TUBG1 Monoclonal Antibody
-
中文名稱:TUBG1鼠單克隆抗體
-
貨號:CSB-MA080295
-
規格:¥1090
-
圖片:
-
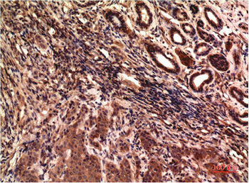
Immunohistochemical analysis of paraffin-embedded Human Colon Carcinoma Tissue using TUBG1 Monoclonal Antibody diluted at 1:200.
-
Immunohistochemical analysis of paraffin-embedded Human Breast Carcinoma Tissue using TUBG1 Monoclonal Antibody diluted at 1:200.
-
Western Blot analysis of paraffin-embedded Jurkat Hela,Mouse-brain,Rat-brain using TUBG1 Monoclonal Antibody diluted at 1:1000.
-
-
其他:
產品詳情
-
產品描述:CUSABIO貨號:CSB-MA080295 TUBG1單克隆抗體是針對Annexin A5靶點研發的高特異性科研試劑,可精準識別該蛋白在人類、大鼠及小鼠樣本中的表達。Annexin A5作為鈣離子依賴性磷脂結合蛋白,廣泛參與細胞凋亡調控、細胞膜修復及凝血級聯反應等關鍵生物學過程。本產品采用雜交瘤技術制備,經嚴格驗證適用于酶聯免疫吸附(ELISA)、蛋白質印跡(WB)和免疫組織化學(IHC)三大實驗平臺,其高親和力與低交叉反應特性可滿足凋亡小體檢測、心血管疾病模型構建及腫瘤微環境分析等研究需求。該抗體適配多物種實驗體系,為探索細胞程序性死亡機制、血小板活化研究及血栓形成相關信號通路解析提供優質工具,適用于基礎科研中的蛋白定位、表達量檢測及分子互作研究,助力生命科學領域的膜相關蛋白功能探索。
-
別名:TUBG1
-
宿主:Mouse
-
反應種屬:Human, Rat, Mouse
-
免疫原:Synthetic Peptide of Gamma Tubulin
-
純化方式:The antibody was affinity-purified from mouse ascites by affinity-chromatography using specific immunogen.
-
克隆號:26G7
-
濃度:It differs from different batches. Please contact us to confirm it.
-
保存緩沖液:Liquid in PBS containing 50% glycerol, 0.5% BSA and 0.02% sodium azide.
-
應用范圍:ELISA, WB, IHC
-
推薦稀釋比:
Application Recommended Dilution WB 1:500-1:2000 IHC IHC1:100-200 -
Protocols:
-
儲存條件:Upon receipt, store at -20°C or -80°C. Avoid repeated freeze.
-
貨期:Basically, we can dispatch the products out in 1-3 working days after receiving your orders. Delivery time maybe differs from different purchasing way or location, please kindly consult your local distributors for specific delivery time.
-
用途:For Research Use Only. Not for use in diagnostic or therapeutic procedures.
Most popular with customers
-
-
YWHAB Recombinant Monoclonal Antibody
Applications: ELISA, WB, IHC, IF, FC
Species Reactivity: Human, Mouse, Rat
-
Phospho-YAP1 (S127) Recombinant Monoclonal Antibody
Applications: ELISA, WB, IHC
Species Reactivity: Human
-
-
-
-
-















