His Monoclonal Antibody
-
中文名稱:His鼠單克隆抗體
-
貨號:CSB-MA000011M1m
-
規格:¥400
-
圖片:
-
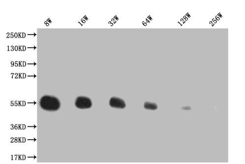
Western Blot
Positive WB detected in: 200ng recombinant protein with His tag His antibody at 1:8w, 1:16w, 1:32w, 1:64w, 1:128w, 1:256w
Secondary
Goat polyclonal to mouse IgG at 1/50000 dilution
Predicted band size: 43.4 KDa
Observed band size: 43.4 KDa
Exposure time:5min -
Western Blot
Positive WB detected in: 200ng recombinant protein with His tag His antibody at 1:2w, 1:4w, 1:8w, 1:16w, 1:32w, 1:64w
Secondary
Goat polyclonal to mouse IgG at 1/50000 dilution
Predicted band size:62.5 KDa
Observed band size: 66 KDa
Exposure time:5min -
Western Blot
Positive WB detected in:200ng of four Recombinant protein with his tag All lanes: His antibody at 1:5000
Secondary
Goat polyclonal to mouse IgG at 1/50000 dilution
Predicted band size: 43.4, 62.5,56,80.6 KDa
Observed band size:43.4, 66, 57 ,90 KDa
Exposure time:5min -
Immunoprecipitating His in 293 whole cell lysate transfected with His
Lane 1: control IgG instead of 2F4B5 in 293 whole cell lysate transfected with His. Lane 2: 2F4B5 antibody (2μg) + 293 whole cell lysate transfected with His (500μg)
Lane 3: 293 whole cell lysate transfected with His (5μg)
For western blotting, the blot was detected with 2F4B5 antibody at 1:10000, and a HRP-conjugated Protein G antibody was used as the secondary antibody at 1:50000
-
-
其他:
產品詳情
-
產品描述:該His Tag單克隆抗體(CUSABIO貨號:CSB-MA000011M1m)專為高效檢測重組蛋白中廣泛應用的6×組氨酸標簽設計,采用雜交瘤技術制備確保批次穩定性,在Western Blot實驗中可適應1:1000至1:640,000的寬泛稀釋范圍,免疫沉淀實驗僅需2-5μL即可有效捕獲目標蛋白。該抗體具有優異的種屬兼容性,經嚴格驗證適用于ELISA、WB、IP三大核心實驗體系,特別適合重組表達蛋白的定性定量分析、蛋白相互作用研究及高通量篩選等科研場景。其高親和力特性可精準識別His標簽蛋白,在變性或天然條件下均保持穩定結合能力,為蛋白質純化工藝開發、表達驗證及功能研究提供可靠工具。作為His標簽檢測領域的優選試劑,該產品憑借靈敏的檢測限和低交叉反應性特點,廣泛應用于分子生物學、結構生物學及生物制藥相關的基礎研究中。
-
別名:6*His, 6*His, His Tag, 6histag, 6*His, HHHHHH, HIS, His Tag
-
宿主:Mouse
-
反應種屬:All
-
免疫原:The immunogen is a mixture of various His-tagged proteins
-
標記方式:Non-conjugated
-
克隆類型:Monoclonal
-
抗體亞型:IgG1
-
純化方式:>95%, Protein G purified
-
克隆號:2F4B5
-
濃度:It differs from different batches. Please contact us to confirm it.
-
保存緩沖液:Preservative: 0.03% Proclin 300
Constituents: 50% Glycerol, 0.01M PBS, PH 7.4 -
產品提供形式:Liquid
-
應用范圍:ELISA, WB, IP
-
推薦稀釋比:
Application Recommended Dilution WB 1:1000-1:640000 IP 2μl-5μl -
Protocols:
-
儲存條件:Upon receipt, store at -20°C or -80°C. Avoid repeated freeze.
-
貨期:Basically, we can dispatch the products out in 1-3 working days after receiving your orders. Delivery time maybe differs from different purchasing way or location, please kindly consult your local distributors for specific delivery time.
-
用途:For Research Use Only. Not for use in diagnostic or therapeutic procedures.
Most popular with customers
-
-
YWHAB Recombinant Monoclonal Antibody
Applications: ELISA, WB, IHC, IF, FC
Species Reactivity: Human, Mouse, Rat
-
Phospho-YAP1 (S127) Recombinant Monoclonal Antibody
Applications: ELISA, WB, IHC
Species Reactivity: Human
-
-
-
-
-















