-
中文名稱:SAV1兔多克隆抗體
-
貨號:CSB-PA875672ESR2HU
-
規格:¥440
-
圖片:
-
Western Blot
Positive WB detected in: 293T whole cell lysate, PC-3 whole cell lysate, A549 whole cell lysate, MCF-7 whole cell lysate, NIH/3T3 whole cell lysate
All lanes: SAV1 antibody at 1.62µg/ml
Secondary
Goat polyclonal to rabbit IgG at 1/50000 dilution
Predicted band size: 45 kDa
Observed band size: 45 kDa -
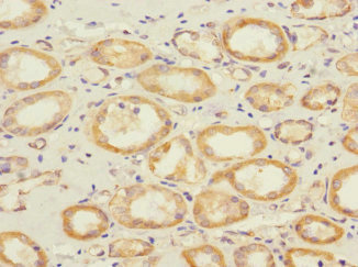
Immunohistochemistry of paraffin-embedded human kidney tissue using CSB-PA875672ESR2HU at dilution of 1:100
-
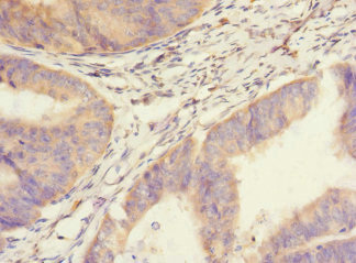
Immunohistochemistry of paraffin-embedded human endometrial cancer using CSB-PA875672ESR2HU at dilution of 1:100
-
Immunofluorescent analysis of A549 cells using CSB-PA875672ESR2HU at dilution of 1:100 and Alexa Fluor 488-congugated AffiniPure Goat Anti-Rabbit IgG(H+L)
-
Immunoprecipitating SAV1 in NIH/3T3 whole cell lysate
Lane 1: Rabbit control IgG instead of CSB-PA875672ESR2HU in NIH/3T3 whole cell lysate. For western blotting, a HRP-conjugated Protein G antibody was used as the secondary antibody (1/2000)
Lane 2: CSB-PA875672ESR2HU (5µg) + NIH/3T3 whole cell lysate (500µg)
Lane 3: NIH/3T3 whole cell lysate (20µg)
-
-
其他:
產品詳情
-
產品名稱:Rabbit anti-Homo sapiens (Human) SAV1 Polyclonal antibody
-
Uniprot No.:
-
基因名:
-
別名:1700040G09Rik antibody; 45 kDa WW domain protein antibody; hWW 45 antibody; hWW45 antibody; Protein salvador homolog 1 antibody; salvador family WW domain containing protein 1 antibody; salvador homolog 1 (Drosophila) antibody; Salvador homolog 1 antibody; Salvador, Drosophila, homolog of antibody; SAV 1 antibody; SAV antibody; SAV1 antibody; SAV1_HUMAN antibody; WW 45 antibody; WW domain containing antibody; WW domain-containing adaptor 45 antibody; WW domain-containing protein, 45-KD antibody; WW45 antibody; WW45 protein antibody; WWP 4 antibody; WWP4 antibody
-
宿主:Rabbit
-
反應種屬:Human, Mouse
-
免疫原:Recombinant Human Protein salvador homolog 1 protein (1-210AA)
-
免疫原種屬:Homo sapiens (Human)
-
標記方式:Non-conjugated
-
克隆類型:Polyclonal
-
抗體亞型:IgG
-
純化方式:Antigen Affinity Purified
-
濃度:It differs from different batches. Please contact us to confirm it.
-
保存緩沖液:PBS with 0.02% sodium azide, 50% glycerol, pH7.3.
-
產品提供形式:Liquid
-
應用范圍:ELISA, WB, IHC, IF, IP
-
推薦稀釋比:
Application Recommended Dilution WB 1:500-1:2000 IHC 1:20-1:200 IF 1:50-1:200 IP 1:200-1:2000 -
Protocols:
-
儲存條件:Upon receipt, store at -20°C or -80°C. Avoid repeated freeze.
-
貨期:Basically, we can dispatch the products out in 1-3 working days after receiving your orders. Delivery time maybe differs from different purchasing way or location, please kindly consult your local distributors for specific delivery time.
-
用途:For Research Use Only. Not for use in diagnostic or therapeutic procedures.
