫原:A synthesized peptide derived from human mSin3A
-
免疫原種屬:Homo sapiens (Human)
-
標記方式:Non-conjugated
-
克隆類型:Monoclonal
-
抗體亞型:Rabbit IgG
-
純化方式:Affinity-chromatography
-
克隆號:10G3
-
濃度:It differs from different batches. Please contact us to confirm it.
-
保存緩沖液:Rabbit IgG in 10mM phosphate buffered saline , pH 7.4, 150mM sodium chloride, 0.05% BSA, 0.02% sodium azide and 50% glycerol.
-
產品提供形式:Liquid
-
應用范圍:ELISA, WB, IHC, IF
-
推薦稀釋比:
Application Recommended Dilution WB 1:500-1:5000 IHC 1:50-1:200 IF 1:20-1:200 -
Protocols:
-
儲存條件:Upon receipt, store at -20°C or -80°C. Avoid repeated freeze.
-
貨期:Basically, we can dispatch the products out in 1-3 working days after receiving your orders. Delivery time maybe differs from different purchasing way or location, please kindly consult your local distributors for specific delivery time.
-
用途:For Research Use Only. Not for use in diagnostic or therapeutic procedures.
相關產品
靶點詳情
-
功能:Acts as a transcriptional repressor. Corepressor for REST. Interacts with MXI1 to repress MYC responsive genes and antagonize MYC oncogenic activities. Also interacts with MXD1-MAX heterodimers to repress transcription by tethering SIN3A to DNA. Acts cooperatively with OGT to repress transcription in parallel with histone deacetylation. Involved in the control of the circadian rhythms. Required for the transcriptional repression of circadian target genes, such as PER1, mediated by the large PER complex through histone deacetylation. Cooperates with FOXK1 to regulate cell cycle progression probably by repressing cell cycle inhibitor genes expression. Required for cortical neuron differentiation and callosal axon elongation.
-
基因功能參考文獻:
- AML patients with high SIN3 A expression levels had a worse prognosis than those with low expression. The same Y325Cvariant seen in endometrial carcinoma was found in one AML patient. It was calculated to cause a predicted stability change of -1.433 Kcal/mol, indicating significant disruption of the secondary structure. PMID: 29764005
- the FOXN3-NEAT1-SIN3A complex promotes epithelial-to-mesenchymal transition and invasion of breast cancer cells in vitro as well as dissemination and metastasis of breast cancer in vivo PMID: 28805661
- Haploinsufficiency of SIN3A causes mild intellectual disability by affecting the development of cortical integrity. PMID: 27399968
- Two novel translocations leading to the inactivation of RUNX1 and its partners SIN3A and TCF12 in myeloid leukemia. PMID: 26671595
- Study suggests a lack of association of SIN3A gene sequence variants with azoospermia caused by Sertoli cell-only syndrome in humans. PMID: 25395209
- down regulation of miR-202 increased the expression of its target Mxd1, followed by Mxd1 recruitment to the Sin3A repressor complex and through its dimerization with Max, and increased repression of Myc-Max target proteins. PMID: 25611699
- protein pairs significantly correlated with an increased risk of death in non-small cell lung cancer: mSin3A with p16, and c-Myc with mSinA PMID: 26118188
- Aberrantly expressed miR-210 regulates human U251 glioma cells apoptosis and proliferation partly through directly down-regulating SIN3A protein expression. PMID: 25481483
- Bone-marrow-specific deletion of Sin3a, indicated that Sin3a-associated HDAC1/2-activity is essential for hematopoietic stem cell homeostasis. PMID: 24763403
- SIN3A, generally regarded as a transcriptional repressor, is required for induction of gene transcription by the aryl hydrocarbon receptor. PMID: 25305016
- EBNA3C binds strongly to BATF/IRF4/SPI1/RUNX3 sites to enhance transcription and recruits RBPJ/Sin3A- and REST/NRSF-repressive complexes to repress p14(ARF) and p16(INK4A) expression PMID: 24344258
- reducing Sin3A strongly increased the invasive behavior of A549 human lung adenocarcinoma cells; findings show that Sin3A is downregulated in a variety of human tumors PMID: 22890320
- The Sin3a complex acts as a context-dependent ISGF3/STAT3 transcriptional switch. PMID: 22783022