引用文獻
相關產品
靶點詳情
-
功能:Regulator of STK3/MST2 and STK4/MST1 in the Hippo signaling pathway which plays a pivotal role in organ size control and tumor suppression by restricting proliferation and promoting apoptosis. The core of this pathway is composed of a kinase cascade wherein STK3/MST2 and STK4/MST1, in complex with its regulatory protein SAV1, phosphorylates and activates LATS1/2 in complex with its regulatory protein MOB1, which in turn phosphorylates and inactivates YAP1 oncoprotein and WWTR1/TAZ. Phosphorylation of YAP1 by LATS1/2 inhibits its translocation into the nucleus to regulate cellular genes important for cell proliferation, cell death, and cell migration. SAV1 is required for STK3/MST2 and STK4/MST1 activation and promotes cell-cycle exit and terminal differentiation in developing epithelial tissues. Plays a role in centrosome disjunction by regulating the localization of NEK2 to centrosomes, and its ability to phosphorylate CROCC and CEP250. In conjunction with STK3/MST2, activates the transcriptional activity of ESR1 through the modulation of its phosphorylation.
-
基因功能參考文獻:
- These results suggest Salvador enhances the effects of Hippo kinase activity at multiple points in the Hippo pathway. PMID: 29519817
- Here, the authors discover SAV1-mediated inhibition of the PP2A complex STRIPAK(SLMAP) as a key mechanism of MST1/2 activation. PMID: 29063833
- WW45 has suppressive roles in lung cancer through a pathway involving Hedgehog/Gli1 signaling. PMID: 27661123
- SAV1 represses the activation of the Akt-mTOR signalling, and rapamycin treatment blunts the effects of SAV1 on in vitro and in vivo growth of colorectal cancer cells. PMID: 28618450
- using an Mst2 mutation that disrupts homotypic dimerization, we showed that the monomeric Mst2-SARAH domain could form a stable complex of 1:1 stoichiometric ratio with WW45 refolded under acidic pH. PMID: 25814670
- MST1/2-SAV1 associates with the NPHP transition-zone complex, promoting ciliary localization of multiple ciliary cargoes. PMID: 25367221
- Mst2 and the Ser-3 residue of human WW45 function independently of each other in the regulation of the stability of human WW45. PMID: 23524264
- We also confirmed the interaction of HAX-1 and hSav1 in mammalian cells. PMID: 22570112
- downregulation of SAV1 and the consequent YAP1 activation are involved in the pathogenesis of high-grade clear cell renal cell carcinoma. PMID: 22185343
- MST and hSAV act as novel co-regulators of ERalpha and may play an important role in breast cancer pathogenesis. PMID: 21104395
- hSav1 interacts with HAX1 and attenuates its protective role against apoptosis in MCF-7 breast cancer cells. PMID: 21567072
- a role for Salvador as a human tumor suppressor and RASSF1A effector and show that Salvador allows RASSF1A to modulate p73 independently of the hippo pathway. PMID: 21489991
- Study reports that two Hippo pathway components, Mst2 and the scaffold protein hSav1, directly interact with Nek2A and regulate its ability to localize to centrosomes, and phosphorylate C-Nap1 and rootletin. PMID: 21076410
- hSav1 is a newly identified protein that interacts with Mst1 and augments Mst1-mediated apoptosis. PMID: 19950692
- Salvador gene is not frequently mutated in human carcinoma tissues. PMID: 12969014
- Together these results show that hSav can bind to, and be phosphorylated by, Mst, and that the stabilizing effect of Mst on hSav requires its interaction with hSav but is probably not due to phosphorylation of hSav by Mst. PMID: 16930133
- hWW45 is required to enhance MST1-mediated apoptosis in vivo and thus is a critical player in an MST1-driven cell death signaling pathway. PMID: 19212654
顯示更多
收起更多
-
亞細胞定位:Nucleus. Cytoplasm.
-
組織特異性:Ubiquitously expressed in adult tissues with highest expression in the pancreas, aorta and interventricular septum and lowest expression in skeletal muscle. Expression was higher in fetal than in the adult heart. Expressed in various cell lines.
-
數據庫鏈接:
Most popular with customers
-
YWHAB Recombinant Monoclonal Antibody
Applications: ELISA, WB, IHC, IF, FC
Species Reactivity: Human, Mouse, Rat
-
Phospho-YAP1 (S127) Recombinant Monoclonal Antibody
Applications: ELISA, WB, IHC
Species Reactivity: Human
-
-
-
-
-
-