- Ume6 is a negative regulator of ATG8 transcription, which acts along with a histone deacetylase complex including Sin3 and Rpd3 to regulate Atg8 levels PMID: 22733735
- Interplay between SIN3A and STAT3 mediates chromatin conformational changes and GFAP expression during cellular differentiation.( PMID: 21779366
- Sin3a, HDAC1, and YY1 are co-factors for Gon4l and that Gon4l may function as a platform for the assembly of complexes that regulate gene expression. PMID: 21454521
- The study identifies Sin3A as a regulator of gene expression, survival, and growth in ERalpha-positive breast cancer cells. PMID: 20920219
- sumoylation of ING2 enhances its binding to the Sin3A/HDAC complex and is required to regulate gene transcriptions PMID: 20676127
- HDAC-Sin3A complex regulates LHR Gene transcription PMID: 12091390
- Menin is important for recruiting an mSin3A-histone deacetylase complex to repress JunD transcriptional activity. PMID: 14559791
- MeCP2 acts as a corepressor of PU.1 probably due to facilitating complex formation with mSin3A and HDACs. PMID: 14647463
- transcription corepressor mSin3A interacts with SMN (Survival motor neuron) protein PMID: 14749338
- Results suggest that SHP mediates recruitment of mSin3A-Swi/Snf to the CYP7A1 promoter, resulting in chromatin remodeling and gene repression. PMID: 15314177
- p53 antagonizes c-Myb by recruiting mSin3A to down-regulate specific Myb target genes PMID: 15509555
- Data indicate that T-bet can override repressive epigenetic modification through a T-box half-site and dissociation of the mSin3a corepressor from the promoter. PMID: 15684083
- Sin3A-mediated deacetylation within the coding regions of active genes is directly linked to the histone methyltransferase activity of Smyd2 PMID: 16805913
- Sin3A-mediated deacetylation within the coding regions of active genes is directly linked to the histone methyltransferase activity of Smyd2 [Symd2] PMID: 16805913
- Repression of p53-mediated transcription by adenovirus E1B 55-kDa does not require corepressor mSin3A and histone deacetylases. PMID: 17209038
- the attenuated function of SIN3A due to a decreased level of expression may result in epigenetic de-regulation of growth-related genes through histone acetylation, which leads to the tumorigenesis of lung cancer cells. PMID: 17854949
- PRMT1- dependent methylation of RUNX1 at arginine residues 206 and 210 abrogates its association with SIN3A. PMID: 18316480
- A novel regulatory signaling mechanism of transcriptional control in which the LHR is derepressed through PKCalpha/ERK-mediated Sp1 phosphorylation, causing the release of HDAC1/mSin3A complex from the promoter. PMID: 18372343
- These data demonstrate that targeted degradation of NFX1-91 by E6/E6AP dissociates the mSin3A/HDAC complex from the hTERT promoter and induces hTERT transcription. PMID: 18505829
- Resullts show that SHP and Sin3A play an important role in adamantyl-substituted retinoid-related induction of cellular apoptosis. PMID: 19509248
- These data support a model of repression wherein actions of ERalpha and Sin3A at the proximal promoter can overcome activating signals at distal or proximal sites and ultimately decrease gene expression. PMID: 19620290
- The transcriptional repressor mSin3A associates with histone deacetylase 1 forming a co-repressor complex. See also PMID (PubMed identifier) 9150133. PMID: 9150134
- mSin3A interacts with HDAC2 via the HDAC-interacting domain (HID) of mSin3A. PMID: 9150134
顯示更多
收起更多
-
亞細胞定位:Nucleus. Nucleus, nucleolus. Note=Recruited to the nucleolus by SAP30L.
-
組織特異性:Expressed in the developing brain, with highest levels of expression detected in the ventricular zone of various cortical regions.
-
數據庫鏈接:
Most popular with customers
-
-
YWHAB Recombinant Monoclonal Antibody
Applications: ELISA, WB, IHC, IF, FC
Species Reactivity: Human, Mouse, Rat
-
Phospho-YAP1 (S127) Recombinant Monoclonal Antibody
Applications: ELISA, WB, IHC
Species Reactivity: Human
-
-
-
-
-















